SRC1 Antibody (JB66-31)

Images

 
Western Blot: SRC1 Antibody (JB66-31) [NBP2-75672] - Analysis of SRC1 on K562 cell lysate using anti- SRC1 antibody at 1:2000 dilution.
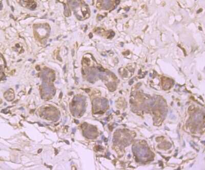
Immunohistochemistry-Paraffin: SRC1 Antibody (JB66-31) [NBP2-75672] - PFA fixed, paraffin-embedded human prostate cancer tissue sections. Heat-mediated antigen retreival was performed for 30 minutes in citrate buffer. ...read more
Immunohistochemistry-Paraffin: SRC1 Antibody (JB66-31) [NBP2-75672] - Analysis of paraffin-embedded human lung cancer tissue using anti-SRC1 antibody. Counter stained with hematoxylin.
Immunohistochemistry-Paraffin: SRC1 Antibody (JB66-31) [NBP2-75672] - Analysis of paraffin-embedded human thyroid gland tissue using anti-SRC1 antibody. Counter stained with hematoxylin.
Immunohistochemistry-Paraffin: SRC1 Antibody (JB66-31) [NBP2-75672] - Analysis of paraffin-embedded human breast tissue using anti- SRC1 antibody. Counter stained with hematoxylin.

Product Details

Summary
Product Discontinued
View other related SRC1 Primary Antibodies

Order Details


    • Catalog Number
      NBP2-75672
    • Availability
      Product Discontinued

    Can't find what you are looking for? Use our Antibody Concierge Service & we will help you locate your antibody!

    Or feel free to contact us for alternative products.

SRC1 Antibody (JB66-31) Summary

Additional Information
Recombinant Monoclonal Antibody.
Immunogen
Recombinant protein within Human SRC1 aa 380-770 / 1,441. (SwissProt: Q15788 Human)
Localization
Nucleus.
Isotype
IgG
Clonality
Monoclonal
Host
Rabbit
Gene
NCOA1
Purity
Protein A purified
Innovator's Reward
Test in a species/application not listed above to receive a full credit towards a future purchase.

Applications/Dilutions

Dilutions
  • Immunohistochemistry
  • Immunohistochemistry-Paraffin 1:50-1:100
  • Immunoprecipitation
  • Western Blot 1:500-1:2000
Theoretical MW
157 kDa.
Disclaimer note: The observed molecular weight of the protein may vary from the listed predicted molecular weight due to post translational modifications, post translation cleavages, relative charges, and other experimental factors.
Reviewed Applications
Read 1 Review rated 5
using
NBP2-75672 in the following applications:

Packaging, Storage & Formulations

Storage
Store at 4C short term. Aliquot and store at -20C long term. Avoid freeze-thaw cycles.
Buffer
TBS (pH7.4), 0.05% BSA, 40% Glycerol
Preservative
0.05% Sodium Azide
Concentration
1 mg/ml
Purity
Protein A purified

Alternate Names for SRC1 Antibody (JB66-31)

  • bHLHe42
  • bHLHe74
  • Class E basic helix-loop-helix protein 74
  • EC 2.3.1.48
  • Hin-2 protein
  • KAT13A
  • MGC129719
  • NCOA1
  • NCoA-1
  • nuclear receptor coactivator 1
  • PAX3/NCOA1 fusion protein
  • Protein Hin-2
  • Renal carcinoma antigen NY-REN-52
  • RIP160
  • RIP160bHLHe74F-SRC-1
  • SRC1
  • SRC-1
  • SRC1MGC129720
  • Steroid receptor coactivator 1
  • steroid receptor coactivator-1

Background

Steroid and thyroid hormones and retinoic acid regulate a complex array of gene expression activity via intracellular receptor transcription factors belonging to the ligand dependent nuclear receptor superfamily. Adding to the complexity of function of these transcription factors are associated proteins known as coactivators and corepressors which, as their names suggest, enhance or depress transcriptional activity of the nuclear receptor with which they associate. One such coactivator is Steroid Receptor Coactivator-1 (SRC 1).SRC 1 has been shown to interact with and stimulate the transcriptional activity of estrogen, progesterone, retinoic acid, thyroid and glucocorticoid receptors, as well as retinoic X receptor (RXR) in a ligand dependent manner. The amino terminal region of SRC 1 contains a PAS-A-basic helix-loop-helix homology domain which has previously been shown to be dimerization domains in other nuclear transcription factors including the aryl hydrocarbon (Ah) receptor and its heterodimerization partner, ARNT. The carboxy-terminal region of SRC 1 has been shown to possess histone acetyltransferase activity specific primarily for histones H3 & H4.

