alpha Tubulin 4a Antibody (JM73-24)

Images

 
Western Blot: alpha Tubulin 4a Antibody (JM73-24) [NBP2-67148] - Analysis of alpha Tubulin 4A on different lysates using anti-alpha Tubulin 4A antibody at 1/1,000 dilution. Positive control: Lane1: A431 Lane2: Rat brain ...read more
Immunocytochemistry/ Immunofluorescence: alpha Tubulin 4a Antibody (JM73-24) [NBP2-67148] - Staining alpha Tubulin 4A in NIH-3T3 cells (green). The nuclear counter stain is DAPI (blue). Cells were fixed in ...read more
Immunohistochemistry-Paraffin: alpha Tubulin 4a Antibody (JM73-24) [NBP2-67148] - Analysis of paraffin-embedded mouse testes tissue using anti-alpha Tubulin 4A antibody. Counter stained with hematoxylin.
Flow Cytometry: alpha Tubulin 4a Antibody (JM73-24) [NBP2-67148] - Analysis of Hela cells with alpha Tubulin 4A antibody at 1/100 dilution (red) compared with an unlabelled control (cells without incubation with primary ...read more
Immunocytochemistry/ Immunofluorescence: alpha Tubulin 4a Antibody (JM73-24) [NBP2-67148] - Staining alpha Tubulin 4A in Hela cells (green). The nuclear counter stain is DAPI (blue). Cells were fixed in ...read more
Immunocytochemistry/ Immunofluorescence: alpha Tubulin 4a Antibody (JM73-24) [NBP2-67148] - Staining alpha Tubulin 4A in SW480 cells (green). The nuclear counter stain is DAPI (blue). Cells were fixed in ...read more
Immunohistochemistry-Paraffin: alpha Tubulin 4a Antibody (JM73-24) [NBP2-67148] - Analysis of paraffin-embedded human placenta tissue using anti-alpha Tubulin 4A antibody. Counter stained with hematoxylin.
Immunohistochemistry-Paraffin: alpha Tubulin 4a Antibody (JM73-24) [NBP2-67148] - Analysis of paraffin-embedded human thyroid tissue using anti-alpha Tubulin 4A antibody. Counter stained with hematoxylin.
Immunohistochemistry-Paraffin: alpha Tubulin 4a Antibody (JM73-24) [NBP2-67148] - Analysis of paraffin-embedded human tonsil tissue using anti-alpha Tubulin 4A antibody. Counter stained with hematoxylin.
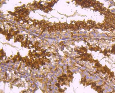
Immunohistochemistry-Paraffin: alpha Tubulin 4a Antibody (JM73-24) [NBP2-67148] - Analysis of paraffin-embedded mouse brain tissue using anti-alpha Tubulin 4A antibody. Counter stained with hematoxylin.

Product Details

Summary
Product Discontinued
View other related alpha Tubulin 4a Primary Antibodies

Order Details


    • Catalog Number
      NBP2-67148
    • Availability
      Product Discontinued

    Can't find what you are looking for? Use our Antibody Concierge Service & we will help you locate your antibody!

    Or feel free to contact us for alternative products.

alpha Tubulin 4a Antibody (JM73-24) Summary

Additional Information
Recombinant Monoclonal Antibody.
Immunogen
Synthetic peptide within Human alpha Tubulin 4a aa 399-448 / 448. (SwissProt: P68366 Human; SwissProt: P68368 Mouse; SwissProt: Q5XIF6 Rat)
Localization
Cytoskeleton.
Isotype
IgG
Clonality
Monoclonal
Host
Rabbit
Gene
TUBA4A
Purity
Protein A purified
Innovator's Reward
Test in a species/application not listed above to receive a full credit towards a future purchase.

Applications/Dilutions

Dilutions
  • Flow Cytometry 1:50-1:100
  • Immunocytochemistry/ Immunofluorescence 1:100-1:200
  • Immunohistochemistry
  • Immunohistochemistry-Paraffin 1:100-1:200
  • Immunoprecipitation
  • Western Blot 1:500-1:2000
Publications
Read Publication using
NBP2-67148 in the following applications:

Packaging, Storage & Formulations

Storage
Store at 4C short term. Aliquot and store at -20C long term. Avoid freeze-thaw cycles.
Buffer
TBS (pH7.4), 0.05% BSA, 40% Glycerol
Preservative
0.05% Sodium Azide
Concentration
1 mg/ml
Purity
Protein A purified

Alternate Names for alpha Tubulin 4a Antibody (JM73-24)

  • alpha 1 (testis specific)
  • alpha Tubulin 4a
  • Alpha-tubulin 1
  • FLJ30169
  • H2-ALPHA
  • Testis-specific alpha-tubulin
  • TUBA1
  • TUBA4A
  • Tubulin alpha-1 chain
  • tubulin alpha-4A chain
  • Tubulin H2-alpha
  • tubulin, alpha 1
  • tubulin, alpha 4a

Background

Microtubules are involved in a wide variety of cellular activities ranging from mitosis and transport events to cell movement and the maintainance of cell shape. Tubulin itself is a globular protein which consists of two polypeptides (alpha and beta tubulin). Alpha and beta tubulin dimers are assembled to 13 protofilaments that form a microtubule of 22 nm diameter. Tyrosine ligase ads a C-terminal tyrosin to monomeric alpha tubulin. Assembled microtubules can again be detyrosinated by a cytoskeleton associated carboxypeptidase. Detyrosinated alpha tubulin is referred to as Glu-tubulin. Another post-translational modification of detyrosinated alpha tubulin is C-terminal polyglutamylation which is characteristic for microtubules in neuronal cells and the mitotic spindle. Alpha tubulin is not suitable as loading control in adipose tissue as expression of tubulin in adipose tissue is very low ( Spiegelman and Farmer, Cell, 1982, 29(1):53-60) in cells undergoing adipose differentiation actin synthesis decreases by 90%. Excellent as a protein loading control antibody.

