TENC1 Antibody - BSA Free

Images

 
Immunohistochemistry-Paraffin: TENC1 Antibody [NBP1-90698] - Staining of human liver shows strong cytoplasmic positivity in hepatocytes.
Immunohistochemistry: TENC1 Antibody [NBP1-90698] - Staining of human liver shows moderate cytoplasmic positivity in hepatocytes.
Immunohistochemistry-Paraffin: TENC1 Antibody [NBP1-90698] - Staining of human kidney shows strong membranous positivity in cells in glomeruli.
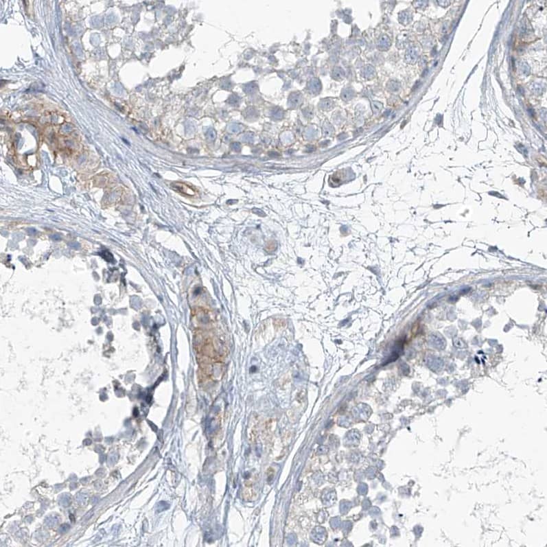
Staining of human testis shows moderate membranous positivity in Leydig cells.
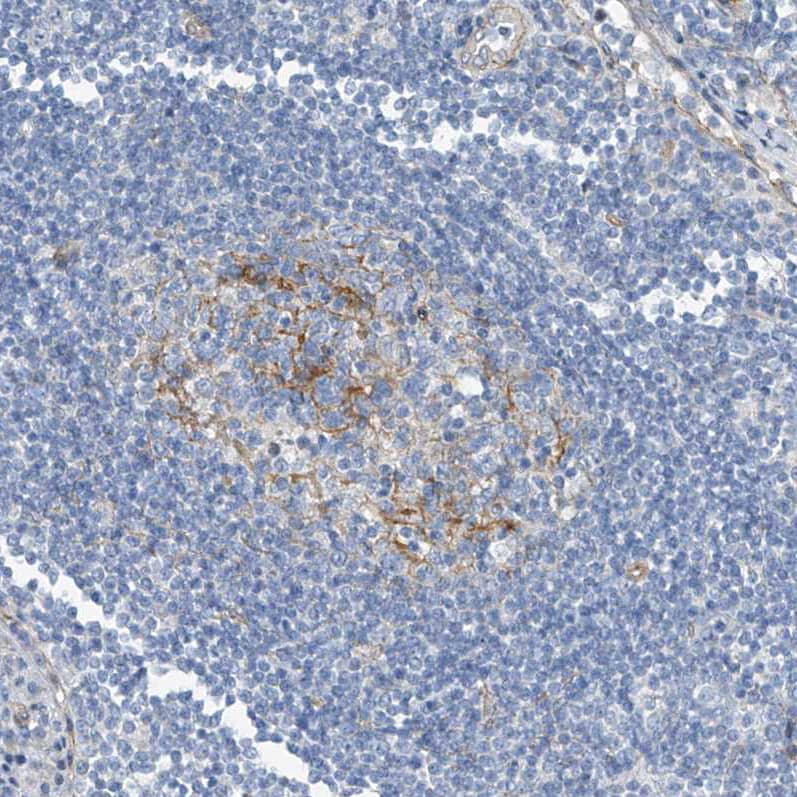
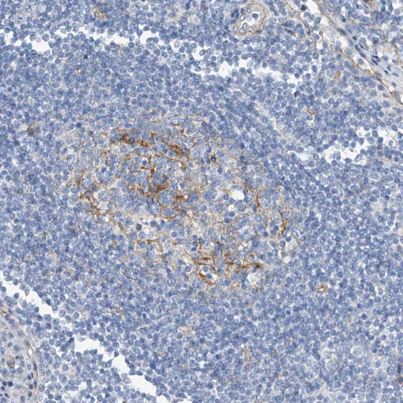
Staining of human lymph node shows moderate membranous positivity in germinal center cells.

Product Details

Summary
Reactivity HuSpecies Glossary
Applications IHC
Clonality
Polyclonal
Host
Rabbit
Conjugate
Unconjugated
Format
BSA Free

Order Details

View Available Formulations
Catalog# & Formulation Size Price

TENC1 Antibody - BSA Free Summary

Description
Novus Biologicals Rabbit TENC1 Antibody - BSA Free (NBP1-90698) is a polyclonal antibody validated for use in IHC. Anti-TENC1 Antibody: Cited in 1 publication. All Novus Biologicals antibodies are covered by our 100% guarantee.
Immunogen
This antibody was developed against Recombinant Protein corresponding to amino acids: VPSQMPWLVASPEPPQSSPTPAFPLAASYDTNGLSQPPLPEKRHLPGPGQQPGPWGPEQASSPARGISHHVTFAPLLSDNVPQTPEPPTQESQSN
Isotype
IgG
Clonality
Polyclonal
Host
Rabbit
Gene
TENC1
Purity
Affinity purified
Innovator's Reward
Test in a species/application not listed above to receive a full credit towards a future purchase.

