Spectrin beta 3 Antibody (rSPTBN2/1778)

Images

 
Immunohistochemistry-Paraffin: Spectrin beta 3 Antibody (SPTBN2/1247) [NBP2-53311] - Formalin-fixed, paraffin-embedded Rat Pancreas stained with Spectrin beta III Monoclonal Antibody (SPTBN2/1247).
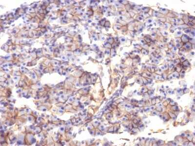
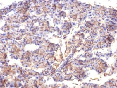
Immunohistochemistry-Paraffin: Spectrin beta 3 Antibody (SPTBN2/1247) [NBP2-53311] - Formalin-fixed, paraffin-embedded Human Pancreas stained with Spectrin beta III Monoclonal Antibody (SPTBN2/1247).
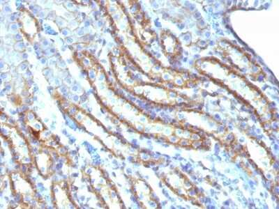
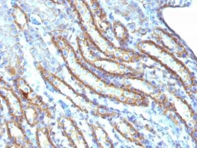
Immunohistochemistry-Paraffin: Spectrin beta 3 Antibody (SPTBN2/1247) [NBP2-53311] - Formalin-fixed, paraffin-embedded Mouse Kidney stained with Spectrin beta III Monoclonal Antibody (SPTBN2/1247).

Product Details

Summary
Product Discontinued
View other related Spectrin beta 3 Primary Antibodies

Order Details


    • Catalog Number
      NBP2-53311
    • Availability
      Product Discontinued

    Can't find what you are looking for? Use our Antibody Concierge Service & we will help you locate your antibody!

    Or feel free to contact us for alternative products.

Spectrin beta 3 Antibody (rSPTBN2/1778) Summary

Immunogen
Recombinant human SPTBN2 fragment (aa356-475) (exact sequence is proprietary)
Localization
Cell Surface
Protein/Peptide Type
Recombinant Protein
Isotype
IgG3
Clonality
Monoclonal
Host
Mouse
Gene
SPTBN2
Purity
Protein A or G purified
Innovator's Reward
Test in a species/application not listed above to receive a full credit towards a future purchase.

Applications/Dilutions

Dilutions
  • Flow Cytometry 0.5 - 1 ug/million cells
  • Immunocytochemistry/ Immunofluorescence 0.5 - 1 ug/ml
  • Immunohistochemistry
  • Immunohistochemistry-Paraffin 0.5 - 1.0 ug/ml
  • Western Blot 0.5 - 1.0 ug/ml
Application Notes
IHC-P: Staining of formalin-fixed tissues requires boiling tissue sections in 10mM citrate buffer pH 6.0 for 10-20 min followed by cooling at RT for 20 minutes.
Theoretical MW
246 kDa.
Disclaimer note: The observed molecular weight of the protein may vary from the listed predicted molecular weight due to post translational modifications, post translation cleavages, relative charges, and other experimental factors.

Packaging, Storage & Formulations

Storage
Store at 4C.
Buffer
10mM PBS with 0.05% BSA
Preservative
0.05% Sodium Azide
Concentration
0.2 mg/ml
Purity
Protein A or G purified

Alternate Names for Spectrin beta 3 Antibody (rSPTBN2/1778)

  • beta-III Spectrin
  • glutamate transporter EAAT4-associated protein 41
  • GTRAP41
  • KIAA0302
  • SCA5
  • SCAR14
  • Spectrin beta 3
  • spectrin beta chain, brain 2
  • Spectrin beta III
  • spectrin, beta, non-erythrocytic 2
  • Spectrin, non-erythroid beta chain 2
  • spinocerebellar ataxia 5
  • SPTBN2

Background

Spectrins are principle components of a cell's membrane-cytoskeleton and are composed of two alpha and two beta spectrin subunits. The protein encoded by this gene (SPTBN2), is called spectrin beta non-erythrocytic 2 or beta-III spectrin. It is related to, but distinct from, the beta-II spectrin gene which is also known as spectrin beta non-erythrocytic 1 (SPTBN1). SPTBN2 regulates the glutamate signaling pathway by stabilizing the glutamate transporter EAAT4 at the surface of the plasma membrane.

