ATPase Na+/K+ beta 2 Antibody - BSA Free

Images

 
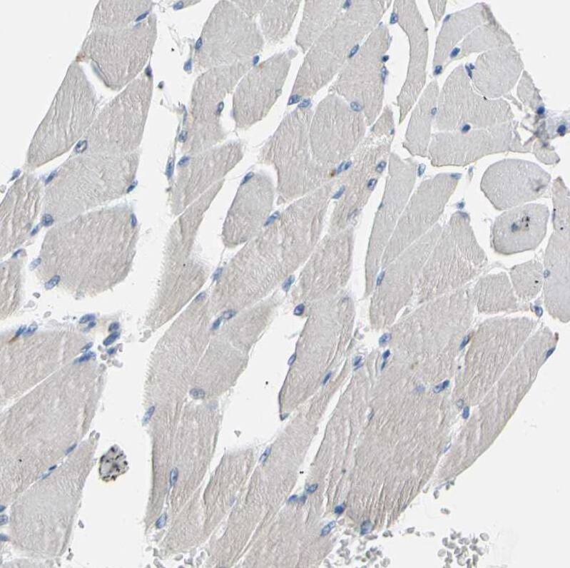
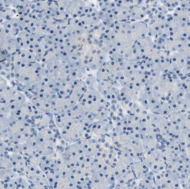
Orthogonal Strategies: Analysis in human cerebral cortex and pancreas tissues using NBP1-90174 antibody. Corresponding ATP1B2 RNA-seq data are presented for the same tissues.
Staining of human cerebral cortex shows strong positivity in neuropil.
Staining of human pancreas shows no positivity in exocrine glandular cells as expected.
Staining of small intestine shows no positivity in glandular cells as expected.
Staining of human skeletal muscle shows no expression in myocytes as expected.

Product Details

Summary
Reactivity Hu, Mu, RtSpecies Glossary
Applications IHC
Clonality
Polyclonal
Host
Rabbit
Conjugate
Unconjugated
Format
BSA Free
Validated by:
       

Orthogonal Strategies

 

Order Details

View Available Formulations
Catalog# & Formulation Size Price

ATPase Na+/K+ beta 2 Antibody - BSA Free Summary

Description
Novus Biologicals Rabbit ATPase Na+/K+ beta 2 Antibody - BSA Free (NBP1-90174) is a polyclonal antibody validated for use in IHC. All Novus Biologicals antibodies are covered by our 100% guarantee.
Immunogen
This antibody was developed against Recombinant Protein corresponding to amino acids: TVSDHTPKYQDRLATPGLMIRPKTENLDVIVNVSDTESWDQHVQKLNKFLEPYNDSIQAQKNDVCRPGRYYEQPDNGVLNYPKRACQFNRTQLGNCSGIGDST
Predicted Species
Mouse (96%), Rat (98%). Backed by our 100% Guarantee.
Isotype
IgG
Clonality
Polyclonal
Host
Rabbit
Gene
ATP1B2
Purity
Affinity purified
Innovator's Reward
Test in a species/application not listed above to receive a full credit towards a future purchase.

Applications/Dilutions

Dilutions
  • Immunohistochemistry 1:50 - 1:200
  • Immunohistochemistry-Paraffin 1:500 - 1:1000
Application Notes
For IHC-Paraffin, HIER pH 6 retrieval is recommended.
Control Peptide
ATPase Na+/K+ beta 2 Protein (NBP1-90174PEP)

Packaging, Storage & Formulations

Storage
Store at 4C short term. Aliquot and store at -20C long term. Avoid freeze-thaw cycles.
Buffer
PBS (pH 7.2) and 40% Glycerol
Preservative
0.02% Sodium Azide
Purity
Affinity purified

Alternate Names for ATPase Na+/K+ beta 2 Antibody - BSA Free

  • adhesion molecule on glia
  • AMOG
  • AMOGsodium/potassium-dependent ATPase beta-2 subunit
  • ATP1B2
  • ATPase Na+/K+ beta 2
  • ATPase, Na+/K+ transporting, beta 2 polypeptide
  • Na, K-ATPase beta-2 polypeptide
  • Sodium/potassium-dependent ATPase subunit beta-2
  • sodium/potassium-transporting ATPase beta-2 chain
  • sodium/potassium-transporting ATPase subunit beta-2

