WT1 Antibody (CL13165) - Azide and BSA Free

Images

 
Staining of CACO-2 cells using the Anti-WT1 monoclonal antibody) .
Orthogonal Strategies: Analysis in human fallopian tube and lymph node tissues using NBP3-44379 antibody. Corresponding WT1 RNA-seq data are presented for the same tissues.
Staining of human fallopian tube shows strong nuclear positivity in glandular cells.
Staining of human kidney shows strong nuclear positivity in cells in glomeruli.
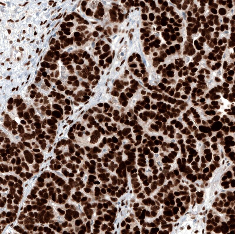
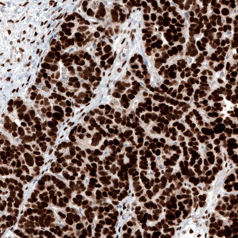
Staining of human ovarian cancer (papillary carcinoma) shows strong nuclear positivity in tumor cells.
Staining of human ovarian cancer (high grade serous carcinoma) shows strong nuclear positivity in tumor cells.
Staining of human lymph node shows no positivity in germinal center cells as expected.
Staining of human ovarian cancer (endometrioid carcinoma) shows strong nuclear positivity in tumor cells.
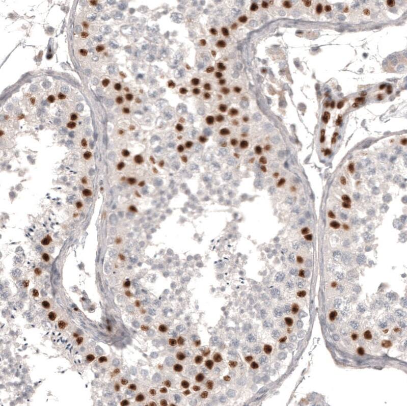
Staining of human testis shows strong nuclear positivity in cells in seminiferous ducts.
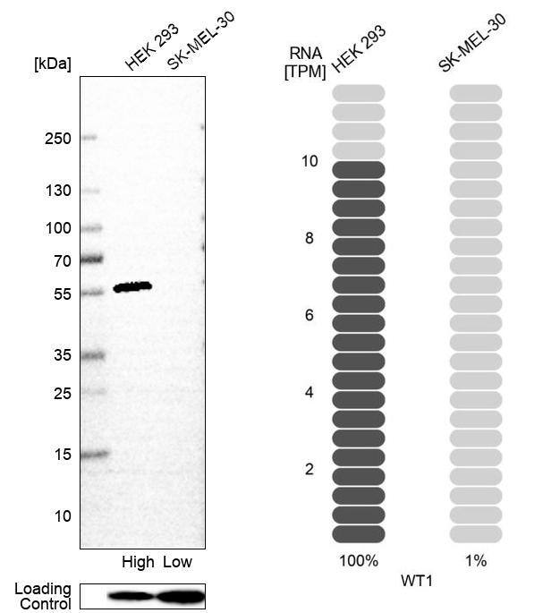
Orthogonal Strategies: Analysis in human cell line HEK 293 and human cell line SK-MEL-30.

Product Details

Summary
Reactivity HuSpecies Glossary
Applications WB, ICC/IF, IHC
Clone
CL13165
Clonality
Monoclonal
Host
Mouse
Conjugate
Unconjugated
Format
Azide and BSA Free
Concentration
LYOPH
Validated by:
       

Orthogonal Strategies

 

Order Details

WT1 Antibody (CL13165) - Azide and BSA Free Summary

Description
Novus Biologicals Mouse WT1 Antibody (CL13165) - Azide and BSA Free (NBP3-18564) is a monoclonal antibody validated for use in IHC, WB and ICC/IF. All Novus Biologicals antibodies are covered by our 100% guarantee.
Immunogen
This antibody was generated using a synthetic peptide of P19544, with the exact immunogen sequence remaining proprietary.
Isotype
IgG2b
Clonality
Monoclonal
Host
Mouse
Gene
WT1
Purity
Protein A purified
Innovator's Reward
Test in a species/application not listed above to receive a full credit towards a future purchase.

Applications/Dilutions

Dilutions
  • Immunocytochemistry/ Immunofluorescence 2-10 ug/ml
  • Immunohistochemistry-Paraffin 1:1000 - 1:2500
  • Western Blot 1 ug/ml
Application Notes
For use with IHC-Paraffin, HIER pH 6 retrieval is recommended. For use with Immunocytochemistry/ Immunofluorescence/IF, PFA/Triton X-100 is recommended for fixation/permeabilization.

Packaging, Storage & Formulations

Storage
Store at 4C short term. Aliquot and store at -20C long term. Avoid freeze-thaw cycles.
Buffer
Lyophilized from a 0.2 um filtered solution in PBS with Trehalose
Preservative
No Preservative
Concentration
LYOPH
Purity
Protein A purified
Reconstitution Instructions
Centrifuge the vial of lyophilized antibody at 12,000 x g for 20 seconds. Reconstitute by adding sterile, distilled water to achieve a final antibody concentration of 1mg/ml.

