SUR1 Antibody - BSA Free

Images

 
Immunocytochemistry/ Immunofluorescence: SUR1 Antibody [NBP2-34077] - Staining of human cell line U-2 OS shows localization to nucleoli, cytosol & the Golgi apparatus. Antibody staining is shown in green.
Immunohistochemistry-Paraffin: SUR1 Antibody [NBP2-34077] - Staining of human cerebellum shows strong cytoplasmic positivity in purkinje cells.
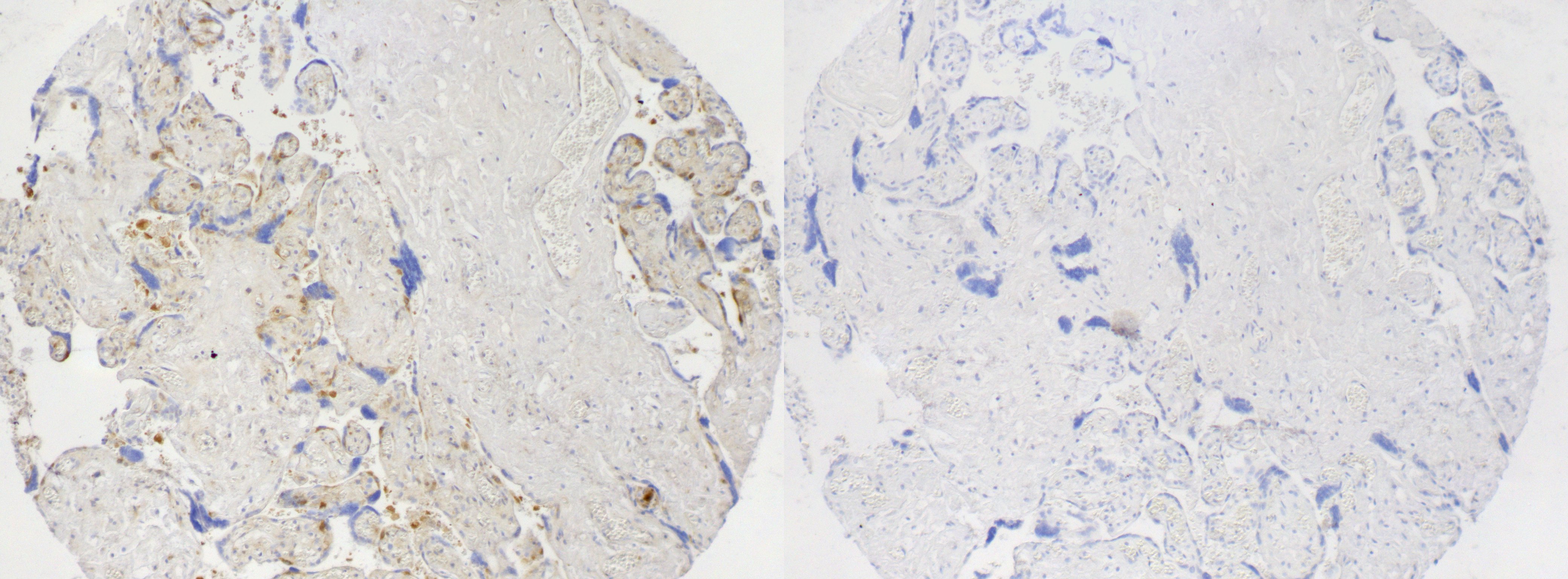
Immunohistochemistry: SUR1 Antibody [NBP2-34077] - IHC using NBP2-34077 at a dilution of 1:50 on FFPE human placenta. Primary antibody was incubated overnight at 4 C, then secondary HRP conjugate applied for 1 hour RT ...read more
Immunohistochemistry-Paraffin: SUR1 Antibody [NBP2-34077] - Staining of human pancreas shows weak cytoplasmic positivity in islets of Langerhans.
Immunohistochemistry-Paraffin: SUR1 Antibody [NBP2-34077] - Staining of human cerebral cortex shows moderate cytoplasmic positivity in neurons.
Immunohistochemistry-Paraffin: SUR1 Antibody [NBP2-34077] - Staining of human liver shows no positivity in hepatocytes as expected.

