ZFP3 Antibody - BSA Free

Images

 
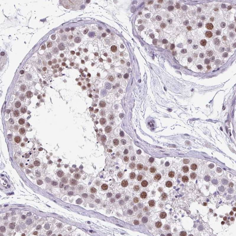
Immunohistochemistry-Paraffin: ZFP3 Antibody [NBP2-13545] - Staining of human testis shows strong nuclear positivity in cells in seminiferus ducts.
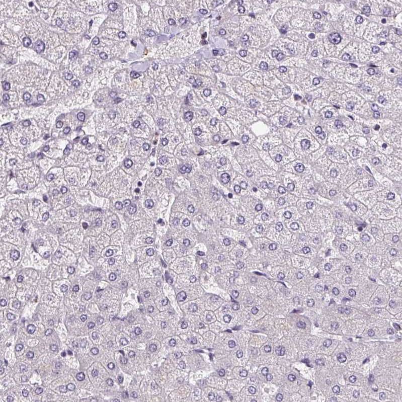
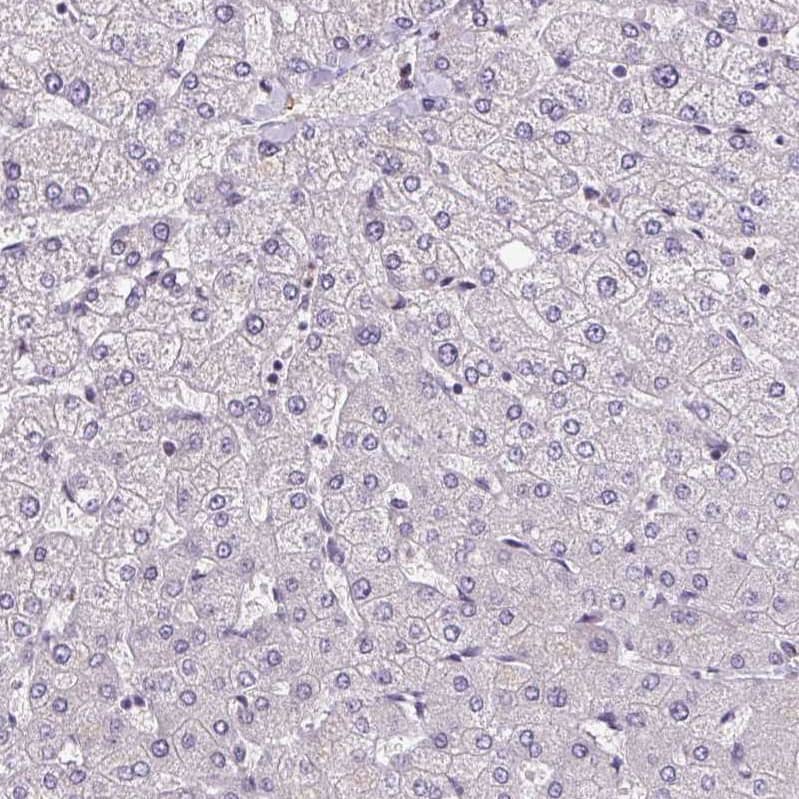
Staining of human liver shows no positivity in hepatocytes as expected.
Staining of human skeletal muscle shows moderate nuclear positivity in myocytes with moderate cytoplasmic positivity in subset of cells.
Lane 1: Marker [kDa] 250, 130, 95, 72, 55, 36, 28, 17, 10Lane 2: Human cell line RT-4Lane 3: Human cell line U-251MG sp
Staining of human testis shows strong nuclear positivity in cells in seminiferous ducts.
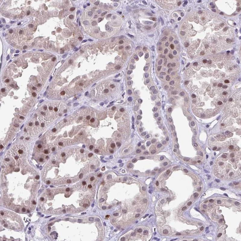
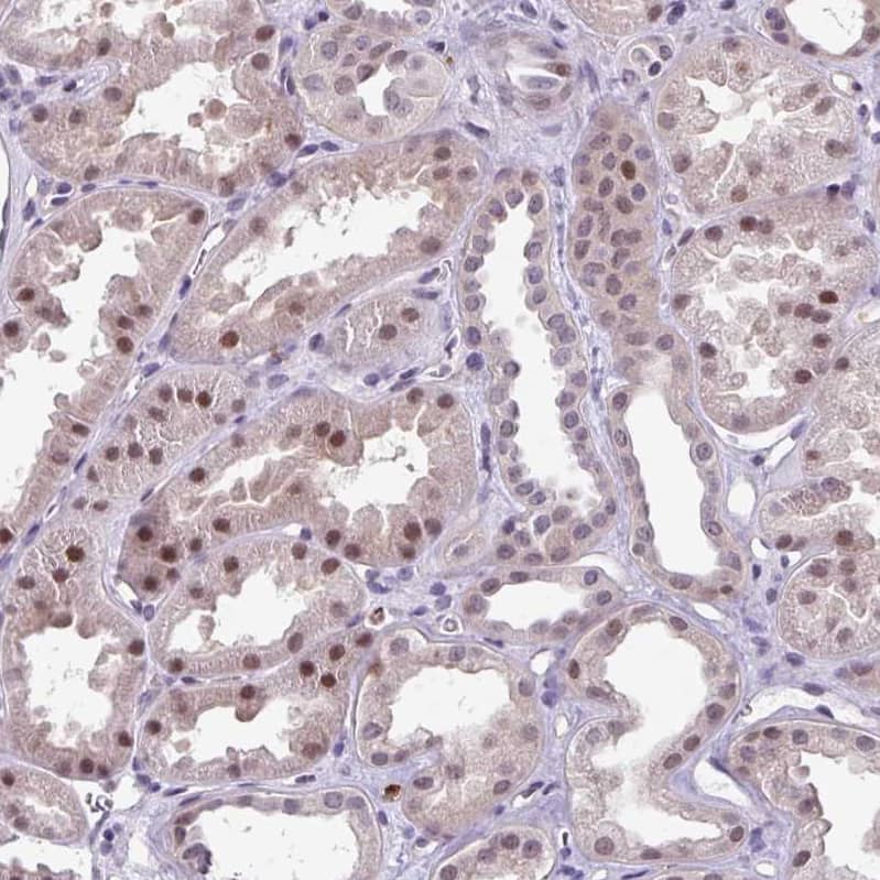
Staining of human kidney shows moderate nuclear positivity in cells in tubules with weak cytoplasmic positivity.

