Androgen R/NR3C4 Antibody (rDHTR/8818) - Azide and BSA Free

Images

 
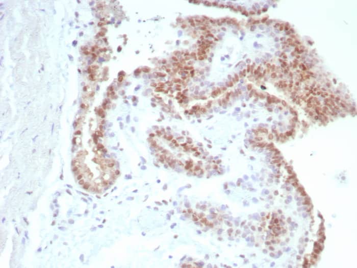
Formalin-fixed, paraffin-embedded human prostate carcinoma stained with Androgen R/NR3C4 antibody (rDHTR/8818) - Azide and BSA Free. HIER: Tris/EDTA, pH9.0, 45min. Secondary: HRP-polymer, 30min. DAB, 5min.

Product Details

Summary
Reactivity HuSpecies Glossary
Applications IHC
Clone
rDHTR/8818
Clonality
Monoclonal
Host
Mouse
Conjugate
Unconjugated
Format
Azide and BSA Free
Concentration
1 mg/ml

Order Details

Androgen R/NR3C4 Antibody (rDHTR/8818) - Azide and BSA Free Summary

Description
Antibody without azide - store at -20 to -80C.
Additional Information
Recombinant Monoclonal Antibody
Immunogen
Recombinant full-length human Androgen R/NR3C4 protein
Localization
Nucleus.
Marker
Marker of Androgen Dependence
Isotype
IgG Kappa
Clonality
Monoclonal
Host
Mouse
Gene
AR
Purity
Protein A or G purified
Innovator's Reward
Test in a species/application not listed above to receive a full credit towards a future purchase.

Applications/Dilutions

Dilutions
  • Immunohistochemistry-Paraffin 1-2ug/ml
Application Notes
Immunohistochemistry-Paraffin: 1-2ug/ml for 30 minutes at RT. Staining of formalin-fixed tissues requires heating tissue sections in 10mM Tris with 1mM EDTA, pH 9.0, for 45 min at 95C followed by cooling at RT for 20 minutes. Optimal dilution for a specific application should be determined.

Packaging, Storage & Formulations

Storage
Store at -20 to -80C. Avoid freeze-thaw cycles.
Buffer
1mM PBS
Preservative
No Preservative
Concentration
1 mg/ml
Purity
Protein A or G purified

Alternate Names for Androgen R/NR3C4 Antibody (rDHTR/8818) - Azide and BSA Free

  • AIS
  • Androgen R
  • androgen receptor
  • AndrogenR
  • AR
  • DHTR
  • DHTRTFM
  • Dihydrotestosterone receptorHYSP1
  • HUMARA
  • NR3C4
  • NR3C4KD
  • Nuclear receptor subfamily 3 group C member 4
  • SBMA
  • SMAX1
  • SMAX1SBMA
  • spinal and bulbar muscular atrophy

Background

Androgens have a broad range of effects on the appearance and maintenance of male secondary sexual characteristics. Like other members of the steroid superfamily, the androgen receptor (AR) consists of an amino terminal modulating domain, a central DNA binding domain, a hinge region and a carboxy terminal ligand binding domain. The androgen receptor (AR) is a 110 kDa androgen-dependent transcription factor that is a member of the steroid/nuclear receptor gene superfamily. The AR signaling pathway plays a key role in development and function of male reproductive organs, including the prostate and epididymis. AR also plays a role in nonreproductive organs, such as muscle, hair follicles, and brain. Abnormalities in the AR signaling pathway have been linked to a number of diseases, including prostate cancer, Kennedy's disease and male infertility. The PI3K/Akt signaling pathway plays an important role in regulating AR activity through phosphorylation of AR at Ser213/210 and Ser791/790. Growth factors or cytokines may induce phosphorylation of AR through the PI3K/Akt pathway. Activation of the PI3K/AKt pathway is thought to have a survival role in prostate cancer by protecting cells from apoptosis.

Limitations

This product is for research use only and is not approved for use in humans or in clinical diagnosis. Primary Antibodies are guaranteed for 1 year from date of receipt.

Customers Who Viewed This Item Also Viewed...

