WIZ Antibody - BSA Free

Images

 
WIZ-Antibody-Western-Blot-NBP1-80586-img0006.jpg
Immunocytochemistry/ Immunofluorescence: WIZ Antibody [NBP1-80586] - Staining of human cell line U-251 MG shows localization to nucleoplasm. Antibody staining is shown in green.
Immunohistochemistry-Paraffin: WIZ Antibody [NBP1-80586] - Staining of human pancreas shows strong nuclear and slightly weaker nuclear positivity in exocrine as well as endocrine cells.
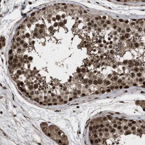
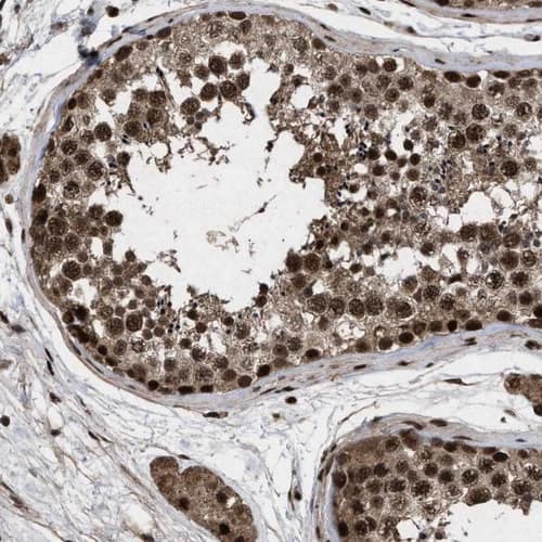
The staining of human testis shows strong nuclear-cytoplasmic positivity in cells in seminiferous ducts.
Staining of human duodenum shows strong nuclear-cytoplasmic positivity in glandular cells and lymphoid cells.
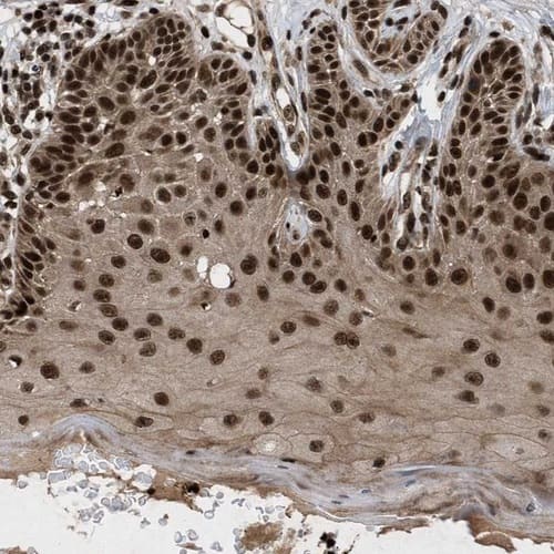
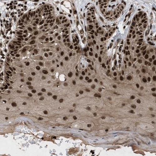
Staining of human skin shows strong nuclear-cytoplasmic positivity in squamous epithelial cells.
WIZ-Antibody-Chromatin-Immunoprecipitation-NBP1-80586-img0007.jpg
WIZ-Antibody-Western-Blot-NBP1-80586-img0005.jpg
Anti-Wiz antibody western blotting.(A) Western blotting for Wiz using an NBP180586 anti-Wiz antibody is shown for total protein lysates from E12.5 Wiz+/+ and WizMommeD30/MommeD30 embryo head. Three bands at ~100 kD ...read more
Anti-Wiz antibody western blotting.(A) Western blotting for Wiz using an NBP180586 anti-Wiz antibody is shown for total protein lysates from E12.5 Wiz+/+ and WizMommeD30/MommeD30 embryo head. Three bands at ~100 kD ...read more

Product Details

Summary
Reactivity Hu, Mu, RtSpecies Glossary
Applications WB, ICC/IF, IHC, ChIP
Clonality
Polyclonal
Host
Rabbit
Conjugate
Unconjugated
Format
BSA Free

Order Details

View Available Formulations
Catalog# & Formulation Size Price

WIZ Antibody - BSA Free Summary

Immunogen
This antibody was developed against Recombinant Protein corresponding to amino acids: SPSDLHISPLAKKLPPPPGSPLGHSPTASPPPTARKMFPGLAAPSLPKKLKPEQIRVEIKREMLPGALHGELHPSEGPWGAPREDMTPLNLSSR
Predicted Species
Rat (93%). Backed by our 100% Guarantee.
Isotype
IgG
Clonality
Polyclonal
Host
Rabbit
Gene
WIZ
Purity
Affinity purified
Innovator's Reward
Test in a species/application not listed above to receive a full credit towards a future purchase.

