Bcl-xL Antibody

Images

 
Immunohistochemistry-Paraffin: Bcl-xL Antibody [NB100-56105] - FFPE section of dog ischemic brain cortex stained for Bcl-X expression using this antibody at 1:2000. At 2 hr post ischemia, Bcl-X staining was seen in the ...read more
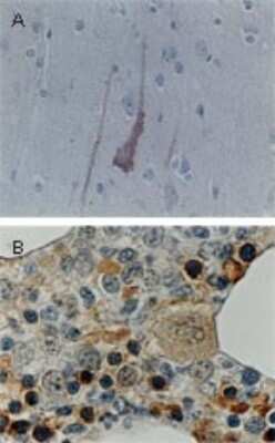
Immunohistochemistry-Paraffin: Bcl-xL Antibody [NB100-56105] - FFPE human tissue sections stained for Bcl-X expression using this antibody at 1:2000. (A) Cortex from the brain of an Alzheimer's disease patient. The ...read more

Product Details

Summary
Product Discontinued
View other related Bcl-xL Primary Antibodies

Order Details


    • Catalog Number
      NB100-56105
    • Availability
      Product Discontinued

    Can't find what you are looking for? Use our Antibody Concierge Service & we will help you locate your antibody!

    Or feel free to contact us for alternative products.

Bcl-xL Antibody Summary

Immunogen
A synthetic peptide corresponding to amino acids 61-79 (DSPAVNGATAHSSSLDARE) of human Bcl-XL was used as immunogen; GenBank no. CAA80661.1. The immunogen sequence is 94% conserved in Bcl-XS.
Specificity
Bcl-XL+S
Isotype
IgG
Clonality
Polyclonal
Host
Rabbit
Gene
BCL2L1
Purity
Unpurified
Innovator's Reward
Test in a species/application not listed above to receive a full credit towards a future purchase.

Applications/Dilutions

Dilutions
  • Immunohistochemistry 1:1000-1:5000
  • Immunohistochemistry-Frozen 1:1000-1:5000
  • Immunohistochemistry-Paraffin 1:1000-1:5000
  • Immunoprecipitation 1:50-1:200
  • Western Blot 1:1000-1:2000
Control
Bcl-xL Overexpression Lysate
Publications
Read Publication using
NB100-56105 in the following applications:

  • 1 publication
  • WB
    1 publication

Packaging, Storage & Formulations

Storage
Store at 4C short term. Aliquot and store at -20C long term. Avoid freeze-thaw cycles.
Buffer
Whole antisera
Preservative
0.02% Sodium Azide
Purity
Unpurified

Alternate Names for Bcl-xL Antibody

  • Apoptosis regulator Bcl-X
  • bcl2-L-1
  • BCL2-like 1
  • bcl-2-like protein 1
  • BCLXBCL2LBcl-X
  • BclxL
  • Bcl-xL
  • BCL-XL/S
  • BCLXS
  • bcl-xS
  • DKFZp781P2092

Background

The Bcl-2 family of apoptosis-related genes plays central roles in regulating apoptotic pathways (reviewed in Thomadaki and Scorilas, 2006). Regulation of cell death through apoptosis is critical for the maintenance of homeostasis, defense against infectious agents, and normal development. Bcl-2 family proteins regulate apoptosis primarily through the regulation of mitochondrial outer membrane permeability. In mammals, the family consists of both prosurvival (antiapoptotic) and proapoptotic (prodeath) members. Cellular homeostasis is thought to be dependent on a balance between the actions of prosurvival and proapoptotic proteins. Bcl-2 family proteins can be divided into 3 main subfamilies on the basis of their function and the content of their Bcl-2 homology (BH) domains, for example: 1) Prosurvival: Bcl-2, Bcl-XL, Bcl-W, A1, and Mcl-1 2) Proapoptotic (multidomain): Bax, Bak, and Bok. 3) BH3-only (proapoptotic): Bad, Bcl-XS, Bid, Bik, Bim, Blk, Bmf, Bnip, Noxa, and Puma. Prosurvival members inhibit cells from undergoing apoptosis, whereas proapoptotic and BH3-only subfamily members promote apoptosis. There are 4 BH domains (1-4) conserved among Bcl-2 family proteins. The BH domains are important for function as well as for heterodimerization between family members. Typical prosurvival family members have all four BH domains (1-4), whereas proapoptotic (multidomain) members have BH1, 2 and 3 domains and BH3-only members have only the BH3 domain. Overall, the relative ratio of prosurvival and proapoptotic proteins determines the suseptibility of a cell to various apoptotic stimuli. Many Bcl-2 family proteins are differentially expressed in various malignancies and some are useful prognostic biomarkers. Prosurvival proteins are often elevated in diverse cancers and have the potential to confer resistance to both endogenous cell death stimuli and cancer treatments. Alterations in the ratio or levels of Bcl-2 family proteins have been also associated with nonmalignant diseases including neurodegenerative diseases, autoimmune diseases, AIDs, Down's syndrome, cardiovascular diseases, diabetes, glomerulonephritis, and muscular dystrophy. NB100-56105 recognizes Bcl-XL and Bcl-XS. Human Bcl-XL is a 233 amino acid protein; GenBank no. CAA80661.1. Human Bcl-XS is a 170 amino acid protein; GenBank no. CAA80662.1.

