AGER Antibody (CL10587) - Azide and BSA Free

Images

 
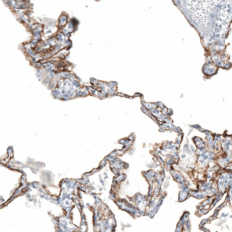
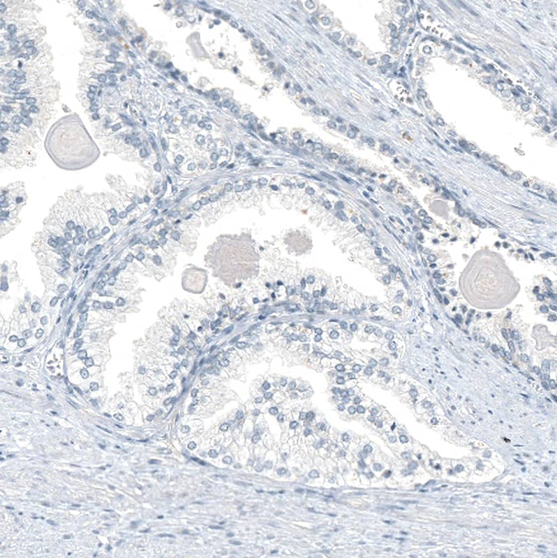
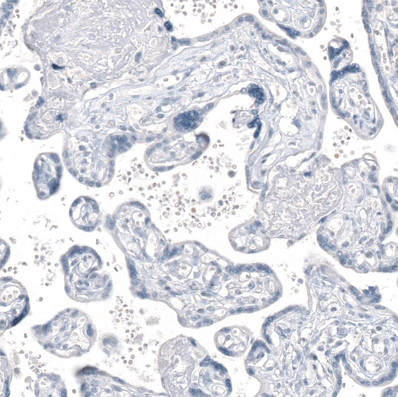
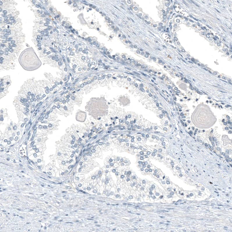
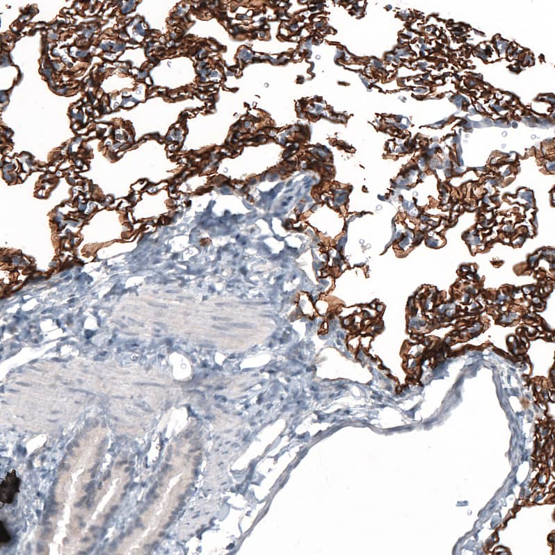
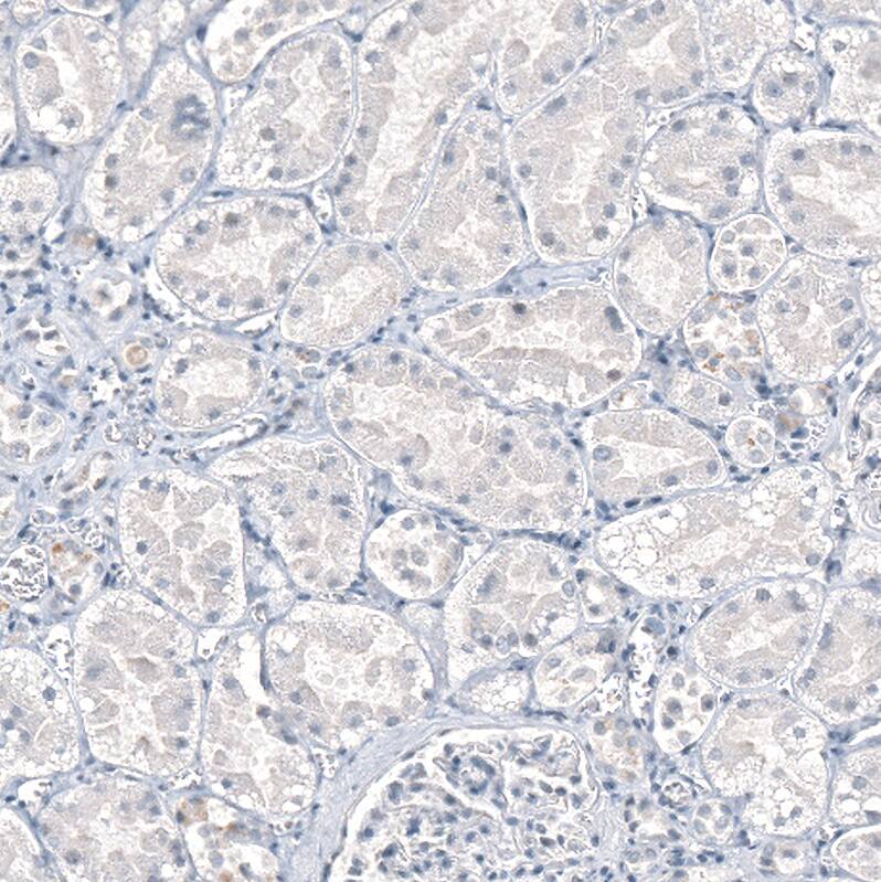
Orthogonal Strategies: Analysis in human lung and prostate tissues using NBP3-44242 antibody. Corresponding AGER RNA-seq data are presented for the same tissues.
Staining of human kidney shows no positivity in cells in tubules as expected.
Staining of human lung shows strong membranous positivity in pneumocytes.
Staining of human prostate shows no positivity in glandular cells as expected.
Staining of human placenta shows no positivity in trophoblastic cells as expected.
Staining of rat lung shows strong membranous positivity in pneumocytes.

