TFF1/pS2 Antibody (TFF1/8755R) - Azide and BSA Free

Images

 
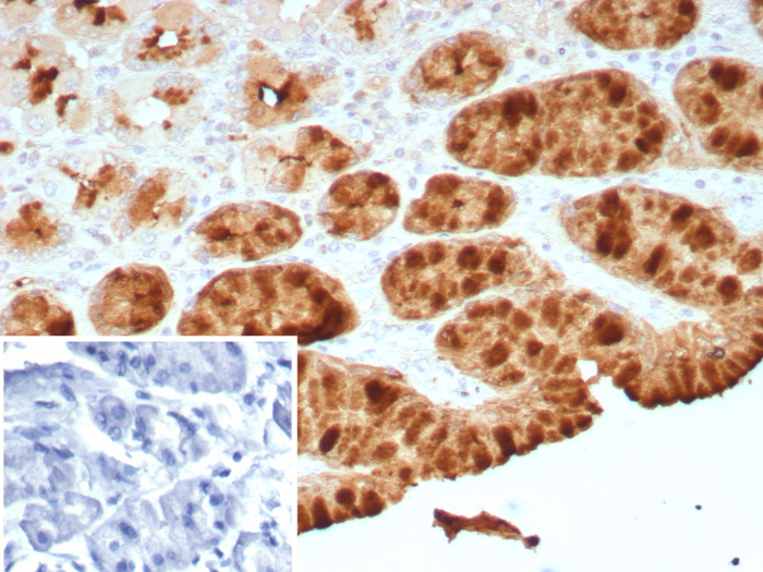
Formalin-fixed, paraffin-embedded human stomach stained with TFF1/pS2 antibody (TFF1/8755R). HIER: Tris/EDTA, pH9.0, 45min. Secondary: HRP-polymer, 30min. DAB, 5min.

Product Details

Summary
Reactivity HuSpecies Glossary
Applications IHC
Clone
TFF1/8755R
Clonality
Monoclonal
Host
Rabbit
Conjugate
Unconjugated
Format
Azide and BSA Free
Concentration
1 mg/ml

Order Details

TFF1/pS2 Antibody (TFF1/8755R) - Azide and BSA Free Summary

Description
Positive Controls: Human breast or ovarian carcinoma.

Antibody with azide - store at 2 to 8C. Antibody without azide - store at -20 to -80C. Non-hazardous. No MSDS required.
Additional Information
Recombinant Monoclonal Antibody
Immunogen
Recombinant fragment (around aa1-84) of human TFF1/pS2 protein (exact sequence is proprietary)
Localization
Cytoplasm.
Isotype
IgG Kappa
Clonality
Monoclonal
Host
Rabbit
Gene
TFF1
Purity
Protein A or G purified
Innovator's Reward
Test in a species/application not listed above to receive a full credit towards a future purchase.

Applications/Dilutions

Dilutions
  • Immunohistochemistry-Paraffin 1-2 ug/ml
Application Notes
Immunohistochemistry (Formalin-fixed): 1-2ug/ml for 30 minutes. at RT. Staining of formalin-fixed tissues requires heating tissue sections in 10mM Tris with 1mM EDTA, pH 9.0, for 45 min at 95C followed by cooling at RT for 20 minutes.

Optimal dilution for a specific application should be determined.

Packaging, Storage & Formulations

Storage
Store at -20 to -70C. Avoid freeze-thaw cycles.
Buffer
10mM PBS
Preservative
No Preservative
Concentration
1 mg/ml
Purity
Protein A or G purified

Alternate Names for TFF1/pS2 Antibody (TFF1/8755R) - Azide and BSA Free

  • BCEI
  • BCEIbreast cancer, estrogen-inducible sequence expressed in
  • Breast cancer estrogen-inducible protein
  • breast cancer estrogen-inducible sequence
  • D21S21
  • gastrointestinal trefoil protein pS2
  • hP1.A
  • HPS2
  • PNR-2
  • Polypeptide P1.A
  • Protein pS2
  • PS2
  • TFF1
  • trefoil factor 1
  • trefoil factor, BCE1, human pS2 induced by estrogen from human breast cancercell line M10HP1.A

Background

Members of the trefoil family are characterized by having at least one copy of the trefoil motif, a 40-amino acid domain that contains three conserved disulfides. They are stable secretory proteins expressed in gastrointestinal mucosa. Their functions are not defined, but they may protect the mucosa from insults, stabilize the mucus layer, and affect healing of the epithelium. This gene, which is expressed in the gastric mucosa, has also been studied because of its expression in human tumors. This gene and two other related trefoil family member genes are found in a cluster on chromosome 21.

