TFF1/pS2 Products

Antibodies
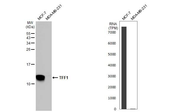
TFF1/pS2 Antibody - BSA Free
TFF1/pS2 Antibody - BSA Free
NBP1-90813
Species: Hu
Applications: WB, IHC
Host: Rabbit Polyclonal
Formulation Catalog # Availability Price  
TFF1/pS2 Antibody - BSA Free
TFF1/pS2 Antibody - BSA Free
NBP2-16376
Species: Hu, Mu
Applications: WB, ICC/IF, IHC
Host: Rabbit Polyclonal
ELISA Kits
Human TFF1 DuoSet ELISA, 15 P ...
Human TFF1 DuoSet ELISA, 15 Plate
DY5237
Species: Hu
Applications: ELISA
Lysates
TFF1/pS2 Overexpression Lysat ...
TFF1/pS2 Overexpression Lysate
NBL1-16839
Species: Hu
Applications: WB
Proteins
Recombinant Human TFF1/pS2 Pr ...
Recombinant Human TFF1/pS2 Protein
NBP2-35042
Species: Hu
Applications: PAGE, Bioactivity
TFF1/pS2 Recombinant Protein ...
TFF1/pS2 Recombinant Protein Antigen
NBP1-90813PEP
Species: Hu
Applications: AC
Recombinant Human TFF1 Protei ...
Recombinant Human TFF1 Protein, CF
8289-TF
Species: Hu
Applications: Bioactivity
Formulation Catalog # Availability Price  

Description

Members of the trefoil family are characterized by having at least one copy of the trefoil motif, a 40-amino acid domain that contains three conserved disulfides. They are stable secretory proteins expressed in gastrointestinal mucosa. Their functions are not defined, but they may protect the mucosa from insults, stabilize the mucus layer, and affect healing of the epithelium. This gene, which is expressed in the gastric mucosa, has also been studied because of its expression in human tumors. This gene and two other related trefoil family member genes are found in a cluster on chromosome 21.

Bioinformatics

Entrez Mouse
Human
Uniprot Human
Human
Human
Human
Human
Mouse
Product By Gene ID 7031
Alternate Names
  • BCEIbreast cancer, estrogen-inducible sequence expressed in
  • Breast cancer estrogen-inducible protein
  • breast cancer estrogen-inducible sequence
  • D21S21
  • gastrointestinal trefoil protein pS2
  • hP1.A
  • HPS2
  • PNR-2
  • pNR-2
  • Polypeptide P1.A
  • Protein pS2
  • PS2
  • pS2
  • trefoil factor 1
  • trefoil factor, BCE1, human pS2 induced by estrogen from human breast cancercell line M10HP1.A

Research Areas for TFF1/pS2

Find related products by research area and learn more about each of the different research areas below.

Breast Cancer
Cancer