Limitations

This product is for research use only and is not approved for use in humans or in clinical diagnosis. Primary Antibodies are guaranteed for 1 year from date of receipt.

Customers Who Viewed This Item Also Viewed...

NB100-56098
Species: Ca, Hu, Mu, Rt
Applications: IHC,  IHC-P, IP, WB
AF820
Species: Hu, Mu
Applications: ICC, IHC, KO, Simple Western, WB
NB100-56503
Species: Dr, Hu, Mu, Rb, Rt
Applications: Flow-CS, Flow-IC, Flow, IB, ICC/IF, IHC,  IHC-P, Simple Western, WB
NB200-103
Species: Hu, Mu, Rt, Xp(-), Ye
Applications: CyTOF-ready, ELISA, Flow-IC, Flow, ICC/IF, IHC, IHC-Fr,  IHC-P, IP, WB
AF816
Species: Hu
Applications: ICC, IHC, WB
AF887
Species: Hu, Mu, Rt
Applications: CyTOF-ready, IHC, ICFlow, Simple Western, WB
NB120-13550
Species: Hu, Mu, Rt
Applications: ICC/IF, IHC,  IHC-P, WB
NB100-56118
Species: Ca, Ma, Hu, Mu, Rt
Applications: Flow-IC, ICC/IF, IHC, IHC-Fr,  IHC-P, IP, WB
NB100-56146
Species: Hu
Applications: IHC,  IHC-P, IP, WB
AF860
Species: Hu, Mu
Applications: IP, Simple Western, WB
NB100-56116
Species: Ma, Hu, Mu, Rt
Applications: Flow, ICC/IF, IHC, IHC-Fr,  IHC-P, IP, Simple Western, WB
NBP2-29463
Species: Pm, Hu, Pm, Mu
Applications: Flow, ICC/IF, IHC,  IHC-P, WB
NB100-56583
Species: Hu, Rb, Rt
Applications: Flow, IHC,  IHC-P, KO, Simple Western, WB
NBP2-27335
Species: Hu, Mu, Rt(-)
Applications: CyTOF-ready, Flow, ICC/IF, WB
AF8221
Species: Hu, Mu, Rt
Applications: IHC, KO, Simple Western, WB
NBP1-76963
Species: Hu, Mu, Rt
Applications: ELISA, ICC/IF, IHC,  IHC-P, Simple Western, WB
Supplier Logo

Publications for Bcl-xL Antibody (NB100-56105)(1)

We have publications tested in 3 confirmed species: Mouse, Rat, Canine.

We have publications tested in 2 applications: IHC-P, WB.


Filter By Application
IHC-P
(1)
WB
(1)
All Applications
Filter By Species
Mouse
(1)
Rat
(1)
Canine
(1)
All Species

Reviews for Bcl-xL Antibody (NB100-56105) (0)

There are no reviews for Bcl-xL Antibody (NB100-56105). By submitting a review you will receive an Amazon e-Gift Card or Novus Product Discount.
  • Review with no image -- $10/€7/£6/$10 CAD/¥70 Yuan/¥1110 Yen
  • Review with an image -- $25/€18/£15/$25 CAD/¥150 Yuan/¥2500 Yen

Product General Protocols

Find general support by application which include: protocols, troubleshooting, illustrated assays, videos and webinars.

Video Protocols

WB Video Protocol

FAQs for Bcl-xL Antibody (NB100-56105) (0)

There are no specific FAQs related to this product. Read our general customer & technical service FAQs.

Control Lysate(s)

Secondary Antibodies

 

Isotype Controls

Additional Bcl-xL Products

Research Areas for Bcl-xL Antibody (NB100-56105)

Find related products by research area.

Blogs on Bcl-xL.

BAG3 - Hsp70 is my friend!
The BAG proteins are a large family of chaperone regulators governing a wide range of cell processes such as proliferation, survival, stress response, tumorigenesis, neuronal differentiation, growth arrest and apoptosis as reviewed in Takayama et al1....  Read full blog post.

Contact Information

Product PDFs

Calculators

Concentration Calculator

The concentration calculator allows you to quickly calculate the volume, mass or concentration of your vial. Simply enter your mass, volume, or concentration values for your reagent and the calculator will determine the rest.

=
÷

Review this Product

Be the first to review our Bcl-xL Antibody and receive a gift card or discount.

Bioinformatics

Gene Symbol BCL2L1
Entrez