Aminopeptidase N/CD13 Antibody (R3-63)

Images

 
Immunocytochemistry/ Immunofluorescence: Aminopeptidase N/CD13 Antibody (R3-63) [NBP2-23492] - Staining of a mouse lymph node cryosection with Rat anti Mouse CD13 antibody, clone R3-63,, green in A and Rat anti Mouse ...read more
Immunohistochemistry: Aminopeptidase N/CD13 Antibody (R3-63) [NBP2-23492] - Staining can be observed in normal mouse liver (Green). Image from a verified customer review.
Flow Cytometry: Aminopeptidase N/CD13 Antibody (R3-63) [NBP2-23492] - Staining of mouse peripheral blood mononuclear cells with Rat anti Mouse CD13: Alexa Fluo r(R) 488
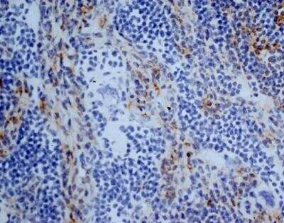
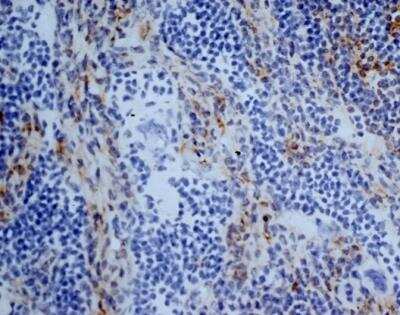
Immunohistochemistry-Frozen: Aminopeptidase N/CD13 Antibody (R3-63) [NBP2-23492] - Staining of mouse lymph node cryosection eith Rat anti Mouse antibody clone R3-63 followed by horseradish peroxidase Goat anti Rat IgG ...read more
Immunohistochemistry-Frozen: Aminopeptidase N/CD13 Antibody (R3-63) [NBP2-23492] - Saining of mouse lymph node cryosection eith Rat anti Mouse antibody clone R3-63 followed by horseradish peroxidase Goat anti Rat IgG ...read more

Product Details

Summary
Product Discontinued
View other related Aminopeptidase N/CD13 Primary Antibodies

Order Details


    • Catalog Number
      NBP2-23492
    • Availability
      Product Discontinued

    Can't find what you are looking for? Use our Antibody Concierge Service & we will help you locate your antibody!

    Or feel free to contact us for alternative products.

Aminopeptidase N/CD13 Antibody (R3-63) Summary

Immunogen
Mouse intestinal APN
Specificity
recognises mouse aminopeptidase N (APN), a cell surface protein homologous with human CD13. In the mouse, CD13 is a non-covalently linked homodimer of approximately 150kD subunits expressed by a variety of cells including monocytes, macrophages, dendritic cell and veiled cells.
Preparation
Method
Spleen cells from immunised mice were fused with cells of the IR983F rat myeloma cell line.
Isotype
IgG2a
Clonality
Monoclonal
Host
Rat
Gene
ANPEP
Purity
Protein G purified
Endotoxin Note
<0.01EU/ug
Innovator's Reward
Test in a species/application not listed above to receive a full credit towards a future purchase.

Applications/Dilutions

Dilutions
  • CyTOF-ready
  • Flow Cytometry 1:50-1:100
  • Functional
  • Immunocytochemistry/ Immunofluorescence 1:10-1:500
  • Immunohistochemistry 1:10-1:500
  • Immunohistochemistry-Frozen 1:10-1:500
  • Immunohistochemistry-Paraffin 1:10-1:500
Application Notes
IHC reported in a verified customer review.
Publications
Read Publication using
NBP2-23492 in the following applications:

Reactivity Notes

Human reactivity reported in scientific literature (Saare M et al).

Packaging, Storage & Formulations

Storage
Store at -20C. Avoid freeze-thaw cycles.
Buffer
PBS
Preservative
No Preservative
Concentration
1.0 mg/ml
Purity
Protein G purified

Alternate Names for Aminopeptidase N/CD13 Antibody (R3-63)

  • alanyl (membrane) aminopeptidase
  • Alanyl aminopeptidase
  • Aminopeptidase M
  • Aminopeptidase N
  • ANPEP
  • AP-M
  • APN
  • AP-N
  • CD13 antigen
  • CD13
  • CD13APN
  • EC 3.4.11
  • EC 3.4.11.2
  • gp150
  • LAP1
  • Microsomal aminopeptidase
  • Myeloid plasma membrane glycoprotein CD13
  • p150
  • PEPN
  • PEPNhAPN

