ZNF746 Antibody - BSA Free

Images

 
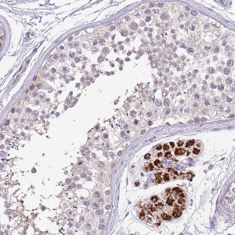
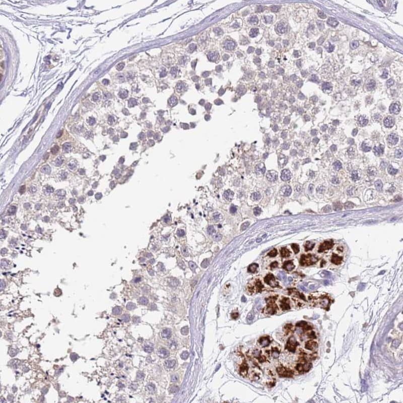
Immunohistochemistry-Paraffin: ZNF746 Antibody [NBP2-13594] - Staining of human testis shows strong cytoplasmic positivity in Leydig cells.
Immunohistochemistry: ZNF746 Antibody [NBP2-13594] - Staining of human placenta shows strong cytoplasmic positivity in trophoblastic cells.
Staining of human testis shows strong cytoplasmic positivity in Leydig cells.
ChIP-Exo-Seq composite graph for Anti-ZNF746 (NBP2-13594) tested in K562 cells. Strand-specific reads (blue: forward, red: reverse) and IgG controls (black: forward, grey: reverse) are plotted against the distance from ...read more

Product Details

Summary
Reactivity Hu, Mu, RtSpecies Glossary
Applications IHC, ChIP
Clonality
Polyclonal
Host
Rabbit
Conjugate
Unconjugated
Format
BSA Free

Order Details

View Available Formulations
Catalog# & Formulation Size Price

ZNF746 Antibody - BSA Free Summary

Description
Novus Biologicals Rabbit ZNF746 Antibody - BSA Free (NBP2-13594) is a polyclonal antibody validated for use in IHC. All Novus Biologicals antibodies are covered by our 100% guarantee.
Immunogen
This antibody was developed against a recombinant protein corresponding to the amino acids: WNFRCKPPVGLNPRTGPEGLPYSSPDNGEAILDPSQAPRPFNEPCKYPGRTKGFGHKPGLKKHP
Predicted Species
Mouse (95%), Rat (94%). Backed by our 100% Guarantee.
Isotype
IgG
Clonality
Polyclonal
Host
Rabbit
Gene
ZNF746
Purity
Immunogen affinity purified
Innovator's Reward
Test in a species/application not listed above to receive a full credit towards a future purchase.

Applications/Dilutions

Dilutions
  • Chromatin Immunoprecipitation-exo-Seq 1-10ug per reaction
  • Immunohistochemistry 1:50 - 1:200
  • Immunohistochemistry-Paraffin 1:50 - 1:200
Application Notes
For IHC-Paraffin, HIER pH 6 retrieval is recommended.
Control Peptide
ZNF746 Protein (NBP2-13594PEP)

Packaging, Storage & Formulations

Storage
Store at 4C short term. Aliquot and store at -20C long term. Avoid freeze-thaw cycles.
Buffer
PBS (pH 7.2) and 40% Glycerol
Preservative
0.02% Sodium Azide
Purity
Immunogen affinity purified

Alternate Names for ZNF746 Antibody - BSA Free

  • FLJ31413
  • PARIS
  • Parkin-interacting sustrate
  • zinc finger protein 746

Background

ZNF746 may be involved in transcriptional regulation

Limitations

This product is for research use only and is not approved for use in humans or in clinical diagnosis. Primary Antibodies are guaranteed for 1 year from date of receipt.

Customers Who Viewed This Item Also Viewed...

NBP1-89125
Species: Hu, Mu
Applications: ChIP-EXO-SEQ, ICC/IF, IHC,  IHC-P, KD, WB
NBP2-93792
Species: Hu, Mu, Rt
Applications: ICC/IF, IHC,  IHC-P, WB
MAB5699
Species: Hu
Applications: IHC
AF2605
Species: Hu
Applications: ICC, IHC, Simple Western, WB
AF1513
Species: Mu
Applications: CyTOF-ready, Flow, IHC, IP, Simple Western, WB
NBP3-15868
Species: Hu, Mu, Rt
Applications: ELISA, ICC/IF, IHC,  IHC-P, WB
AF887
Species: Hu, Mu, Rt
Applications: CyTOF-ready, IHC, ICFlow, Simple Western, WB
MAB1417
Species: Bv, Hu, Mu
Applications: ICC, IHC
NBP3-09949
Species: Hu
Applications: WB
NBP1-86856
Species: Hu, Mu, Rt
Applications: IHC,  IHC-P, WB
NBP1-33527
Species: Hu, Mu, Rt
Applications: ICC/IF, IHC,  IHC-P, KO, Simple Western, WB
AF8554
Species: Hu, Mu, Rt
Applications: ICC, Simple Western, WB
AF2460
Species: Hu
Applications: IP, Neut, WB
NBP2-21037
Species: Hu
Applications: IHC,  IHC-P, WB
DY413
Species: Mu
Applications: ELISA
NBP1-04676
Species: Gt, Ha, Hu, Mu, Po, Rt, Sh, Sq
Applications: ChIP, ChIP, Flow-IC, Flow, ICC/IF, IHC, IHC-Fr,  IHC-P, IP, KD, KO, Simple Western, WB
NBP2-31361
Species: Hu
Applications: IHC,  IHC-P, WB
NBP1-81988
Species: Hu
Applications: IHC,  IHC-P
NBP1-00154
Species: Hu, Mu, Rt
Applications: Flow, ICC/IF, IHC,  IHC-P, PEP-ELISA, WB
NBP2-13594
Species: Hu, Mu, Rt
Applications: IHC, ChIP

Publications for ZNF746 Antibody (NBP2-13594) (0)

There are no publications for ZNF746 Antibody (NBP2-13594).
By submitting your publication information earn gift cards and discounts for future purchases.

Reviews for ZNF746 Antibody (NBP2-13594) (0)

There are no reviews for ZNF746 Antibody (NBP2-13594). By submitting a review you will receive an Amazon e-Gift Card or Novus Product Discount.
  • Review with no image -- $10/€7/£6/$10 CAD/¥70 Yuan/¥1110 Yen
  • Review with an image -- $25/€18/£15/$25 CAD/¥150 Yuan/¥2500 Yen

Product General Protocols

Find general support by application which include: protocols, troubleshooting, illustrated assays, videos and webinars.

FAQs for ZNF746 Antibody (NBP2-13594) (0)

There are no specific FAQs related to this product. Read our general customer & technical service FAQs.

Customers Who Bought This Also Bought

Contact Information

Product PDFs

Calculators

Concentration Calculator

The concentration calculator allows you to quickly calculate the volume, mass or concentration of your vial. Simply enter your mass, volume, or concentration values for your reagent and the calculator will determine the rest.

=
÷

Review this Product

Be the first to review our ZNF746 Antibody - BSA Free and receive a gift card or discount.

Bioinformatics

Gene Symbol ZNF746