SOX11 Antibody (CL0143) - Azide and BSA Free

Images

 
Lane 1: Marker [kDa]Lane 2: Negative control (vector only transfected HEK293T lysate)Lane 3: SOX11 Over-expression Lysate (Co-expressed with a C-terminal myc-DDK tag (~3.1 kDa) in mammalian HEK293T cells)
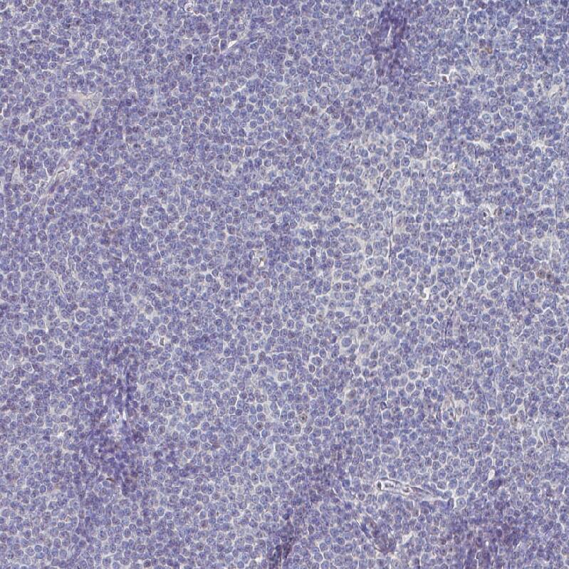
Staining of human chronic lymphocytic leukemia shows no nuclear positivity in tumor cells as expected.
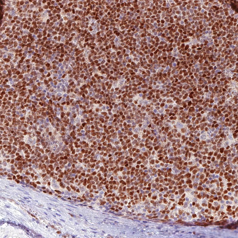
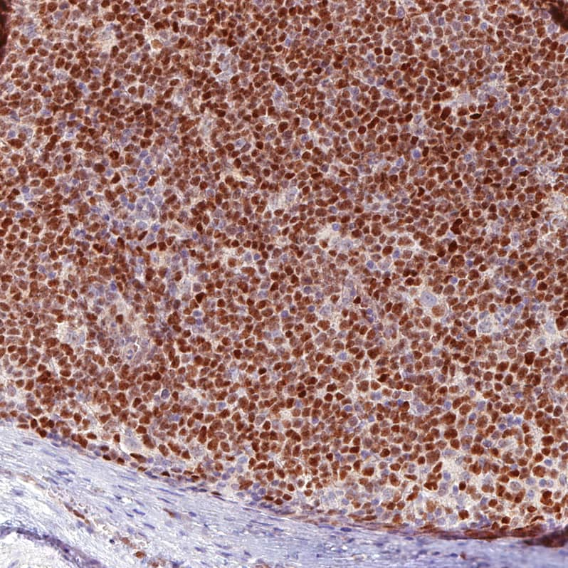
Staining of human mantle cell lymphoma shows moderate to strong nuclear positivity in tumor cells.

Product Details

Summary
Reactivity HuSpecies Glossary
Applications WB, IHC
Clone
CL0143
Clonality
Monoclonal
Host
Mouse
Conjugate
Unconjugated
Format
Azide and BSA Free
Concentration
LYOPH

Order Details

SOX11 Antibody (CL0143) - Azide and BSA Free Summary

Description
Novus Biologicals Mouse SOX11 Antibody (CL0143) - Azide and BSA Free (NBP2-52865) is a monoclonal antibody validated for use in IHC and WB. All Novus Biologicals antibodies are covered by our 100% guarantee.
Immunogen
This antibody was generated using a recombinant protein sequence of P35716, with the exact immunogen sequence remaining proprietary.
Isotype
IgG2a
Clonality
Monoclonal
Host
Mouse
Gene
SOX11
Purity
Protein A purified
Innovator's Reward
Test in a species/application not listed above to receive a full credit towards a future purchase.

Applications/Dilutions

Dilutions
  • Immunohistochemistry-Paraffin 1:200 - 1:500
  • Western Blot 1 ug/ml
Application Notes
For IHC-Paraffin, HIER pH 6 retrieval is recommended.

Packaging, Storage & Formulations

Storage
Store at 4C short term. Aliquot and store at -20C long term. Avoid freeze-thaw cycles.
Buffer
Lyophilized from a 0.2 um filtered solution in PBS with Trehalose
Preservative
No Preservative
Concentration
LYOPH
Purity
Protein A purified
Reconstitution Instructions
Centrifuge the vial of lyophilized antibody at 12,000 x g for 20 seconds. Reconstitute by adding sterile, distilled water to achieve a final antibody concentration of 1mg/ml.

