UCH-L1/PGP9.5 Antibody (JF93-08)

Images

 
Immunocytochemistry/ Immunofluorescence: UCH-L1/PGP9.5 Antibody (JF93-08) [NBP2-66760] - Staining PGP9.5 in PC-3M cells (red). The nuclear counter stain is DAPI (blue). Cells were fixed in paraformaldehyde, ...read more
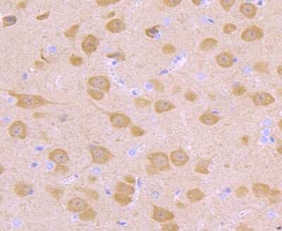
Immunohistochemistry-Paraffin: UCH-L1/PGP9.5 Antibody (JF93-08) [NBP2-66760] - Analysis of paraffin-embedded mouse brain tissue using anti-PGP9.5 antibody. Counter stained with hematoxylin.
Immunocytochemistry/ Immunofluorescence: UCH-L1/PGP9.5 Antibody (JF93-08) [NBP2-66760] - Staining PGP9.5 in Hela cells (red). The nuclear counter stain is DAPI (blue). Cells were fixed in paraformaldehyde, permeabilised ...read more
Immunocytochemistry/ Immunofluorescence: UCH-L1/PGP9.5 Antibody (JF93-08) [NBP2-66760] - Staining PGP9.5 in PC-12 cells (red). The nuclear counter stain is DAPI (blue). Cells were fixed in paraformaldehyde, ...read more
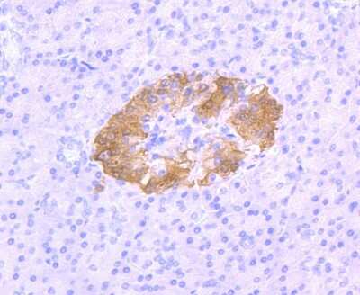
Immunohistochemistry-Paraffin: UCH-L1/PGP9.5 Antibody (JF93-08) [NBP2-66760] - Analysis of paraffin-embedded human pancreas tissue using anti-PGP9.5 antibody. Counter stained with hematoxylin.

Product Details

Summary
Product Discontinued
View other related UCH-L1/PGP9.5 Primary Antibodies

Order Details


    • Catalog Number
      NBP2-66760
    • Availability
      Product Discontinued

    Can't find what you are looking for? Use our Antibody Concierge Service & we will help you locate your antibody!

    Or feel free to contact us for alternative products.

UCH-L1/PGP9.5 Antibody (JF93-08) Summary

Additional Information
Recombinant Monoclonal Antibody.
Immunogen
Synthetic peptide within Human UCH-L1/PGP9.5 aa 50-90 / 223. (SwissProt: P09936 Human; SwissProt: Q9R0P9 Mouse; SwissProt: Q00981 Rat)
Localization
Cytoplasm, Endoplasmic reticulum membrane.
Isotype
IgG
Clonality
Monoclonal
Host
Rabbit
Gene
UCHL1
Purity
Protein A purified
Innovator's Reward
Test in a species/application not listed above to receive a full credit towards a future purchase.

Applications/Dilutions

Dilutions
  • Immunocytochemistry/ Immunofluorescence 1:100-1:500
  • Immunohistochemistry
  • Immunohistochemistry-Paraffin 1:50-1:200
  • Immunoprecipitation 1:50-1:100
  • Western Blot 1:500-1:1000
Publications
Read Publication using NBP2-66760.

Packaging, Storage & Formulations

Storage
Store at 4C short term. Aliquot and store at -20C long term. Avoid freeze-thaw cycles.
Buffer
TBS (pH7.4), 0.05% BSA, 40% Glycerol
Preservative
0.05% Sodium Azide
Concentration
1 mg/ml
Purity
Protein A purified

Alternate Names for UCH-L1/PGP9.5 Antibody (JF93-08)

  • EC 3.4.19.12
  • EC 6.-
  • Neuron cytoplasmic protein 9.5
  • PARK5
  • PGP 9.5
  • PGP9.5
  • PGP9.5Uch-L1
  • PGP95
  • ubiquitin carboxyl-terminal esterase L1 (ubiquitin thiolesterase)
  • ubiquitin carboxyl-terminal hydrolase isozyme L1
  • ubiquitin C-terminal hydrolase
  • Ubiquitin thioesterase L1
  • UCHL1
  • UCH-L1

Background

Ubiquitin carboxyl-terminal hydrolase isozyme L1 (UCHL1) is a soluble cytoplasmic protein found in neurons and in cells of the diffuse neuroendocrine system, and their respective tumors. Therefore, UCH-L1 has been widely used as a peripheral nerve fiber marker. UCHL-1 functions as a tissue-specific ubiquitin carboxyl terminal hydrolase isoenzyme involved in the processing of both ubiquitin precursors and ubiquitinated proteins.