Product Details

Summary
Reactivity HuSpecies Glossary
Applications WB, IHC
Clonality
Polyclonal
Host
Rabbit
Conjugate
Unconjugated
Format
BSA Free

Order Details

View Available Formulations
Catalog# & Formulation Size Price

ZFP3 Antibody - BSA Free Summary

Description
Novus Biologicals Rabbit ZFP3 Antibody - BSA Free (NBP2-13545) is a polyclonal antibody validated for use in IHC and WB. All Novus Biologicals antibodies are covered by our 100% guarantee.
Immunogen
This antibody was developed against a recombinant protein corresponding to the amino acids: GTENKEVIPKEEISEESEPHGSLLEKFPKVVYQGHEFGAGCEEDMLEGHSRESMEEVIEQMSPQER
Isotype
IgG
Clonality
Polyclonal
Host
Rabbit
Gene
ZFP3
Purity
Immunogen affinity purified
Innovator's Reward
Test in a species/application not listed above to receive a full credit towards a future purchase.

Applications/Dilutions

Dilutions
  • Immunohistochemistry 1:200 - 1:500
  • Immunohistochemistry-Paraffin 1:200 - 1:500
  • Western Blot 0.04-0.4 ug/ml
Application Notes
For IHC-Paraffin, HIER pH 6 retrieval is recommended.
Control Peptide
ZFP3 Protein (NBP2-13545PEP)

Packaging, Storage & Formulations

Storage
Store at 4C short term. Aliquot and store at -20C long term. Avoid freeze-thaw cycles.
Buffer
PBS (pH 7.2) and 40% Glycerol
Preservative
0.02% Sodium Azide
Purity
Immunogen affinity purified

Alternate Names for ZFP3 Antibody - BSA Free

  • MRX89MGC8941
  • zinc finger protein 41

Background

ZFP3 may be involved in transcriptional regulation

Limitations

This product is for research use only and is not approved for use in humans or in clinical diagnosis. Primary Antibodies are guaranteed for 1 year from date of receipt.

Customers Who Viewed This Item Also Viewed...

NBP1-90174
Species: Hu
Applications: IHC,  IHC-P
NB200-103
Species: Hu, Mu, Rt, Xp(-), Ye
Applications: CyTOF-ready, ELISA, Flow-IC, Flow, ICC/IF, IHC, IHC-Fr,  IHC-P, IP, WB
NBP1-82866
Species: Hu
Applications: ICC/IF, IHC,  IHC-P, KD, WB
NBP3-38258
Species: Hu, Mu, Rt
Applications: ELISA, ICC/IF, IHC,  IHC-P, WB
AF2654
Species: Mu
Applications: IHC, Simple Western, WB
H00080108-P01
Species: Hu
Applications: ELISA, AP, PA, WB
AF942
Species: Mu
Applications: CyTOF-ready, ICC, IHC, ICFlow, WB
NBP2-01860
Species: Ca, Hu, Pm, Mu, Rt
Applications: Flow, ICC/IF, IHC,  IHC-P, WB
NBP1-37003
Species: Hu, Rt
Applications: ICC/IF, IHC, IHC-Fr,  IHC-P, PEP-ELISA
NBP1-85016
Species: Hu
Applications: IHC,  IHC-P, WB
PP-N4111-00
Species: Hu
Applications: IHC, IP, WB
NBP1-47935
Species: Hu, Mu, Rt
Applications: ICC/IF, IHC,  IHC-P, WB
H00003208-B01P
Species: Hu
Applications: ICC/IF, WB
NB120-19347
Species: Bv, Hu, Mu, Po, Rt
Applications: ELISA, ICC/IF, IHC, IHC-Fr,  IHC-P, WB

Publications for ZFP3 Antibody (NBP2-13545) (0)

There are no publications for ZFP3 Antibody (NBP2-13545).
By submitting your publication information earn gift cards and discounts for future purchases.

Reviews for ZFP3 Antibody (NBP2-13545) (0)

There are no reviews for ZFP3 Antibody (NBP2-13545). By submitting a review you will receive an Amazon e-Gift Card or Novus Product Discount.
  • Review with no image -- $10/€7/£6/$10 CAD/¥70 Yuan/¥1110 Yen
  • Review with an image -- $25/€18/£15/$25 CAD/¥150 Yuan/¥2500 Yen

Product General Protocols

Find general support by application which include: protocols, troubleshooting, illustrated assays, videos and webinars.

Video Protocols

WB Video Protocol

FAQs for ZFP3 Antibody (NBP2-13545) (0)

There are no specific FAQs related to this product. Read our general customer & technical service FAQs.

Customers Who Bought This Also Bought

Contact Information

Product PDFs

Calculators

Concentration Calculator

The concentration calculator allows you to quickly calculate the volume, mass or concentration of your vial. Simply enter your mass, volume, or concentration values for your reagent and the calculator will determine the rest.

=
÷

Review this Product

Be the first to review our ZFP3 Antibody - BSA Free and receive a gift card or discount.

Bioinformatics

Gene Symbol ZFP3