TMEM119 Antibody (CL8714) - BSA Free

Images

 
Orthogonal Strategies: Immunohistochemistry-Paraffin: TMEM119 Antibody (CL8714) [NBP2-76985] - Analysis in human cerebral cortex and liver tissues. Corresponding TMEM119 RNA-seq data are presented for the same ...read more
Western Blot: TMEM119 Antibody (CL8714) [NBP2-76985] - Analysis in human cell line SH-SY5Y.
Immunocytochemistry/ Immunofluorescence: TMEM119 Antibody (CL8714) [NBP2-76985] - Staining of SH-SY5Y cells using the Anti-TMEM119 monoclonal antibody, showing specific staining to the plasma membrane in green. ...read more
Immunohistochemistry-Paraffin: TMEM119 Antibody (CL8714) [NBP2-76985] - Staining of human cerebellum shows strong membranous positivity in microglia.
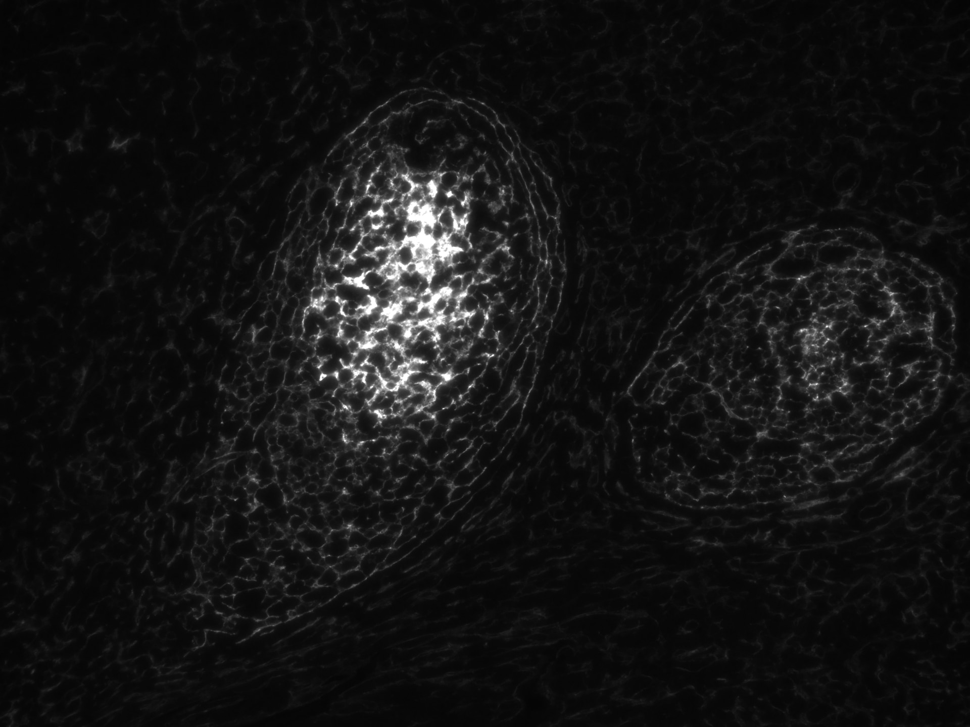
Immunohistochemistry-Paraffin: TMEM119 Antibody (CL8714) [NBP2-76985] - Staining of human lymphoid tissues shows strong membranous positivity in germinal center cells.
Immunohistochemistry-Paraffin: TMEM119 Antibody (CL8714) [NBP2-76985] - TMEM119 on human FFPE tonsil, 1:100 and pH 9 antigen retrieval. Image submitted by a verified customer review.
Immunohistochemistry-Paraffin: TMEM119 Antibody (CL8714) [NBP2-76985] - Staining of human cerebral cortex shows strong membranous positivity in microglia.
Immunohistochemistry-Paraffin: TMEM119 Antibody (CL8714) [NBP2-76985] - Staining of human liver shows no positivity in hepatocytes as expected.

Product Details

Summary
Reactivity HuSpecies Glossary
Applications WB, ICC/IF, IHC
Clone
CL8714
Clonality
Monoclonal
Host
Mouse
Conjugate
Unconjugated
Format
BSA Free
Validated by:
       

Orthogonal Strategies

 

Order Details

TMEM119 Antibody (CL8714) - BSA Free Summary

Description
Novus Biologicals Mouse TMEM119 Antibody (CL8714) - BSA Free (NBP2-76985) is a monoclonal antibody validated for use in IHC, WB and ICC/IF. Anti-TMEM119 Antibody: Cited in 1 publication. All Novus Biologicals antibodies are covered by our 100% guarantee.
Immunogen
This antibody was developed using a recombinant protein derived from Q4V9L6, with the exact immunogen sequence remaining proprietary.
Isotype
IgG1
Clonality
Monoclonal
Host
Mouse
Gene
TMEM119
Purity
Protein A purified
Innovator's Reward
Test in a species/application not listed above to receive a full credit towards a future purchase.

