VAV2 Antibody (SC68-03)

Images

 
Western Blot: VAV2 Antibody (SC68-03) [NBP2-67623] - Analysis of VAV2 on SW480 cells lysates using anti-VAV2 antibody at 1/1,000 dilution.
Immunocytochemistry/ Immunofluorescence: VAV2 Antibody (SC68-03) [NBP2-67623] - Staining VAV2 in SW480 cells (green). The nuclear counter stain is DAPI (blue). Cells were fixed in paraformaldehyde, permeabilised with ...read more
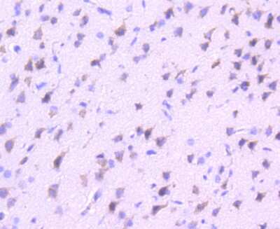
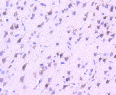
Immunohistochemistry-Paraffin: VAV2 Antibody (SC68-03) [NBP2-67623] - Analysis of paraffin-embedded rat brain tissue using anti-VAV2 antibody. Counter stained with hematoxylin.
Immunocytochemistry/ Immunofluorescence: VAV2 Antibody (SC68-03) [NBP2-67623] - Staining VAV2 in Hela cells (green). The nuclear counter stain is DAPI (blue). Cells were fixed in paraformaldehyde, permeabilised with ...read more
Immunocytochemistry/ Immunofluorescence: VAV2 Antibody (SC68-03) [NBP2-67623] - Staining VAV2 in NIH/3T3 cells (green). The nuclear counter stain is DAPI (blue). Cells were fixed in paraformaldehyde, permeabilised with ...read more
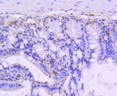
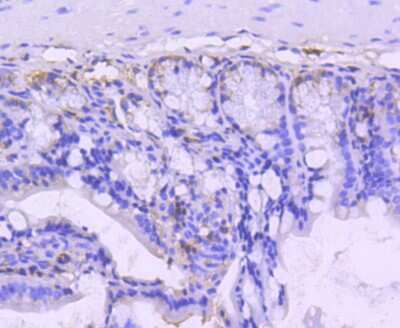
Immunohistochemistry-Paraffin: VAV2 Antibody (SC68-03) [NBP2-67623] - Analysis of paraffin-embedded mouse colon tissue using anti-VAV2 antibody. Counter stained with hematoxylin.

Product Details

Summary
Product Discontinued
View other related VAV2 Primary Antibodies

Order Details


    • Catalog Number
      NBP2-67623
    • Availability
      Product Discontinued

    Can't find what you are looking for? Use our Antibody Concierge Service & we will help you locate your antibody!

    Or feel free to contact us for alternative products.

VAV2 Antibody (SC68-03) Summary

Additional Information
Recombinant Monoclonal Antibody.
Immunogen
Synthetic peptide within Human VAV2 aa 146-194 / 878. (SwissProt: P52735 Human; SwissProt: Q60992 Mouse; Entrez Gene: 296603 Rat)
Localization
Cytoplasm.
Isotype
IgG
Clonality
Monoclonal
Host
Rabbit
Gene
VAV2
Purity
Protein A purified
Innovator's Reward
Test in a species/application not listed above to receive a full credit towards a future purchase.

Applications/Dilutions

Dilutions
  • Immunocytochemistry/ Immunofluorescence 1:50-1:200
  • Immunohistochemistry
  • Immunohistochemistry-Paraffin 1:50-1:200
  • Immunoprecipitation
  • Western Blot 1:1000-1:5000

Packaging, Storage & Formulations

Storage
Store at 4C short term. Aliquot and store at -20C long term. Avoid freeze-thaw cycles.
Buffer
TBS (pH7.4), 0.05% BSA, 40% Glycerol
Preservative
0.05% Sodium Azide
Concentration
1 mg/ml
Purity
Protein A purified

Alternate Names for VAV2 Antibody (SC68-03)

  • guanine nucleotide exchange factor VAV2
  • oncogene VAV2
  • Protein vav-2
  • vav 2 guanine nucleotide exchange factor
  • vav 2 oncogene
  • VAV-2

