Tryptophan hydroxylase 2 Antibody (CL2990) - Azide and BSA Free

Images

 
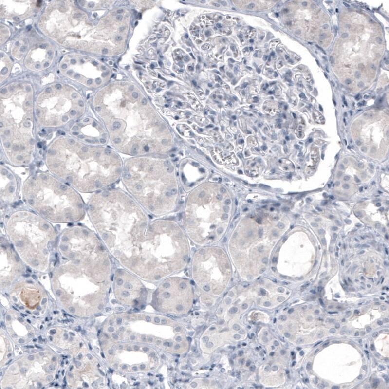
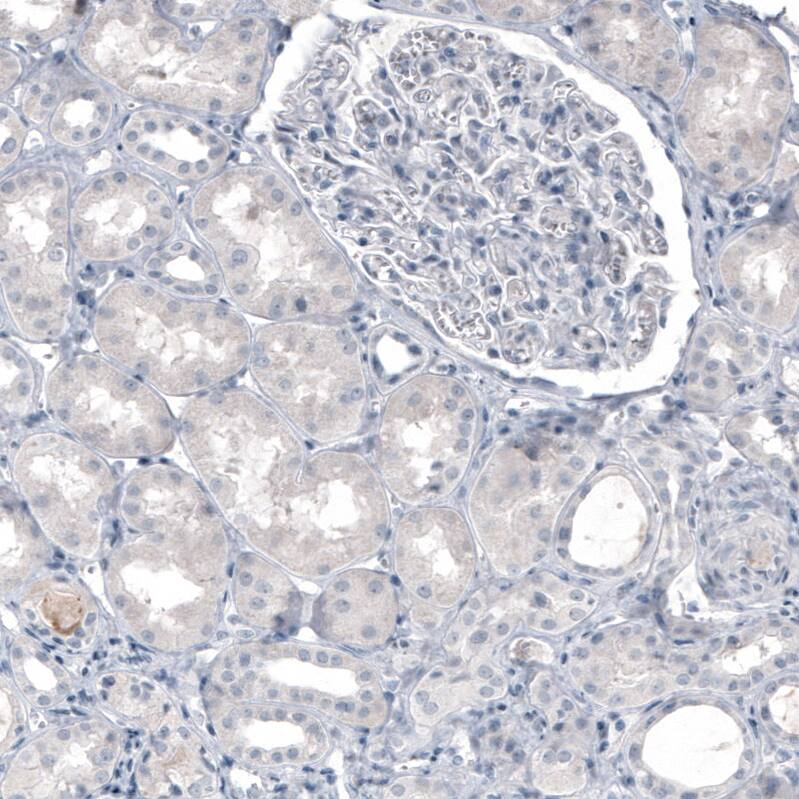
Staining of human kidney shows no positivity in cells in tubules or glomeruli as expected.
Staining of human dorsal raphe nucleus shows strong cytoplasmic positivity in serotonin neurons.
Staining of human cerebral cortex shows moderate positivity in serotonergic neural fibers.
Staining of mouse brain shows moderate positivity in serotonergic fibers in the cerebral cortex.
Staining of rat midbrain shows strong positivity in serotonin neurons in the dorsal raphe nucleus.
Staining of mouse brain shows moderate positivity in serotonergic fibers in the basal forebrain.

Product Details

Summary
Reactivity Hu, Mu, RtSpecies Glossary
Applications IHC
Clone
CL2990
Clonality
Monoclonal
Host
Mouse
Conjugate
Unconjugated
Format
Azide and BSA Free
Concentration
LYOPH

Order Details

Tryptophan hydroxylase 2 Antibody (CL2990) - Azide and BSA Free Summary

Description
Novus Biologicals Mouse Tryptophan hydroxylase 2 Antibody (CL2990) - Azide and BSA Free (NBP2-46646) is a monoclonal antibody validated for use in IHC. All Novus Biologicals antibodies are covered by our 100% guarantee.
Immunogen
This antibody was generated using a recombinant protein sequence of Q8IWU9, with the exact immunogen sequence remaining proprietary.
Isotype
IgG1
Clonality
Monoclonal
Host
Mouse
Gene
TPH2
Purity
Protein A purified
Innovator's Reward
Test in a species/application not listed above to receive a full credit towards a future purchase.

Applications/Dilutions

Dilutions
  • Immunohistochemistry-Paraffin 1:1000 - 1:2500
Application Notes
For IHC-Paraffin, HIER pH 6 retrieval is recommended.

Packaging, Storage & Formulations

Storage
Store at 4C short term. Aliquot and store at -20C long term. Avoid freeze-thaw cycles.
Buffer
Lyophilized from a 0.2 um filtered solution in PBS with Trehalose
Preservative
No Preservative
Concentration
LYOPH
Purity
Protein A purified
Reconstitution Instructions
Centrifuge the vial of lyophilized antibody at 12,000 x g for 20 seconds. Reconstitute by adding sterile, distilled water to achieve a final antibody concentration of 1mg/ml.