Product Details

Summary
Reactivity Hu, RtSpecies Glossary
Applications IHC
Clone
CL10587
Clonality
Monoclonal
Host
Mouse
Conjugate
Unconjugated
Format
Azide and BSA Free
Concentration
LYOPH
Validated by:
       

Orthogonal Strategies

 

Order Details

AGER Antibody (CL10587) - Azide and BSA Free Summary

Description
Novus Biologicals Mouse AGER Antibody (CL10587) - Azide and BSA Free (NBP3-07982) is a monoclonal antibody validated for use in IHC. All Novus Biologicals antibodies are covered by our 100% guarantee.
Immunogen
This antibody was generated using a synthetic peptide of Q15109, with the exact immunogen sequence remaining proprietary.
Isotype
IgG2a
Clonality
Monoclonal
Host
Mouse
Gene
AGER
Purity
Protein A purified
Innovator's Reward
Test in a species/application not listed above to receive a full credit towards a future purchase.

Applications/Dilutions

Dilutions
  • Immunohistochemistry-Paraffin 1:200 - 1:500
Application Notes
For IHC-Paraffin, HIER pH 6 retrieval is recommended.

Packaging, Storage & Formulations

Storage
Store at 4C short term. Aliquot and store at -20C long term. Avoid freeze-thaw cycles.
Buffer
Lyophilized from a 0.2 um filtered solution in PBS with Trehalose
Preservative
No Preservative
Concentration
LYOPH
Purity
Protein A purified
Reconstitution Instructions
Centrifuge the vial of lyophilized antibody at 12,000 x g for 20 seconds. Reconstitute by adding sterile, distilled water to achieve a final antibody concentration of 1mg/ml.

Alternate Names for AGER Antibody (CL10587) - Azide and BSA Free

  • advanced glycosylation end product-specific receptor
  • AGER
  • RAGE isoform delta
  • RAGE isoform sRAGE-delta
  • RAGE
  • Receptor for advanced glycosylation end products
  • receptor for advanced glycosylation end-products
  • SCARJ1

Background

AGER encodes a member of the immunoglobulin superfamily of cell surface molecules. It is a receptor for various molecules, including the amyloidogenic form of serum amyloid A, amyloid-beta protein, members of the S100/calgranulin superfamily and advanced glycation end products. The gene lies within the major histocompatibility complex (MHC) class III region on chromosome 6. Alternative splicing results in two transcript variants encoding different isoforms. [provided by RefSeq]

Limitations

This product is for research use only and is not approved for use in humans or in clinical diagnosis. Primary Antibodies are guaranteed for 1 year from date of receipt.

