Aldolase A Antibody (JM54-19)

Images

 
Western Blot: Aldolase A Antibody (JM54-19) [NBP2-75402] - Analysis of Aldolase on Zebrafish tissue lysates using anti-Aldolase antibody at 1/200 dilution.
Immunocytochemistry/ Immunofluorescence: Aldolase A Antibody (JM54-19) [NBP2-75402] - Staining Aldolase in SK-Br-3 cells (green). The nuclear counter stain is DAPI (blue). Cells were fixed in paraformaldehyde, ...read more
Immunohistochemistry-Paraffin: Aldolase A Antibody (JM54-19) [NBP2-75402] - Analysis of paraffin-embedded rat skeletal muscle tissue using anti-Aldolase antibody. Counter stained with hematoxylin.
Western Blot: Aldolase A Antibody (JM54-19) [NBP2-75402] - Analysis of Aldolase on different lysates using anti-Aldolase antibody at 1/1,000 dilution.Positive control:Lane 1: A549 Lane 2: Hela Lane 3: Mouse ...read more
Immunocytochemistry/ Immunofluorescence: Aldolase A Antibody (JM54-19) [NBP2-75402] - Staining Aldolase in A431 cells (green). The nuclear counter stain is DAPI (blue). Cells were fixed in paraformaldehyde, ...read more
Immunocytochemistry/ Immunofluorescence: Aldolase A Antibody (JM54-19) [NBP2-75402] - Staining Aldolase in Hela cells (green). The nuclear counter stain is DAPI (blue). Cells were fixed in paraformaldehyde, ...read more
Immunohistochemistry-Paraffin: Aldolase A Antibody (JM54-19) [NBP2-75402] - Analysis of paraffin-embedded human fetal skeletal muscle tissue using anti-Aldolase antibody. Counter stained with hematoxylin.
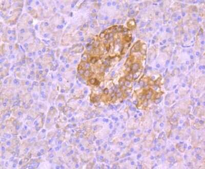
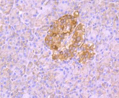
Immunohistochemistry-Paraffin: Aldolase A Antibody (JM54-19) [NBP2-75402] - Analysis of paraffin-embedded human pancreas tissue using anti-Aldolase antibody. Counter stained with hematoxylin.
Immunohistochemistry-Paraffin: Aldolase A Antibody (JM54-19) [NBP2-75402] - Analysis of paraffin-embedded mouse brain tissue using anti-Aldolase antibody. Counter stained with hematoxylin.

Product Details

Summary
Product Discontinued
View other related Aldolase A Primary Antibodies

Order Details


    • Catalog Number
      NBP2-75402
    • Availability
      Product Discontinued

    Can't find what you are looking for? Use our Antibody Concierge Service & we will help you locate your antibody!

    Or feel free to contact us for alternative products.

Aldolase A Antibody (JM54-19) Summary

Additional Information
Recombinant Monoclonal Antibody.
Immunogen
Synthetic peptide within N-terminal human Aldolase A . (SwissProt: P04075 Human; SwissProt: P05064 Mouse; SwissProt: P05065 Rat)
Localization
Cytoplasm.
Isotype
IgG
Clonality
Monoclonal
Host
Rabbit
Gene
ALDOA
Purity
Protein A purified
Innovator's Reward
Test in a species/application not listed above to receive a full credit towards a future purchase.

Applications/Dilutions

Dilutions
  • Immunocytochemistry/ Immunofluorescence 1:50-1:200
  • Immunohistochemistry
  • Immunohistochemistry-Paraffin 1:50-1:200
  • Western Blot 1:500-1:2000
Theoretical MW
39 kDa.
Disclaimer note: The observed molecular weight of the protein may vary from the listed predicted molecular weight due to post translational modifications, post translation cleavages, relative charges, and other experimental factors.

Packaging, Storage & Formulations

Storage
Store at 4C short term. Aliquot and store at -20C long term. Avoid freeze-thaw cycles.
Buffer
TBS (pH7.4), 0.05% BSA, 40% Glycerol
Preservative
0.05% Sodium Azide
Concentration
1 mg/ml
Purity
Protein A purified

Alternate Names for Aldolase A Antibody (JM54-19)

  • ALDA
  • aldolase A, fructose-bisphosphate
  • EC 4.1.2.13
  • fructose-1,6-bisphosphate triosephosphate-lyase
  • fructose-bisphosphate aldolase A
  • GSD12
  • Lung cancer antigen NY-LU-1
  • MGC10942
  • MGC17716
  • MGC17767
  • Muscle-type aldolase

Background

Aldolase A (fructose bisphosphate aldolase) is a glycolytic enzyme that catalyzes the reversible conversion of fructose-1,6-bisphosphate to glyceraldehyde 3 phosphate and dihydroxyacetone phosphate. Three aldolase isozymes (A, B, and C), encoded by three different genes, are differentially expressed during development. Aldolase A is found in the developing embryo and is produced in even greater amounts in adult muscle. Aldolase A expression is repressed in adult liver, kidney and intestine and similar to aldolase C levels in brain and other nervous tissue. Aldolase A deficiency has been associated with myopathy and hemolytic anemia. Alternative splicing of this gene results in multiple transcript variants which encode the same protein.

