TAZ/WWTR1 Antibody (CL0371) - Azide and BSA Free

Images

 
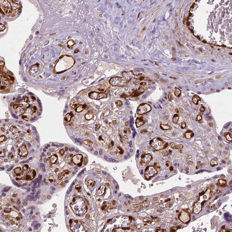
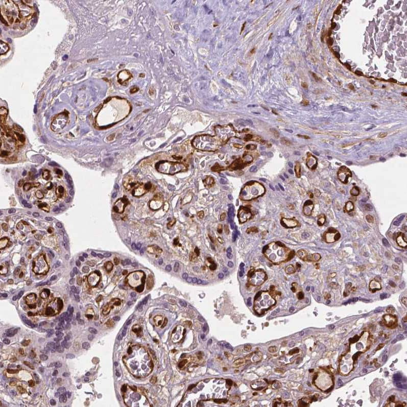
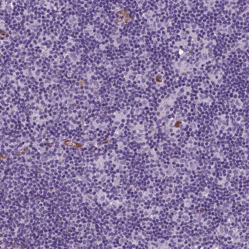
Orthogonal Strategies: Analysis in human placenta and lymph node tissues using NBP3-43993 antibody. Corresponding TAZ/WWTR1 RNA-seq data are presented for the same tissues.
Lane 1: Marker [kDa]Lane 2: Human cell line U-251 MG
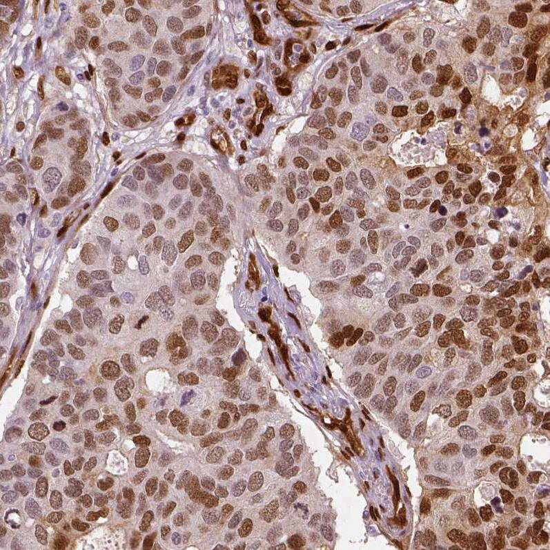
Staining of human breast cancer shows moderate to strong nuclear positivity in tumor cells.
Staining in SKMEL cell line with Anti-TAZ/WWTR1 monoclonal antibody) .
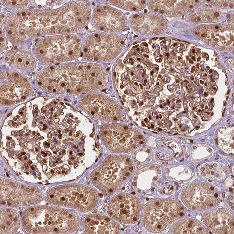
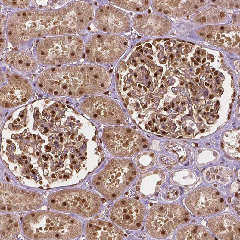
Staining of human kidney shows strong nuclear and moderate cytoplasmic positivity in cells in tubules and in glomeruli.
Staining of human lymph node shows no nuclear positivity in lymphoid cells as expected.
Staining of human placenta shows strong nuclear and some cytoplasmic positivity in endothelial cells.
Genetic Strategies: Analysis in EFO-21 cells transfected with control siRNA, target specific siRNA probe #1 and #2, using Anti-TAZ/WWTR1 antibody. Remaining relative intensity is presented. Loading control: ...read more

Product Details

Summary
Reactivity HuSpecies Glossary
Applications WB, ICC/IF, IHC
Clone
CL0371
Clonality
Monoclonal
Host
Mouse
Conjugate
Unconjugated
Format
Azide and BSA Free
Concentration
LYOPH

Order Details

TAZ/WWTR1 Antibody (CL0371) - Azide and BSA Free Summary

Description
Novus Biologicals Mouse TAZ/WWTR1 Antibody (CL0371) - Azide and BSA Free (NBP2-52926) is a monoclonal antibody validated for use in IHC, WB and ICC/IF. All Novus Biologicals antibodies are covered by our 100% guarantee.
Immunogen
This antibody was generated using a recombinant protein sequence of Q9GZV5, with the exact immunogen sequence remaining proprietary.
Isotype
IgG1
Clonality
Monoclonal
Host
Mouse
Gene
WWTR1
Purity
Protein A purified
Innovator's Reward
Test in a species/application not listed above to receive a full credit towards a future purchase.

Applications/Dilutions

Dilutions
  • Immunocytochemistry/ Immunofluorescence 2-10 ug/ml
  • Immunohistochemistry-Paraffin 1:50 - 1:200
  • Western Blot 1 ug/ml
Application Notes
For IHC-Paraffin, HIER pH 6 retrieval is recommended. Immunocytochemistry/ Immunofluorescence/IF Fixation Permeabilization: Use PFA/Triton X-100.