Mutations in this gene cause a form of spinocerebellar ataxia, SCA5, that is characterized by neurodegeneration, progressive locomotor incoordination, dysarthria, and uncoordinated eye movements. Mutations in spectrins are a previously unknown cause of ataxia and neurodegenerative disease that affect membrane proteins involved in glutamate signaling. Spectrin-beta IIIs have been recognized as ataxia disease genes and their mutations cause spinocerebellar ataxia type 5 (SCA5).

Limitations

This product is for research use only and is not approved for use in humans or in clinical diagnosis. Primary Antibodies are guaranteed for 1 year from date of receipt.

Customers Who Viewed This Item Also Viewed...

NBP3-25371
Species: Hu, Mu, Rt
Applications: ICC/IF, IHC,  IHC-P, WB
NBP1-51689
Species: Hu
Applications: ELISA, Flow, ICC/IF, IHC,  IHC-P, WB
NBP3-30941
Species: Hu, Rt
Applications: IHC, WB
NBP2-56984
Species: Hu
Applications: ICC/IF
NBP2-48740
Species: Hu
Applications: ICC/IF, IHC,  IHC-P
NBP1-90063
Species: Hu, Mu
Applications: ICC/IF, IHC,  IHC-P
NBP1-52176
Species: Mu
Applications: Flow, ICC/IF, PEP-ELISA
NBP1-42657
Species: Hu
Applications: IP (-), WB
NBP1-21398
Species: Hu, Mu
Applications: ICC/IF, IHC,  IHC-P, IP, WB
NBP1-92476
Species: Hu, Mu
Applications: ICC/IF, IHC,  IHC-P, IP, WB
NBP1-90044
Species: Hu
Applications: ICC/IF, IHC,  IHC-P, WB
NBP1-32535
Species: Hu, Mu, Rt
Applications: IHC, IHC-Fr,  IHC-P, WB
NB100-1869
Species: Hu, Mu, Rt
Applications: ELISA, Flow-IC, Flow, ICC/IF, IHC, IHC-Fr,  IHC-P, Simple Western, WB
NBP3-04588
Species: Hu, Mu, Rt
Applications: WB
H00003748-M01
Species: Hu, Mu, Rb
Applications: ELISA, ICC/IF, WB
NBP2-59319
Species: Hu, Rt
Applications: ICC/IF, IP, WB
NBP1-87086
Species: Hu
Applications: ICC/IF, IHC,  IHC-P
NBP2-14336
Species: Hu
Applications: ICC/IF, IHC,  IHC-P, WB
H00005173-M01
Species: Hu
Applications: ELISA, IP, S-ELISA, WB
NBP2-53311
Species: Hu, Mu, Rt
Applications: WB, Flow, ICC/IF, IHC

Publications for Spectrin beta 3 Antibody (NBP2-53311) (0)

There are no publications for Spectrin beta 3 Antibody (NBP2-53311).
By submitting your publication information earn gift cards and discounts for future purchases.

Reviews for Spectrin beta 3 Antibody (NBP2-53311) (0)

There are no reviews for Spectrin beta 3 Antibody (NBP2-53311). By submitting a review you will receive an Amazon e-Gift Card or Novus Product Discount.
  • Review with no image -- $10/€7/£6/$10 CAD/¥70 Yuan/¥1110 Yen
  • Review with an image -- $25/€18/£15/$25 CAD/¥150 Yuan/¥2500 Yen

Product General Protocols

Find general support by application which include: protocols, troubleshooting, illustrated assays, videos and webinars.

Video Protocols

WB Video Protocol
ICC/IF Video Protocol

FAQs for Spectrin beta 3 Antibody (NBP2-53311) (0)

There are no specific FAQs related to this product. Read our general customer & technical service FAQs.

Secondary Antibodies

 

Isotype Controls

Additional Spectrin beta 3 Products

Research Areas for Spectrin beta 3 Antibody (NBP2-53311)

Find related products by research area.

Blogs on Spectrin beta 3

There are no specific blogs for Spectrin beta 3, but you can read our latest blog posts.

Contact Information

Product PDFs

Calculators

Concentration Calculator

The concentration calculator allows you to quickly calculate the volume, mass or concentration of your vial. Simply enter your mass, volume, or concentration values for your reagent and the calculator will determine the rest.

=
÷

Review this Product

Be the first to review our Spectrin beta 3 Antibody (rSPTBN2/1778) and receive a gift card or discount.

Bioinformatics

Gene Symbol SPTBN2