Aurora A Antibody - BSA Free

Images

 
Immunocytochemistry/ Immunofluorescence: Aurora A Antibody [NBP1-51843] - HeLa cells were fixed and permeabilized for 10 minutes using -20C MeOH. The cells were incubated with anti- (NBP1-51843) at 2 ug/ml overnight at ...read more
Simple Western: Aurora A Antibody [NBP1-51843] - Simple Western lane view shows a specific band for Aurora A in 0.5 mg/ml of HeLa lysate. This experiment was performed under reducing conditions using the 12-230kDa ...read more
Immunocytochemistry/ Immunofluorescence: Aurora A Antibody [NBP1-51843] - IF Confocal analysis of HeLa cells using Aurora A antibody (NBP1-51843, 1:10). An Alexa Fluor 488-conjugated Goat to rabbit IgG was used as ...read more
Western Blot: Aurora A Antibody [NBP1-51843] - WB detection of Aurora A in HeLa whole cell lysate.
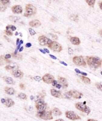
Immunohistochemistry: Aurora A Antibody [NBP1-51843] - IHC staining of Aurora A in mouse brain.
Simple Western: Aurora A Antibody - BSA Free [NBP1-51843] - Analysis of protein expression post-drug treatment. (A) CHLA-10 and (B) TC-71 cells treated with drugs were assessed for changes in protein expression 24 h ...read more
An in silico bioinformatics screen identifies mitotic proteins essential for EWS growth. (A) The DepMap portal was used to access the RNA expression data across different cancer cell lines. Expression in Ewing sarcoma ...read more

Product Details

Summary
Reactivity Hu, MuSpecies Glossary
Applications WB, Simple Western, ICC/IF, IHC
Clonality
Polyclonal
Host
Rabbit
Conjugate
Unconjugated
Format
BSA Free
Concentration
1.0 mg/ml

Order Details

Aurora A Antibody - BSA Free Summary

Description
Novus Biologicals Rabbit Aurora A Antibody - BSA Free (NBP1-51843) is a polyclonal antibody validated for use in IHC, WB, ICC/IF and Simple Western. Anti-Aurora A Antibody: Cited in 7 publications. All Novus Biologicals antibodies are covered by our 100% guarantee.
Immunogen
A recombinant protein made to an N-terminal region of the human Aurora A protein (within residues 50-200). [Swiss-Prot O14965]
Localization
Centrosome, Spindle pole. Note: Detected at the neurite hillock in developing neurons. Localizes on centrosomes in interphase cells and at each spindle pole in mitosis.
Marker
Mitosis Marker
Isotype
IgG
Clonality
Polyclonal
Host
Rabbit
Gene
AURKA
Purity
Immunogen affinity purified
Innovator's Reward
Test in a species/application not listed above to receive a full credit towards a future purchase.

Applications/Dilutions

Dilutions
  • Immunocytochemistry/ Immunofluorescence 2 ug/ml
  • Immunohistochemistry 1:200
  • Immunohistochemistry-Paraffin 1:200
  • Simple Western 1:200
  • Western Blot 1 - 2 ug/ml
Application Notes
This AURKA antibody is useful for Immunohistochemistry and Western blot, where a band is seen ~45 kDa. Prior to immunostaining paraffin tissues, antigen retrieval with sodium citrate buffer (pH 6.0) is recommended.

In Simple Western only 10 - 15 uL of the recommended dilution is used per data point.
See Simple Western Antibody Database for Simple Western validation: Tested in HeLa lysate 0.5 mg/mL, separated by Size, antibody dilution of 1:200, apparent MW was 56 kDa. Separated by Size-Wes, Sally Sue/Peggy Sue.
Control
HeLa Whole Cell Lysate
Reviewed Applications
Read 1 Review rated 5
using
NBP1-51843 in the following applications:

Publications
Read Publications using
NBP1-51843 in the following applications:

Packaging, Storage & Formulations

Storage
Store at 4C short term. Aliquot and store at -20C long term. Avoid freeze-thaw cycles.
Buffer
PBS
Preservative
0.05% Sodium Azide
Concentration
1.0 mg/ml
Purity
Immunogen affinity purified

