TYKi Antibody (CL14479) - Azide and BSA Free

Images

 
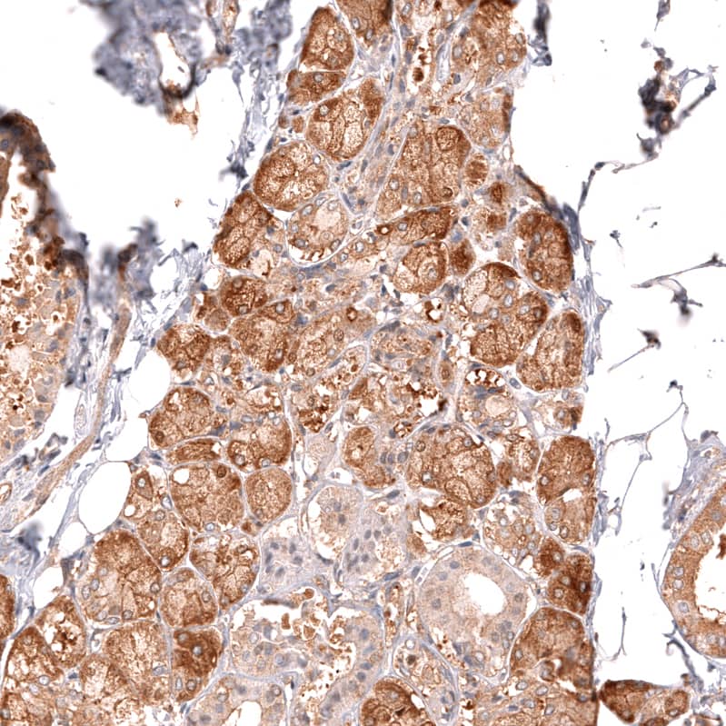
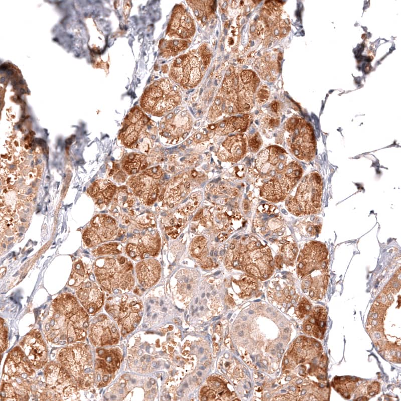
Staining of human salivary gland shows strong cytoplasmic positivity in glandular cells.
Staining of human skeletal muscle shows no positivity in myocytes as expected.
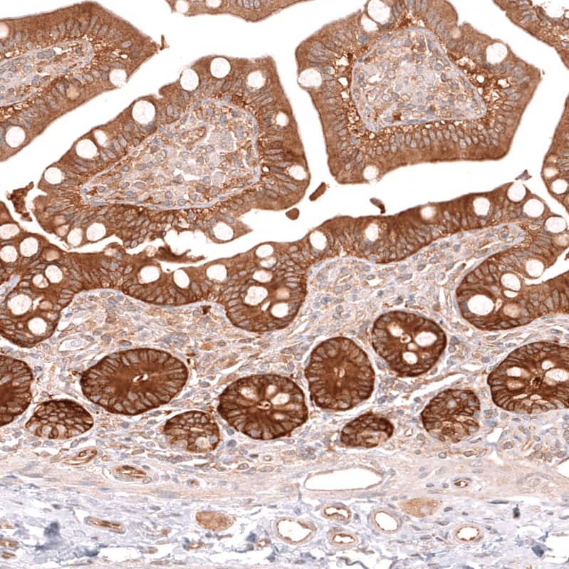
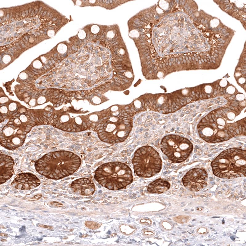
Staining of human small intestine shows strong cytoplasmic positivity in glandular cells.
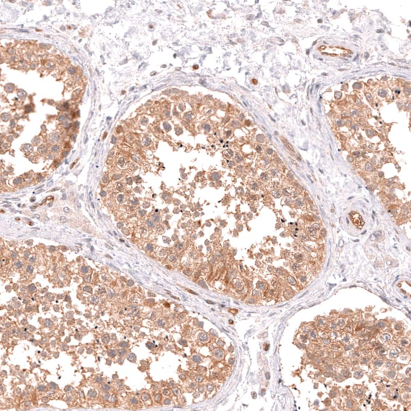
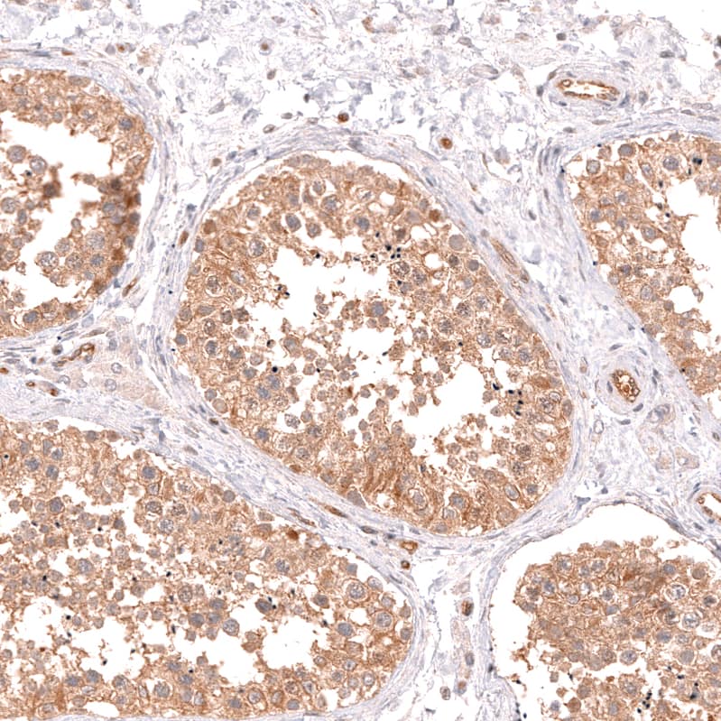
Staining of human testis shows strong cytoplasmic positivity in cells in seminiferous ducts.
Analysis in human cell line HEL.