Applications/Dilutions

Dilutions
  • Immunocytochemistry/ Immunofluorescence 2-10 ug/mL
  • Immunohistochemistry 1:5000 - 1:10000
  • Immunohistochemistry-Paraffin 1:5000 - 1:10000
  • Western Blot 1 ug/mL
Application Notes
IHC, HIER pH 6 retrieval is recommended. ICC/IF, Fixation/Permeabilization: PFA/Triton X-100.
Reviewed Applications
Read 1 Review rated 5
using
NBP2-76985 in the following applications:

Publications
Read Publication using
NBP2-76985 in the following applications:

Packaging, Storage & Formulations

Storage
Store at 4C short term. Aliquot and store at -20C long term. Avoid freeze-thaw cycles.
Buffer
PBS (pH 7.2) and 40% Glycerol
Preservative
0.02% Sodium Azide
Purity
Protein A purified

Alternate Names for TMEM119 Antibody (CL8714) - BSA Free

  • OBIF
  • Osteoblast Induction Factor
  • TMEM119

Limitations

This product is for research use only and is not approved for use in humans or in clinical diagnosis. Primary Antibodies are guaranteed for 1 year from date of receipt.

Customers Who Viewed This Item Also Viewed...

MAB7665
Species: Hu
Applications: IHC, WB
355-BM
Species: Hu, Mu, Rt
Applications: BA
MAB7547
Species: Hu
Applications: ICC, WB
NBP1-85533
Species: Hu
Applications: ICC/IF, IHC,  IHC-P, WB
AF2039
Species: Hu
Applications: IHC, Simple Western, WB
NB100-56479
Species: Bv, Ca, Hu, Mu, Po, Pm, Rt
Applications: ICC/IF, IHC,  IHC-P, Simple Western, WB
MAB1419
Species: Hu, Rt
Applications: CyTOF-ready, ICC, IHC, ICFlow
AF637
Species: Hu
Applications: CyTOF-ready, Flow, IHC, WB
NBP2-22203
Species: Hu, Pm, Mu, Rt
Applications: ELISA, Flow, ICC/IF, IHC,  IHC-P, WB
NBP1-86713
Species: Hu
Applications: IHC,  IHC-P
355-BM
Species: Hu, Mu, Rt
Applications: BA
AF808
Species: Mu
Applications: ELISA(Cap), ELISA(Det), ELISA(Sta), ICC, IHC, Neut, WB
H00010263-B01P
Species: Hu, Mu, Rt
Applications: WB
NB200-106
Species: Mu, Rt
Applications: ELISA, ICC/IF, IHC, IHC-Fr,  IHC-P, WB
DCC270
Species: Hu
Applications: ELISA
291-G1
Species: Hu
Applications: BA
NBP1-82454
Species: Hu, Mu
Applications: ICC/IF, IHC,  IHC-P, WB
DPI00
Species: Hu
Applications: ELISA
NBP2-76985
Species: Hu
Applications: WB, ICC/IF, IHC

Publications for TMEM119 Antibody (NBP2-76985)(1)

We have publications tested in 1 confirmed species: Human.

We have publications tested in 1 application: Immunohistochemistry.


Filter By Application
Immunohistochemistry
(1)
All Applications
Filter By Species
Human
(1)
All Species

Review for TMEM119 Antibody (NBP2-76985) (1) 51

Average Rating: 5
(Based on 1 review)
We have 1 review tested in 1 species: Human.

Reviews using NBP2-76985:
Filter by Applications
 IHC-P
(1)
All Applications
Filter by Species
Human
(1)
All Species
Images Ratings Applications Species Date Details
Immunohistochemistry-Paraffin TMEM119 NBP2-76985
Enlarge
5
reviewed by:
Verified Customer
 IHC-P Human 04/12/2019
View

Summary

ApplicationImmunohistochemistry-Paraffin
Sample Testedhuman tonsil
SpeciesHuman
LotI don't have it any more

Comments

CommentspH 9 antigen retrieval

Product General Protocols

Find general support by application which include: protocols, troubleshooting, illustrated assays, videos and webinars.

Video Protocols

WB Video Protocol
ICC/IF Video Protocol

FAQs for TMEM119 Antibody (NBP2-76985) (0)

There are no specific FAQs related to this product. Read our general customer & technical service FAQs.

Secondary Antibodies

 

Isotype Controls

Additional TMEM119 Products

Blogs on TMEM119.

Antibody treatment can generate microglia-like cells from bone marrow
By Jennifer Sokolowski, MD, PhD.Microglia play important roles in the brain in both homeostatic and pathological conditions, acting to clear debris and dying cells. There is evidence to suggest that microglial dys...  Read full blog post.

TMEM 119 is a specific marker of microglia cells
By Jennifer Sokolowski, MD, PhD.Microglia are a major immune-cell component in the brain. They ingest and degrade dead cells, debris, and foreign material and interact with other immune cells to orchestrate centra...  Read full blog post.

Customers Who Bought This Also Bought

Contact Information

Product PDFs

Calculators

Concentration Calculator

The concentration calculator allows you to quickly calculate the volume, mass or concentration of your vial. Simply enter your mass, volume, or concentration values for your reagent and the calculator will determine the rest.

=
÷

Recent Reviews

5
5
1
4
0
3
0
2
0
1
0

Verified Customer
04/12/2019
Application:  IHC-P
Species: Human

Bioinformatics

Gene Symbol TMEM119