Limitations

This product is for research use only and is not approved for use in humans or in clinical diagnosis. Primary Antibodies are guaranteed for 1 year from date of receipt.

Customers Who Viewed This Item Also Viewed...

NB100-74510
Species: Hu, Mu, Pm, Rt
Applications: ELISA, ICC/IF, IHC,  IHC-P, IP, WB
AF5415
Species: Hu
Applications: ICC, IHC, Simple Western, WB
NB100-74513
Species: Hu, Mu, Pm, Rt
Applications: ELISA, ICC/IF, IHC,  IHC-P, IP, WB
NB300-560
Species: Av, Bv, Ma, Hu, Mu, Pm, Rt
Applications: IF, IHC, IHC-Fr,  IHC-P, WB
DTFF30
Species: Hu
Applications: ELISA
NBP2-13075
Species: Ba, Hu, Pm, Mu, Rt
Applications: DB, ELISA, IB, ICC/IF, IHC-FrFl, IHC, IHC-Fr,  IHC-P, IP, WB
MAB4077
Species: Hu
Applications: IHC, WB
AF1029
Species: Mu
Applications: ICC, IHC, IP, WB
NBP2-47602
Species: Hu
Applications: ICC/IF, IHC,  IHC-P
H00005555-P01
Species: Hu
Applications: ELISA, AP, PA, PAGE, WB
AF231
Species: Hu
Applications: CyTOF-ready, Dual ISH-IHC, ELISA(Cap), ELISA(Det), ELISA(Sta), Flow, ICC, IHC, IP, Simple Western, WB
1129-ER
Species: Hu
Applications: BA
NBP1-89522
Species: Hu, Mu, Rt
Applications: ICC/IF, IHC,  IHC-P, WB
236-EG
Species: Hu
Applications: BA
NB200-103
Species: Hu, Mu, Rt, Xp(-), Ye
Applications: CyTOF-ready, ELISA, Flow-IC, Flow, ICC/IF, IHC, IHC-Fr,  IHC-P, IP, WB
NB200-305
Species: Hu, Pm, Mu
Applications: ChIP, DB, Flow, ICC/IF, IHC, IHC-Fr,  IHC-P, IP, Simple Western, WB
MAB2476
Species: Hu
Applications: IHC, WB
NBP3-21030
Species: Hu
Applications: IHC

Publications for TFF1/pS2 Antibody (NBP3-21030) (0)

There are no publications for TFF1/pS2 Antibody (NBP3-21030).
By submitting your publication information earn gift cards and discounts for future purchases.

Reviews for TFF1/pS2 Antibody (NBP3-21030) (0)

There are no reviews for TFF1/pS2 Antibody (NBP3-21030). By submitting a review you will receive an Amazon e-Gift Card or Novus Product Discount.
  • Review with no image -- $10/€7/£6/$10 CAD/¥70 Yuan/¥1110 Yen
  • Review with an image -- $25/€18/£15/$25 CAD/¥150 Yuan/¥2500 Yen

Product General Protocols

Find general support by application which include: protocols, troubleshooting, illustrated assays, videos and webinars.

FAQs for TFF1/pS2 Antibody (NBP3-21030) (0)

There are no specific FAQs related to this product. Read our general customer & technical service FAQs.

Secondary Antibodies

 

Isotype Controls

Additional TFF1/pS2 Products

Research Areas for TFF1/pS2 Antibody (NBP3-21030)

Find related products by research area.

Blogs on TFF1/pS2

There are no specific blogs for TFF1/pS2, but you can read our latest blog posts.

Customers Who Bought This Also Bought

Contact Information

Product PDFs

Calculators

Concentration Calculator

The concentration calculator allows you to quickly calculate the volume, mass or concentration of your vial. Simply enter your mass, volume, or concentration values for your reagent and the calculator will determine the rest.

=
÷

Review this Product

Be the first to review our TFF1/pS2 Antibody (TFF1/8755R) - Azide and BSA Free and receive a gift card or discount.

Bioinformatics

Gene Symbol TFF1