Product Details

Summary
Reactivity HuSpecies Glossary
Applications WB, IHC
Clone
CL14479
Clonality
Monoclonal
Host
Mouse
Conjugate
Unconjugated
Format
Azide and BSA Free
Concentration
LYOPH

Order Details

TYKi Antibody (CL14479) - Azide and BSA Free Summary

Description
Novus Biologicals Mouse TYKi Antibody (CL14479) - Azide and BSA Free (NBP3-26857) is a monoclonal antibody validated for use in IHC and WB. All Novus Biologicals antibodies are covered by our 100% guarantee.
Immunogen
This antibody was generated using a synthetic peptide of Q5EBM0, with the exact immunogen sequence remaining proprietary.
Isotype
IgG1
Clonality
Monoclonal
Host
Mouse
Gene
CMPK2
Purity
Protein A purified
Innovator's Reward
Test in a species/application not listed above to receive a full credit towards a future purchase.

Applications/Dilutions

Dilutions
  • Immunohistochemistry-Paraffin 1:200 - 1:500
  • Western Blot 1 ug/ml
Application Notes
For IHC-Paraffin, HIER pH 6 retrieval is recommended.

Packaging, Storage & Formulations

Storage
Store at 4C short term. Aliquot and store at -20C long term. Avoid freeze-thaw cycles.
Buffer
Lyophilized from a 0.2 um filtered solution in PBS with Trehalose
Preservative
No Preservative
Concentration
LYOPH
Purity
Protein A purified
Reconstitution Instructions
Centrifuge the vial of lyophilized antibody at 12,000 x g for 20 seconds. Reconstitute by adding sterile, distilled water to achieve a final antibody concentration of 1mg/ml.