UCH L1 is down-regulated in brains from Parkinson disease and Alzheimer disease patients, and certian site specific mutations in the UCHL1 gene can either increase or decrese the risk of Parkinson's and/or Alzheimer's neurodegenerative diseases.

Human UCHL 1 and the closely related UCHL3 protein have one of the most complicated knot structures ever discovered, with five knot crossings. This knot structure is expected to help the protein resist degradation in the proteasome.

Limitations

This product is for research use only and is not approved for use in humans or in clinical diagnosis. Primary Antibodies are guaranteed for 1 year from date of receipt.

Customers Who Viewed This Item Also Viewed...

NBP1-86037
Species: Hu
Applications: ICC/IF, IHC,  IHC-P, WB
NB120-14817
Species: Hu, Rt
Applications: ICC/IF, IHC, S-ELISA, WB
NBP1-46535
Species: Hu, Mu, Rb, Rt, Xp
Applications: ICC/IF, IHC-FrFl, IHC, IHC-Fr,  IHC-P, WB
MAB4375
Species: Hu, Mu, Rt
Applications: IHC
NBP2-46349
Species: Hu
Applications: IHC,  IHC-P, WB
AF1052
Species: Hu
Applications: CyTOF-ready, Flow, IHC, Simple Western, WB
NBP2-15365
Species: Hu, Mu, Rt
Applications: ICC/IF, IHC, IHC-Fr,  IHC-P, S-ELISA, WB
NB300-109
Species: Ch, Dr, Hu, I, Ma, Mu, Rt
Applications: Dual ISH-IHC, ICC/IF, IHC-FrFl, IHC-WhMt, IHC, IHC-Fr,  IHC-P, KO, Simple Western, WB
NB110-58870
Species: Hu, Mu, Rt
Applications: ICC/IF, IHC, KD, Simple Western, WB
AF114
Species: Mu
Applications: CyTOF-ready, Flow, ICC, IHC, WB
MAB4077
Species: Hu
Applications: IHC, WB
NBP1-88582
Species: Hu
Applications: ICC/IF, IHC,  IHC-P, WB
NBP1-87102
Species: Hu, Mu, Rt
Applications: ICC/IF, IHC,  IHC-P, WB
NB300-141
Species: Bv, Ch, Eq, Gp, Hu, Mu, Po, Rb, Rt
Applications: ICC/IF, IHC, IHC-Fr,  IHC-P, Simple Western, WB
NB300-223
Species: Bv, Ca, Ch, Eq, Hu, Mu, Po, Rt
Applications: ICC/IF, IHC, IHC-Fr,  IHC-P, WB
DBD00
Species: Hu
Applications: ELISA
NBP1-87103
Species: Hu, Mu
Applications: IHC,  IHC-P, WB
NB300-653
Species: Ch, Fe, Hu, Pm, Mu, Rt
Applications: ELISA, ICC/IF, IHC, IHC-Fr,  IHC-P, IP, WB
NB300-270
Species: Ch, Hu, Mu, Rt
Applications: Flow, ICC/IF, IHC,  IHC-P, IP, In vitro, Simple Western, WB
NBP2-66760
Species: Hu, Mu, Rt
Applications: WB, ICC/IF, IHC, IP

Publications for UCH-L1/PGP9.5 Antibody (NBP2-66760)(1)

We have publications tested in 1 application: IP.


Filter By Application
IP
(1)
All Applications
Filter By Species
All Species

Reviews for UCH-L1/PGP9.5 Antibody (NBP2-66760) (0)

There are no reviews for UCH-L1/PGP9.5 Antibody (NBP2-66760). By submitting a review you will receive an Amazon e-Gift Card or Novus Product Discount.
  • Review with no image -- $10/€7/£6/$10 CAD/¥70 Yuan/¥1110 Yen
  • Review with an image -- $25/€18/£15/$25 CAD/¥150 Yuan/¥2500 Yen

Product General Protocols

Find general support by application which include: protocols, troubleshooting, illustrated assays, videos and webinars.

Video Protocols

WB Video Protocol
ICC/IF Video Protocol

FAQs for UCH-L1/PGP9.5 Antibody (NBP2-66760) (0)

There are no specific FAQs related to this product. Read our general customer & technical service FAQs.

Contact Information

Product PDFs

Calculators

Concentration Calculator

The concentration calculator allows you to quickly calculate the volume, mass or concentration of your vial. Simply enter your mass, volume, or concentration values for your reagent and the calculator will determine the rest.

=
÷

Review this Product

Be the first to review our UCH-L1/PGP9.5 Antibody (JF93-08) and receive a gift card or discount.

Bioinformatics

Gene Symbol UCHL1