Vimentin Antibody (SP20)

Images

 

Product Details

Summary
Product Discontinued
View other related Vimentin Primary Antibodies

Order Details


    • Catalog Number
      NBP2-12472
    • Availability
      Product Discontinued

    Can't find what you are looking for? Use our Antibody Concierge Service & we will help you locate your antibody!

    Or feel free to contact us for alternative products.

Vimentin Antibody (SP20) Summary

Immunogen
Recombinant human vimentin protein.
Marker
Mesenchymal Cells Marker
Isotype
IgG
Clonality
Monoclonal
Host
Rabbit
Gene
VIM
Purity
Tissue culture supernatant
Innovator's Reward
Test in a species/application not listed above to receive a full credit towards a future purchase.

Applications/Dilutions

Dilutions
  • Flow Cytometry 1:100
  • Immunocytochemistry/ Immunofluorescence
  • Immunohistochemistry 1:10-1:500
  • Immunohistochemistry-Frozen
  • Immunohistochemistry-Paraffin 1:10-1:500
  • Western Blot 1:100-1:2000
Theoretical MW
53 kDa.
Disclaimer note: The observed molecular weight of the protein may vary from the listed predicted molecular weight due to post translational modifications, post translation cleavages, relative charges, and other experimental factors.
Reviewed Applications
Read 1 Review rated 5
using
NBP2-12472 in the following applications:

Publications
Read Publications using
NBP2-12472 in the following applications:

Reactivity Notes

Predicted to cross react with Bovine, Chicken, Frog, Hamster, Mouse, Rat. Use in Mouse reported in secitific publication PMID: 32738299

Packaging, Storage & Formulations

Storage
Store at 4C. Do not freeze.
Buffer
TBS (pH 7.5) and 1.0% BSA
Preservative
0.1% Sodium Azide
Purity
Tissue culture supernatant

Alternate Names for Vimentin Antibody (SP20)

  • epididymis secretory sperm binding protein
  • FLJ36605
  • VIM
  • Vimentin

Background

Vimentin is a type III intermediate filament (IF) protein, encoded by the VIM gene, that plays an essential role in cytoskeletal function and is largely expressed by mesenchymal cell such as endothelial cells, fibroblasts, and immune cells (1). Human vimentin monomer protein is 466 amino acids (aa) in length with a theoretical molecular weight of ~54 kDa (2). Vimentin protein contains a central rod domain composed of four alpha-helices which is flanked by an N-terminal head domain and C-terminal tail domain (1,3). Vimentin monomers dimerize to form more complex structures resulting in the assembly of eight tetramers, referred to as unit-length filaments, which then assemble into full-length intermediate filaments that are 10-12 nm wide (1,3,4).

Activated macrophages have been shown to secrete phosphorylated vimentin which can be stimulated by a variety of pathophysiological factors including oxidized low-density lipoproteins and TNF-alpha or inhibited by IL-10 (1). The vimentin protein is often expressed at the cell surface playing a role in cell-cell interactions, tissue damage and repair, immune response, and pathogen recognition (1). Vimentin functions in many cytoskeletal processes including cell migration, which is highlighted by its upregulation during epithelial-to-mesenchymal transition (EMT) (4,5). Vimentin is a commonly used marker for EMT and is expressed by many tumor types (5). For example, high metastasis of oral squamous cell carcinomas also showed high vimentin positive expression in immunohistochemical staining analysis (5). A number of vimentin targeting compounds are in cancer-related clinical trials, however, given the multifunctional role of vimentin, the effect of inhibition on non-malignant cells needs to be thoroughly examined (5).