Background

The Vav family are Rho/Rac guanosine nucleotide exchange factors (GEFs), consisting of three members in mammalian cells (Vav, Vav2, Vav3) and one in nematodes (CelVav) (1). Vav and Vav2 are members of the dbl family of guanine nucleotide exchange factors (GEF) for the rho/rac family of GTP binding proteins. Vav is expressed primarily in hematopoietic cells, while vav2 has a wider tissue distribution (2). Vav2 serves as a guanine nucleotide exchange factor for the Rho family of Ras-related GTPases. Unlike Vav1, whose expression is restricted to cells of hematopoietic origin, Vav2 is broadly expressed. Recently, Vav2 has been identified as a substrate for the epidermal growth factor (EGF) receptor. EGF receptor phosphorylates Vav2 on all three possible phosphorylation sites, Tyr-142, Tyr-159, and Tyr-172. results suggest that EGF regulates Vav2 activity basically through phosphatidylinositol 3-kinase activation, whereas tyrosine phosphorylation of Vav2 may rather be necessary for mediating protein-protein interactions (3)

Limitations

This product is for research use only and is not approved for use in humans or in clinical diagnosis. Primary Antibodies are guaranteed for 1 year from date of receipt.

Customers Who Viewed This Item Also Viewed...

MAB37861
Species: Hu
Applications: ICC, Simple Western, WB
NB100-91266
Species: Hu, Mu, Rt
Applications: ICC/IF, IHC, IHC-Fr,  IHC-P, WB
AF887
Species: Hu, Mu, Rt
Applications: CyTOF-ready, IHC, ICFlow, Simple Western, WB
NBP1-58359
Species: Hu
Applications: IHC,  IHC-P, WB
AF2685
Species: Hu
Applications: IHC, Simple Western, WB
NBP2-25160
Species: Bv, Ca, Eq, Hu, Mu, Po, Rt
Applications: ICC/IF, IHC, WB
NB100-91273
Species: Hu, Mu, Pm, Rt
Applications: ICC/IF, IHC,  IHC-P, WB
NB300-817
Species: Hu
Applications: Flow, ICC/IF, IHC,  IHC-P, PEP-ELISA
NBP2-67895
Species: Hu, Mu, Rt
Applications: Flow, IHC,  IHC-P, IP, WB
NB110-68800
Species: Hu, Mu, Pm
Applications: ICC/IF, WB
NBP2-21577
Species: Hu, Mu, Rt
Applications: ICC/IF, IHC, IHC-Fr,  IHC-P, IP, KD, WB
H00056731-M02
Species: Hu
Applications: ELISA, ICC/IF, WB
AF6260
Species: Hu
Applications: WB
NBP1-85727
Species: Hu
Applications: ICC/IF, IHC,  IHC-P
AF231
Species: Hu
Applications: CyTOF-ready, Dual ISH-IHC, ELISA(Cap), ELISA(Det), ELISA(Sta), Flow, ICC, IHC, IP, Simple Western, WB
236-EG
Species: Hu
Applications: BA
AF5129
Species: Hu
Applications: WB
NBP2-49172
Species: Hu
Applications: IHC,  IHC-P, WB
AF1230
Species: Hu, Mu, Rt
Applications: IHC, KO, WB
DVE00
Species: Hu
Applications: ELISA

Publications for VAV2 Antibody (NBP2-67623) (0)

There are no publications for VAV2 Antibody (NBP2-67623).
By submitting your publication information earn gift cards and discounts for future purchases.

Reviews for VAV2 Antibody (NBP2-67623) (0)

There are no reviews for VAV2 Antibody (NBP2-67623). By submitting a review you will receive an Amazon e-Gift Card or Novus Product Discount.
  • Review with no image -- $10/€7/£6/$10 CAD/¥70 Yuan/¥1110 Yen
  • Review with an image -- $25/€18/£15/$25 CAD/¥150 Yuan/¥2500 Yen

Product General Protocols

Find general support by application which include: protocols, troubleshooting, illustrated assays, videos and webinars.

Video Protocols

WB Video Protocol
ICC/IF Video Protocol

FAQs for VAV2 Antibody (NBP2-67623) (0)

There are no specific FAQs related to this product. Read our general customer & technical service FAQs.

Secondary Antibodies

 

Isotype Controls

Additional VAV2 Products

Research Areas for VAV2 Antibody (NBP2-67623)

Find related products by research area.

Blogs on VAV2

There are no specific blogs for VAV2, but you can read our latest blog posts.

Contact Information

Product PDFs

Calculators

Concentration Calculator

The concentration calculator allows you to quickly calculate the volume, mass or concentration of your vial. Simply enter your mass, volume, or concentration values for your reagent and the calculator will determine the rest.

=
÷

Review this Product

Be the first to review our VAV2 Antibody (SC68-03) and receive a gift card or discount.

Bioinformatics

Gene Symbol VAV2