RPL32 Antibody (HL2329) - Azide and BSA Free

Images

 
Immunohistochemistry-Paraffin: RPL32 Antibody (HL2329) - Azide and BSA Free [NBP3-25485] - RPL32 antibody [HL2329] detects RPL32 protein at cytoplasm by immunohistochemical analysis. Sample: Paraffin-embedded rat brain. ...read more
Western Blot: RPL32 Antibody (HL2329) - Azide and BSA Free [NBP3-25485] - Whole cell extract (30 ug) was separated by 15% SDS-PAGE, and the membrane was blotted with RPL32 antibody [HL2329] (NBP3-25485) diluted at ...read more
Immunocytochemistry/ Immunofluorescence: RPL32 Antibody (HL2329) - Azide and BSA Free [NBP3-25485] - RPL32 antibody [HL2329] detects RPL32 protein at cytoplasm by immunofluorescent analysis. Sample: HeLa cells were ...read more
Western Blot: RPL32 Antibody (HL2329) - Azide and BSA Free [NBP3-25485] - Various whole cell extracts (30 ug) were separated by 15% SDS-PAGE, and the membrane was blotted with RPL32 antibody [HL2329] (NBP3-25485) ...read more
Western Blot: RPL32 Antibody (HL2329) - Azide and BSA Free [NBP3-25485] - Various tissue extracts (50 ug) were separated by 15% SDS-PAGE, and the membrane was blotted with RPL32 antibody [HL2329] (NBP3-25485) diluted at ...read more
Immunohistochemistry-Paraffin: RPL32 Antibody (HL2329) - Azide and BSA Free [NBP3-25485] - RPL32 antibody [HL2329] detects RPL32 protein at cytoplasm by immunohistochemical analysis. Sample: Paraffin-embedded mouse ...read more
Whole Japanese medaka extract (30 ug) was separated by 15% SDS-PAGE, and the membrane was blotted with RPL32 antibody [HL2329] (NBP3-25485) diluted at 1:1000. The HRP-conjugated anti-rabbit IgG antibody was used to ...read more
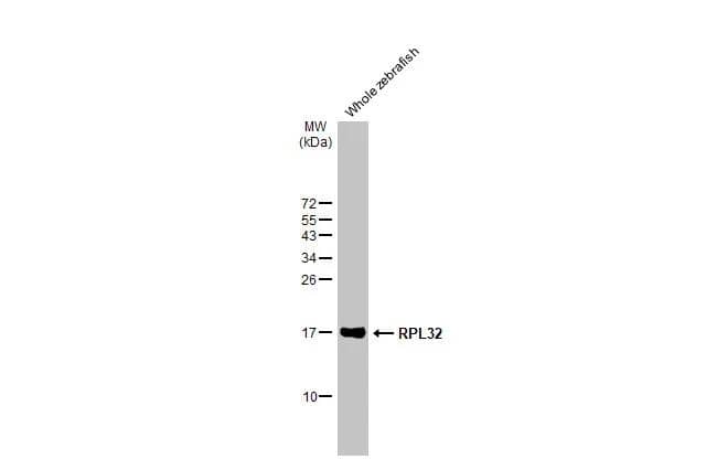
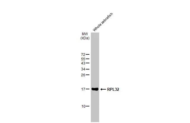
Whole zebrafish extract (30 ug) was separated by 15% SDS-PAGE, and the membrane was blotted with RPL32 antibody [HL2329] (NBP3-25485) diluted at 1:3000. The HRP-conjugated anti-rabbit IgG antibody was used to detect ...read more

Product Details

Summary
Reactivity Hu, Mu, Rt, Ca, ZeSpecies Glossary
Applications WB, ICC/IF, IHC
Clone
HL2329
Clonality
Monoclonal
Host
Rabbit
Conjugate
Unconjugated
Format
Azide and BSA Free

Order Details

RPL32 Antibody (HL2329) - Azide and BSA Free Summary

Description
Novus Biologicals Rabbit RPL32 Antibody (HL2329) - Azide and BSA Free (NBP3-25485) is a recombinant monoclonal antibody validated for use in IHC, WB and ICC/IF. All Novus Biologicals antibodies are covered by our 100% guarantee.
Additional Information
Recombinant Monoclonal Antibody
Immunogen
Full length human RPL32 recombinant protein.
Source
HEK293
Isotype
IgG
Clonality
Monoclonal
Host
Rabbit
Gene
RPL32
Purity
Protein A purified
Innovator's Reward
Test in a species/application not listed above to receive a full credit towards a future purchase.