Alternate Names for WT1 Antibody (CL13165) - Azide and BSA Free

  • AWT1
  • GUD
  • NPHS4GUD
  • WAGR
  • Wilms tumor 1
  • Wilms tumor protein
  • WIT-2
  • WT1
  • WT33

Background

Wilms' tumor protein (WT1) is a transcription factor which regulates the expression of numerous target genes, including EPO. This protein plays an essential role in the normal development of the urogenital system, including cellular development and cell survival, and it has both tumor suppressor and oncogenic roles in tumor formation.

Defects in the WT1 protein can lead to Wilms tumor, Frasier syndrome, Denys-Drash syndrome, nephrotic syndrome type 4, and Meacham syndrome.

Limitations

This product is for research use only and is not approved for use in humans or in clinical diagnosis. Primary Antibodies are guaranteed for 1 year from date of receipt.

Customers Who Viewed This Item Also Viewed...

NBP2-88921
Species: Hu
Applications: ICC/IF, IHC,  IHC-P, WB
NB200-103
Species: Hu, Mu, Rt, Xp(-), Ye
Applications: CyTOF-ready, ELISA, Flow-IC, Flow, ICC/IF, IHC, IHC-Fr,  IHC-P, IP, WB
AF2818
Species: Hu
Applications: ICC, WB
NB200-182
Species: Hu, Mu
Applications: IHC,  IHC-P, IP, Simple Western, WB
AF3364
Species: Hu
Applications: ICC, IHC, WB
MAB812
Species: Hu
Applications: CyTOF-ready, Flow
292-G2
Species: Hu
Applications: BA
AF3159
Species: Mu
Applications: IHC
PP-H7431-00
Species: Hu
Applications: WB
NBP3-41295
Species: Hu
Applications: IHC,  IHC-P, WB
AF3075
Species: Hu
Applications: ICC, Simple Western, WB
NB110-61646
Species: Hu, Mu
Applications: ICC/IF, IHC,  IHC-P, IP, WB
NBP2-75624
Species: Hu, Mu, Rt
Applications: Flow, ICC/IF, IHC,  IHC-P, mIF, WB
NB300-223
Species: Bv, Ca, Ch, Eq, Hu, Mu, Po, Rt
Applications: ICC/IF, IHC, IHC-Fr,  IHC-P, WB
AF3844
Species: Hu, Mu
Applications: IHC
AF4117
Species: Rt
Applications: IHC, WB
NBP2-45545
Species: Hu, Mu, Rt
Applications: IHC,  IHC-P, WB
AF8150
Species: Hu
Applications: ICC, ICFlow, Simple Western, WB
AF5414
Species: Hu
Applications: Simple Western, WB
NBP3-44379
Species: Hu
Applications: WB, ICC/IF, IHC

Publications for WT1 Antibody (NBP3-44379) (0)

There are no publications for WT1 Antibody (NBP3-44379).
By submitting your publication information earn gift cards and discounts for future purchases.

Reviews for WT1 Antibody (NBP3-44379) (0)

There are no reviews for WT1 Antibody (NBP3-44379). By submitting a review you will receive an Amazon e-Gift Card or Novus Product Discount.
  • Review with no image -- $10/€7/£6/$10 CAD/¥70 Yuan/¥1110 Yen
  • Review with an image -- $25/€18/£15/$25 CAD/¥150 Yuan/¥2500 Yen

Product General Protocols

Find general support by application which include: protocols, troubleshooting, illustrated assays, videos and webinars.

Video Protocols

WB Video Protocol
ICC/IF Video Protocol

FAQs for WT1 Antibody (NBP3-44379) (0)

There are no specific FAQs related to this product. Read our general customer & technical service FAQs.

Secondary Antibodies

 

Isotype Controls

Additional WT1 Products

Research Areas for WT1 Antibody (NBP3-44379)

Find related products by research area.

Blogs on WT1.

Routine WT1 Antibody Screen Uncovers an Exciting New Cancer-Cleaning Enzyme
Enzyme antibodies are widely used in both apoptosis and cancer studies, as disruption of the proteins regulating apoptosis is known to lead to formation of tumor cells in certain cancers. We at Novus Biologicals are continually growing our enzyme anti...  Read full blog post.

Customers Who Bought This Also Bought

Contact Information

Product PDFs

Calculators

Concentration Calculator

The concentration calculator allows you to quickly calculate the volume, mass or concentration of your vial. Simply enter your mass, volume, or concentration values for your reagent and the calculator will determine the rest.

=
÷

Review this Product

Be the first to review our WT1 Antibody (CL13165) - Azide and BSA Free and receive a gift card or discount.

Bioinformatics

Gene Symbol WT1