| Immunogen | This antibody was developed against Recombinant Protein corresponding to amino acids: RDTTVKPGAKKDTKDSRPKLPQTLSRGWGDQLIWTQTYEEALYKSKTSNKPLMIIHHLDECPHSQALKKVFAENKEIQKLAEQFVLLNLVYETTDKHLSPDGQYVPRIMFVDPSLTVRADITGR |
| Specificity | Specificity of human AG-2 antibody verified on a Protein Array containing target protein plus 383 other non-specific proteins. |
| Predicted Species | Mouse (94%), Rat (94%). Backed by our 100% Guarantee. |
| Isotype | IgG |
| Clonality | Polyclonal |
| Host | Rabbit |
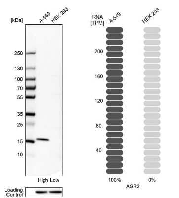
| Gene | AGR2 |
| Purity | Immunogen affinity purified |
| Innovator's Reward | Test in a species/application not listed above to receive a full credit towards a future purchase. |
| Dilutions |
|
||
| Application Notes | For IHC-Paraffin, HIER pH 6 retrieval is recommended. ICC/IF Fixation Permeabilization: Use PFA/Triton X-100. |
||
| Control Peptide |
|
||
| Publications |
|
| Storage | Store at 4C short term. Aliquot and store at -20C long term. Avoid freeze-thaw cycles. |
| Buffer | PBS (pH 7.2) and 40% Glycerol |
| Preservative | 0.02% Sodium Azide |
| Purity | Immunogen affinity purified |
Secondary Antibodies |
Isotype Controls |
Diseases for AG-2/AGR2 Antibody (NBP1-89212)Discover more about diseases related to AG-2/AGR2 Antibody (NBP1-89212).
| Pathways for AG-2/AGR2 Antibody (NBP1-89212)View related products by pathway.
|
PTMs for AG-2/AGR2 Antibody (NBP1-89212)Learn more about PTMs related to AG-2/AGR2 Antibody (NBP1-89212).
| Research Areas for AG-2/AGR2 Antibody (NBP1-89212)Find related products by research area.
|

The concentration calculator allows you to quickly calculate the volume, mass or concentration of your vial. Simply enter your mass, volume, or concentration values for your reagent and the calculator will determine the rest.
| Gene Symbol | AGR2 |