Applications/Dilutions

Dilutions
  • Chromatin Immunoprecipitation (ChIP) Application provided by CiteAb from the following publication (https://elifesciences.org/articles/15082),
  • Immunocytochemistry/ Immunofluorescence 0.25-2 ug/ml
  • Immunohistochemistry 1:50 - 1:200
  • Immunohistochemistry-Paraffin 1:50 - 1:200
  • Western Blot Application provided by CiteAb from the following publication (https://elifesciences.org/articles/15082),
Application Notes
IHC-Paraffin, HIER pH 6 retrieval is recommended. ICC/IF, Fixation/Permeabilization: PFA/Triton X-100.
Control Peptide
WIZ Protein (NBP1-80586PEP)
Publications
Read Publications using
NBP1-80586 in the following applications:

Reactivity Notes

Use in Mouse reported in scientific literature (PMID:32294452).

Packaging, Storage & Formulations

Storage
Store at 4C short term. Aliquot and store at -20C long term. Avoid freeze-thaw cycles.
Buffer
PBS (pH 7.2) and 40% Glycerol
Preservative
0.02% Sodium Azide
Purity
Affinity purified

Alternate Names for WIZ Antibody - BSA Free

  • widely interspaced zinc finger motifs
  • widely-interspaced zinc finger motifs
  • Widely-interspaced zinc finger-containing protein
  • WIZ zinc finger
  • WIZ
  • Zinc finger protein 803
  • ZNF803
  • ZNF803protein Wiz

Background

WIZ may link EHMT1 and EHMT2 histone methyltransferases to the CTBP corepressor machinery. May be involved inEHMT1-EHMT2 heterodimer formation and stabilization

Limitations

This product is for research use only and is not approved for use in humans or in clinical diagnosis. Primary Antibodies are guaranteed for 1 year from date of receipt.

Customers Who Viewed This Item Also Viewed...

PP-A8620A-00
Species: Hu, Mu
Applications: DirELISA, IHC, IP, WB
PP-B0422-00
Species: Hu, Mu
Applications: DirELISA, IHC, IP, WB
H00001487-M01
Species: Hu
Applications: ELISA, ICC/IF, IHC,  IHC-P, S-ELISA, WB
NBP2-34011
Species: Hu
Applications: ICC/IF, IHC,  IHC-P, WB
NB100-2436
Species: Hu
Applications: IHC,  IHC-P, PEP-ELISA, WB
NBP2-20116
Species: Hu, Mu
Applications: ICC/IF, IHC,  IHC-P, WB
NBP2-15723
Species: Hu, Mu, Rt
Applications: ICC/IF, IHC,  IHC-P, IP, WB
NBP1-32405
Species: Hu, Mu, Rt
Applications: ICC/IF, IHC,  IHC-P, IP, WB
H00001392-M02
Species: Hu
Applications: ELISA, IHC,  IHC-P, S-ELISA, WB
NBP2-16019
Species: Hu
Applications: IHC,  IHC-P, WB
NB500-171
Species: Hu, I, Mu, Rt, Xp, Ye
Applications: ChIP, IB, ICC/IF, IHC,  IHC-P, Single-Cell Western, WB
NBP3-15268
Species: Hu, Mu, Rt
Applications: ELISA, ICC/IF, IHC,  IHC-P, IP, WB
NBP2-45646
Species: Ca, Hu, Mu, Rt
Applications: IHC,  IHC-P, WB
NBP3-16225
Species: Hu, Mu, Rt
Applications: ChIP, ELISA, IHC,  IHC-P, IP, WB
NBP2-46424
Species: Hu
Applications: IHC,  IHC-P, WB
NB100-81657
Species: Hu, Mu
Applications: ChIP, IHC,  IHC-P, IP, WB
AF1329
Species: Hu, Mu, Rt
Applications: ChIP, CyTOF-ready, ICC, IHC, ICFlow, Simple Western, WB
AF1356
Species: Hu, Mu
Applications: CyTOF-ready, Dual ISH-IHC, Flow, IHC, Simple Western, WB

Publications for WIZ Antibody (NBP1-80586)(7)

We have publications tested in 2 confirmed species: Human, Mouse.