Alternate Names for Tryptophan hydroxylase 2 Antibody (CL2990) - Azide and BSA Free

  • ADHD7
  • EC 1.14.16
  • EC 1.14.16.4
  • FLJ37295
  • MGC138872
  • Neuronal tryptophan hydroxylase
  • NTPH
  • NTPHMGC138871
  • TPH2
  • tryptophan 5-hydroxylase 2
  • Tryptophan 5-monooxygenase 2
  • Tryptophan Hydroxylase 2

Background

Tryptophan hydroxylase (TPH) catalyzes the 5-hydroxylation of tryptophan, which is the first step in the biosynthesis of indoleamines (serotonin and melatonin) (Martinez et al., 2001). In mammals, serotonin biosynthesis occurs predominantly in neurons which originate in the Raphe nuclei of the brain, and melatonin synthesis takes place within the pineal gland. Although TPH catalyzes the same reaction within the Raphe nuclei and the pineal gland, TPH activity is rate-limiting for serotonin but not melatonin biosynthesis. Serotonin functions mainly as a neurotransmitter, whereas melatonin is the principal hormone secreted by the pineal gland. The activity of TPH is enhanced by phosphorylation by cAMP-dependent protein kinase (PKA) and Ca2+/calmodulin kinase II (CaM K II) (Jiang et al., 2000; Johansen et al., 1996). CaM K II phosphorylates Ser260 which lies within the regulatory domain of TPH (Jiang et al., 2000).

Limitations

This product is for research use only and is not approved for use in humans or in clinical diagnosis. Primary Antibodies are guaranteed for 1 year from date of receipt.

Customers Who Viewed This Item Also Viewed...

NBP1-86922
Species: Hu
Applications: IHC,  IHC-P, WB
H00006532-D01P
Species: Hu, Mu
Applications: WB
NBP2-21590
Species: Hu, Mu
Applications: ICC/IF, IHC-Fr, Simple Western, WB
NBP2-38868
Species: Hu
Applications: ICC/IF, IHC,  IHC-P, WB
DBD00
Species: Hu
Applications: ELISA
NBP2-15954
Species: Hu, Rt
Applications: IHC,  IHC-P, KO, WB
NBP2-26091
Species: Hu
Applications: Flow, ICC/IF, IHC,  IHC-P, PEP-ELISA
NB300-109
Species: Ch, Dr, Hu, I, Ma, Mu, Rt
Applications: Dual ISH-IHC, ICC/IF, IHC-FrFl, IHC-WhMt, IHC, IHC-Fr,  IHC-P, KO, Simple Western, WB
NBP3-23927
Species: Hu
Applications:  IHC-P
NBP1-31528
Species: Hu, Mu
Applications: IHC,  IHC-P, WB
NBP1-31386
Species: Hu, Mu, Rt
Applications: IHC,  IHC-P, WB
7570-GH
Species: Hu
Applications: EnzAct
H00001392-M02
Species: Hu
Applications: ELISA, IHC,  IHC-P, S-ELISA, WB
NBP2-22164
Species: Hu(-), Mu, Rt
Applications: ELISA, ICC/IF, IHC,  IHC-P, IP, WB
NB100-1533
Species: Hu, Mu, Po, Rt, Sh
Applications: Flow, ICC/IF, IHC,  IHC-P, PEP-ELISA, WB
NB300-731
Species: Gp, Hu, Mu, Rb, Rt, Sh, Ye
Applications: B/N, ChIP, Flow, GS, ICC/IF, IHC,  IHC-P, IP, WB
NBP1-47977
Species: Hu, Mu, Rt
Applications: Flow, ICC/IF, IHC,  IHC-P, WB
NBP3-12251
Species: Hu, Mu, Rt
Applications: ELISA, ICC/IF, IHC,  IHC-P, IP, WB
NB100-56350
Species: Hu, Mu, Rt
Applications: WB
AF3564
Species: Hu, Mu, Rt
Applications: ICC, IHC, IP, WB

Publications for Tryptophan hydroxylase 2 Antibody (NBP3-43817) (0)

There are no publications for Tryptophan hydroxylase 2 Antibody (NBP3-43817).
By submitting your publication information earn gift cards and discounts for future purchases.

Reviews for Tryptophan hydroxylase 2 Antibody (NBP3-43817) (0)

There are no reviews for Tryptophan hydroxylase 2 Antibody (NBP3-43817). By submitting a review you will receive an Amazon e-Gift Card or Novus Product Discount.
  • Review with no image -- $10/€7/£6/$10 CAD/¥70 Yuan/¥1110 Yen
  • Review with an image -- $25/€18/£15/$25 CAD/¥150 Yuan/¥2500 Yen

Product General Protocols

Find general support by application which include: protocols, troubleshooting, illustrated assays, videos and webinars.

FAQs for Tryptophan hydroxylase 2 Antibody (NBP3-43817) (0)

There are no specific FAQs related to this product. Read our general customer & technical service FAQs.

Secondary Antibodies

 

Isotype Controls

Additional Tryptophan hydroxylase 2 Products

Research Areas for Tryptophan hydroxylase 2 Antibody (NBP3-43817)

Find related products by research area.

Blogs on Tryptophan hydroxylase 2

There are no specific blogs for Tryptophan hydroxylase 2, but you can read our latest blog posts.

Customers Who Bought This Also Bought

Contact Information

Product PDFs

Calculators

Concentration Calculator

The concentration calculator allows you to quickly calculate the volume, mass or concentration of your vial. Simply enter your mass, volume, or concentration values for your reagent and the calculator will determine the rest.

=
÷

Review this Product

Be the first to review our Tryptophan hydroxylase 2 Antibody (CL2990) - Azide and BSA Free and receive a gift card or discount.

Bioinformatics

Gene Symbol TPH2