Alternate Names for Aurora A Antibody - BSA Free

  • AIK
  • AIKAurA
  • ARK1
  • ARK-1
  • ARK1EC 2.7.11.1
  • AURA
  • AURKA
  • Aurora A
  • aurora kinase AhARK1
  • aurora/IPL1-like kinase
  • Aurora/IPL1-related kinase 1
  • Aurora-related kinase 1
  • Breast tumor-amplified kinase
  • breast-tumor-amplified kinase
  • BTAK
  • BTAKAURORA2
  • EC 2.7.11
  • IPL1-related kinase
  • serine/threonine kinase 6
  • serine/threonine protein kinase 15
  • Serine/threonine-protein kinase 15
  • serine/threonine-protein kinase 6
  • Serine/threonine-protein kinase aurora-A
  • STK15
  • STK15serine/threonine kinase 15
  • STK6
  • STK6MGC34538
  • STK7

Background

Aurora A is a cytoplasmic serine/threonine kinase that is critical in transitioning cells through mitosis and meiosis. Aurka acts through phosphorylating several spindle and tubulin proteins. Without Aurka, axon and neuron formation are negatively impacted. When these critical cellular processes are disrupted, there is a potential for tumorgenesis, and thus Aurka is implicated in many cancers, particularly those of the blood. In studies of angiofibromas, both MDM1 and Aurka were amplified. Overall, cell proliferation seems proportional to the expression of Aurka.

Limitations

This product is for research use only and is not approved for use in humans or in clinical diagnosis. Primary Antibodies are guaranteed for 1 year from date of receipt.

Customers Who Viewed This Item Also Viewed...

NBP3-30941
Species: Hu, Rt
Applications: IHC, WB
NB100-294
Species: Hu, Mu, Rt
Applications: ICC/IF, IHC,  IHC-P, IP, MiAr, WB
NBP3-32061
Species: Hu, Mu, Rt
Applications: Flow, IHC,  IHC-P, WB
NBP1-51843
Species: Hu, Mu
Applications: ICC/IF, IHC,  IHC-P, Simple Western, WB
NB200-103
Species: Hu, Mu, Rt, Xp(-), Ye
Applications: CyTOF-ready, ELISA, Flow-IC, Flow, ICC/IF, IHC, IHC-Fr,  IHC-P, IP, WB
H00004854-M01
Species: Hu
Applications: ELISA, ICC/IF, IHC, IHC-Fr,  IHC-P, WB
AF3847
Species: Hu
Applications: ICC, WB
NB500-179
Species: Hu, Ma, Mu, Po, Rt
Applications: Flow, ICC/IF, IP, KD, Simple Western, WB
NBP3-17040
Species: Hu
Applications: IHC,  IHC-P, WB
NBP2-44520
Species: Ca(-), Hu, Rt(-)
Applications: Flow-IC, Flow, ICC/IF, IF, IHC,  IHC-P, MI, WB
NBP1-48291
Species: Hu, Mu, Rt
Applications: Flow, IHC,  IHC-P, IP, WB
NB120-14817
Species: Hu, Rt
Applications: ICC/IF, IHC, S-ELISA, WB
AF1052
Species: Hu
Applications: CyTOF-ready, Flow, IHC, Simple Western, WB
H00051380-M02
Species: Hu
Applications: ELISA, ICC/IF, S-ELISA, WB
AF2935
Species: Hu
Applications: WB
NBP1-84954
Species: Hu
Applications: IHC,  IHC-P
NBP2-29463
Species: Pm, Hu, Pm, Mu
Applications: Flow, ICC/IF, IHC,  IHC-P, WB

Publications for Aurora A Antibody (NBP1-51843)(7)

We have publications tested in 1 confirmed species: Human.

We have publications tested in 4 applications: IF/IHC, IHC-P, Simple Western, WB.


