Bcl-xL Antibody (SZ3-03)

Images

 
Western Blot: Bcl-xL Antibody (SZ3-03) [NBP2-67363] - Analysis of Bcl-XL on Jurkat cell lysates. Proteins were transferred to a PVDF membrane and blocked with 5% BSA in PBS for 1 hour at room temperature. The primary ...read more
Immunocytochemistry/ Immunofluorescence: Bcl-xL Antibody (SZ3-03) [NBP2-67363] - Staining Bcl-XL in MCF-7 cells (green). The nuclear counter stain is DAPI (blue). Cells were fixed in paraformaldehyde, permeabilised with ...read more
Immunohistochemistry-Paraffin: Bcl-xL Antibody (SZ3-03) [NBP2-67363] - Analysis of paraffin-embedded human kidney tissue using anti-Bcl-XL antibody. Counter stained with hematoxylin.
Flow Cytometry: Bcl-xL Antibody (SZ3-03) [NBP2-67363] - Analysis of Hela cells with Bcl-XL antibody at 1/50 dilution (red) compared with an unlabelled control (cells without incubation with primary antibody; black). ...read more
Immunocytochemistry/ Immunofluorescence: Bcl-xL Antibody (SZ3-03) [NBP2-67363] - Staining Bcl-XL in Hela cells (green). The nuclear counter stain is DAPI (blue). Cells were fixed in paraformaldehyde, permeabilised with ...read more
Immunocytochemistry/ Immunofluorescence: Bcl-xL Antibody (SZ3-03) [NBP2-67363] - Staining Bcl-XL in HepG2 cells (green). The nuclear counter stain is DAPI (blue). Cells were fixed in paraformaldehyde, permeabilised with ...read more
Immunohistochemistry-Paraffin: Bcl-xL Antibody (SZ3-03) [NBP2-67363] - Analysis of paraffin-embedded human breast carcinoma tissue using anti-Bcl-XL antibody. Counter stained with hematoxylin.
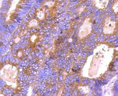
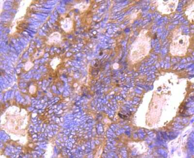
Immunohistochemistry-Paraffin: Bcl-xL Antibody (SZ3-03) [NBP2-67363] - Analysis of paraffin-embedded human colon cancer tissue using anti-Bcl-XL antibody. Counter stained with hematoxylin.

Product Details

Summary
Product Discontinued
View other related Bcl-xL Primary Antibodies

Order Details


    • Catalog Number
      NBP2-67363
    • Availability
      Product Discontinued

    Can't find what you are looking for? Use our Antibody Concierge Service & we will help you locate your antibody!

    Or feel free to contact us for alternative products.

Bcl-xL Antibody (SZ3-03) Summary

Additional Information
Recombinant Monoclonal Antibody.
Immunogen
Synthetic peptide within Human Bcl-xL aa 37-86 / 233. (SwissProt: Q07817 Human; SwissProt: Q64373 Mouse; SwissProt: P53563 Rat)
Localization
Mitochondrion inner membrane, Mitochondrion outer membrane, Mitochondrion matrix, Cytoplasmic vesicle, Cytoplasm, Nucleus membrane.
Isotype
IgG
Clonality
Monoclonal
Host
Rabbit
Gene
BCL2L1
Purity
Protein A purified
Innovator's Reward
Test in a species/application not listed above to receive a full credit towards a future purchase.

Applications/Dilutions

Dilutions
  • Flow Cytometry 1:50-1:100
  • Immunocytochemistry/ Immunofluorescence 1:50-1:200
  • Immunohistochemistry
  • Immunohistochemistry-Paraffin 1:50-1:1000
  • Immunoprecipitation
  • Western Blot 1:1000-1:5000
Application Notes
IP: Use at an assay dependent concentration.

Packaging, Storage & Formulations

Storage
Store at 4C short term. Aliquot and store at -20C long term. Avoid freeze-thaw cycles.
Buffer
TBS (pH7.4), 0.05% BSA, 40% Glycerol
Preservative
0.05% Sodium Azide
Concentration
1 mg/ml
Purity
Protein A purified

Alternate Names for Bcl-xL Antibody (SZ3-03)

  • Apoptosis regulator Bcl-X
  • bcl2-L-1
  • BCL2-like 1
  • bcl-2-like protein 1
  • BCLXBCL2LBcl-X
  • BclxL
  • Bcl-xL
  • BCL-XL/S
  • BCLXS
  • bcl-xS
  • DKFZp781P2092

Background

Bcl-x, a member of the Bcl-2 protein family, inhibits cell death, or apoptosis (1). Bcl-x is expressed as two isomeric forms, Bcl-xL and Bcl-xS, and is typically present in the cytosol in association with the mitochondrial membrane. Bcl-xL forms heterodimers with various proteins, including Bax, Bak and Bcl-2 (2). It has been found that eterodimerization with Bax does not seem to be required for anti-apoptotic activity (3). Since Bcl-xL can form an ion channel in synthetic lipid membranes, there is a strong possibility that this property plays a role in heterodimerization-independent cell survival (4). The Bcl-X(S) isoform promotes apoptosis.