Limitations

This product is for research use only and is not approved for use in humans or in clinical diagnosis. Primary Antibodies are guaranteed for 1 year from date of receipt.

Customers Who Viewed This Item Also Viewed...

NB300-221
Species: Av, Bv, Ca, Ch, ChHa, Dr, Eq, Fe, Ha, Hu, Mu, Ma-Op, Po, Pm, Rb, Rt, Sh, Ze
Applications: ChIP, ICC/IF, IHC, IHC-Fr, IP, KD, Simple Western, Single-Cell Western, WB
NB500-317
Species: Bv(-), Ca(-), Ch(-), Hu, Mu(-), Rb(-)
Applications: ELISA, Flow, ICC/IF, IHC,  IHC-P, IP, RIA, WB
NBP1-33527
Species: Hu, Mu, Rt
Applications: ICC/IF, IHC,  IHC-P, KO, Simple Western, WB
NB100-93302
Species: Hu
Applications: ICC/IF, IHC,  IHC-P, IP, WB
H00006908-Q01
Species: Hu
Applications: ELISA, AP, PA, PAGE, WB
NB600-501
Species: Bv, Ca, Ch, Dr(-), Fe, Fi, Gt, Gp, Ha, Hu, Le, Ma, Mu, Po, Pm, Rb, Rt, Sh, Sq, Tr, Ze
Applications: ChIP, ELISA, Flow, ICC/IF, IHC, IHC-Fr,  IHC-P, IP, KD, KO, Simple Western, WB
NB100-64792
Species: Hu
Applications: ELISA, Flow, ICC/IF, IHC, IHC-Fr,  IHC-P, WB
NBP2-19784
Species: Hu, Mu, Rt, Ye
Applications: ICC/IF, IHC,  IHC-P, IP, PLA, WB
U-100H
Species: Hu
Applications: EnzAct
NBP3-25485
Species: Ca, Hu, Mu, Rt, Ze
Applications: ICC/IF, IHC,  IHC-P, WB
DBD00
Species: Hu
Applications: ELISA
AF2065
Species: Mu
Applications: ICC, IHC, Simple Western, WB
NBP1-89105
Species: Hu
Applications: ICC/IF, IHC,  IHC-P, WB
NB100-690
Species: Av, Bv, Ca, Ch, ChHa, Dr, Fu, Gt, Gp, Ha, Hu, Pm, Mu, Pa, Po, Pm, Rb, Rt, Xp, Ye
Applications: CyTOF-ready, Flow-IC, Flow, ICC/IF, IHC, IHC-Fr,  IHC-P, IM, IP, Simple Western, WB
NBP1-30993
Species: Ha, Hu, Mu, Rt
Applications: ICC/IF, IHC,  IHC-P, KD, WB
NBP2-32972
Species: Ch, Pm, Hu, Pm, Mu, Rt, Sh
Applications: Flow, ICC/IF, IHC,  IHC-P, WB
NB100-1992
Species: Bv, Ca, Ch, Dr, Gt, Gp, Ha, Hu, Pm, Mu, Po, Rb, Rt, Sh, Sq, Xp
Applications: ELISA, ICC/IF, IHC,  IHC-P, IP, Simple Western, WB
NBP3-46814
Species: Hu, Mu, Rt
Applications: ELISA, ICC/IF, IHC, IP, WB
NBP1-82558
Species: Hu
Applications: ICC/IF, IHC,  IHC-P, WB
NBP2-67148
Species: Hu, Mu, Rt
Applications: WB, Flow, ICC/IF, IHC, IP

Publications for alpha Tubulin 4a Antibody (NBP2-67148)(1)

We have publications tested in 1 confirmed species: Human.

We have publications tested in 1 application: IHC-P.


Filter By Application
IHC-P
(1)
All Applications
Filter By Species
Human
(1)
All Species

Reviews for alpha Tubulin 4a Antibody (NBP2-67148) (0)

There are no reviews for alpha Tubulin 4a Antibody (NBP2-67148). By submitting a review you will receive an Amazon e-Gift Card or Novus Product Discount.
  • Review with no image -- $10/€7/£6/$10 CAD/¥70 Yuan/¥1110 Yen
  • Review with an image -- $25/€18/£15/$25 CAD/¥150 Yuan/¥2500 Yen

Product General Protocols

Video Protocols

WB Video Protocol
ICC/IF Video Protocol

FAQs for alpha Tubulin 4a Antibody (NBP2-67148) (0)

There are no specific FAQs related to this product. Read our general customer & technical service FAQs.

Secondary Antibodies

 

Isotype Controls

Additional alpha Tubulin 4a Products

Research Areas for alpha Tubulin 4a Antibody (NBP2-67148)

Find related products by research area.

Blogs on alpha Tubulin 4a.

Tubulin alpha 4A - A ubiquitous tubulin isoform linked to ALS and infertility
Microtubules are a main component of the cytoskeleton and play essential roles in a variety of cellular processes. These highly dynamic tubular structures are assembled from alpha- and beta-tubulin dimers to form a complex structural network of mic...  Read full blog post.

Contact Information

Product PDFs

Calculators

Concentration Calculator

The concentration calculator allows you to quickly calculate the volume, mass or concentration of your vial. Simply enter your mass, volume, or concentration values for your reagent and the calculator will determine the rest.

=
÷

Review this Product

Be the first to review our alpha Tubulin 4a Antibody (JM73-24) and receive a gift card or discount.

Bioinformatics

Gene Symbol TUBA4A