RCOR1/CoREST Antibody (9B3R7)

Images

 
Western Blot: RCOR1/CoREST Antibody (9B3R7) [NBP3-16225] - Analysis of extracts of C2C12 cells, using RCOR1/CoREST Rabbit mAb (NBP3-16225) at 1:500 dilution. Secondary antibody: HRP Goat Anti-Rabbit IgG (H+L) at 1:10000 ...read more
Western Blot: RCOR1/CoREST Antibody (9B3R7) [NBP3-16225] - Analysis of extracts of various cell lines, using RCOR1/CoREST Rabbit mAb (NBP3-16225) at 1:1000 dilution. Secondary antibody: HRP Goat Anti-Rabbit IgG (H+L) at ...read more
Immunoprecipitation: RCOR1/CoREST Antibody (9B3R7) [NBP3-16225] - Analysis of 300ug extracts of THP-1 cells using 3ug RCOR1/CoREST antibody (NBP3-16225). Western blot was performed from the immunoprecipitate using ...read more
Chromatin Immunoprecipitation: RCOR1/CoREST Antibody (9B3R7) [NBP3-16225] - Chromatin immunoprecipitation analysis of extracts of HepG2 cells, using RCOR1/CoREST antibody and rabbit IgG.The amount of immunoprecipitated ...read more
Immunohistochemistry: RCOR1/CoREST Antibody (9B3R7) [NBP3-16225] - Immunohistochemistry analysis of paraffin-embedded Rat colon tissue using RCOR1/CoREST Rabbit mAb at a dilution of 1:200 (40x lens). High pressure ...read more
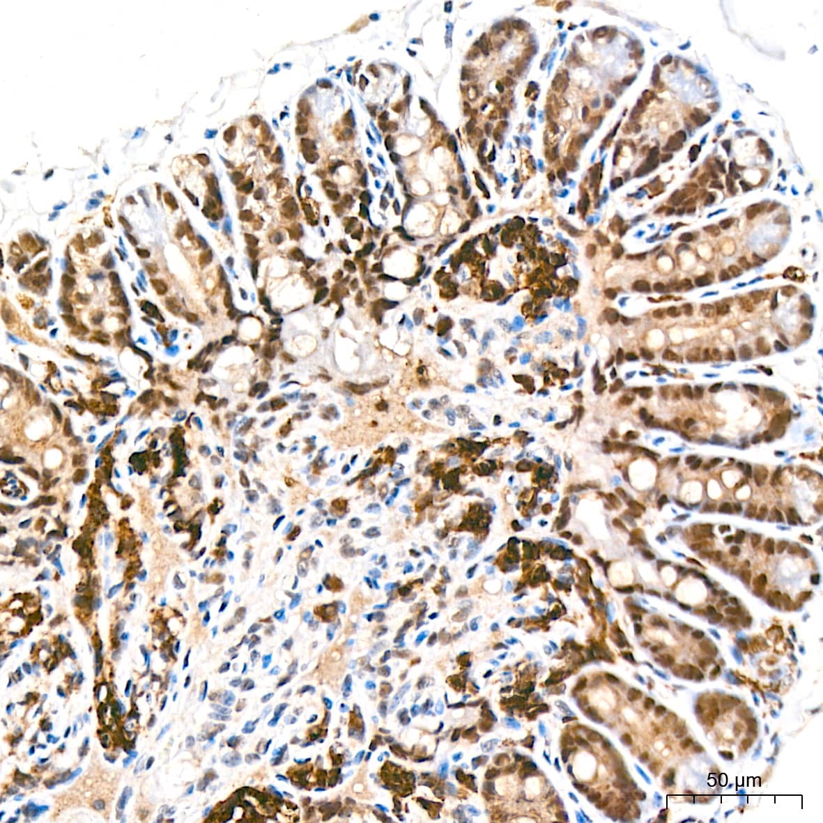
Immunohistochemistry: RCOR1/CoREST Antibody (9B3R7) [NBP3-16225] - Immunohistochemistry analysis of paraffin-embedded Mouse colon tissue using RCOR1/CoREST Rabbit mAb at a dilution of 1:200 (40x lens). High pressure ...read more
Immunohistochemistry: RCOR1/CoREST Antibody (9B3R7) [NBP3-16225] - Immunohistochemistry analysis of paraffin-embedded Human lung adenocarcinoma tissue using RCOR1/CoREST Rabbit mAb at a dilution of 1:200 (40x lens). ...read more

Product Details

Summary
Reactivity Hu, Mu, RtSpecies Glossary
Applications WB, ELISA, IHC, IP, ChIP
Clone
9B3R7
Clonality
Monoclonal
Host
Rabbit
Conjugate
Unconjugated

Order Details

RCOR1/CoREST Antibody (9B3R7) Summary

Description
Novus Biologicals Rabbit RCOR1/CoREST Antibody (9B3R7) (NBP3-16225) is a recombinant monoclonal antibody validated for use in IHC, WB, IP and ChIP. Anti-RCOR1/CoREST Antibody: Cited in 1 publication. All Novus Biologicals antibodies are covered by our 100% guarantee.
Additional Information
Recombinant Monoclonal Antibody
Immunogen
A synthetic peptide corresponding to a sequence within amino acids 1-100 of human RCOR1/CoREST (Q9UKL0). MPAMVEKGPEVSGKRRGRNNAAASASAAAASAAASAACASPAATAASGAAASSASAAAASAAAAPNNGQNKSLAAAAPNGNSSSNSWEEGSSGSSSDEEH
Source
HEK293
Isotype
IgG
Clonality
Monoclonal
Host
Rabbit
Gene
RCOR1
Purity
Affinity purified
Innovator's Reward
Test in a species/application not listed above to receive a full credit towards a future purchase.

