TMEM119 Antibody (CL8714) - Azide and BSA Free

Images

 
Orthogonal Strategies: Analysis in human cerebral cortex and liver tissues using NBP3-43823 antibody. Corresponding TMEM119 RNA-seq data are presented for the same tissues.
Staining of human cerebellum shows strong membranous positivity in microglia.
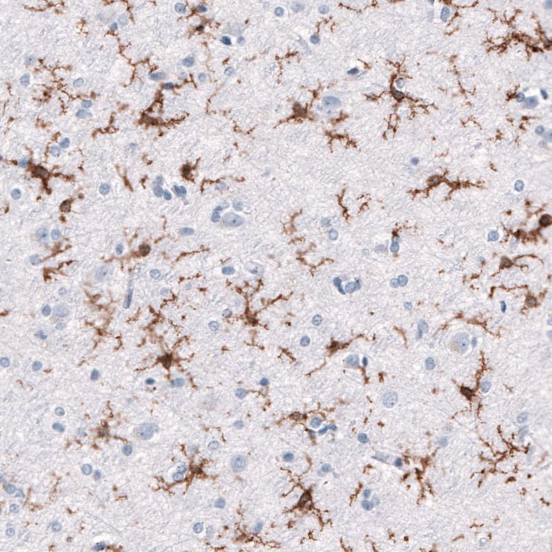
Staining of human cerebral cortex shows strong membranous positivity in microglia.
Staining of human lymphoid tissues shows strong membranous positivity in germinal center cells.
Staining of human liver shows no positivity in hepatocytes as expected.
Staining of SH-SY5Y cells using the Anti-TMEM119 monoclonal antibody) .
Analysis in human cell line SH-SY5Y.

Product Details

Summary
Reactivity HuSpecies Glossary
Applications WB, ICC/IF, IHC
Clone
CL8714
Clonality
Monoclonal
Host
Mouse
Conjugate
Unconjugated
Format
Azide and BSA Free
Concentration
LYOPH
Validated by:
       

Orthogonal Strategies

 

Order Details

TMEM119 Antibody (CL8714) - Azide and BSA Free Summary

Description
Novus Biologicals Mouse TMEM119 Antibody (CL8714) - Azide and BSA Free (NBP2-76985) is a monoclonal antibody validated for use in IHC, WB and ICC/IF. All Novus Biologicals antibodies are covered by our 100% guarantee.
Immunogen
This antibody was generated using a recombinant protein sequence of Q4V9L6, with the exact immunogen sequence remaining proprietary.
Isotype
IgG1
Clonality
Monoclonal
Host
Mouse
Gene
TMEM119
Purity
Protein A purified
Innovator's Reward
Test in a species/application not listed above to receive a full credit towards a future purchase.

Applications/Dilutions

Dilutions
  • Immunocytochemistry/ Immunofluorescence 2-10 ug/ml
  • Immunohistochemistry-Paraffin 1:5000 - 1:10000
  • Western Blot 1 ug/ml
Application Notes
For IHC, HIER pH 6 retrieval is recommended. Immunocytochemistry/ Immunofluorescence/IF Fixation/Permeabilization: PFA/Triton X-100.

Packaging, Storage & Formulations

Storage
Store at 4C short term. Aliquot and store at -20C long term. Avoid freeze-thaw cycles.
Buffer
Lyophilized from a 0.2 um filtered solution in PBS with Trehalose
Preservative
No Preservative
Concentration
LYOPH
Purity
Protein A purified
Reconstitution Instructions
Centrifuge the vial of lyophilized antibody at 12,000 x g for 20 seconds. Reconstitute by adding sterile, distilled water to achieve a final antibody concentration of 1mg/ml.

Alternate Names for TMEM119 Antibody (CL8714) - Azide and BSA Free

  • OBIF
  • Osteoblast Induction Factor
  • TMEM119

Limitations

This product is for research use only and is not approved for use in humans or in clinical diagnosis. Primary Antibodies are guaranteed for 1 year from date of receipt.