References

1. Ramos, I., Stamatakis, K., Oeste, C. L., & Perez-Sala, D. (2020). Vimentin as a Multifaceted Player and Potential Therapeutic Target in Viral Infections. International Journal of Molecular Sciences. https://doi.org/10.3390/ijms21134675

2. Uniprot (P08670)

3. Morrow, C. S., & Moore, D. L. (2020). Vimentin's side gig: Regulating cellular proteostasis in mammalian systems. Cytoskeleton (Hoboken, N.J.). https://doi.org/10.1002/cm.21645

4. van Bodegraven, E. J., & Etienne-Manneville, S. (2020). Intermediate filaments against actomyosin: the david and goliath of cell migration. Current Opinion in Cell Biology. https://doi.org/10.1016/j.ceb.2020.05.006

5. Strouhalova, K., Prechova, M., Gandalovicova, A., Brabek, J., Gregor, M., & Rosel, D. (2020). Vimentin Intermediate Filaments as Potential Target for Cancer Treatment. Cancers. https://doi.org/10.3390/cancers12010184

Limitations

This product is for research use only and is not approved for use in humans or in clinical diagnosis. Primary Antibodies are guaranteed for 1 year from date of receipt.

Customers Who Viewed This Item Also Viewed...

AF3844
Species: Hu, Mu
Applications: IHC
NB300-141
Species: Bv, Ch, Eq, Gp, Hu, Mu, Po, Rb, Rt
Applications: ICC/IF, IHC, IHC-Fr,  IHC-P, Simple Western, WB
NB120-22711
Species: Hu, Mu
Applications: ELISA, Flow, ICC/IF, IHC, IHC-Fr,  IHC-P
AF4117
Species: Rt
Applications: IHC, WB
NB110-58870
Species: Hu, Mu, Rt
Applications: ICC/IF, IHC, KD, Simple Western, WB
AF748
Species: Hu, Mu
Applications: CyTOF-ready, Dual ISH-IHC, Flow, ICC, IHC, Simple Western, WB
NBP1-84854
Species: Hu, Mu, Rt
Applications: ICC/IF, IHC,  IHC-P, KD, WB
NBP1-87102
Species: Hu, Mu, Rt
Applications: ICC/IF, IHC,  IHC-P, WB
NBP1-87103
Species: Hu, Mu
Applications: IHC,  IHC-P, WB
NBP1-91258
Species: Bv, Ca, Eq, Fe, Hu, Mu, Po, Rt
Applications: ICC/IF, IHC, IHC-Fr,  IHC-P, Simple Western, WB
NBP1-83976
Species: Hu
Applications: ICC/IF, IHC,  IHC-P
NB100-807
Species: Hu
Applications: ICC/IF, PEP-ELISA, WB
AF1356
Species: Hu, Mu
Applications: CyTOF-ready, Dual ISH-IHC, Flow, IHC, Simple Western, WB
NB300-653
Species: Ch, Fe, Hu, Pm, Mu, Rt
Applications: ELISA, ICC/IF, IHC, IHC-Fr,  IHC-P, IP, WB
NB200-103
Species: Hu, Mu, Rt, Xp(-), Ye
Applications: CyTOF-ready, ELISA, Flow-IC, Flow, ICC/IF, IHC, IHC-Fr,  IHC-P, IP, WB
NBP2-79843
Species: Hu
Applications: CyTOF-ready, ELISA, Flow, ICC/IF, IHC,  IHC-P, PA, WB
NB100-524
Species: Hu, Mu
Applications: Flow-IC, Flow, ICC/IF, IHC, IHC-Fr,  IHC-P, IP, WB
NBP2-12472
Species: Hu, Mu
Applications: WB, Flow, ICC/IF, IHC

Publications for Vimentin Antibody (NBP2-12472)(3)

Review for Vimentin Antibody (NBP2-12472) (1) 51

Average Rating: 5
(Based on 1 review)
We have 1 review tested in 1 species: Sheep.

