SMAD1/9 Antibody (SY0254)

Images

 
Immunocytochemistry/ Immunofluorescence: SMAD1/9 Antibody (SY0254) [NBP2-67435] - Staining Smad1 in PANC-1 cells (green). The nuclear counter stain is DAPI (blue). Cells were fixed in paraformaldehyde, permeabilised ...read more
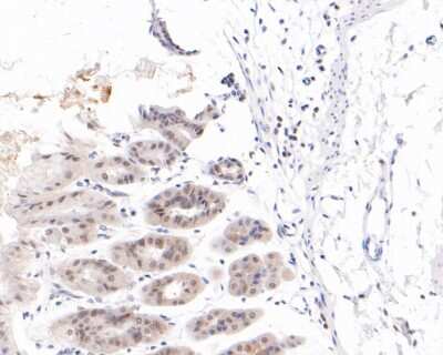
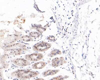
Immunohistochemistry-Paraffin: SMAD1/9 Antibody (SY0254) [NBP2-67435] - Immunohistochemical analysis of paraffin-embedded mouse stomach tissue using anti-SMAD1/9 antibody. The section was pre-treated using heat mediated ...read more
Immunocytochemistry/ Immunofluorescence: SMAD1/9 Antibody (SY0254) [NBP2-67435] - Staining Smad1 in A431 cells (green). The nuclear counter stain is DAPI (blue). Cells were fixed in paraformaldehyde, permeabilised with ...read more
Immunocytochemistry/ Immunofluorescence: SMAD1/9 Antibody (SY0254) [NBP2-67435] - Staining Smad1 in Hela cells (green). The nuclear counter stain is DAPI (blue). Cells were fixed in paraformaldehyde, permeabilised with ...read more
Immunocytochemistry/ Immunofluorescence: SMAD1/9 Antibody (SY0254) [NBP2-67435] - Staining Smad1 in MCF-7 cells (green). The nuclear counter stain is DAPI (blue). Cells were fixed in paraformaldehyde, permeabilised with ...read more

Product Details

Summary
Product Discontinued
View other related SMAD1/9 Primary Antibodies

Order Details


    • Catalog Number
      NBP2-67435
    • Availability
      Product Discontinued

    Can't find what you are looking for? Use our Antibody Concierge Service & we will help you locate your antibody!

    Or feel free to contact us for alternative products.

SMAD1/9 Antibody (SY0254) Summary

Additional Information
Recombinant Monoclonal Antibody.
Immunogen
Synthetic peptide within human SMAD1/9 aa 150-200. (SwissProt: Q15797 Human; SwissProt: P70340 Mouse)
Localization
Cytoplasm, Nucleus.
Isotype
IgG
Clonality
Monoclonal
Host
Rabbit
Gene
SMAD1
Purity
Protein A purified
Innovator's Reward
Test in a species/application not listed above to receive a full credit towards a future purchase.

Applications/Dilutions

Dilutions
  • Immunocytochemistry/ Immunofluorescence 1:100-1:500
  • Immunohistochemistry
  • Immunohistochemistry-Paraffin 1:50-1:200
  • Western Blot 1:500

Packaging, Storage & Formulations

Storage
Store at 4C short term. Aliquot and store at -20C long term. Avoid freeze-thaw cycles.
Buffer
TBS (pH7.4), 0.05% BSA, 40% Glycerol
Preservative
0.05% Sodium Azide
Concentration
1 mg/ml
Purity
Protein A purified

Alternate Names for SMAD1/9 Antibody (SY0254)

  • BSP1
  • BSP-1
  • hSMAD1
  • JV41
  • JV4-1
  • JV4-1SMAD, mothers against DPP homolog 1 (Drosophila)
  • MAD homolog 1
  • MADH1
  • MADH1JV41
  • MADR1
  • MADR1MAD, mothers against decapentaplegic homolog 1 (Drosophila)
  • Mad-related protein 1
  • mothers against decapentaplegic homolog 1
  • Mothers against DPP homolog 1
  • SMAD family member 1
  • SMAD family member 1SMAD 1
  • SMAD, mothers against DPP homolog 1
  • Smad1
  • TGF-beta signaling protein 1
  • transforming growth factor-beta signaling protein 1

Limitations

This product is for research use only and is not approved for use in humans or in clinical diagnosis. Primary Antibodies are guaranteed for 1 year from date of receipt.

Customers Who Viewed This Item Also Viewed...

355-BM
Species: Hu, Mu, Rt
Applications: BA
314-BP
Species: Hu
Applications: BA, BA
AF3797
Species: Hu, Mu
Applications: ChIP, ICC, IHC, Simple Western, WB
AF2097
Species: Hu
Applications: ChIP, ICC, WB
NBP2-67394
Species: Hu, Mu, Rt
Applications: ICC/IF, IHC,  IHC-P, WB
355-BM
Species: Hu, Mu, Rt
Applications: BA
NB100-56479
Species: Bv, Ca, Hu, Mu, Po, Pm, Rt
Applications: ICC/IF, IHC,  IHC-P, Simple Western, WB
DYC1825-2
Species: Hu, Mu, Rt
Applications: ELISA
AF1230
Species: Hu, Mu, Rt
Applications: IHC, KO, WB
AF7215
Species: Hu, Mu
Applications: ICC, IHC
354-BP
Species: Hu
Applications: BA
NB100-56440
Species: Hu, Pm, Mu, Pm, Rt, Sh
Applications: ICC/IF, IHC,  IHC-P, Simple Western, WB
DPI00
Species: Hu
Applications: ELISA
AF3025
Species: Hu
Applications: ELISA, ICC, WB
7754-BH/CF
Species: Hu
Applications: BA
507-BP
Species: Hu
Applications: BA
MAB2029
Species: Hu, Mu, Rt
Applications: IHC, Simple Western, WB
6057-NG
Species: Hu
Applications: BA

Publications for SMAD1/9 Antibody (NBP2-67435) (0)

There are no publications for SMAD1/9 Antibody (NBP2-67435).
By submitting your publication information earn gift cards and discounts for future purchases.

Reviews for SMAD1/9 Antibody (NBP2-67435) (0)

There are no reviews for SMAD1/9 Antibody (NBP2-67435). By submitting a review you will receive an Amazon e-Gift Card or Novus Product Discount.
  • Review with no image -- $10/€7/£6/$10 CAD/¥70 Yuan/¥1110 Yen
  • Review with an image -- $25/€18/£15/$25 CAD/¥150 Yuan/¥2500 Yen

Product General Protocols

Find general support by application which include: protocols, troubleshooting, illustrated assays, videos and webinars.

Video Protocols

WB Video Protocol
ICC/IF Video Protocol

FAQs for SMAD1/9 Antibody (NBP2-67435) (0)

There are no specific FAQs related to this product. Read our general customer & technical service FAQs.

Contact Information

Product PDFs

Calculators

Concentration Calculator

The concentration calculator allows you to quickly calculate the volume, mass or concentration of your vial. Simply enter your mass, volume, or concentration values for your reagent and the calculator will determine the rest.

=
÷

Review this Product

Be the first to review our SMAD1/9 Antibody (SY0254) and receive a gift card or discount.

Bioinformatics

Gene Symbol SMAD1