Limitations

This product is for research use only and is not approved for use in humans or in clinical diagnosis. Primary Antibodies are guaranteed for 1 year from date of receipt.

Customers Who Viewed This Item Also Viewed...

NB100-1756
Species: Hu, Mu
Applications: ICC/IF, IHC,  IHC-P, WB
NBP1-90256
Species: Hu
Applications: ChIP-EXO-SEQ, ICC/IF, IHC,  IHC-P, WB
NB100-381
Species: Hu
Applications: ChIP, IP, WB
NB100-616
Species: Hu, Mu, Md, Pm, Rt
Applications: ChIP, EM, Flow-IC, Flow, ICC/IF, IP, In vitro, KD, WB
NBP1-76729
Species: Hu
Applications: ELISA, ICC/IF, WB
NB500-487
Species: Bv, Hu, Mu, Rt
Applications: IHC,  IHC-P, IP, WB
NBP3-09392
Species: Hu, Mu
Applications: WB
MAB3228
Species: Hu, Mu, Rt
Applications: ICC, KO, WB
NB100-56603
Species: Ca, Hu, Mu, Pm, Rt
Applications: IHC,  IHC-P, WB
NB300-560
Species: Av, Bv, Ma, Hu, Mu, Pm, Rt
Applications: IF, IHC, IHC-Fr,  IHC-P, WB
NBP1-28863
Species: Hu
Applications: ELISA, ICC/IF, IHC,  IHC-P, WB
AF5415
Species: Hu
Applications: ICC, IHC, Simple Western, WB
NB120-5802
Species: Hu, Mu
Applications: ChIP, ICC/IF, IHC,  IHC-P, IP, Simple Western, WB
NB100-61050
Species: Hu
Applications: IHC,  IHC-P, IP, PLA, WB
NBP1-51531
Species: Hu
Applications: ELISA, IHC,  IHC-P, WB
NBP2-22106
Species: Hu, Mu, Rt
Applications: IHC,  IHC-P, IP, WB
NB200-331
Species: Hu, Mu
Applications: IHC,  IHC-P, IP, WB
NBP1-83319
Species: Hu, Mu, Rt
Applications: ICC/IF, IHC,  IHC-P, WB
NB300-731
Species: Gp, Hu, Mu, Rb, Rt, Sh, Ye
Applications: B/N, ChIP, Flow, GS, ICC/IF, IHC,  IHC-P, IP, WB
NBP2-75672
Species: Hu
Applications: WB, IHC, IP

Publications for SRC1 Antibody (NBP2-75672) (0)

There are no publications for SRC1 Antibody (NBP2-75672).
By submitting your publication information earn gift cards and discounts for future purchases.

Review for SRC1 Antibody (NBP2-75672) (1) 51

Average Rating: 5
(Based on 1 review)
We have 1 review tested in 1 species: Human.

Reviews using NBP2-75672:
Filter by Applications
 IHC-P
(1)
All Applications
Filter by Species
Human
(1)
All Species
Images Ratings Applications Species Date Details
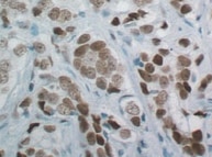
Immunohistochemistry-Paraffin SRC1 NBP2-75672
Enlarge
5
reviewed by:
Verified Customer
 IHC-P Human 10/17/2021
View

Summary

ApplicationImmunohistochemistry-Paraffin
Sample TestedProstate cancer
SpeciesHuman
LotJB66-31

Comments

CommentsPFA fixed paraffin-embedded sections. Heat-mediated antigen retreival was performed for 30 minutes in citrate buffer.

Product General Protocols

Find general support by application which include: protocols, troubleshooting, illustrated assays, videos and webinars.

Video Protocols

WB Video Protocol

FAQs for SRC1 Antibody (NBP2-75672) (0)

There are no specific FAQs related to this product. Read our general customer & technical service FAQs.

Secondary Antibodies

 

Isotype Controls

Additional SRC1 Products

Research Areas for SRC1 Antibody (NBP2-75672)

Find related products by research area.

Blogs on SRC1

There are no specific blogs for SRC1, but you can read our latest blog posts.

Contact Information

Product PDFs

Calculators

Concentration Calculator

The concentration calculator allows you to quickly calculate the volume, mass or concentration of your vial. Simply enter your mass, volume, or concentration values for your reagent and the calculator will determine the rest.

=
÷

Recent Reviews

5
5
1
4
0
3
0
2
0
1
0

Verified Customer
10/17/2021
Application:  IHC-P
Species: Human

Bioinformatics

Gene Symbol NCOA1