Alternate Names for TYKi Antibody (CL14479) - Azide and BSA Free

  • cytidine monophosphate (UMP-CMP) kinase 2, mitochondrial
  • cytidylate kinase 2
  • EC 2.7.4.14
  • mitochondrial UMP-CMP kinase
  • mitochondrial
  • thymidine monophosphate kinase 2
  • thymidylate kinase family LPS-inducible member
  • TMPK2
  • TYKi
  • UMP-CMPK2

Background

LOC129607 - hypothetical protein LOC129607

Limitations

This product is for research use only and is not approved for use in humans or in clinical diagnosis. Primary Antibodies are guaranteed for 1 year from date of receipt.

Customers Who Viewed This Item Also Viewed...

NBP2-46313
Species: Hu, Pm, Mu, Rt
Applications: ICC/IF, IHC,  IHC-P, WB
NBP2-01184
Species: Hu
Applications: Flow, ICC/IF, IHC,  IHC-P, WB
NBP2-03971
Species: Bv, Ca, Ch, ChHa, Eq, Hu, Mu, Po, Pm, Rb, Rt
Applications: IHC,  IHC-P, WB
NBP2-54591
Species: Hu
Applications: CyTOF-ready, Flow, ICC/IF, IHC,  IHC-P, PA
M6000B
Species: Mu
Applications: ELISA
NBP2-24875
Species: Ca, Hu, Mu
Applications: BA, B/N, Flow-IC, Flow, ICC/IF, IHC,  IHC-P, WB
NBP1-81838
Species: Hu, Mu
Applications: IHC,  IHC-P, WB
NBP1-32905
Species: Bv, Hu, Pm, Rb
Applications: ICC/IF, IHC, IHC-Fr,  IHC-P, WB
NB110-1244
Species: Hu, Mu, Pm
Applications: Flow, IHC,  IHC-P, PEP-ELISA
DIP100
Species: Hu
Applications: ELISA
NB100-80859
Species: Hu, Mu, Rt
Applications: ELISA, ICC/IF, IHC,  IHC-P, WB
DCP00
Species: Hu
Applications: ELISA
NBP1-43278
Species: Hu
Applications: Flow, IHC,  IHC-P
H00010561-P01
Species: Hu
Applications: ELISA, AP, PA, WB
NBP2-31807
Species: Hu
Applications: IHC,  IHC-P
AF3076
Species: Hu
Applications: IHC, WB
H00051191-A01
Species: Hu, Mu
Applications: ELISA, ICC/IF, WB
QET00B
Species: Hu
Applications: ELISA
NBP3-44329
Species: Hu
Applications: WB, IHC

Publications for TYKi Antibody (NBP3-44329) (0)

There are no publications for TYKi Antibody (NBP3-44329).
By submitting your publication information earn gift cards and discounts for future purchases.

Reviews for TYKi Antibody (NBP3-44329) (0)

There are no reviews for TYKi Antibody (NBP3-44329). By submitting a review you will receive an Amazon e-Gift Card or Novus Product Discount.
  • Review with no image -- $10/€7/£6/$10 CAD/¥70 Yuan/¥1110 Yen
  • Review with an image -- $25/€18/£15/$25 CAD/¥150 Yuan/¥2500 Yen

Product General Protocols

Find general support by application which include: protocols, troubleshooting, illustrated assays, videos and webinars.

Video Protocols

WB Video Protocol

FAQs for TYKi Antibody (NBP3-44329) (0)

There are no specific FAQs related to this product. Read our general customer & technical service FAQs.

Secondary Antibodies

 

Isotype Controls

Additional TYKi Products

Research Areas for TYKi Antibody (NBP3-44329)

Find related products by research area.

Blogs on TYKi

There are no specific blogs for TYKi, but you can read our latest blog posts.

Customers Who Bought This Also Bought

Contact Information

Product PDFs

Calculators

Concentration Calculator

The concentration calculator allows you to quickly calculate the volume, mass or concentration of your vial. Simply enter your mass, volume, or concentration values for your reagent and the calculator will determine the rest.

=
÷

Review this Product

Be the first to review our TYKi Antibody (CL14479) - Azide and BSA Free and receive a gift card or discount.

Bioinformatics

Gene Symbol CMPK2