Applications/Dilutions

Dilutions
  • Immunohistochemistry 1:200 - 1:500
  • Immunohistochemistry-Paraffin 1:200 - 1:500
Application Notes
For IHC-Paraffin, HIER pH 6 retrieval is recommended.
Control Peptide
TENC1 Protein (NBP1-90698PEP)
Publications
Read Publication using
NBP1-90698 in the following applications:

Reactivity Notes

Human reactivity reported in scientific literature (PMID: 22786655).

Packaging, Storage & Formulations

Storage
Store at 4C short term. Aliquot and store at -20C long term. Avoid freeze-thaw cycles.
Buffer
PBS (pH 7.2) and 40% Glycerol
Preservative
0.02% Sodium Azide
Purity
Affinity purified

Alternate Names for TENC1 Antibody - BSA Free

  • FLJ16320
  • tensin like C1 domain containing phosphatase (tensin 2)
  • tensin-2

Limitations

This product is for research use only and is not approved for use in humans or in clinical diagnosis. Primary Antibodies are guaranteed for 1 year from date of receipt.

Customers Who Viewed This Item Also Viewed...

NB300-917
Species: Hu, Mu
Applications: ICC/IF, IHC,  IHC-P
NBP2-67796
Species: Hu, Mu, Rt
Applications: ICC/IF, IHC,  IHC-P, IP, WB
AF887
Species: Hu, Mu, Rt
Applications: CyTOF-ready, IHC, ICFlow, Simple Western, WB
AF854
Species: Mu
Applications: IHC, WB
NBP2-36776
Species: Hu
Applications: ICC/IF, IHC,  IHC-P, KD, WB
885-GSB
Species: Hu
Applications: BA
NBP1-88527
Species: Hu, Mu, Rt
Applications: IHC,  IHC-P, WB
NBP1-85724
Species: Hu, Mu, Rt
Applications: ICC/IF, IHC,  IHC-P, WB
AF2685
Species: Hu
Applications: IHC, Simple Western, WB
NBP2-93935
Species: Hu, Mu, Rt
Applications: ICC/IF, WB
H00005725-M01
Species: Hu
Applications: ELISA, ICC/IF, IHC,  IHC-P, IP, Single-Cell Western, WB
NBP1-91258
Species: Bv, Ca, Eq, Fe, Hu, Mu, Po, Rt
Applications: ICC/IF, IHC, IHC-Fr,  IHC-P, Simple Western, WB
AF2396
Species: Hu
Applications: IHC, Simple Western, WB
NBP3-16756
Species: Hu, Mu, Rt
Applications: ICC/IF, IHC,  IHC-P, WB
NBP1-84129
Species: Hu, Mu, Rt
Applications: ICC/IF, IHC,  IHC-P, WB
AF1126
Species: Mu
Applications: ELISA(Cap), ELISA(Det), ELISA(Sta), IHC, IP, WB
MAB6210
Species: Hu
Applications: Simple Western, WB
NBP1-90698
Species: Hu
Applications: IHC

Publications for TENC1 Antibody (NBP1-90698)(1)

We have publications tested in 1 confirmed species: Human.

We have publications tested in 1 application: IF/IHC.


Filter By Application
IF/IHC
(1)
All Applications
Filter By Species
Human
(1)
All Species

Reviews for TENC1 Antibody (NBP1-90698) (0)

There are no reviews for TENC1 Antibody (NBP1-90698). By submitting a review you will receive an Amazon e-Gift Card or Novus Product Discount.
  • Review with no image -- $10/€7/£6/$10 CAD/¥70 Yuan/¥1110 Yen
  • Review with an image -- $25/€18/£15/$25 CAD/¥150 Yuan/¥2500 Yen

Product General Protocols

Find general support by application which include: protocols, troubleshooting, illustrated assays, videos and webinars.

FAQs for TENC1 Antibody (NBP1-90698) (0)

There are no specific FAQs related to this product. Read our general customer & technical service FAQs.

Customers Who Bought This Also Bought

Contact Information

Product PDFs

Calculators

Concentration Calculator

The concentration calculator allows you to quickly calculate the volume, mass or concentration of your vial. Simply enter your mass, volume, or concentration values for your reagent and the calculator will determine the rest.

=
÷

Review this Product

Be the first to review our TENC1 Antibody - BSA Free and receive a gift card or discount.

Bioinformatics

Gene Symbol TENC1