TCF7L2 Antibody (CL11547) - Azide and BSA Free

Images

 
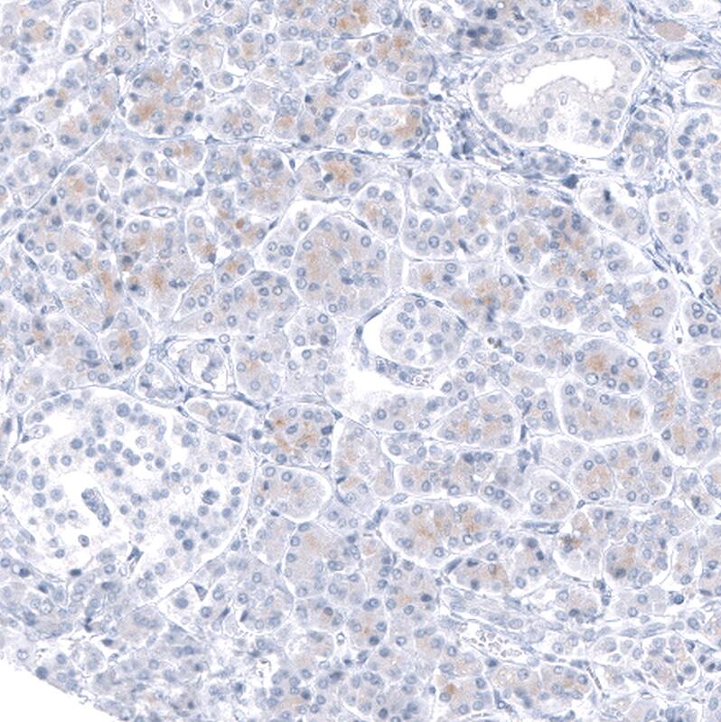
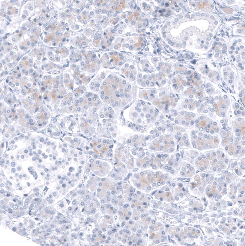
Staining of human pancreas shows no nuclear positivity in exocrine glandular cells and islets of Langhorne's.
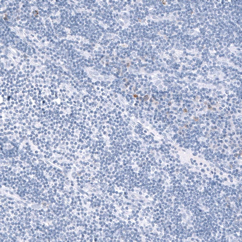
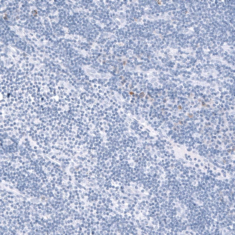
Staining of human lymph node shows very weak nuclear positivity in non-germinal center cells.
Staining of human rectum shows moderate nuclear positivity in glandular cells.
Staining of mouse thalamus shows strong nuclear positivity in neuronal cells.
Analysis in human cell line CAPAN-2.

Product Details

Summary
Reactivity Hu, MuSpecies Glossary
Applications WB, IHC
Clone
CL11547
Clonality
Monoclonal
Host
Mouse
Conjugate
Unconjugated
Format
Azide and BSA Free
Concentration
LYOPH

Order Details

TCF7L2 Antibody (CL11547) - Azide and BSA Free Summary

Description
Novus Biologicals Mouse TCF7L2 Antibody (CL11547) - Azide and BSA Free (NBP3-21197) is a monoclonal antibody validated for use in IHC and WB. All Novus Biologicals antibodies are covered by our 100% guarantee.
Immunogen
This antibody was generated using a synthetic peptide of Q9NQB0, with the exact immunogen sequence remaining proprietary.
Isotype
IgG1
Clonality
Monoclonal
Host
Mouse
Gene
TCF7L2
Purity
Protein A purified
Innovator's Reward
Test in a species/application not listed above to receive a full credit towards a future purchase.

Applications/Dilutions

Dilutions
  • Immunohistochemistry-Paraffin 1:200- 1:500
  • Western Blot 1 ug/ml
Application Notes
For IHC-Paraffin, HIER pH 6 retrieval is recommended.

Packaging, Storage & Formulations

Storage
Store at 4C short term. Aliquot and store at -20C long term. Avoid freeze-thaw cycles.
Buffer
Lyophilized from a 0.2 um filtered solution in PBS with Trehalose
Preservative
No Preservative
Concentration
LYOPH
Purity
Protein A purified
Reconstitution Instructions
Centrifuge the vial of lyophilized antibody at 12,000 x g for 20 seconds. Reconstitute by adding sterile, distilled water to achieve a final antibody concentration of 1mg/ml.

