ZNF382 Antibody - BSA Free

Images

 
Immunocytochemistry/ Immunofluorescence: ZNF382 Antibody [NBP2-13569] - Staining of human cell line HEK 293 shows localization to nuclear speckles.
Immunohistochemistry-Paraffin: ZNF382 Antibody [NBP2-13569] - Staining of human cerebellum shows strong nuclear positivity in Purkinje cells.
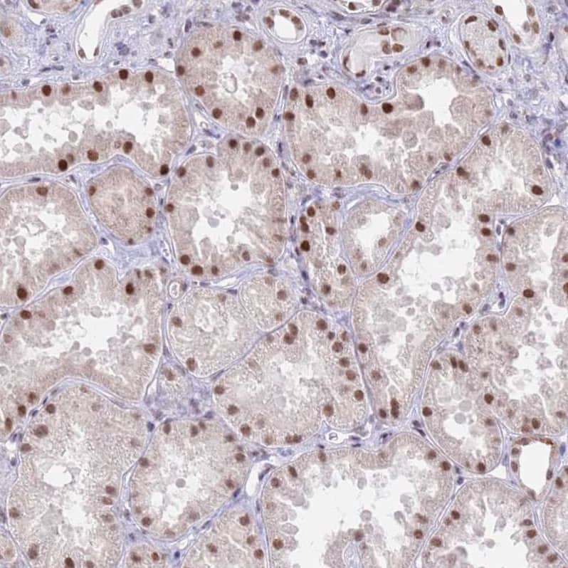
Staining of human kidney shows strong nuclear positivity in cells in tubules.
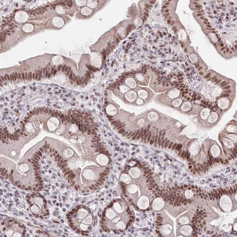
Staining of human small intestine shows strong nuclear positivity in glandular cells.
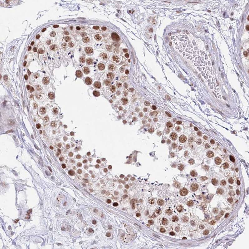
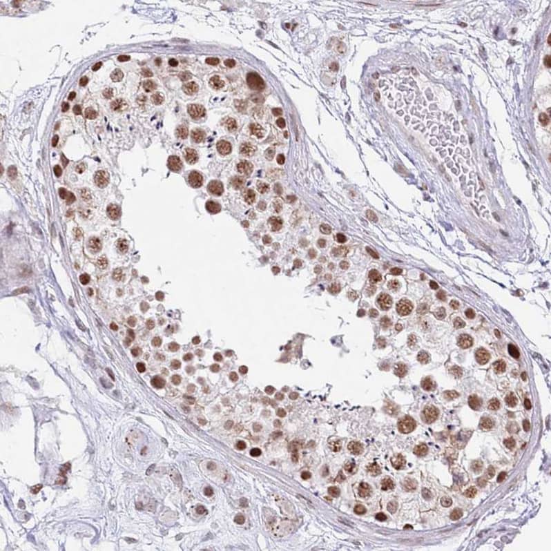
Staining of human testis shows strong nuclear positivity in cells in seminiferous ducts.
Staining of human cerebellum shows strong nuclear positivity in Purkinje cells.

Product Details

Summary
Reactivity HuSpecies Glossary
Applications ICC/IF, IHC
Clonality
Polyclonal
Host
Rabbit
Conjugate
Unconjugated
Format
BSA Free

Order Details

View Available Formulations
Catalog# & Formulation Size Price

ZNF382 Antibody - BSA Free Summary

Description
Novus Biologicals Rabbit ZNF382 Antibody - BSA Free (NBP2-13569) is a polyclonal antibody validated for use in IHC and ICC/IF. All Novus Biologicals antibodies are covered by our 100% guarantee.
Immunogen
This antibody was developed against a recombinant protein corresponding to the amino acids: PEQPFDHNECEKSFLMKGMLFTHTRAHRGERTFEYNKDGIAFIEKSSLSVHPSNLMEKKPSAYNKYGKFLCRKPV
Isotype
IgG
Clonality
Polyclonal
Host
Rabbit
Gene
ZNF382
Purity
Affinity purified
Innovator's Reward
Test in a species/application not listed above to receive a full credit towards a future purchase.

