ARHGAP28 Antibody - BSA Free

Images

 
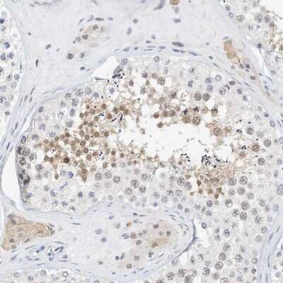
Immunohistochemistry-Paraffin: ARHGAP28 Antibody [NBP1-84641] - Staining of human testis shows moderate nuclear and cytoplasmic positivity in a subset of cells in seminiferus ducts.

Product Details

Summary
Reactivity HuSpecies Glossary
Applications IHC
Clonality
Polyclonal
Host
Rabbit
Conjugate
Unconjugated
Format
BSA Free

Order Details

View Available Formulations
Catalog# & Formulation Size Price

ARHGAP28 Antibody - BSA Free Summary

Description
Novus Biologicals Rabbit ARHGAP28 Antibody - BSA Free (NBP1-84641) is a polyclonal antibody validated for use in IHC. All Novus Biologicals antibodies are covered by our 100% guarantee.
Immunogen
This antibody was developed against Recombinant Protein corresponding to amino acids: KSIPRCRRINRMLSNESLHPPAFSRSNSEASVDSASMEDFWREIESIKDSSMGGQEEPPPAEVTPVD
Isotype
IgG
Clonality
Polyclonal
Host
Rabbit
Gene
ARHGAP28
Purity
Affinity purified
Innovator's Reward
Test in a species/application not listed above to receive a full credit towards a future purchase.

Applications/Dilutions

Dilutions
  • Immunohistochemistry 1:50 - 1:200
  • Immunohistochemistry-Paraffin 1:50 - 1:200
Application Notes
For IHC-Paraffin, HIER pH 6 retrieval is recommended.
Control Peptide
ARHGAP28 Protein (NBP1-84641PEP)

Packaging, Storage & Formulations

Storage
Store at 4C short term. Aliquot and store at -20C long term. Avoid freeze-thaw cycles.
Buffer
PBS (pH 7.2) and 40% Glycerol
Preservative
0.02% Sodium Azide
Purity
Affinity purified

Alternate Names for ARHGAP28 Antibody - BSA Free

  • DKFZp686A2038
  • FLJ10312
  • KIAA1314FLJ27160
  • Rho GTPase activating protein 28
  • rho GTPase-activating protein 28
  • Rho-type GTPase-activating protein 28

Background

The ARHGAP28 gene encodes for a Rho GTPase-activating protein 28 that converts them to an inactive GDP-bound state. ARHGAP28 exists in four isoforms: isoform 1 is 729 amino acids long, 82 kDA; isoform 2 is 670 amino acids long, 75 kDA; isoform 3 is 545 amino acids long, nearly 62 kDA; isoform 5 is 570 amino acids long, 64 kDA (note, there is no isoform 4). ARHGAP28 functions in signal transduction and Rho GTPase cycle and has been investigated in various diseases such as benign meningioma.

Limitations

This product is for research use only and is not approved for use in humans or in clinical diagnosis. Primary Antibodies are guaranteed for 1 year from date of receipt.

Customers Who Viewed This Item Also Viewed...

NB110-68136
Species: Fe, Hu, Mu, Rt
Applications: CyTOF-ready, ELISA, Flow-IC, Flow, ICC/IF, IHC, IHC-Fr,  IHC-P, WB
AF2944
Species: Hu
Applications: Simple Western, WB
NBP1-84725
Species: Hu
Applications: IHC,  IHC-P, WB
NB100-2527
Species: Hu, Mu, Po, Rt
Applications: ICC/IF, IHC,  IHC-P, KD, Simple Western, WB
973-TM
Species: Hu
Applications: InhibAct
1159-SB
Species: Hu
Applications: BA
NBP2-39100
Species: Hu, Mu, Rt
Applications: ELISA, ICC/IF, IHC,  IHC-P, WB
NBP2-34906
Species: Hu
Applications: BA, PAGE
H00001164-M01
Species: Hu
Applications: ELISA, ICC/IF, S-ELISA, WB
AF5928
Species: Hu
Applications: ICC, IHC, WB
NBP2-30589
Species: Hu
Applications: ICC/IF, IHC,  IHC-P
AF4036
Species: Hu
Applications: Simple Western, WB
NBP3-24841
Species: Hu
Applications: ICC/IF
DY1177-05
Species: Hu
Applications: ELISA
MMP200
Species: Ca, Hu, Mu, Po, Rt
Applications: ELISA
NBP1-86731
Species: Hu
Applications: ICC/IF, IHC,  IHC-P, WB
AF2910
Species: Mu
Applications: CyTOF-ready, Flow, ICC, IHC, IP, WB
NB100-78486
Species: Hu, Mu, Rt(-)
Applications: CyTOF-ready, Flow, ICC/IF, IHC,  IHC-P, IP, KO, WB
NB500-201
Species: Ca, Fe, Gp, Ha, Hu, Mu, Rt
Applications: ChIP, Dual ISH-IHC, ELISA, Flow, ICC/IF, IHC, IHC-Fr,  IHC-P, IP, KD, Simple Western, WB
AF4199
Species: Hu, Mu, Rt
Applications: IHC, Simple Western, WB

Publications for ARHGAP28 Antibody (NBP1-84641) (0)

There are no publications for ARHGAP28 Antibody (NBP1-84641).
By submitting your publication information earn gift cards and discounts for future purchases.

Reviews for ARHGAP28 Antibody (NBP1-84641) (0)

There are no reviews for ARHGAP28 Antibody (NBP1-84641). By submitting a review you will receive an Amazon e-Gift Card or Novus Product Discount.
  • Review with no image -- $10/€7/£6/$10 CAD/¥70 Yuan/¥1110 Yen
  • Review with an image -- $25/€18/£15/$25 CAD/¥150 Yuan/¥2500 Yen

Product General Protocols

Find general support by application which include: protocols, troubleshooting, illustrated assays, videos and webinars.

FAQs for ARHGAP28 Antibody (NBP1-84641) (0)

There are no specific FAQs related to this product. Read our general customer & technical service FAQs.

Customers Who Bought This Also Bought

Contact Information

Product PDFs

Calculators

Concentration Calculator

The concentration calculator allows you to quickly calculate the volume, mass or concentration of your vial. Simply enter your mass, volume, or concentration values for your reagent and the calculator will determine the rest.

=
÷

Review this Product

Be the first to review our ARHGAP28 Antibody - BSA Free and receive a gift card or discount.

Bioinformatics

Gene Symbol ARHGAP28