Customers Who Viewed This Item Also Viewed...

NB100-2322
Species: Bv, Ca, Hu, Mu, Rb, Rt, Sh
Applications: ELISA, Flow-IC, Flow, ICC/IF, IHC,  IHC-P, KD, Simple Western, WB
NBP1-80851
Species: Hu, Mu, Rt
Applications: IHC,  IHC-P, WB
NBP1-87102
Species: Hu, Mu, Rt
Applications: ICC/IF, IHC,  IHC-P, WB
NB100-56583
Species: Hu, Rb, Rt
Applications: Flow, IHC,  IHC-P, KO, Simple Western, WB
M6000B
Species: Mu
Applications: ELISA
MAB1455
Species: Hu
Applications: CyTOF-ready, Dual ISH-IHC, ICC, IHC, ICFlow, Simple Western, WB
NBP1-87103
Species: Hu, Mu
Applications: IHC,  IHC-P, WB
NB100-56566
Species: Bv, Hu, Ma, Mu, Po, Rt
Applications: B/N, ChIP, CyTOF-ready, DB, Dual ISH-IHC, ELISA(Cap), ELISA, Flow-CS, Flow-IC, Flow, ICC/IF, IHC, IHC-Fr,  IHC-P, In vitro, KD, KO, PAGE, Simple Western, WB
AF1230
Species: Hu, Mu, Rt
Applications: IHC, KO, WB
NBP2-22203
Species: Hu, Pm, Mu, Rt
Applications: ELISA, Flow, ICC/IF, IHC,  IHC-P, WB
NBP2-13075
Species: Ba, Hu, Pm, Mu, Rt
Applications: DB, ELISA, IB, ICC/IF, IHC-FrFl, IHC, IHC-Fr,  IHC-P, IP, WB
DCP00
Species: Hu
Applications: ELISA
DVE00
Species: Hu
Applications: ELISA
MAB1417
Species: Bv, Hu, Mu
Applications: ICC, IHC
NB100-56722
Species: Ca, Hu, Mu, Rb, Rt
Applications: B/N, DB, ELISA, Flow-CS, Flow, Func, ICC/IF, IP, In vitro, WB
AF1052
Species: Hu
Applications: CyTOF-ready, Flow, IHC, Simple Western, WB
NBP2-94448
Species: Hu, Mu, Rt
Applications: ELISA, IHC,  IHC-P, WB
AF3398
Species: Hu, Mu, Rt
Applications: ICC, KO, Simple Western, WB
AF3059
Species: Mu
Applications: ICC, Simple Western, WB

Publications for AGER Antibody (NBP3-44242) (0)

There are no publications for AGER Antibody (NBP3-44242).
By submitting your publication information earn gift cards and discounts for future purchases.

Reviews for AGER Antibody (NBP3-44242) (0)

There are no reviews for AGER Antibody (NBP3-44242). By submitting a review you will receive an Amazon e-Gift Card or Novus Product Discount.
  • Review with no image -- $10/€7/£6/$10 CAD/¥70 Yuan/¥1110 Yen
  • Review with an image -- $25/€18/£15/$25 CAD/¥150 Yuan/¥2500 Yen

Product General Protocols

Find general support by application which include: protocols, troubleshooting, illustrated assays, videos and webinars.

FAQs for AGER Antibody (NBP3-44242) (0)

There are no specific FAQs related to this product. Read our general customer & technical service FAQs.

Customers Who Bought This Also Bought

Contact Information

Product PDFs

Calculators

Concentration Calculator

The concentration calculator allows you to quickly calculate the volume, mass or concentration of your vial. Simply enter your mass, volume, or concentration values for your reagent and the calculator will determine the rest.

=
÷

Review this Product

Be the first to review our AGER Antibody (CL10587) - Azide and BSA Free and receive a gift card or discount.

Bioinformatics

Gene Symbol AGER