Applications/Dilutions

Dilutions
  • Chromatin Immunoprecipitation (ChIP) 5ug antibody for 10ug-15ug of Chromatin
  • ELISA Recommended starting concentration is 1 μg/mL.
  • Immunohistochemistry 1:200 - 1:800
  • Immunohistochemistry-Paraffin 1:200 - 1:800
  • Immunoprecipitation 0.5μg-4μg antibody for 200μg-400μg extracts of whole cells
  • Western Blot 1:500 - 1:2000
Theoretical MW
53 kDa.
Disclaimer note: The observed molecular weight of the protein may vary from the listed predicted molecular weight due to post translational modifications, post translation cleavages, relative charges, and other experimental factors.
Publications
Read Publication using NBP3-16225.

Packaging, Storage & Formulations

Storage
Store at -20C. Avoid freeze-thaw cycles.
Buffer
PBS (pH 7.3), 50% glycerol, 0.05% BSA
Preservative
0.02% Sodium Azide
Purity
Affinity purified

Alternate Names for RCOR1/CoREST Antibody (9B3R7)

  • CoREST
  • KIAA0071CORESTRCORREST corepressor
  • Protein CoREST
  • RCOR1
  • RCOR1/CoREST
  • REST corepressor 1

Background

Brain type II sodium channels are important in neuronal phenotyping and are only seen at high levels in neurons. Studies have shown that CoREST functions as a corepressor for REST. This interaction between REST and CoREST is accomplished by means of a single zinc finger binding motif originating from REST. Together, the REST-CoREST complex mediates long term repression of the type II sodium channel gene (1).

Limitations

This product is for research use only and is not approved for use in humans or in clinical diagnosis. Primary Antibodies are guaranteed for 1 year from date of receipt.

Customers Who Viewed This Item Also Viewed...

NB100-1762
Species: Hu, Mu, Pm
Applications: ChIP, ELISA, IHC,  IHC-P, KD, Simple Western, WB
NBP2-42048
Species: Hu
Applications: ICC/IF, IHC,  IHC-P
NB100-56340
Species: Hu, Mu, Rt
Applications: IHC, IHC-Fr,  IHC-P, KO, Simple Western, WB
NBP1-92323
Species: Hu, Rt
Applications: ICC/IF, IHC,  IHC-P, WB
NBP2-45952
Species: Hu, Mu, Rt
Applications: IHC,  IHC-P, WB
NB100-55415
Species: Hu
Applications: IHC,  IHC-P, PEP-ELISA, WB
NB500-171
Species: Hu, I, Mu, Rt, Xp, Ye
Applications: ChIP, IB, ICC/IF, IHC,  IHC-P, Single-Cell Western, WB
NBP1-87109
Species: Hu, Mu
Applications: ICC/IF, IHC,  IHC-P, KD, WB
H00006326-Q01
Species: Hu
Applications: ELISA, AP, PA, WB
NB100-56326
Species: Hu, Mu
Applications: ICC/IF, IHC,  IHC-P, WB
NBP1-82454
Species: Hu, Mu
Applications: ICC/IF, IHC,  IHC-P, WB
NBP3-17665
Species: Hu
Applications: ICC/IF, WB
NBP2-46424
Species: Hu
Applications: IHC,  IHC-P, WB
H00001487-M01
Species: Hu
Applications: ELISA, ICC/IF, IHC,  IHC-P, S-ELISA, WB
NB100-59787
Species: Hu, Mu
Applications: Flow, IB, ICC/IF, IHC,  IHC-P, IP, KD, PLA, WB
NB100-91348
Species: Hu, Pm, Mu, Rt
Applications: IHC,  IHC-P, WB
PP-A8620A-00
Species: Hu, Mu
Applications: DirELISA, IHC, IP, WB
NBP3-16225
Species: Hu, Mu, Rt
Applications: WB, ELISA, IHC, IP, ChIP

Publications for RCOR1/CoREST Antibody (NBP3-16225)(1)

Reviews for RCOR1/CoREST Antibody (NBP3-16225) (0)

There are no reviews for RCOR1/CoREST Antibody (NBP3-16225). By submitting a review you will receive an Amazon e-Gift Card or Novus Product Discount.
  • Review with no image -- $10/€7/£6/$10 CAD/¥70 Yuan/¥1110 Yen
  • Review with an image -- $25/€18/£15/$25 CAD/¥150 Yuan/¥2500 Yen

Product General Protocols

Find general support by application which include: protocols, troubleshooting, illustrated assays, videos and webinars.

Video Protocols

WB Video Protocol

FAQs for RCOR1/CoREST Antibody (NBP3-16225) (0)

There are no specific FAQs related to this product. Read our general customer & technical service FAQs.

Secondary Antibodies

 

Isotype Controls

Additional RCOR1/CoREST Products

Research Areas for RCOR1/CoREST Antibody (NBP3-16225)

Find related products by research area.

Blogs on RCOR1/CoREST

There are no specific blogs for RCOR1/CoREST, but you can read our latest blog posts.

Customers Who Bought This Also Bought

Contact Information

Product PDFs

Calculators

Concentration Calculator

The concentration calculator allows you to quickly calculate the volume, mass or concentration of your vial. Simply enter your mass, volume, or concentration values for your reagent and the calculator will determine the rest.

=
÷

Review this Product

Be the first to review our RCOR1/CoREST Antibody (9B3R7) and receive a gift card or discount.

Bioinformatics

Gene Symbol RCOR1