Applications/Dilutions

Dilutions
  • Immunocytochemistry/ Immunofluorescence 1:100-1:1000
  • Immunohistochemistry Assay dependent
  • Immunohistochemistry-Paraffin Assay dependent
  • Western Blot 1:500-1:10000
Theoretical MW
16 kDa.
Disclaimer note: The observed molecular weight of the protein may vary from the listed predicted molecular weight due to post translational modifications, post translation cleavages, relative charges, and other experimental factors.

Packaging, Storage & Formulations

Storage
Store at 4C short term. Aliquot and store at -20C long term. Avoid freeze-thaw cycles.
Buffer
PBS
Preservative
No Preservative
Purity
Protein A purified

Alternate Names for RPL32 Antibody (HL2329) - Azide and BSA Free

  • M
  • ribosomal protein L32,60S ribosomal protein L32

Background

RPL32 - ribosomal protein L32

Limitations

This product is for research use only and is not approved for use in humans or in clinical diagnosis. Primary Antibodies are guaranteed for 1 year from date of receipt.

Customers Who Viewed This Item Also Viewed...

NB300-221
Species: Av, Bv, Ca, Ch, ChHa, Dr, Eq, Fe, Ha, Hu, Mu, Ma-Op, Po, Pm, Rb, Rt, Sh, Ze
Applications: ChIP, ICC/IF, IHC, IHC-Fr, IP, KD, Simple Western, Single-Cell Western, WB
NBP3-35377
Species: Hu, Mu, Rt
Applications: ELISA, ICC/IF, IHC,  IHC-P, WB
NBP1-80025
Species: Hu
Applications: IHC,  IHC-P, WB
NBP3-12600
Species: Hu
Applications: ICC/IF,  IHC-P, IP, WB
NBP2-94135
Species: Hu, Mu, Rt
Applications: ELISA, IHC,  IHC-P, WB
NBP2-38992
Species: Hu
Applications: ICC/IF, IHC,  IHC-P, WB
AF1197
Species: Hu, Mu, Rt
Applications: IHC, Simple Western, WB
NBP2-20216
Species: Hu, Mu, Rt
Applications: ICC/IF, IHC, IHC-Fr,  IHC-P, WB
NB100-2269
Species: Hu, Mu
Applications: IHC,  IHC-P, IP, KD, WB
NBP2-20212
Species: Hu
Applications: IHC,  IHC-P, WB
NBP3-47048
Species: Hu, Pm, Mu, Rt
Applications: ELISA, IHC, IP, WB
NBP1-81328
Species: Hu
Applications: ICC/IF, WB
MAB8164
Species: Hu
Applications: CyTOF-ready, Flow, ICC, IHC
NBP2-13250
Species: Hu
Applications: ICC/IF, IHC,  IHC-P, KD, WB
H00006143-M01
Species: Hu, Mu, Rt, Ye
Applications: ELISA, ICC/IF, IHC, IHC-Fr,  IHC-P, WB
NBP2-93788
Species: Hu, Mu, Rt
Applications: ICC/IF, IHC,  IHC-P, WB
NBP3-05567
Species: Hu, Mu
Applications: ICC/IF, WB
NBP1-33527
Species: Hu, Mu, Rt
Applications: ICC/IF, IHC,  IHC-P, KO, Simple Western, WB
NBP1-84037
Species: Hu, Mu, Rt
Applications: IHC,  IHC-P, WB
NBP3-25485
Species: Hu, Mu, Rt, Ca, Ze
Applications: WB, ICC/IF, IHC

Publications for RPL32 Antibody (NBP3-25485) (0)

There are no publications for RPL32 Antibody (NBP3-25485).
By submitting your publication information earn gift cards and discounts for future purchases.

Reviews for RPL32 Antibody (NBP3-25485) (0)

There are no reviews for RPL32 Antibody (NBP3-25485). By submitting a review you will receive an Amazon e-Gift Card or Novus Product Discount.
  • Review with no image -- $10/€7/£6/$10 CAD/¥70 Yuan/¥1110 Yen
  • Review with an image -- $25/€18/£15/$25 CAD/¥150 Yuan/¥2500 Yen

Product General Protocols

Find general support by application which include: protocols, troubleshooting, illustrated assays, videos and webinars.

Video Protocols

WB Video Protocol
ICC/IF Video Protocol

FAQs for RPL32 Antibody (NBP3-25485) (0)

There are no specific FAQs related to this product. Read our general customer & technical service FAQs.

Customers Who Bought This Also Bought

Contact Information

Product PDFs

Calculators

Concentration Calculator

The concentration calculator allows you to quickly calculate the volume, mass or concentration of your vial. Simply enter your mass, volume, or concentration values for your reagent and the calculator will determine the rest.

=
÷

Review this Product

Be the first to review our RPL32 Antibody (HL2329) - Azide and BSA Free and receive a gift card or discount.

Bioinformatics

Gene Symbol RPL32