Background

Aminopeptidase N is located in the small-intestinal and renal microvillar membrane, and also in other plasma membranes. In the small intestine aminopeptidase N plays a role in the final digestion of peptides generated from hydrolysis of proteins by gastric and pancreatic proteases. Its function in proximal tubular epithelial cells and other cell types is less clear. The large extracellular carboxyterminal domain contains a pentapeptide consensus sequence characteristic of members of the zinc-binding metalloproteinase superfamily. Sequence comparisons with known enzymes of this class showed that CD13 and aminopeptidase N are identical. The latter enzyme was thought to be involved in the metabolism of regulatory peptides by diverse cell types, including small intestinal and renal tubular epithelial cells, macrophages, granulocytes, and synaptic membranes from the CNS. Human aminopeptidase N is a receptor for one strain of human coronavirus that is an important cause of upper respiratory tract infections. Defects in this gene appear to be a cause of various types of leukemia or lymphoma. [provided by RefSeq]

Limitations

This product is for research use only and is not approved for use in humans or in clinical diagnosis. Primary Antibodies are guaranteed for 1 year from date of receipt.

Customers Who Viewed This Item Also Viewed...

NBP2-22377
Species: Hu
Applications: IHC,  IHC-P, WB
NBP2-79843
Species: Hu
Applications: CyTOF-ready, ELISA, Flow, ICC/IF, IHC,  IHC-P, PA, WB
7268-CT
Species: Hu
Applications: BA
AF1126
Species: Mu
Applications: ELISA(Cap), ELISA(Det), ELISA(Sta), IHC, IP, WB
NB100-524
Species: Hu, Mu
Applications: Flow-IC, Flow, ICC/IF, IHC, IHC-Fr,  IHC-P, IP, WB
AF1180
Species: Hu
Applications: ICC, IHC, Simple Western, WB
AF4117
Species: Rt
Applications: IHC, WB
AF1730
Species: Hu
Applications: AdBlk, CyTOF-ready, Flow, ICC
NB110-89474
Species: Bv, Ce, ChHa, Hu, Pm, Mu, Rt, RM
Applications: Dual ISH-IHC, Flow-CS, Flow, ICC/IF, IHC, IHC-Fr,  IHC-P, ISH, Simple Western, Single-Cell Western, WB
NBP2-80573
Species: Mu
Applications: CyTOF-ready, Flow, IHC,  IHC-P, IP
DC140
Species: Hu
Applications: ELISA
NBP2-93743
Species: Hu, Mu, Rt
Applications: ICC/IF, WB
MAB3595
Species: Hu
Applications: CyTOF-ready, Flow, Simple Western, WB
NBP2-25196
Species: Hu, Mu
Applications: CyTOF-ready, Flow, ICC/IF, In vitro, WB
AF114
Species: Mu
Applications: CyTOF-ready, Flow, ICC, IHC, WB
NBP2-37368
Species: Hu
Applications: CyTOF-ready, ELISA, Flow, IMC, IHC,  IHC-P, WB
AF3667
Species: Hu, Mu
Applications: Dual ISH-IHC, ICC, IHC, Simple Western, WB
NBP1-81838
Species: Hu, Mu
Applications: IHC,  IHC-P, WB
NBP2-23492
Species: Hu, Mu
Applications: Flow, Func, ICC/IF, IHC, CyTOF-ready

Publications for Aminopeptidase N/CD13 Antibody (NBP2-23492)(1)

We have publications tested in 1 confirmed species: Human.

We have publications tested in 1 application: FLOW.


Filter By Application
FLOW
(1)
All Applications
Filter By Species
Human
(1)
All Species
Showing Publication 1 - 1 of 1.
Publication using NBP2-23492 Applications Species
Saare M. Molecular Profiling of Endometriotic Lesions and Endometria of Endometriosis Patients Thesis 2016-03-16 (FLOW, Human)

Details:
This reference used the PE version of NBP2-23492.
FLOW Human

Reviews for Aminopeptidase N/CD13 Antibody (NBP2-23492) (0)

There are no reviews for Aminopeptidase N/CD13 Antibody (NBP2-23492). By submitting a review you will receive an Amazon e-Gift Card or Novus Product Discount.
  • Review with no image -- $10/€7/£6/$10 CAD/¥70 Yuan/¥1110 Yen
  • Review with an image -- $25/€18/£15/$25 CAD/¥150 Yuan/¥2500 Yen

Product General Protocols

Find general support by application which include: protocols, troubleshooting, illustrated assays, videos and webinars.

Video Protocols

ICC/IF Video Protocol

FAQs for Aminopeptidase N/CD13 Antibody (NBP2-23492) (0)

There are no specific FAQs related to this product. Read our general customer & technical service FAQs.

Contact Information

Product PDFs

Calculators

Concentration Calculator

The concentration calculator allows you to quickly calculate the volume, mass or concentration of your vial. Simply enter your mass, volume, or concentration values for your reagent and the calculator will determine the rest.

=
÷

Review this Product

Be the first to review our Aminopeptidase N/CD13 Antibody (R3-63) and receive a gift card or discount.

Bioinformatics

Gene Symbol ANPEP