Aminopeptidase N/CD13 Antibody (SC70-01)

Images

 
Western Blot: Aminopeptidase N/CD13 Antibody (SC70-01) [NBP2-67602] - Western blot analysis of Aminopeptidase N/CD13 on different lysates. Proteins were transferred to a PVDF membrane and blocked with 5% BSA in PBS for ...read more
Immunocytochemistry/ Immunofluorescence: Aminopeptidase N/CD13 Antibody (SC70-01) [NBP2-67602] - Staining CD13 in LO2 cells (green). The nuclear counter stain is DAPI (blue). Cells were fixed in paraformaldehyde, ...read more
Immunohistochemistry-Paraffin: Aminopeptidase N/CD13 Antibody (SC70-01) [NBP2-67602] - Analysis of paraffin-embedded mouse colon tissue using anti-CD13 antibody. Counter stained with hematoxylin.
Western Blot: Aminopeptidase N/CD13 Antibody (SC70-01) [NBP2-67602] - Analysis of CD13 on different lysates using anti-CD13 antibody at 1/1,000 dilution. Positive control: Lane 1: THP-1 Lane 2: human heart Lane 3: U937
Immunocytochemistry/ Immunofluorescence: Aminopeptidase N/CD13 Antibody (SC70-01) [NBP2-67602] - Staining CD13 in SHG-44 cells (green). The nuclear counter stain is DAPI (blue). Cells were fixed in paraformaldehyde, ...read more
Immunocytochemistry/ Immunofluorescence: Aminopeptidase N/CD13 Antibody (SC70-01) [NBP2-67602] - Staining CD13 in AGS cells (green). The nuclear counter stain is DAPI (blue). Cells were fixed in paraformaldehyde, ...read more
Immunohistochemistry-Paraffin: Aminopeptidase N/CD13 Antibody (SC70-01) [NBP2-67602] - Analysis of paraffin-embedded human breast tissue using anti-CD13 antibody. Counter stained with hematoxylin.
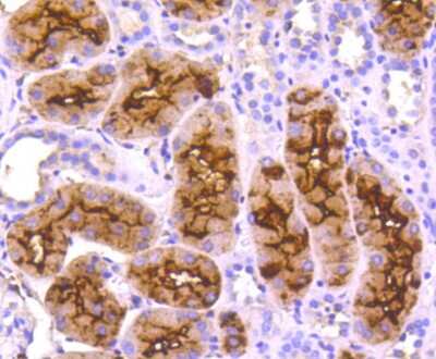
Immunohistochemistry-Paraffin: Aminopeptidase N/CD13 Antibody (SC70-01) [NBP2-67602] - Analysis of paraffin-embedded human kidney tissue using anti-CD13 antibody. Counter stained with hematoxylin.
Immunohistochemistry-Paraffin: Aminopeptidase N/CD13 Antibody (SC70-01) [NBP2-67602] - Analysis of paraffin-embedded human liver cancer tissue using anti-CD13 antibody. Counter stained with hematoxylin.
Immunohistochemistry-Paraffin: Aminopeptidase N/CD13 Antibody (SC70-01) [NBP2-67602] - Analysis of paraffin-embedded human tonsil tissue using anti-CD13 antibody. Counter stained with hematoxylin.
Immunohistochemistry-Paraffin: Aminopeptidase N/CD13 Antibody (SC70-01) [NBP2-67602] - Analysis of paraffin-embedded mouse brain tissue using anti-CD13 antibody. Counter stained with hematoxylin.

Product Details

Summary
Product Discontinued
View other related Aminopeptidase N/CD13 Primary Antibodies

Order Details


    • Catalog Number
      NBP2-67602
    • Availability
      Product Discontinued

    Can't find what you are looking for? Use our Antibody Concierge Service & we will help you locate your antibody!

    Or feel free to contact us for alternative products.

Aminopeptidase N/CD13 Antibody (SC70-01) Summary

Additional Information
Recombinant Monoclonal Antibody.
Immunogen
Synthetic peptide within Human Aminopeptidase N/CD13 aa 409-442 / 967. (SwissProt: P15144 Human; SwissProt: P97449 Mouse; SwissProt: P15684 Rat)
Localization
Cell membrane, Cytoplasm.
Isotype
IgG
Clonality
Monoclonal
Host
Rabbit
Gene
ANPEP
Purity
Protein A purified
Innovator's Reward
Test in a species/application not listed above to receive a full credit towards a future purchase.

Applications/Dilutions

Dilutions
  • Immunocytochemistry/ Immunofluorescence 1:100-1:500
  • Immunohistochemistry
  • Immunohistochemistry-Paraffin 1:50-1:200
  • Immunoprecipitation
  • Western Blot 1:500-1:5000

Packaging, Storage & Formulations

Storage
Store at 4C short term. Aliquot and store at -20C long term. Avoid freeze-thaw cycles.
Buffer
TBS (pH7.4), 0.05% BSA, 40% Glycerol
Preservative
0.05% Sodium Azide
Concentration
1 mg/ml
Purity
Protein A purified

Alternate Names for Aminopeptidase N/CD13 Antibody (SC70-01)