Product Details

Summary
Reactivity Hu, Mu, RtSpecies Glossary
Applications ICC/IF, IHC, Mycoplasma
Clonality
Polyclonal
Host
Rabbit
Conjugate
Unconjugated
Format
BSA Free

Order Details

View Available Formulations
Catalog# & Formulation Size Price

SUR1 Antibody - BSA Free Summary

Description
Novus Biologicals Rabbit SUR1 Antibody - BSA Free (NBP2-34077) is a polyclonal antibody validated for use in IHC and ICC/IF. Anti-SUR1 Antibody: Cited in 1 publication. All Novus Biologicals antibodies are covered by our 100% guarantee.
Immunogen
This antibody was developed against a recombinant protein corresponding to amino acids: DHLGKENDVFQPKTQFLGVYFVSSQ
Predicted Species
Rat (96%). Backed by our 100% Guarantee.
Isotype
IgG
Clonality
Polyclonal
Host
Rabbit
Gene
ABCC8
Purity
Affinity purified
Innovator's Reward
Test in a species/application not listed above to receive a full credit towards a future purchase.

Applications/Dilutions

Dilutions
  • Immunocytochemistry/ Immunofluorescence 0.25-2 ug/ml
  • Immunohistochemistry 1:50 - 1:200
  • Immunohistochemistry-Paraffin 1:50 - 1:200
  • Knockdown Validated
Application Notes
For IHC-Paraffin, HIER pH 6 retrieval is recommended. ICC/IF Fixation Permeabilization: Use PFA/Triton X-100. Use in Knockdown Validated reported in scientific literature (PMID: 31067750). SUR1 antibody validated for IHC from a verified customer review.
Control Peptide
SUR1 Recombinant Protein Antigen (NBP2-34077PEP)
Reviewed Applications
Read 1 Review rated 4
using
NBP2-34077 in the following applications:

Publications
Read Publication using
NBP2-34077 in the following applications:

Reactivity Notes

Mouse reactivity reported in scientific literature (PMID: 31067750).

Packaging, Storage & Formulations

Storage
Store at 4C short term. Aliquot and store at -20C long term. Avoid freeze-thaw cycles.
Buffer
PBS (pH 7.2) and 40% Glycerol
Preservative
0.02% Sodium Azide
Purity
Affinity purified

Alternate Names for SUR1 Antibody - BSA Free

  • ABC36
  • ABCC8
  • ATP-binding cassette, sub-family C (CFTR/MRP), member 8
  • HHF1Sulfonylurea receptor 1
  • HI
  • HRINS
  • PHHIHRINS
  • sulfonylurea receptor (hyperinsulinemia)
  • SUR
  • SUR1
  • SUR1MRP8
  • SURATP-binding cassette transporter sub-family C member 8
  • TNDM2ATP-binding cassette sub-family C member 8

Background

SUR1 is encoded by this gene is a member of the superfamily of ATP-binding cassette (ABC) transporters. ABC proteins transport various molecules across extra- and intra-cellular membranes. ABC genes are divided into seven distinct subfamilies (ABC1, MDR/TAP, MRP, ALD, OABP, GCN20, White). This protein is a member of the MRP subfamily which is involved in multi-drug resistance. This protein functions as a modulator of ATP-sensitive potassium channels and insulin release. Mutations and deficiencies in this protein have been observed in patients with hyperinsulinemic hypoglycemia of infancy, an autosomal recessive disorder of unregulated and high insulin secretion. Mutations have also been associated with non-insulin-dependent diabetes mellitus type II, an autosomal dominant disease of defective insulin secretion. Alternative splicing of this gene has been observed; however, the transcript variants have not been fully described.