We have publications tested in 5 applications: ChIP, Chemotaxis, IF/IHC, WB, Western Blot.


Filter By Application
ChIP
(1)
Chemotaxis
(1)
IF/IHC
(1)
WB
(1)
Western Blot
(1)
All Applications
Filter By Species
Human
(1)
Mouse
(2)
All Species
Showing Publications 1 - 7 of 7.
Publications using NBP1-80586 Applications Species
Yelagandula R, Stecher K, Novatchkova M et al. ZFP462 safeguards neural lineage specification by targeting G9A/GLP-mediated heterochromatin to silence enhancers Nature cell biology 2023-01-01 [PMID: 36604593] (ChIP)

Details:
Chromatin from human embryonic stem cells (hESCs) was spiked into mouse ESC chromatin, 1% relative to mouse chromatin
ChIP
Whitley SK, Li M, Kashem SW et al. Local IL-23 is required for proliferation and retention of skin-resident memory TH17 cells Science immunology 2022-11-18 [PMID: 36367947]
Ball DP, Tsamouri LP, Wang AE et al. Oxidized thioredoxin-1 restrains the NLRP1 inflammasome Science immunology 2022-11-11 [PMID: 36332009] (Western Blot) Western Blot
Chan KL, Gomez J, Cardinez C, Kumari N et Al. Inhibition of the CtBP complex and FBXO11 enhances MHC class II expression and anti-cancer immune responses Cancer Cell 2022-09-30 [PMID: 36179686]
Bukova I, Szczerkowska KI, Prochazkova M et al. Loss of Wiz Function Affects Methylation Pattern in Palate Development and Leads to Cleft Palate Frontiers in cell and developmental biology 2021-06-02 [PMID: 34150743] (IF/IHC, Mouse) IF/IHC Mouse
Justice M, Carico ZM, Stefan HC, Dowen JM A WIZ/Cohesin/CTCF Complex Anchors DNA Loops to Define Gene Expression and Cell Identity Cell Rep 2020-04-14 [PMID: 32294452] (Chemotaxis, Human, Mouse) Chemotaxis Human, Mouse
Isbel L, Prokopuk L, Wu H et al. Wiz binds active promoters and CTCF-binding sites and is required for normal behaviour in the mouse Elife 2016-07-13 [PMID: 27410475] (WB) WB

Reviews for WIZ Antibody (NBP1-80586) (0)

There are no reviews for WIZ Antibody (NBP1-80586). By submitting a review you will receive an Amazon e-Gift Card or Novus Product Discount.
  • Review with no image -- $10/€7/£6/$10 CAD/¥70 Yuan/¥1110 Yen
  • Review with an image -- $25/€18/£15/$25 CAD/¥150 Yuan/¥2500 Yen

Product General Protocols

Find general support by application which include: protocols, troubleshooting, illustrated assays, videos and webinars.

Video Protocols

WB Video Protocol
ICC/IF Video Protocol

FAQs for WIZ Antibody (NBP1-80586). (Showing 1 - 1 of 1 FAQs).

  1. What is the concentration for the lot# A96963 of this antibody?
    • The concentration of Lot: A96963 is 0.2mg/ml.

Customers Who Bought This Also Bought

Contact Information

Product PDFs

Calculators

Concentration Calculator

The concentration calculator allows you to quickly calculate the volume, mass or concentration of your vial. Simply enter your mass, volume, or concentration values for your reagent and the calculator will determine the rest.

=
÷

Review this Product

Be the first to review our WIZ Antibody - BSA Free and receive a gift card or discount.

Bioinformatics

Gene Symbol WIZ
Entrez
Uniprot