Thrombomodulin/BDCA-3 Antibody (THBD/1782) - Azide and BSA Free

Images

 
Immunohistochemistry-Paraffin: Thrombomodulin/BDCA-3 Antibody (THBD/1782) - Azide and BSA Free [NBP2-54496] - Formalin-fixed, paraffin-embedded human Cervical Carcinoma stained with Thrombomodulin/CD141 Monoclonal ...read more
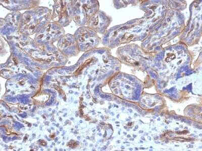
Immunohistochemistry-Paraffin: Thrombomodulin/BDCA-3 Antibody (THBD/1782) - Azide and BSA Free [NBP2-54496] - Formalin-fixed, paraffin-embedded human Placenta stained with Thrombomodulin/CD141 Monoclonal Antibody ...read more
Protein Array: Thrombomodulin/BDCA-3 Antibody (THBD/1782) - Azide and BSA Free [NBP2-54496] - Analysis of Protein Array containing >19,000 full-length human proteins using Thrombomodulin/BDCA-3 Antibody (THBD/1782) Z- ...read more

Product Details

Summary
Reactivity HuSpecies Glossary
Applications ELISA, IHC, MA, CyTOF-ready
Clone
THBD/1782
Clonality
Monoclonal
Host
Mouse
Conjugate
Unconjugated
Format
Azide and BSA Free
Concentration
1 mg/ml

Order Details

Thrombomodulin/BDCA-3 Antibody (THBD/1782) - Azide and BSA Free Summary

Description
1.0 mg/ml of antibody purified from Bioreactor Concentrate by Protein A/G. Prepared in 10mM PBS WITHOUT BSA & azide. Also available at 200 ug/ml WITH BSA & azide (NBP2-53273).

Antibody with azide - store at 2 to 8C. Antibody without azide - store at -20 to -80C.
Immunogen
Recombinant fragment (around aa 69-194) of human Thrombomodulin/BDCA-3 protein (exact sequence is proprietary) (Uniprot: P07204)
Localization
Cell Surface & Cytoplasmic
Marker
Endothelial Cell Marker
Isotype
IgG2a Kappa
Clonality
Monoclonal
Host
Mouse
Gene
THBD
Purity
Protein A or G purified
Innovator's Reward
Test in a species/application not listed above to receive a full credit towards a future purchase.

Applications/Dilutions

Dilutions
  • CyTOF-ready
  • ELISA 2 - 4 ug/ml
  • Immunohistochemistry
  • Immunohistochemistry-Paraffin 1 - 2 ug/ml
  • Protein Array
Application Notes
ELISA: Use Ab at 2-4ug/ml for coating. Order Ab without BSA.
Immunohistochemistry (Formalin-fixed): 1-2ug/ml for 30 minutes at RT. Staining of formalin-fixed tissues is enhanced by heating tissue sections in 10mM Tris buffer with 1mM EDTA, pH 9.0, for 45 min at 95C followed by cooling at RT for 20 minutes.
Optimal dilution for a specific application should be determined.
Theoretical MW
100 kDa.
Disclaimer note: The observed molecular weight of the protein may vary from the listed predicted molecular weight due to post translational modifications, post translation cleavages, relative charges, and other experimental factors.

Packaging, Storage & Formulations

Storage
Store at -20 to -80C. Avoid freeze-thaw cycles.
Buffer
10 mM PBS
Preservative
No Preservative
Concentration
1 mg/ml
Purity
Protein A or G purified

Alternate Names for Thrombomodulin/BDCA-3 Antibody (THBD/1782) - Azide and BSA Free

  • BDCA3
  • BDCA-3
  • CD141 antigen
  • CD141
  • Fetomodulin
  • THBD
  • THRM
  • Thrombomodulin
  • TM

Background

CD141/Thrombomodulin is an exclusively endothelial cell surface glycoprotein that forms a 1:1 complex with thrombin. Binding of thrombin to this high affinity receptor alters its specificity toward several substrates. The complex activates protein C approximately 1000 times faster than thrombin alone. Activated protein C degrades clotting factors V and VIII; thus, thrombomodulin converts thrombin into a physiologic anticoagulant. Thrombomodulin is also found in the circulatory and urinary systems, the physiologic significance of this is obscure.