Customers Who Viewed This Item Also Viewed...

MAB7665
Species: Hu
Applications: IHC, WB
355-BM
Species: Hu, Mu, Rt
Applications: BA
MAB7547
Species: Hu
Applications: ICC, WB
NBP1-85533
Species: Hu
Applications: ICC/IF, IHC,  IHC-P, WB
AF2039
Species: Hu
Applications: IHC, Simple Western, WB
NB100-56479
Species: Bv, Ca, Hu, Mu, Po, Pm, Rt
Applications: ICC/IF, IHC,  IHC-P, Simple Western, WB
MAB1419
Species: Hu, Rt
Applications: CyTOF-ready, ICC, IHC, ICFlow
AF637
Species: Hu
Applications: CyTOF-ready, Flow, IHC, WB
NBP2-22203
Species: Hu, Pm, Mu, Rt
Applications: ELISA, Flow, ICC/IF, IHC,  IHC-P, WB
NBP1-86713
Species: Hu
Applications: IHC,  IHC-P
355-BM
Species: Hu, Mu, Rt
Applications: BA
AF808
Species: Mu
Applications: ELISA(Cap), ELISA(Det), ELISA(Sta), ICC, IHC, Neut, WB
H00010263-B01P
Species: Hu, Mu, Rt
Applications: WB
NB200-106
Species: Mu, Rt
Applications: ELISA, ICC/IF, IHC, IHC-Fr,  IHC-P, WB
DCC270
Species: Hu
Applications: ELISA
291-G1
Species: Hu
Applications: BA
NBP1-82454
Species: Hu, Mu
Applications: ICC/IF, IHC,  IHC-P, WB
DPI00
Species: Hu
Applications: ELISA
NBP3-43823
Species: Hu
Applications: WB, ICC/IF, IHC

Publications for TMEM119 Antibody (NBP3-43823) (0)

There are no publications for TMEM119 Antibody (NBP3-43823).
By submitting your publication information earn gift cards and discounts for future purchases.

Reviews for TMEM119 Antibody (NBP3-43823) (0)

There are no reviews for TMEM119 Antibody (NBP3-43823). By submitting a review you will receive an Amazon e-Gift Card or Novus Product Discount.
  • Review with no image -- $10/€7/£6/$10 CAD/¥70 Yuan/¥1110 Yen
  • Review with an image -- $25/€18/£15/$25 CAD/¥150 Yuan/¥2500 Yen

Product General Protocols

Find general support by application which include: protocols, troubleshooting, illustrated assays, videos and webinars.

Video Protocols

WB Video Protocol
ICC/IF Video Protocol

FAQs for TMEM119 Antibody (NBP3-43823) (0)

There are no specific FAQs related to this product. Read our general customer & technical service FAQs.

Secondary Antibodies

 

Isotype Controls

Additional TMEM119 Products

Blogs on TMEM119.

Antibody treatment can generate microglia-like cells from bone marrow
By Jennifer Sokolowski, MD, PhD.Microglia play important roles in the brain in both homeostatic and pathological conditions, acting to clear debris and dying cells. There is evidence to suggest that microglial dys...  Read full blog post.

TMEM 119 is a specific marker of microglia cells
By Jennifer Sokolowski, MD, PhD.Microglia are a major immune-cell component in the brain. They ingest and degrade dead cells, debris, and foreign material and interact with other immune cells to orchestrate centra...  Read full blog post.

Customers Who Bought This Also Bought

Contact Information

Product PDFs

Calculators

Concentration Calculator

The concentration calculator allows you to quickly calculate the volume, mass or concentration of your vial. Simply enter your mass, volume, or concentration values for your reagent and the calculator will determine the rest.

=
÷

Review this Product

Be the first to review our TMEM119 Antibody (CL8714) - Azide and BSA Free and receive a gift card or discount.

Bioinformatics

Gene Symbol TMEM119