Alternate Names for TCF7L2 Antibody (CL11547) - Azide and BSA Free

  • HMG box transcription factor 4
  • hTCF-4
  • T-cell factor 4
  • T-cell factor-4 variant A
  • T-cell factor-4 variant B
  • T-cell factor-4 variant C
  • T-cell factor-4 variant D
  • T-cell factor-4 variant E
  • T-cell factor-4 variant H
  • T-cell factor-4 variant I
  • T-cell factor-4 variant J
  • T-cell factor-4 variant K
  • T-cell factor-4 variant L
  • T-cell factor-4 variant M
  • T-cell factor-4 variant X2
  • T-cell-specific transcription factor 4
  • TCF-4T-cell factor-4 variant F
  • TCF4T-cell factor-4 variant G
  • transcription factor 7-like 2 (T-cell specific, HMG-box)
  • transcription factor 7-like 2

Background

TCF7L2, or TCF4, is a high mobility group (HMG) box-containing transcription factor that plays a key role in the Wnt signaling pathway. TCF7L2 has been implicated in glucose homeostasis through the regulation of pro-glucagon gene expression, which encodes glucagon-like peptide 1 (GLP-1). Genetic variants of TCF7L2 have been linked to type 2 diabetes, and it has specifically been shown to have an important role in the regulation of both 946;-cell survival and function (4). Several splicing isoforms for TCF7L2 have been shown to be differentially expressed in tissues during cancer progression (3), and gene targeting studies indicate that TCF7L2 is required to maintain the crypt stem cells of the small intestine (1, 2).

Limitations

This product is for research use only and is not approved for use in humans or in clinical diagnosis. Primary Antibodies are guaranteed for 1 year from date of receipt.

Customers Who Viewed This Item Also Viewed...

AF1329
Species: Hu, Mu, Rt
Applications: ChIP, CyTOF-ready, ICC, IHC, ICFlow, Simple Western, WB
NBP1-89679
Species: Hu, Mu, Rt
Applications: ChIP-EXO-SEQ, ICC/IF, IHC, IHC-Fr,  IHC-P, WB
AF1329
Species: Hu, Mu, Rt
Applications: ChIP, CyTOF-ready, ICC, IHC, ICFlow, Simple Western, WB
MAB1417
Species: Bv, Hu, Mu
Applications: ICC, IHC
NB100-91662
Species: Hu, Mu, Rt
Applications: Flow, ICC/IF, IHC,  IHC-P, Simple Western, WB
NBP1-86960
Species: Hu
Applications: ChIP-EXO-SEQ, ICC/IF, IHC,  IHC-P, WB
NB600-302
Species: Bv, Dr, Hu, Mu
Applications: ChIP, ELISA, Flow-IC, Flow, IB, ICC/IF, IHC, IHC-Fr,  IHC-P, IP, PLA, S-ELISA, Simple Western, WB
AF6116
Species: Hu
Applications: ICC, WB
NBP2-32840
Species: Hu, Pm, Mu, Rt
Applications: Flow, ICC/IF, IHC,  IHC-P, WB
AF4885
Species: Mu
Applications: IP, WB
NBP2-22106
Species: Hu, Mu, Rt
Applications: IHC,  IHC-P, IP, WB
AF3287
Species: Hu, Mu, Rt
Applications: WB
NBP2-76944
Species: Hu, Mu, Rt
Applications: ICC/IF, IHC,  IHC-P, WB
AF748
Species: Hu, Mu
Applications: CyTOF-ready, Dual ISH-IHC, Flow, ICC, IHC, Simple Western, WB
MAB7650
Species: Mu
Applications: IHC, WB
MAB8224
Species: Mu
Applications: CyTOF-ready, ICFlow, WB
MAB7936
Species: Hu
Applications: CyTOF-ready, IHC, ICFlow
NBP1-47470
Species: Hu, Mu, Pm, Rt
Applications: ELISA, Flow, ICC/IF, IHC,  IHC-P, Simple Western, WB

Publications for TCF7L2 Antibody (NBP3-44344) (0)

There are no publications for TCF7L2 Antibody (NBP3-44344).
By submitting your publication information earn gift cards and discounts for future purchases.

Reviews for TCF7L2 Antibody (NBP3-44344) (0)

There are no reviews for TCF7L2 Antibody (NBP3-44344). By submitting a review you will receive an Amazon e-Gift Card or Novus Product Discount.
  • Review with no image -- $10/€7/£6/$10 CAD/¥70 Yuan/¥1110 Yen
  • Review with an image -- $25/€18/£15/$25 CAD/¥150 Yuan/¥2500 Yen

Product General Protocols

Find general support by application which include: protocols, troubleshooting, illustrated assays, videos and webinars.

Video Protocols

WB Video Protocol

FAQs for TCF7L2 Antibody (NBP3-44344) (0)

There are no specific FAQs related to this product. Read our general customer & technical service FAQs.

Secondary Antibodies

 

Isotype Controls

Additional TCF7L2 Products

Research Areas for TCF7L2 Antibody (NBP3-44344)

Find related products by research area.

Blogs on TCF7L2

There are no specific blogs for TCF7L2, but you can read our latest blog posts.

Customers Who Bought This Also Bought

Contact Information

Product PDFs

Calculators

Concentration Calculator

The concentration calculator allows you to quickly calculate the volume, mass or concentration of your vial. Simply enter your mass, volume, or concentration values for your reagent and the calculator will determine the rest.

=
÷

Review this Product

Be the first to review our TCF7L2 Antibody (CL11547) - Azide and BSA Free and receive a gift card or discount.

Bioinformatics

Gene Symbol TCF7L2