Limitations

This product is for research use only and is not approved for use in humans or in clinical diagnosis. Primary Antibodies are guaranteed for 1 year from date of receipt.

Customers Who Viewed This Item Also Viewed...

H00005555-P01
Species: Hu
Applications: ELISA, AP, PA, PAGE, WB
NB600-586
Species: Ca, Fe, Hu, Mu
Applications: Dual ISH-IHC, ICC/IF, IHC, IHC-Fr,  IHC-P
NBP1-58268
Species: Hu, Mu
Applications: IHC,  IHC-P, WB
NBP1-19773
Species: Hu, Mu, Rt
Applications: ELISA, ICC/IF, IHC, IHC-Fr,  IHC-P, WB
DTPA00
Species: Hu
Applications: ELISA
AF1267
Species: Hu
Applications: IP, Neut, WB
AF2245
Species: Hu
Applications: CyTOF-ready, Flow, IHC, WB
NB600-930
Species: Hu, Rt
Applications: ELISA, WB
DTFP10
Species: Hu
Applications: ELISA
AF4885
Species: Mu
Applications: IP, WB
AF6036
Species: Hu
Applications: IHC, WB
BBA16
Species: Hu
Applications: ELISA(Cap), ELISA(Det), ELISA(Sta), Flow, ICC, IHC, IP, WB
NB100-91662
Species: Hu, Mu, Rt
Applications: Flow, ICC/IF, IHC,  IHC-P, Simple Western, WB
M6000B
Species: Mu
Applications: ELISA
DY1707
Species: Hu
Applications: ELISA
2914-HT
Species: Hu
Applications: BA

Publications for Thrombomodulin/BDCA-3 Antibody (NBP2-54496) (0)

There are no publications for Thrombomodulin/BDCA-3 Antibody (NBP2-54496).
By submitting your publication information earn gift cards and discounts for future purchases.

Reviews for Thrombomodulin/BDCA-3 Antibody (NBP2-54496) (0)

There are no reviews for Thrombomodulin/BDCA-3 Antibody (NBP2-54496). By submitting a review you will receive an Amazon e-Gift Card or Novus Product Discount.
  • Review with no image -- $10/€7/£6/$10 CAD/¥70 Yuan/¥1110 Yen
  • Review with an image -- $25/€18/£15/$25 CAD/¥150 Yuan/¥2500 Yen

Product General Protocols

Find general support by application which include: protocols, troubleshooting, illustrated assays, videos and webinars.

FAQs for Thrombomodulin/BDCA-3 Antibody (NBP2-54496) (0)

There are no specific FAQs related to this product. Read our general customer & technical service FAQs.

Secondary Antibodies

 

Isotype Controls

Additional Thrombomodulin/BDCA-3 Products

Research Areas for Thrombomodulin/BDCA-3 Antibody (NBP2-54496)

Find related products by research area.

Blogs on Thrombomodulin/BDCA-3.

Thrombomodulin - A multifunctional protein with roles in inflammation and coagulation
Thrombomodulin, also known as BDCA-3, is a glycosylated transmembrane protein present on the surface of vascular endothelial cells. Thrombomodulin is a high-affinity receptor for thrombin, a key protein in the coagulation cascade. Formation of the...  Read full blog post.

Customers Who Bought This Also Bought

Contact Information

Product PDFs

Calculators

Concentration Calculator

The concentration calculator allows you to quickly calculate the volume, mass or concentration of your vial. Simply enter your mass, volume, or concentration values for your reagent and the calculator will determine the rest.

=
÷

Review this Product

Be the first to review our Thrombomodulin/BDCA-3 Antibody (THBD/1782) - Azide and BSA Free and receive a gift card or discount.

Bioinformatics

Gene Symbol THBD