DKK300
Species: Hu
Applications: ELISA
AF5415
Species: Hu
Applications: ICC, IHC, Simple Western, WB
NB300-560
Species: Av, Bv, Ma, Hu, Mu, Pm, Rt
Applications: IF, IHC, IHC-Fr,  IHC-P, WB
AF4036
Species: Hu
Applications: Simple Western, WB
H00005324-M02
Species: Hu, Mu
Applications: ELISA, IHC,  IHC-P, WB
NBP3-48658
Species: Ca, Fe, Hu, Mu, Rt, Ze
Applications: ICC/IF, IHC,  IHC-P, WB
NBP1-32920
Species: Hu, Mu
Applications: ICC/IF, IHC,  IHC-P, KD, WB
H00005555-P01
Species: Hu
Applications: ELISA, AP, PA, PAGE, WB
NBP2-47602
Species: Hu
Applications: ICC/IF, IHC,  IHC-P
NB300-731
Species: Gp, Hu, Mu, Rb, Rt, Sh, Ye
Applications: B/N, ChIP, Flow, GS, ICC/IF, IHC,  IHC-P, IP, WB
AF231
Species: Hu
Applications: CyTOF-ready, Dual ISH-IHC, ELISA(Cap), ELISA(Det), ELISA(Sta), Flow, ICC, IHC, IP, Simple Western, WB
NB100-1596
Species: Hu, Mu, Pm, Rb, Rt
Applications: ICC/IF, IHC,  IHC-P, Simple Western, WB
NB200-305
Species: Hu, Pm, Mu
Applications: ChIP, DB, Flow, ICC/IF, IHC, IHC-Fr,  IHC-P, IP, Simple Western, WB
236-EG
Species: Hu
Applications: BA
AF887
Species: Hu, Mu, Rt
Applications: CyTOF-ready, IHC, ICFlow, Simple Western, WB
NBP1-89146
Species: Hu
Applications: ICC/IF, IHC,  IHC-P
NBP2-02164
Species: Hu, Mu, Rt
Applications: Flow, ICC/IF, IHC,  IHC-P, WB
H00000126-D01P
Species: Hu, Mu
Applications: WB
NBP3-35880
Species: Hu, Mu, Rt
Applications: ELISA, ICC/IF, WB
NBP1-90233
Species: Hu
Applications: IHC,  IHC-P, WB

Publications for Androgen R/NR3C4 Antibody (NBP3-24270) (0)

There are no publications for Androgen R/NR3C4 Antibody (NBP3-24270).
By submitting your publication information earn gift cards and discounts for future purchases.

Reviews for Androgen R/NR3C4 Antibody (NBP3-24270) (0)

There are no reviews for Androgen R/NR3C4 Antibody (NBP3-24270). By submitting a review you will receive an Amazon e-Gift Card or Novus Product Discount.
  • Review with no image -- $10/€7/£6/$10 CAD/¥70 Yuan/¥1110 Yen
  • Review with an image -- $25/€18/£15/$25 CAD/¥150 Yuan/¥2500 Yen

Product General Protocols

Find general support by application which include: protocols, troubleshooting, illustrated assays, videos and webinars.

FAQs for Androgen R/NR3C4 Antibody (NBP3-24270) (0)

There are no specific FAQs related to this product. Read our general customer & technical service FAQs.

Secondary Antibodies

 

Isotype Controls

Additional Androgen R/NR3C4 Products

Research Areas for Androgen R/NR3C4 Antibody (NBP3-24270)

Find related products by research area.

Blogs on Androgen R/NR3C4

There are no specific blogs for Androgen R/NR3C4, but you can read our latest blog posts.

Customers Who Bought This Also Bought

Contact Information

Product PDFs

Calculators

Concentration Calculator

The concentration calculator allows you to quickly calculate the volume, mass or concentration of your vial. Simply enter your mass, volume, or concentration values for your reagent and the calculator will determine the rest.

=
÷

Review this Product

Be the first to review our Androgen R/NR3C4 Antibody (rDHTR/8818) - Azide and BSA Free and receive a gift card or discount.

Bioinformatics

Gene Symbol AR