Background

ATPase Na+/ K+ beta 2 is encoded by this gene belongs to the family of Na+/K+ and H+/K+ ATPases beta chain proteins, and to the subfamily of Na+/K+ -ATPases. Na+/K+ -ATPase is an integral membrane protein responsible for establishing and maintaining the electrochemical gradients of Na and K ions across the plasma membrane. These gradients are essential for osmoregulation, for sodium-coupled transport of a variety of organic and inorganic molecules, and for electrical excitability of nerve and muscle. This enzyme is composed of two subunits, a large catalytic subunit (alpha) and a smaller glycoprotein subunit (beta). The beta subunit regulates, through assembly of alpha/beta heterodimers, the number of sodium pumps transported to the plasma membrane. The glycoprotein subunit of Na+/K+ -ATPase is encoded by multiple genes. This gene encodes a beta 2 subunit. [provided by RefSeq]

Limitations

This product is for research use only and is not approved for use in humans or in clinical diagnosis. Primary Antibodies are guaranteed for 1 year from date of receipt.

Customers Who Viewed This Item Also Viewed...

NBP1-88582
Species: Hu
Applications: ICC/IF, IHC,  IHC-P, WB
538-MG
Species: Rt
Applications: BA
NBP1-80104
Species: Hu
Applications: WB
NBP1-83192
Species: Hu
Applications: ICC/IF, IHC,  IHC-P, WB
NB600-607
Species: Hu, Rt
Applications: ELISA, IHC,  IHC-P, WB
H00029956-M01A
Species: Hu, Mu
Applications: ELISA, IHC, WB
NBP2-20214
Species: Hu, Mu
Applications: ICC/IF, IHC,  IHC-P, WB
DPSG10
Species: Hu
Applications: ELISA
NB600-232
Species: Hu, Mu
Applications: ChIP, IHC,  IHC-P, IP, WB
3047-CC
Species: Hu
Applications: BA
NB600-717
Species: Bv
Applications: ELISA, ICC/IF, IHC, IHC-Fr,  IHC-P, RIA, RI, WB
H00006009-M01
Species: Hu, Mu, Rt
Applications: ELISA, ICC/IF, WB
201-LB
Species: Hu
Applications: BA
M6000B
Species: Mu
Applications: ELISA
NBP2-55678
Species: Hu
Applications: ICC/IF, IHC,  IHC-P
NBP2-30589
Species: Hu
Applications: ICC/IF, IHC,  IHC-P
NBP2-13545
Species: Hu
Applications: IHC,  IHC-P, WB
NBP1-90174
Species: Hu, Mu, Rt
Applications: IHC

Publications for ATPase Na+/K+ beta 2 Antibody (NBP1-90174) (0)

There are no publications for ATPase Na+/K+ beta 2 Antibody (NBP1-90174).
By submitting your publication information earn gift cards and discounts for future purchases.

Reviews for ATPase Na+/K+ beta 2 Antibody (NBP1-90174) (0)

There are no reviews for ATPase Na+/K+ beta 2 Antibody (NBP1-90174). By submitting a review you will receive an Amazon e-Gift Card or Novus Product Discount.
  • Review with no image -- $10/€7/£6/$10 CAD/¥70 Yuan/¥1110 Yen
  • Review with an image -- $25/€18/£15/$25 CAD/¥150 Yuan/¥2500 Yen

Product General Protocols

Find general support by application which include: protocols, troubleshooting, illustrated assays, videos and webinars.

FAQs for ATPase Na+/K+ beta 2 Antibody (NBP1-90174) (0)

There are no specific FAQs related to this product. Read our general customer & technical service FAQs.

Secondary Antibodies

 

Isotype Controls

Additional ATPase Na+/K+ beta 2 Products

Research Areas for ATPase Na+/K+ beta 2 Antibody (NBP1-90174)

Find related products by research area.

Blogs on ATPase Na+/K+ beta 2

There are no specific blogs for ATPase Na+/K+ beta 2, but you can read our latest blog posts.

Customers Who Bought This Also Bought

Contact Information

Product PDFs

Calculators

Concentration Calculator

The concentration calculator allows you to quickly calculate the volume, mass or concentration of your vial. Simply enter your mass, volume, or concentration values for your reagent and the calculator will determine the rest.

=
÷

Review this Product

Be the first to review our ATPase Na+/K+ beta 2 Antibody - BSA Free and receive a gift card or discount.

Bioinformatics

Gene Symbol ATP1B2