Reviews using NBP2-12472:
Filter by Applications
 IHC-P
(1)
All Applications
Filter by Species
Sheep
(1)
All Species
Images Ratings Applications Species Date Details
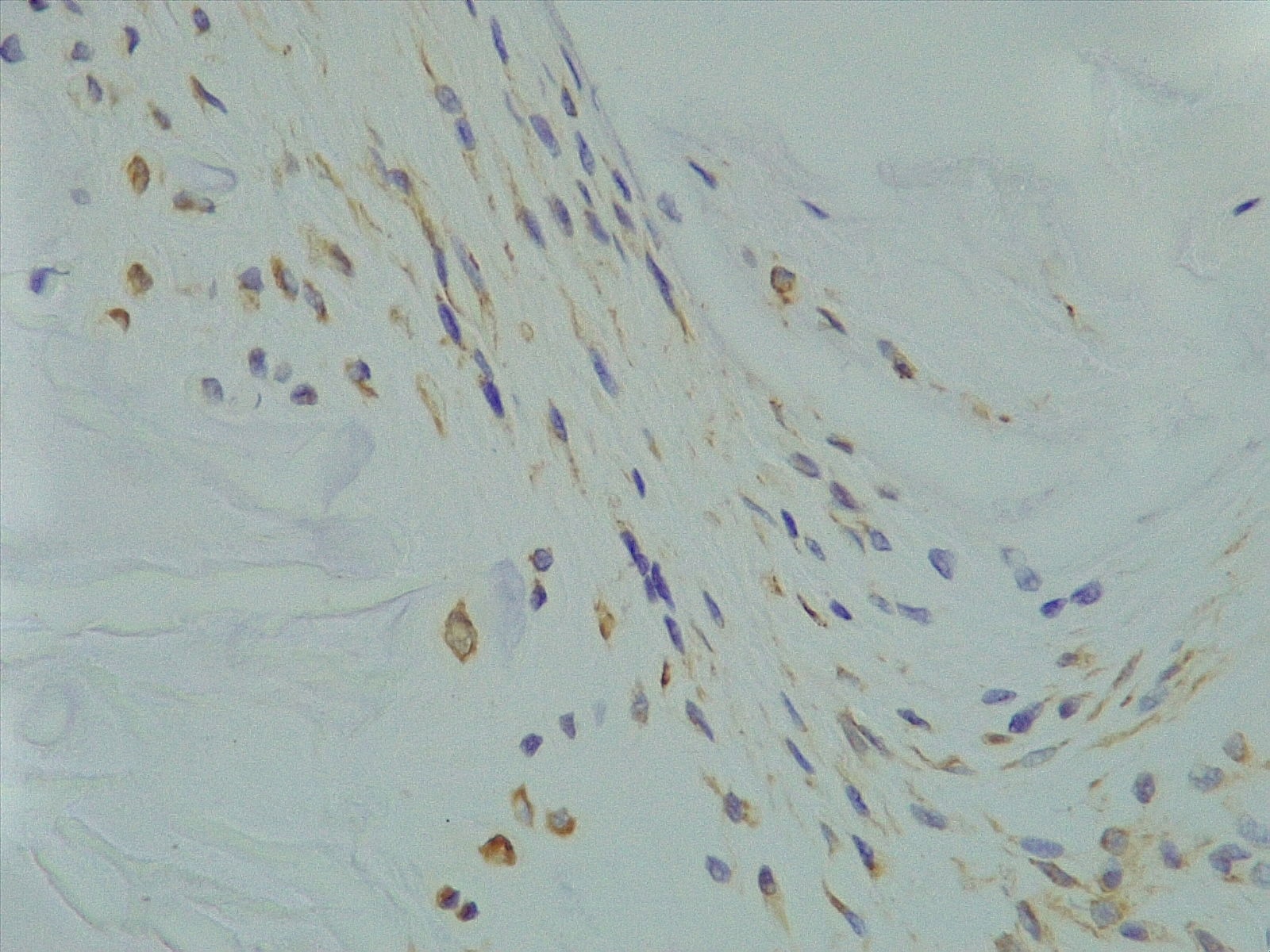
Immunohistochemistry-Paraffin Vimentin NBP2-12472
Enlarge
5
reviewed by:
Verified Customer
 IHC-P Sheep 08/08/2017
View

Summary

ApplicationImmunohistochemistry-Paraffin
Sample Testedsynovial tissue
SpeciesSheep
Lot170224LVA

Comments

CommentsPre-treated with proteinase K for 10 minutes. Incubated with primary antibody at 1 in 100 dilution for 1 hour at room temperature.