Applications/Dilutions

Dilutions
  • Immunocytochemistry/ Immunofluorescence 0.25-2 ug/ml
  • Immunohistochemistry 1:20 - 1:50
  • Immunohistochemistry-Paraffin 1:20 - 1:50
Application Notes
For IHC-Paraffin, HIER pH 6 retrieval is recommended. ICC/IF, Fixation Permeabilization: Use PFA/Triton X-100.
Control Peptide
ZNF382 Protein (NBP2-13569PEP)

Packaging, Storage & Formulations

Storage
Store at 4C short term. Aliquot and store at -20C long term. Avoid freeze-thaw cycles.
Buffer
PBS (pH 7.2) and 40% Glycerol
Preservative
0.02% Sodium Azide
Purity
Affinity purified

Alternate Names for ZNF382 Antibody - BSA Free

  • zinc finger protein 382

Background

Members of the C2H2 zinc finger transcription factor family, such as ZNF382, play key roles in the regulation of cellproliferation, differentiation, and apoptosis in response to a variety of stimuli (Gebelein et al., 1998 (PubMed9835615)).(supplied by OMIM)

Limitations

This product is for research use only and is not approved for use in humans or in clinical diagnosis. Primary Antibodies are guaranteed for 1 year from date of receipt.

Customers Who Viewed This Item Also Viewed...

AF960
Species: Hu
Applications: CyTOF-ready, Flow, ICC, IHC, Simple Western, WB
NBP1-84730
Species: Hu
Applications: ICC/IF, IHC,  IHC-P, WB
DNST0
Species: Hu
Applications: ELISA
202-IL
Species: Hu
Applications: BA
NB100-2350
Species: Hu, Mu, Rt
Applications: ChIP, ICC/IF, IHC,  IHC-P, IP, WB
AF4377
Species: Hu, Mu
Applications: ICC, Simple Western, WB
236-EG
Species: Hu
Applications: BA
NBP1-92645
Species: Hu
Applications: ICC/IF, IHC,  IHC-P
NBP2-37502
Species: Hu
Applications: CyTOF-ready, ELISA, Flow, ICC/IF, IHC,  IHC-P, WB
NBP2-34594
Species: Hu, Pm
Applications: CyTOF-ready, Flow, ICC/IF, IHC,  IHC-P
NBP2-21792
Species: Hu
Applications: CyTOF-ready, Flow, ICC/IF, IHC,  IHC-P, IP, WB
AF4478
Species: Hu
Applications: IHC, WB
NBP2-67471
Species: Hu, Mu, Rt
Applications: ICC/IF, IHC,  IHC-P, WB
NBP2-46198
Species: Hu
Applications: IHC,  IHC-P, WB
NBP1-87741
Species: Hu
Applications: ICC/IF, IHC,  IHC-P, WB
NBP2-58917
Species: Hu
Applications: IHC,  IHC-P, WB
NBP2-38323
Species: Hu
Applications: ICC/IF, IHC,  IHC-P, WB
NBP1-86616
Species: Hu
Applications: IHC,  IHC-P, WB

Publications for ZNF382 Antibody (NBP2-13569) (0)

There are no publications for ZNF382 Antibody (NBP2-13569).
By submitting your publication information earn gift cards and discounts for future purchases.

Reviews for ZNF382 Antibody (NBP2-13569) (0)

There are no reviews for ZNF382 Antibody (NBP2-13569). By submitting a review you will receive an Amazon e-Gift Card or Novus Product Discount.
  • Review with no image -- $10/€7/£6/$10 CAD/¥70 Yuan/¥1110 Yen
  • Review with an image -- $25/€18/£15/$25 CAD/¥150 Yuan/¥2500 Yen

Product General Protocols

Find general support by application which include: protocols, troubleshooting, illustrated assays, videos and webinars.

Video Protocols

ICC/IF Video Protocol

FAQs for ZNF382 Antibody (NBP2-13569) (0)

There are no specific FAQs related to this product. Read our general customer & technical service FAQs.

Customers Who Bought This Also Bought

Contact Information

Product PDFs

Calculators

Concentration Calculator

The concentration calculator allows you to quickly calculate the volume, mass or concentration of your vial. Simply enter your mass, volume, or concentration values for your reagent and the calculator will determine the rest.

=
÷

Review this Product

Be the first to review our ZNF382 Antibody - BSA Free and receive a gift card or discount.

Bioinformatics

Gene Symbol ZNF382