Packaging, Storage & Formulations

Storage
Store at 4C short term. Aliquot and store at -20C long term. Avoid freeze-thaw cycles.
Buffer
Lyophilized from a 0.2 um filtered solution in PBS with Trehalose
Preservative
No Preservative
Concentration
LYOPH
Purity
Protein A purified
Reconstitution Instructions
Centrifuge the vial of lyophilized antibody at 12,000 x g for 20 seconds. Reconstitute by adding sterile, distilled water to achieve a final antibody concentration of 1mg/ml.

Alternate Names for TAZ/WWTR1 Antibody (CL0371) - Azide and BSA Free

  • FLJ27004
  • FLJ45718
  • TAZ
  • TAZDKFZp586I1419
  • transcriptional co-activator with PDZ-binding motif
  • Transcriptional coactivator with PDZ-binding motif
  • WW domain containing transcription regulator 1
  • WW domain-containing transcription regulator protein 1
  • WWTR1

Background

TAZ is a YAP-related protein that contains a WW domain and transcriptional activation region. TAZ plays a role in mesenchymal stem cell differentiation. The antibody was designed in such a way that should generate a TAZ specific-reagent able to differentiate between YAP and TAZ proteins in cells and tissues.

Limitations

This product is for research use only and is not approved for use in humans or in clinical diagnosis. Primary Antibodies are guaranteed for 1 year from date of receipt.

Customers Who Viewed This Item Also Viewed...

NB110-58358
Species: Ca, Hu, Mu, Rt, Ze
Applications: ChIP, IB, ICC/IF, IHC, IHC-Fr,  IHC-P, IP, KD, KO, Simple Western, WB
NBP1-81763
Species: Hu
Applications: IHC,  IHC-P, WB
NBP2-22106
Species: Hu, Mu, Rt
Applications: IHC,  IHC-P, IP, WB
NBP2-44501
Species: Hu, Mu, Rt
Applications: Flow, ICC/IF, IF, IHC,  IHC-P
NB300-560
Species: Av, Bv, Ma, Hu, Mu, Pm, Rt
Applications: IF, IHC, IHC-Fr,  IHC-P, WB
NB200-197
Species: Hu, Mu
Applications: IP, WB
MAB1419
Species: Hu, Rt
Applications: CyTOF-ready, ICC, IHC, ICFlow
MAB7940
Species: Hu
Applications: IHC, WB
NBP2-27202
Species: Ca, Ch, ChHa, Fe, Hu, Mu, Ma-Op, Po, Pm, Rt
Applications: ICC/IF, Simple Western, WB
NBP2-46515
Species: Hu, Mu, Rt
Applications: ICC/IF, WB
H00009242-M01
Species: Hu
Applications: ELISA, WB
NBP1-87201
Species: Hu
Applications: IHC,  IHC-P, WB
H00011155-M06
Species: Hu, Mu, Rt
Applications: ELISA, ICC/IF, IP, KD, WB
NBP1-89133
Species: Hu
Applications: ICC/IF, IHC,  IHC-P, WB
233-FB
Species: Hu
Applications: BA
255-SC
Species: Hu
Applications: BA

Publications for TAZ/WWTR1 Antibody (NBP3-43993) (0)

There are no publications for TAZ/WWTR1 Antibody (NBP3-43993).
By submitting your publication information earn gift cards and discounts for future purchases.

Reviews for TAZ/WWTR1 Antibody (NBP3-43993) (0)

There are no reviews for TAZ/WWTR1 Antibody (NBP3-43993). By submitting a review you will receive an Amazon e-Gift Card or Novus Product Discount.
  • Review with no image -- $10/€7/£6/$10 CAD/¥70 Yuan/¥1110 Yen
  • Review with an image -- $25/€18/£15/$25 CAD/¥150 Yuan/¥2500 Yen

Product General Protocols

Find general support by application which include: protocols, troubleshooting, illustrated assays, videos and webinars.

Video Protocols

WB Video Protocol
ICC/IF Video Protocol

FAQs for TAZ/WWTR1 Antibody (NBP3-43993). (Showing 1 - 1 of 1 FAQ).

  1. I want to know which TAZ primary antibody is best produced for WB (human and mouse)!
    • I would recommend this TAZ antibody: NB110-58359. This is also comes in a sample size.

Customers Who Bought This Also Bought

Contact Information

Product PDFs

Calculators

Concentration Calculator

The concentration calculator allows you to quickly calculate the volume, mass or concentration of your vial. Simply enter your mass, volume, or concentration values for your reagent and the calculator will determine the rest.

=
÷

Review this Product

Be the first to review our TAZ/WWTR1 Antibody (CL0371) - Azide and BSA Free and receive a gift card or discount.

Bioinformatics

Gene Symbol WWTR1