Filter By Application
IF/IHC
(1)
IHC-P
(2)
Simple Western
(1)
WB
(2)
All Applications
Filter By Species
Human
(6)
All Species
Showing Publications 1 - 7 of 7.
Publications using NBP1-51843 Applications Species
Turaga SM, Vishwakarma V, Hembruff SL et al. Inducing Mitotic Catastrophe as a Therapeutic Approach to Improve Outcomes in Ewing Sarcoma Cancers 2023-10-10 [PMID: 37894278] (Simple Western, Human) Simple Western Human
Sikorski K, Mehta A et al. A high-throughput pipeline for validation of antibodies. Nat Methods 2018-01-11 [PMID: 30377371] (Human)

Details:
Antibody validation based on denaturing gel electrophoresis of biotinylated cell lysates (PAGE) followed by mass spectrometry (MS) and antibody array analysis (MAP).
Human
Drpic Danica, Almeida Ana C, Aguiar Paulo et al. Chromosome Segregation Is Biased by Kinetochore Size. Current Biology : Cb 2018-01-01 [PMID: 29706521] (WB, Human) WB Human
Gasca J, Flores ML, Giraldez S et al. Loss of FBXW7 and accumulation of MCL1 and PLK1 promote paclitaxel resistance in breast cancer. Oncotarget. 2016-07-07 [PMID: 27409838] (WB) WB
Flores ML, Castilla C, Gasca J, Medina R. Loss of PKCdelta induces prostate cancer resistance to paclitaxel through activation of Wnt/beta-Catenin pathway and Mcl-1 accumulation. Molecular Cancer Therapeutics. 2016-04-13 [PMID: 27196755] (IF/IHC, Human) IF/IHC Human
Casorzo L, Dell'Aglio C, Sarotto I, Risio M. Aurora kinase A gene copy number is associated with the malignant transformation of colorectal adenomas but not with the serrated neoplasia progression Hum. Pathol. 2015-03-01 [PMID: 25596657] (IHC-P, Human) IHC-P Human
Honma K, Nakanishi R, Nakanoko T et al. Contribution of Aurora-A and -B expression to DNA aneuploidy in gastric cancers Surg Today 2013-04-10 [PMID: 23572383] (IHC-P, Human) IHC-P Human

Review for Aurora A Antibody (NBP1-51843) (1) 51

Average Rating: 5
(Based on 1 review)
We have 1 review tested in 1 species: Human.

Reviews using NBP1-51843:
Filter by Applications
ICC
(1)
All Applications
Filter by Species
Human
(1)
All Species
Images Ratings Applications Species Date Details
Immunocytochemistry Aurora A NBP1-51843
Enlarge
5
reviewed by:
Bryan Tinsley
ICC Human 07/01/2014
View

Summary

ApplicationImmunocytochemistry
SpeciesHuman

Product General Protocols

Video Protocols

WB Video Protocol
ICC/IF Video Protocol

FAQs for Aurora A Antibody (NBP1-51843). (Showing 1 - 2 of 2 FAQs).

  1. What are the better positive controls for Aurora A Antibody (NBP1-51843) in the immunohistochemistry reaction, dilution used and antigen retrieval?
    • The dilution we recommend for IHC is 1:50 and here is our protocol for Antigen Unmasking: Bring slides to a boil in 10 mM sodium citrate buffer (pH 6.0) then maintain at a sub-boiling temperature for 10 minutes. Cool slides on bench-top for 30 minutes. As far as positive control is concerned, Aurora A is highly expressed in testis, colon, ovarian, prostate, neuroblastoma, breast and cervical cancer, so that you may include one of these tissues as your positive controls.
  2. Aurora A Antibody NBP1-51843 says it is compatible for IF at 1:10-1:2000. Do you have a more accurate concentration for paraffin embedded tissue? 5um sections. Thanks.
    • IF/ICC is our abbreviation for immunofluorescencestaining of cells. For IHC with paraffin-embedded tissue the recommended starting dilution is 1:50. Antigen retrieval with sodium citrate buffer (pH 6.0) is recommended for this antibody when performing IHC-P. Please accept my apologies for any confusion, and feel free to contact me should you have any further questions.

Customers Who Bought This Also Bought

Contact Information

Product PDFs

Calculators

Concentration Calculator

The concentration calculator allows you to quickly calculate the volume, mass or concentration of your vial. Simply enter your mass, volume, or concentration values for your reagent and the calculator will determine the rest.

=
÷

Recent Reviews

5
5
1
4
0
3
0
2
0
1
0

Bryan Tinsley
07/01/2014
Application: ICC
Species: Human

Bioinformatics

Gene Symbol AURKA
Entrez
Uniprot