  • alanyl (membrane) aminopeptidase
  • Alanyl aminopeptidase
  • Aminopeptidase M
  • Aminopeptidase N
  • ANPEP
  • AP-M
  • APN
  • AP-N
  • CD13 antigen
  • CD13
  • CD13APN
  • EC 3.4.11
  • EC 3.4.11.2
  • gp150
  • LAP1
  • Microsomal aminopeptidase
  • Myeloid plasma membrane glycoprotein CD13
  • p150
  • PEPN
  • PEPNhAPN

Background

Alanine aminopeptidase (CD13) is expressed on the majority of peripheral blood monocytes and granulocytes. CD13 is also expressed by the majority of acute myeloid leukemias, chronic myeloid leukemias in myeloid blast crisis, a smaller percentage of lymphoid leukemias and myeloid cell lines. CD13 is also found in several types of non hematopoietic cells such as fibroblasts and endothelial cells and in a soluble form in blood plasma. CD13 is not expressed on B cells, T cells, platelets or erythrocytes. In the mouse, CD13 is a non-covalently linked homodimer of approximately 150kD subunits expressed by a variety of cells including monocytes, macrophages, dendritic cell and veiled cells. CD13 plays a role in biologically active peptide metabolism, in the control of growth and differentiation, in phagocytosis and in bactericidal/tumoricidal activities. CD13 also serves as a receptor for human coronaviruses.

CD13 is commonly used as a biomarker to detect damage to the kidneys, and that may be used to help diagnose certain kidney disorders. Therefore, CD13 antibodies are useful tools for cancer and renal disorder research.

Limitations

This product is for research use only and is not approved for use in humans or in clinical diagnosis. Primary Antibodies are guaranteed for 1 year from date of receipt.

Customers Who Viewed This Item Also Viewed...

NBP2-22377
Species: Hu
Applications: IHC,  IHC-P, WB
NBP2-79843
Species: Hu
Applications: CyTOF-ready, ELISA, Flow, ICC/IF, IHC,  IHC-P, PA, WB
7268-CT
Species: Hu
Applications: BA
AF1126
Species: Mu
Applications: ELISA(Cap), ELISA(Det), ELISA(Sta), IHC, IP, WB
NB100-524
Species: Hu, Mu
Applications: Flow-IC, Flow, ICC/IF, IHC, IHC-Fr,  IHC-P, IP, WB
AF1180
Species: Hu
Applications: ICC, IHC, Simple Western, WB
AF4117
Species: Rt
Applications: IHC, WB
AF1730
Species: Hu
Applications: AdBlk, CyTOF-ready, Flow, ICC
NB110-89474
Species: Bv, Ce, ChHa, Hu, Pm, Mu, Rt, RM
Applications: Dual ISH-IHC, Flow-CS, Flow, ICC/IF, IHC, IHC-Fr,  IHC-P, ISH, Simple Western, Single-Cell Western, WB
NBP2-80573
Species: Mu
Applications: CyTOF-ready, Flow, IHC,  IHC-P, IP
DC140
Species: Hu
Applications: ELISA
NBP2-93743
Species: Hu, Mu, Rt
Applications: ICC/IF, WB
MAB3595
Species: Hu
Applications: CyTOF-ready, Flow, Simple Western, WB
NBP2-25196
Species: Hu, Mu
Applications: CyTOF-ready, Flow, ICC/IF, In vitro, WB
AF114
Species: Mu
Applications: CyTOF-ready, Flow, ICC, IHC, WB
NBP2-37368
Species: Hu
Applications: CyTOF-ready, ELISA, Flow, IMC, IHC,  IHC-P, WB
AF3667
Species: Hu, Mu
Applications: Dual ISH-IHC, ICC, IHC, Simple Western, WB
NBP1-81838
Species: Hu, Mu
Applications: IHC,  IHC-P, WB
NBP2-67602
Species: Hu, Mu, Rt
Applications: WB, ICC/IF, IHC, IP

Publications for Aminopeptidase N/CD13 Antibody (NBP2-67602) (0)

There are no publications for Aminopeptidase N/CD13 Antibody (NBP2-67602).
By submitting your publication information earn gift cards and discounts for future purchases.

Reviews for Aminopeptidase N/CD13 Antibody (NBP2-67602) (0)

There are no reviews for Aminopeptidase N/CD13 Antibody (NBP2-67602). By submitting a review you will receive an Amazon e-Gift Card or Novus Product Discount.
  • Review with no image -- $10/€7/£6/$10 CAD/¥70 Yuan/¥1110 Yen
  • Review with an image -- $25/€18/£15/$25 CAD/¥150 Yuan/¥2500 Yen

Product General Protocols

Find general support by application which include: protocols, troubleshooting, illustrated assays, videos and webinars.

Video Protocols

WB Video Protocol
ICC/IF Video Protocol

FAQs for Aminopeptidase N/CD13 Antibody (NBP2-67602) (0)

There are no specific FAQs related to this product. Read our general customer & technical service FAQs.

Contact Information

Product PDFs

Calculators

Concentration Calculator

The concentration calculator allows you to quickly calculate the volume, mass or concentration of your vial. Simply enter your mass, volume, or concentration values for your reagent and the calculator will determine the rest.

=
÷

Review this Product

Be the first to review our Aminopeptidase N/CD13 Antibody (SC70-01) and receive a gift card or discount.

Bioinformatics

Gene Symbol ANPEP