Apoptosis enhancing nuclease Antibody - BSA Free

Images

 
Western Blot: Apoptosis enhancing nuclease Antibody [NBP1-31700] - Sample (30 ug of whole cell lysate) A: Hela 10% SDS PAGE; antibody diluted at 1:1000.
Immunocytochemistry/ Immunofluorescence: Apoptosis enhancing nuclease Antibody [NBP1-31700] - Sample: HCT 116 cells were fixed in 4% paraformaldehyde at RT for 15 min. Green: Apoptosis-enhancing nuclease protein stained ...read more
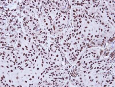
Immunohistochemistry-Paraffin: Apoptosis enhancing nuclease Antibody [NBP1-31700] - Cal27 Xenograft, using antibody at 1:100 dilution.

Product Details

Summary
Reactivity HuSpecies Glossary
Applications WB, ICC/IF, IHC
Clonality
Polyclonal
Host
Rabbit
Conjugate
Unconjugated
Format
BSA Free

Order Details

Apoptosis enhancing nuclease Antibody - BSA Free Summary

Description
Novus Biologicals Rabbit Apoptosis enhancing nuclease Antibody - BSA Free (NBP1-31700) is a polyclonal antibody validated for use in IHC, WB and ICC/IF. All Novus Biologicals antibodies are covered by our 100% guarantee.
Immunogen
Carrier-protein conjugated synthetic peptide encompassing a sequence within the C-terminus region of human Apoptosis-enhancing nuclease. The exact sequence is proprietary.
Localization
Nucleus, nucleolus
Isotype
IgG
Clonality
Polyclonal
Host
Rabbit
Gene
AEN
Purity
Antigen Affinity-purified
Innovator's Reward
Test in a species/application not listed above to receive a full credit towards a future purchase.

Applications/Dilutions

Dilutions
  • Immunocytochemistry/ Immunofluorescence 1:100-1:1000
  • Immunohistochemistry 1:100-1:1000
  • Immunohistochemistry-Paraffin 1:100-1:1000
  • Western Blot 1:500-1:3000
Theoretical MW
36 kDa.
Disclaimer note: The observed molecular weight of the protein may vary from the listed predicted molecular weight due to post translational modifications, post translation cleavages, relative charges, and other experimental factors.

Reactivity Notes

Mouse (83%), Rat (83%).

Packaging, Storage & Formulations

Storage
Aliquot and store at -20C or -80C. Avoid freeze-thaw cycles.
Buffer
0.1M Tris, 0.1M Glycine, 10% Glycerol
Preservative
0.01% Thimerosal
Purity
Antigen Affinity-purified

Alternate Names for Apoptosis enhancing nuclease Antibody - BSA Free

  • apoptosis enhancing nuclease
  • EC 3.1
  • EC 3.1.13.1
  • FLJ12484
  • FLJ12562
  • interferon stimulated exonuclease gene 20kDa-like 1
  • Interferon-stimulated 20 kDa exonuclease-like 1
  • ISG20L1apoptosis-enhancing nuclease
  • pp12744

Limitations

This product is for research use only and is not approved for use in humans or in clinical diagnosis. Primary Antibodies are guaranteed for 1 year from date of receipt.

Customers Who Viewed This Item Also Viewed...

NB200-103
Species: Hu, Mu, Rt, Xp(-), Ye
Applications: CyTOF-ready, ELISA, Flow-IC, Flow, ICC/IF, IHC, IHC-Fr,  IHC-P, IP, WB
NBP3-04961
Species: Hu, Mu, Rt
Applications: ELISA, ICC/IF, WB
NBL1-12049
Species: Hu
Applications: WB
NBP2-29463
Species: Pm, Hu, Pm, Mu
Applications: Flow, ICC/IF, IHC,  IHC-P, WB
NB120-13550
Species: Hu, Mu, Rt
Applications: ICC/IF, IHC,  IHC-P, WB
NBP2-67471
Species: Hu, Mu, Rt
Applications: ICC/IF, IHC,  IHC-P, WB
NBP2-47403
Species: Hu
Applications: ICC/IF, IHC,  IHC-P, WB
AF6897
Species: Hu, Mu
Applications: IHC, Simple Western, WB
AF5510
Species: Hu
Applications: WB
NB110-61646
Species: Hu, Mu
Applications: ICC/IF, IHC,  IHC-P, IP, WB
NB100-56537
Species: Hu, Mu
Applications: ChIP, ChIP, ICC/IF, IHC, IHC-Fr,  IHC-P, IP, KD, WB
NB110-53818
Species: Al, Bv, Dr, Fi, Gp, Hu, Mu, Po, Pm, Rt, Xp, Ze
Applications: EM, ELISA, Flow, IB, ICC/IF, IHC,  IHC-P, IP, KD, KO, PLA, RIA, Simple Western, WB
NBP1-18885
Species: Hu
Applications: ICC/IF, IHC,  IHC-P, IP, KO, WB
AF7355
Species: Hu
Applications: ICC, Simple Western, WB
NB100-800
Species: Hu
Applications: PEP-ELISA, WB
DGD150
Species: Hu
Applications: ELISA
485-MI
Species: Mu
Applications: BA
NBP1-33169
Species: Hu, Mu
Applications: WB
NB100-2736
Species: Hu, Mu, Rt
Applications: IHC, IHC-Fr,  IHC-P, IP, WB
NBP1-31700
Species: Hu
Applications: WB, ICC/IF, IHC
⚠ WARNING: This product can expose you to chemicals including mercury, which is known to the State of California to cause reproductive toxicity with developmental effects.  For more information go to www.P65Warnings.ca.gov.

Publications for Apoptosis enhancing nuclease Antibody (NBP1-31700) (0)

There are no publications for Apoptosis enhancing nuclease Antibody (NBP1-31700).
By submitting your publication information earn gift cards and discounts for future purchases.

Reviews for Apoptosis enhancing nuclease Antibody (NBP1-31700) (0)

There are no reviews for Apoptosis enhancing nuclease Antibody (NBP1-31700). By submitting a review you will receive an Amazon e-Gift Card or Novus Product Discount.
  • Review with no image -- $10/€7/£6/$10 CAD/¥70 Yuan/¥1110 Yen
  • Review with an image -- $25/€18/£15/$25 CAD/¥150 Yuan/¥2500 Yen

Product General Protocols

Find general support by application which include: protocols, troubleshooting, illustrated assays, videos and webinars.

Video Protocols

WB Video Protocol
ICC/IF Video Protocol

FAQs for Apoptosis enhancing nuclease Antibody (NBP1-31700) (0)

There are no specific FAQs related to this product. Read our general customer & technical service FAQs.

Secondary Antibodies

 

Isotype Controls

Additional Apoptosis enhancing nuclease Products

Research Areas for Apoptosis enhancing nuclease Antibody (NBP1-31700)

Find related products by research area.

Blogs on Apoptosis enhancing nuclease

There are no specific blogs for Apoptosis enhancing nuclease, but you can read our latest blog posts.

Customers Who Bought This Also Bought

Contact Information

Product PDFs

Calculators

Concentration Calculator

The concentration calculator allows you to quickly calculate the volume, mass or concentration of your vial. Simply enter your mass, volume, or concentration values for your reagent and the calculator will determine the rest.

=
÷

Review this Product

Be the first to review our Apoptosis enhancing nuclease Antibody - BSA Free and receive a gift card or discount.

Bioinformatics

Gene Symbol AEN