Limitations

This product is for research use only and is not approved for use in humans or in clinical diagnosis. Primary Antibodies are guaranteed for 1 year from date of receipt.

Customers Who Viewed This Item Also Viewed...

NB100-56098
Species: Ca, Hu, Mu, Rt
Applications: IHC,  IHC-P, IP, WB
AF820
Species: Hu, Mu
Applications: ICC, IHC, KO, Simple Western, WB
NB100-56503
Species: Dr, Hu, Mu, Rb, Rt
Applications: Flow-CS, Flow-IC, Flow, IB, ICC/IF, IHC,  IHC-P, Simple Western, WB
NB200-103
Species: Hu, Mu, Rt, Xp(-), Ye
Applications: CyTOF-ready, ELISA, Flow-IC, Flow, ICC/IF, IHC, IHC-Fr,  IHC-P, IP, WB
AF816
Species: Hu
Applications: ICC, IHC, WB
AF887
Species: Hu, Mu, Rt
Applications: CyTOF-ready, IHC, ICFlow, Simple Western, WB
NB120-13550
Species: Hu, Mu, Rt
Applications: ICC/IF, IHC,  IHC-P, WB
NB100-56118
Species: Ca, Ma, Hu, Mu, Rt
Applications: Flow-IC, ICC/IF, IHC, IHC-Fr,  IHC-P, IP, WB
NB100-56146
Species: Hu
Applications: IHC,  IHC-P, IP, WB
AF860
Species: Hu, Mu
Applications: IP, Simple Western, WB
NB100-56116
Species: Ma, Hu, Mu, Rt
Applications: Flow, ICC/IF, IHC, IHC-Fr,  IHC-P, IP, Simple Western, WB
NBP2-29463
Species: Pm, Hu, Pm, Mu
Applications: Flow, ICC/IF, IHC,  IHC-P, WB
NB100-56583
Species: Hu, Rb, Rt
Applications: Flow, IHC,  IHC-P, KO, Simple Western, WB
NBP2-27335
Species: Hu, Mu, Rt(-)
Applications: CyTOF-ready, Flow, ICC/IF, WB
AF8221
Species: Hu, Mu, Rt
Applications: IHC, KO, Simple Western, WB
NBP1-76963
Species: Hu, Mu, Rt
Applications: ELISA, ICC/IF, IHC,  IHC-P, Simple Western, WB

Publications for Bcl-xL Antibody (NBP2-67363) (0)

There are no publications for Bcl-xL Antibody (NBP2-67363).
By submitting your publication information earn gift cards and discounts for future purchases.

Reviews for Bcl-xL Antibody (NBP2-67363) (0)

There are no reviews for Bcl-xL Antibody (NBP2-67363). By submitting a review you will receive an Amazon e-Gift Card or Novus Product Discount.
  • Review with no image -- $10/€7/£6/$10 CAD/¥70 Yuan/¥1110 Yen
  • Review with an image -- $25/€18/£15/$25 CAD/¥150 Yuan/¥2500 Yen

Product General Protocols

Video Protocols

WB Video Protocol
ICC/IF Video Protocol

FAQs for Bcl-xL Antibody (NBP2-67363) (0)

There are no specific FAQs related to this product. Read our general customer & technical service FAQs.

Secondary Antibodies

 

Isotype Controls

Additional Bcl-xL Products

Research Areas for Bcl-xL Antibody (NBP2-67363)

Find related products by research area.

Blogs on Bcl-xL.

BAG3 - Hsp70 is my friend!
The BAG proteins are a large family of chaperone regulators governing a wide range of cell processes such as proliferation, survival, stress response, tumorigenesis, neuronal differentiation, growth arrest and apoptosis as reviewed in Takayama et al1....  Read full blog post.

Contact Information

Product PDFs

Calculators

Concentration Calculator

The concentration calculator allows you to quickly calculate the volume, mass or concentration of your vial. Simply enter your mass, volume, or concentration values for your reagent and the calculator will determine the rest.

=
÷

Review this Product

Be the first to review our Bcl-xL Antibody (SZ3-03) and receive a gift card or discount.

Bioinformatics

Gene Symbol BCL2L1