Limitations

This product is for research use only and is not approved for use in humans or in clinical diagnosis. Primary Antibodies are guaranteed for 1 year from date of receipt.

Customers Who Viewed This Item Also Viewed...

NBP2-76944
Species: Hu, Mu, Rt
Applications: ICC/IF, IHC,  IHC-P, WB
MAB1417
Species: Bv, Hu, Mu
Applications: ICC, IHC
NBP1-76963
Species: Hu, Mu, Rt
Applications: ELISA, ICC/IF, IHC,  IHC-P, Simple Western, WB
NB100-207
Species: Ce, Hu, Mu
Applications: IHC,  IHC-P, IP, WB
AF2065
Species: Mu
Applications: ICC, IHC, Simple Western, WB
NB500-526
Species: Hu
Applications: ELISA, IHC,  IHC-P, WB
NBP3-03965
Species: Hu, Mu, Rt
Applications: ICC/IF, WB
NBP2-22403
Species: Hu, Mu, Rt
Applications: ICC/IF, IHC, WB
NBP2-59324
Species: Ma, Hu, Mu, Rt
Applications: ICC/IF, IHC, WB
AF3059
Species: Mu
Applications: ICC, Simple Western, WB
NB200-337
Species: Hu, Mu
Applications: ChIP, IP, WB (-)
AF3844
Species: Hu, Mu
Applications: IHC
NBP1-47778
Species: Hu, Mu, Rt
Applications: ICC/IF, IHC,  IHC-P, WB
NB400-156
Species: Hu, Mu, Rt
Applications: CyTOF-ready, Dual ISH-IHC, ELISA, Flow, ICC/IF, IHC, IP, Simple Western, WB

Publications for SUR1 Antibody (NBP2-34077)(1)

We have publications tested in 1 confirmed species: Mouse.

We have publications tested in 2 applications: ICC/IF, KD.


Filter By Application
ICC/IF
(1)
KD
(1)
All Applications
Filter By Species
Mouse
(1)
All Species

Review for SUR1 Antibody (NBP2-34077) (1) 41

Average Rating: 4
(Based on 1 review)
We have 1 review tested in 1 species: Human.

Reviews using NBP2-34077:
Filter by Applications
IHC
(1)
All Applications
Filter by Species
Human
(1)
All Species
Images Ratings Applications Species Date Details
Immunohistochemistry SUR1 NBP2-34077
Enlarge
4
reviewed by:
Peter Caradonna
IHC Human 04/03/2017
View

Summary

ApplicationImmunohistochemistry
Sample TestedPlacental tissue
SpeciesHuman

Comments

CommentsIHC using NBP2-34077 at a dilution of 1:50 on FFPE human placenta. Primary antibody was incubated overnight at 4 C, then secondary HRP conjugate applied for 1 hour RT and visualized with DAB. HIER performed with citrate buffer pH 6.0 at 95 C for 15 minutes. Antibody incubation with 10x immunogenic peptide shows no staining.

Product General Protocols

Find general support by application which include: protocols, troubleshooting, illustrated assays, videos and webinars.

Video Protocols

ICC/IF Video Protocol

FAQs for SUR1 Antibody (NBP2-34077) (0)

There are no specific FAQs related to this product. Read our general customer & technical service FAQs.

Secondary Antibodies

 

Isotype Controls

Additional SUR1 Products

Research Areas for SUR1 Antibody (NBP2-34077)

Find related products by research area.

Blogs on SUR1

There are no specific blogs for SUR1, but you can read our latest blog posts.

Customers Who Bought This Also Bought

Contact Information

Product PDFs

Calculators

Concentration Calculator

The concentration calculator allows you to quickly calculate the volume, mass or concentration of your vial. Simply enter your mass, volume, or concentration values for your reagent and the calculator will determine the rest.

=
÷

Recent Reviews

4
5
0
4
1
3
0
2
0
1
0

Peter Caradonna
04/03/2017
Application: IHC
Species: Human

Bioinformatics

Gene Symbol ABCC8
Uniprot