Limitations

This product is for research use only and is not approved for use in humans or in clinical diagnosis. Primary Antibodies are guaranteed for 1 year from date of receipt.

Customers Who Viewed This Item Also Viewed...

NBP2-02164
Species: Hu, Mu, Rt
Applications: Flow, ICC/IF, IHC,  IHC-P, WB
NB300-221
Species: Av, Bv, Ca, Ch, ChHa, Dr, Eq, Fe, Ha, Hu, Mu, Ma-Op, Po, Pm, Rb, Rt, Sh, Ze
Applications: ChIP, ICC/IF, IHC, IHC-Fr, IP, KD, Simple Western, Single-Cell Western, WB
NBP3-48178
Species: Hu, Mu, Rt
Applications: ELISA, ICC/IF, IHC, WB
H00002023-M01
Species: Fe, Hu
Applications: ELISA, Flow, Func, ICC/IF, IHC,  IHC-P, IP, WB
NBP1-48336
Species: Bv, Hu, Mu, Po
Applications: ELISA, Flow, ICC/IF, IHC, IHC-Fr,  IHC-P, Simple Western, WB
NBP1-31470
Species: Bv, Hu, Mu, Rt
Applications: ELISA, Flow, ICC/IF, IHC,  IHC-P, WB
NBP1-30993
Species: Ha, Hu, Mu, Rt
Applications: ICC/IF, IHC,  IHC-P, KD, WB
NBP2-19784
Species: Hu, Mu, Rt, Ye
Applications: ICC/IF, IHC,  IHC-P, IP, PLA, WB
NBP2-32433
Species: Hu
Applications: ICC/IF, IHC,  IHC-P, WB
NBP1-30249
Species: Hu, Mu, Xp
Applications: ELISA, Flow, ICC/IF, IHC, WB
NBP2-02541
Species: Hu, Pm, Mu, Pm, Rt
Applications: ICC/IF, IHC,  IHC-P, WB
NB100-105
Species: Bv, Ca, Fe, Ma, Hu, Pm, Mu, Po, Pm, Rb, Rt, Sh, Xp
Applications: ChIP, ChIP, ELISA, Flow, GS, IA, IB, ICC/IF, IHC-FrFl, IHC, IHC-Fr,  IHC-P, IP, In vitro, KD, KO, LA, PLA, Simple Western, TCS, WB
MAB1455
Species: Hu
Applications: CyTOF-ready, Dual ISH-IHC, ICC, IHC, ICFlow, Simple Western, WB
NB300-223
Species: Bv, Ca, Ch, Eq, Hu, Mu, Po, Rt
Applications: ICC/IF, IHC, IHC-Fr,  IHC-P, WB
DVE00
Species: Hu
Applications: ELISA
NBP1-48308
Species: Bv, Hu, Mu, Rt
Applications: Flow, IB, ICC/IF, IHC,  IHC-P, IP, KD, Simple Western, WB
AF009
Species: Hu
Applications: IHC, WB
NBP2-24503
Species: Hu, Mu
Applications: ICC/IF, IHC,  IHC-P, IP, WB
NBP1-88191
Species: Hu, Mu
Applications: IHC,  IHC-P, WB
H00006690-M01
Species: Hu, Mu
Applications: ELISA, ICC/IF, IHC, IHC-Fr,  IHC-P, IP, WB

Publications for Aldolase A Antibody (NBP2-75402) (0)

There are no publications for Aldolase A Antibody (NBP2-75402).
By submitting your publication information earn gift cards and discounts for future purchases.

Reviews for Aldolase A Antibody (NBP2-75402) (0)

There are no reviews for Aldolase A Antibody (NBP2-75402). By submitting a review you will receive an Amazon e-Gift Card or Novus Product Discount.
  • Review with no image -- $10/€7/£6/$10 CAD/¥70 Yuan/¥1110 Yen
  • Review with an image -- $25/€18/£15/$25 CAD/¥150 Yuan/¥2500 Yen

Product General Protocols

Find general support by application which include: protocols, troubleshooting, illustrated assays, videos and webinars.

Video Protocols

WB Video Protocol
ICC/IF Video Protocol

FAQs for Aldolase A Antibody (NBP2-75402) (0)

There are no specific FAQs related to this product. Read our general customer & technical service FAQs.

Secondary Antibodies

 

Isotype Controls

Additional Aldolase A Products

Research Areas for Aldolase A Antibody (NBP2-75402)

Find related products by research area.

Blogs on Aldolase A

There are no specific blogs for Aldolase A, but you can read our latest blog posts.

Contact Information

Product PDFs

Calculators

Concentration Calculator

The concentration calculator allows you to quickly calculate the volume, mass or concentration of your vial. Simply enter your mass, volume, or concentration values for your reagent and the calculator will determine the rest.

=
÷

Review this Product

Be the first to review our Aldolase A Antibody (JM54-19) and receive a gift card or discount.

Bioinformatics

Gene Symbol ALDOA