USP4 Antibody

Images

 
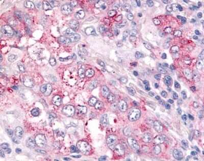
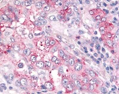
Immunohistochemistry-Paraffin: USP4 Antibody [NB100-90597] - Anti-USP4 antibody IHC of human Lung, Non-Small Cell Carcinoma. Immunohistochemistry of formalin-fixed, paraffin-embedded tissue after heat-induced antigen ...read more
Immunohistochemistry-Paraffin: USP4 Antibody [NB100-90597] - Analysis of anti-USP4 / UNP antibody with human lung, non-small cell carcinoma.
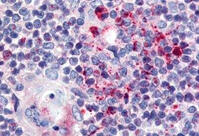
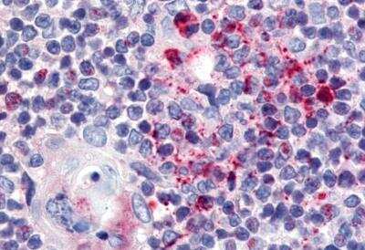
Immunohistochemistry-Paraffin: USP4 Antibody [NB100-90597] - Anti-USP4 antibody IHC of human thymus. Immunohistochemistry of formalin-fixed, paraffin-embedded tissue after heat-induced antigen retrieval.

Product Details

Summary
Product Discontinued
View other related USP4 Primary Antibodies

Order Details


    • Catalog Number
      NB100-90597
    • Availability
      Product Discontinued

    Can't find what you are looking for? Use our Antibody Concierge Service & we will help you locate your antibody!

    Or feel free to contact us for alternative products.

USP4 Antibody Summary

Immunogen
Synthetic 19 amino acid peptide from Near the N-terminus of human USP4.
Epitope
Near the N-terminus of human
Specificity
Human USP4. BLAST analysis of the peptide immunogen showed no homology with other human proteins.
Predicted Species
Orangutan (95%), Rabbit (95%). Backed by our 100% Guarantee.
Isotype
IgG
Clonality
Polyclonal
Host
Rabbit
Gene
USP4
Purity
Immunogen affinity purified
Innovator's Reward
Test in a species/application not listed above to receive a full credit towards a future purchase.

Applications/Dilutions

Dilutions
  • Immunohistochemistry
  • Immunohistochemistry-Paraffin 5 ug/ml
  • Western Blot 1:1000 - 1:10000
Control
USP4 Overexpression Lysate

Reactivity Notes

Predicted cross-reactivity based on sequence identity: Gorilla (95%), Gibbon (89%), Marmoset (89%), Canine (89%), Bovine (89%), Equine (89%), Monkey (84%), Opossum (84%).

Packaging, Storage & Formulations

Storage
Store at 4C short term. Aliquot and store at -20C long term. Avoid freeze-thaw cycles.
Buffer
PBS
Preservative
0.1% Sodium Azide
Concentration
0.7 mg/ml
Purity
Immunogen affinity purified

Alternate Names for USP4 Antibody

  • Deubiquitinating enzyme 4
  • EC 3.1.2.15
  • EC 3.4.19.12
  • MGC149848
  • MGC149849
  • ubiquitin carboxyl-terminal esterase 4
  • ubiquitin carboxyl-terminal hydrolase 4
  • ubiquitin specific peptidase 4 (proto-oncogene)
  • ubiquitin specific protease 4 (proto-oncogene)
  • ubiquitin thioesterase 4
  • Ubiquitin thiolesterase 4
  • ubiquitin-specific processing protease 4
  • Ubiquitin-specific-processing protease 4
  • Ubiquitous nuclear protein homolog
  • UNP
  • Unph
  • UNPUnph
  • USP4