Product General Protocols

Video Protocols

WB Video Protocol
ICC/IF Video Protocol

FAQs for Vimentin Antibody (NBP2-12472) (0)

There are no specific FAQs related to this product. Read our general customer & technical service FAQs.

Secondary Antibodies

 

Isotype Controls

Additional Vimentin Products

Research Areas for Vimentin Antibody (NBP2-12472)

Find related products by research area.

Blogs on Vimentin. Showing 1-10 of 14 blog posts - Show all blog posts.

Taking Biomarker Discovery From 2D to 3D: Increased Biological Activity of EVs Isolated From 3D Prostate Cancer Cultures
Jamshed Arslan, Pharm D, PhD Tissues within the human body are made of a three-dimensional (3D) arrangement of cells working together to perform vital functions. The commonly used 2D monolayer cultures have limited ...  Read full blog post.


  Read full blog post.

Antibody treatment can generate microglia-like cells from bone marrow
By Jennifer Sokolowski, MD, PhD.Microglia play important roles in the brain in both homeostatic and pathological conditions, acting to clear debris and dying cells. There is evidence to suggest that microglial dys...  Read full blog post.

Stemness is responsible for onset and metastasis of colorectal cancer
By Jamshed Arslan, Pharm. D., PhD. Colorectal cancer stem cells are a rare subpopulation of colorectal cancer cells that can self-renew and initiate and sustain tumor growth when transplanted into an animal host.1,2 C...  Read full blog post.

The use of Beta Actin (AC-15) as a loading control across multiple species
Actin is a fundamental component of the cytoskeleton, where it has the ability to create and break down actin filament formation in response to various cell needs.  Actin has six highly conserved isoforms, however beta and gamma actin are the two...  Read full blog post.

The use of actin as a loading control in research on fruiting-body development and vegetative growth in Sordaria macrospora research
Sordaria macrospora is a filamentous fungus that serves as very useful system for scientific research due to a short life cycle and easy manipulation.  Just like any other model organism, it is important to have an effective loading control to va...  Read full blog post.

Alpha-smooth muscle actin and the modulation of endothelial and epithelial cell biology
Actin is essential for a wide range of cell functions, ranging from cell division and chromatin remodeling to vesicle trafficking and maintenance of cellular structure. In fact, mislocalization of actin to cell junctions during development leads t...  Read full blog post.

Epithelial-Mesenchymal Transition (EMT) Markers
Epithelial-Mesenchymal Transition (EMT) is the trans-differentiation of stationary epithelial cells into motile mesenchymal cells. During EMT, epithelial cells lose their junctions and apical-basal polarity, reorganize their cytoskeleton, undergo a...  Read full blog post.

CD63: is it pro-metastatic or anti-metastatic?
CD63 is a type II membrane protein belonging to tetraspanin superfamily and it play key roles in the activation of several cellular signaling cascades along with acting as TIMP1 receptor. It is expressed by activated platelets, monocytes,...  Read full blog post.

Vimentin: Regulating EMT and Cancer
Vimentin, a member of the intermediate filament (IF) family, is a protein responsible for maintaining cellular integrity and reducing damage caused by stress. The vimentin protein is ubiquitously expressed in normal mesenchymal cells, and recent resea...  Read full blog post.

Showing 1-10 of 14 blog posts - Show all blog posts.

Contact Information

Product PDFs

Calculators

Concentration Calculator

The concentration calculator allows you to quickly calculate the volume, mass or concentration of your vial. Simply enter your mass, volume, or concentration values for your reagent and the calculator will determine the rest.

=
÷

Recent Reviews

5
5
1
4
0
3
0
2
0
1
0

Verified Customer
08/08/2017
Application:  IHC-P
Species: Sheep

Bioinformatics

Gene Symbol VIM