Alternate Names for SOX11 Antibody (CL0143) - Azide and BSA Free

  • SOX11
  • SRY (sex determining region Y)-box 11
  • SRY (sex-determining region Y)-box 11
  • SRY-related HMG-box gene 11
  • transcription factor SOX-11

Background

SOX11 encodes a member of the SOX (SRY-related HMG-box) family of transcription factors involved in the regulation of embryonic development and in the determination of the cell fate. The encoded protein may act as a transcriptional regulator after forming a protein complex with other proteins. The protein may function in the developing nervous system and play a role in tumorigenesis.

Limitations

This product is for research use only and is not approved for use in humans or in clinical diagnosis. Primary Antibodies are guaranteed for 1 year from date of receipt.

Customers Who Viewed This Item Also Viewed...

NBP2-61421
Species: Hu, Mu, Rt
Applications: ICC/IF, IHC,  IHC-P
NBP2-32840
Species: Hu, Pm, Mu, Rt
Applications: Flow, ICC/IF, IHC,  IHC-P, WB
AF2018
Species: Hu, Mu, Rt
Applications: ChIP, ICC, IHC, Simple Western, WB
AF3075
Species: Hu
Applications: ICC, Simple Western, WB
AF2569
Species: Hu
Applications: ICC, WB
NBP3-41295
Species: Hu
Applications: IHC,  IHC-P, WB
AF4070
Species: Hu
Applications: ICC, WB
H00006666-Q01
Species: Hu
Applications: ELISA, AP, PA, PAGE, WB
NBP1-31336
Species: Hu, Mu, Rt
Applications: ICC/IF, IHC,  IHC-P, KD, WB
MAB2806
Species: Hu
Applications: CyTOF-ready, Flow, WB
AF2864
Species: Hu
Applications: ICC, IHC, WB
NB200-103
Species: Hu, Mu, Rt, Xp(-), Ye
Applications: CyTOF-ready, ELISA, Flow-IC, Flow, ICC/IF, IHC, IHC-Fr,  IHC-P, IP, WB
NBP1-36953
Species: Hu
Applications: PEP-ELISA, WB
AF5286
Species: Hu
Applications: WB
NBP1-49872
Species: Mu
Applications: Flow, ICC/IF, IHC, IHC-Fr, PEP-ELISA, WB
AF3538
Species: Hu
Applications: ICC, IHC, WB
NBP1-85816
Species: Fe, Hu, Mu, Rt
Applications: ICC/IF, IHC, IHC-Fr,  IHC-P, KO, WB
NBP3-12898
Species: Hu
Applications: ICC/IF, IHC,  IHC-P, WB
AF3369
Species: Hu, Mu, Rt
Applications: ICC, IHC, Simple Western, WB
NBP3-43927
Species: Hu
Applications: WB, IHC

Publications for SOX11 Antibody (NBP3-43927) (0)

There are no publications for SOX11 Antibody (NBP3-43927).
By submitting your publication information earn gift cards and discounts for future purchases.

Reviews for SOX11 Antibody (NBP3-43927) (0)

There are no reviews for SOX11 Antibody (NBP3-43927). By submitting a review you will receive an Amazon e-Gift Card or Novus Product Discount.
  • Review with no image -- $10/€7/£6/$10 CAD/¥70 Yuan/¥1110 Yen
  • Review with an image -- $25/€18/£15/$25 CAD/¥150 Yuan/¥2500 Yen

Product General Protocols

Find general support by application which include: protocols, troubleshooting, illustrated assays, videos and webinars.

Video Protocols

WB Video Protocol

FAQs for SOX11 Antibody (NBP3-43927) (0)

There are no specific FAQs related to this product. Read our general customer & technical service FAQs.

Secondary Antibodies

 

Isotype Controls

Additional SOX11 Products

Blogs on SOX11.

SOX-11 seals your fate
The SOX-11 transcription factor is a member of the SOX family known to be involved in embryonic development regulation and cell fate determination. The protein acts as a transcriptional regulator and appears to modulate fundamental aspects of normal e...  Read full blog post.

Customers Who Bought This Also Bought

Contact Information

Product PDFs

Calculators

Concentration Calculator

The concentration calculator allows you to quickly calculate the volume, mass or concentration of your vial. Simply enter your mass, volume, or concentration values for your reagent and the calculator will determine the rest.

=
÷

Review this Product

Be the first to review our SOX11 Antibody (CL0143) - Azide and BSA Free and receive a gift card or discount.

Bioinformatics

Gene Symbol SOX11