Background

Modification of target proteins by ubiquitin participates in a wide array of biological functions. Proteins destined for degradation or processing via the 26 S proteasome are coupled to multiple copies of ubiquitin. However, attachment of ubiquitin or ubiquitin-related molecules may also result in changes in subcellular distribution or modification of protein activity. An additional level of ubiquitin regulation, deubiquitination, is catalyzed by proteases called deubiquitinating enzymes, which fall into four distinct families. Ubiquitin C-terminal hydrolases, ubiquitin-specific processing proteases (USPs),1 OTU-domain ubiquitin-aldehyde-binding proteins, and Jab1/Pad1/MPN-domain-containing metallo-enzymes. Among these four families, USPs represent the most widespread and represented deubiquitinating enzymes across evolution. USPs tend to release ubiquitin from a conjugated protein. They display similar catalytic domains containing conserved Cys and His boxes but divergent N-terminal and occasionally C-terminal extensions, which are thought to function in substrate recognition, subcellular localization, and protein-protein interactions.

Limitations

This product is for research use only and is not approved for use in humans or in clinical diagnosis. Primary Antibodies are guaranteed for 1 year from date of receipt.

Customers Who Viewed This Item Also Viewed...

NBP1-86037
Species: Hu
Applications: ICC/IF, IHC,  IHC-P, WB
H00009958-M01
Species: Hu, Mu, Rt
Applications: ELISA, ICC/IF, IP, WB
NBP2-76350
Species: Hu
Applications: Flow, ICC/IF, PEP-ELISA
NBP2-45731
Species: Ca, Hu, Pm
Applications: IHC,  IHC-P, WB
NB100-513
Species: Hu, Mu
Applications: ICC/IF, IHC,  IHC-P, IP, WB
NBP2-33735
Species: Hu
Applications: ICC/IF, IHC,  IHC-P, WB
NBP1-82455
Species: Hu
Applications: ICC/IF, IHC,  IHC-P, WB
MAB6495
Species: Hu
Applications: ICC, Simple Western, WB
NBP2-26506
Species: Hu, Mu, Rt
Applications: B/N, In vitro
H00009266-M02
Species: Hu, Mu, Rt
Applications: ELISA, ICC/IF, IHC, IHC-Fr,  IHC-P, S-ELISA, WB
AF1230
Species: Hu, Mu, Rt
Applications: IHC, KO, WB
MAB3810
Species: Hu, Rt
Applications: ICC, Simple Western, WB
NBP1-87122
Species: Hu
Applications: ICC/IF, IHC,  IHC-P, WB
H00009097-M04
Species: Hu, Mu, Rt
Applications: ELISA, ICC/IF, WB
AF009
Species: Hu
Applications: IHC, WB
AF3025
Species: Hu
Applications: ELISA, ICC, WB
NB100-90597
Species: Hu, Pm-Or, Rb
Applications: WB, IHC

Publications for USP4 Antibody (NB100-90597) (0)

There are no publications for USP4 Antibody (NB100-90597).
By submitting your publication information earn gift cards and discounts for future purchases.

Reviews for USP4 Antibody (NB100-90597) (0)

There are no reviews for USP4 Antibody (NB100-90597). By submitting a review you will receive an Amazon e-Gift Card or Novus Product Discount.
  • Review with no image -- $10/€7/£6/$10 CAD/¥70 Yuan/¥1110 Yen
  • Review with an image -- $25/€18/£15/$25 CAD/¥150 Yuan/¥2500 Yen

Product General Protocols

Find general support by application which include: protocols, troubleshooting, illustrated assays, videos and webinars.

Video Protocols

WB Video Protocol

FAQs for USP4 Antibody (NB100-90597) (0)

There are no specific FAQs related to this product. Read our general customer & technical service FAQs.

Contact Information

Product PDFs

Calculators

Concentration Calculator

The concentration calculator allows you to quickly calculate the volume, mass or concentration of your vial. Simply enter your mass, volume, or concentration values for your reagent and the calculator will determine the rest.

=
÷

Review this Product

Be the first to review our USP4 Antibody and receive a gift card or discount.

Bioinformatics

Gene Symbol USP4
Entrez
Uniprot