SLC45A3/Prostein Antibody (SLC45A3/7176R) - Azide and BSA Free

Images

 
Protein Array: SLC45A3/Prostein Antibody (SLC45A3/7176R) - Azide and BSA Free [NBP3-14049] - Analysis of Protein Array containing more than 19,000 full-length human proteins using SLC45A3/Prostein Antibody ...read more
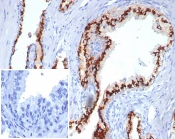
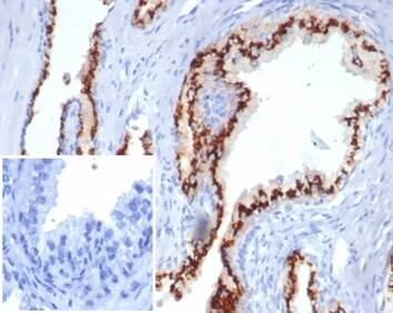
Formalin-fixed, paraffin-embedded human prostate stained with SLC45A3/Prostein Antibody (SLC45A3/7176R) - Azide and BSA Free. Inset: PBS instead of primary antibody; secondary only negative control.

Product Details

Summary
Reactivity HuSpecies Glossary
Applications IHC, MA
Clone
SLC45A3/7176R
Clonality
Monoclonal
Host
Rabbit
Conjugate
Unconjugated
Format
Azide and BSA Free
Concentration
1 mg/ml

Order Details

SLC45A3/Prostein Antibody (SLC45A3/7176R) - Azide and BSA Free Summary

Description
1.0 mg/ml of antibody purified from Bioreactor Concentrate by Protein A/G. Prepared in 10mM PBS WITHOUT BSA & azide. Also available at 200 ug/ml WITH BSA & azide (NBP3-13804).

Antibody with azide - store at 2 to 8C. Antibody without azide - store at -20 to -80 C.
Additional Information
Recombinant Monoclonal Antibody
Immunogen
Synthesized peptides to the N terminus of human SLC45A3/Prostein protein (Uniprot: Q96JT2)
Localization
Membrane
Isotype
IgG Kappa
Clonality
Monoclonal
Host
Rabbit
Gene
SLC45A3
Purity
Protein A or G purified
Innovator's Reward
Test in a species/application not listed above to receive a full credit towards a future purchase.

Applications/Dilutions

Dilutions
  • Immunohistochemistry-Paraffin 1-2 ug/ml
  • Protein Array
Application Notes
Immunohistochemistry (Formalin-fixed): 1-2ug/ml for 30 minutes at RT. Staining of formalin-fixed tissues requires heating tissue sections in 10mM Tris with 1mM EDTA, pH 9.0, for 45 min at 95C followed by cooling at RT for 20 minutes
Theoretical MW
59 kDa.
Disclaimer note: The observed molecular weight of the protein may vary from the listed predicted molecular weight due to post translational modifications, post translation cleavages, relative charges, and other experimental factors.

Packaging, Storage & Formulations

Storage
Store at -20 to -80C. Avoid freeze-thaw cycles.
Buffer
10mM PBS
Preservative
No Preservative
Concentration
1 mg/ml
Purity
Protein A or G purified

Alternate Names for SLC45A3/Prostein Antibody (SLC45A3/7176R) - Azide and BSA Free

  • IPCA-2
  • IPCA-6
  • IPCA-8
  • PCANAP2
  • PCANAP6
  • PCANAP6IPCA6
  • PCANAP8
  • prostate cancer associated protein 2
  • prostate cancer associated protein 6
  • prostate cancer associated protein 8
  • prostate cancer-associated gene 2
  • prostate cancer-associated gene 6
  • prostate cancer-associated gene 8
  • Prostate cancer-associated protein 6
  • Prostein
  • PRST
  • PRSTPCANAP2
  • S45A3
  • SLC45A3
  • solute carrier family 45 member 3
  • solute carrier family 45, member 3

Background

Prostein is a novel prostate-specific protein expressed in normal and malignant prostate tissues. This protein appears to be a type IIIa plasma membrane protein with a cleavable signal peptide and 11 transmembrane-spanning regions. Prostein expression is androgen responsive since treatment of LNCaP cells with androgen up-regulates prostein message and protein expression levels. Thus, prostein is a prostate-specific marker whose detection and quantitation may be useful in diagnosing and monitoring prostate cancer.

Limitations

This product is for research use only and is not approved for use in humans or in clinical diagnosis. Primary Antibodies are guaranteed for 1 year from date of receipt.

Customers Who Viewed This Item Also Viewed...

DKK300
Species: Hu
Applications: ELISA
NBP3-48658
Species: Ca, Fe, Hu, Mu, Rt, Ze
Applications: ICC/IF, IHC,  IHC-P, WB
AF4036
Species: Hu
Applications: Simple Western, WB
H00005324-M02
Species: Hu, Mu
Applications: ELISA, IHC,  IHC-P, WB
NBP1-32920
Species: Hu, Mu
Applications: ICC/IF, IHC,  IHC-P, KD, WB
NBP2-60655
Species: Hu
Applications: ICC/IF, IHC,  IHC-P, WB
NBP3-03109
Species: Hu, Mu
Applications: IHC,  IHC-P, WB
NBP1-45057
Species: Ca, Hu, Mu, Po, Rt
Applications: ICC/IF, IHC,  IHC-P, WB
NBP1-20984
Species: Hu
Applications: ICC/IF, IHC,  IHC-P, PEP-ELISA, Simple Western, WB
NBP1-97311
Species: Hu, Mu, Rt
Applications: ICC/IF, IHC,  IHC-P, KD, WB
NB600-302
Species: Bv, Dr, Hu, Mu
Applications: ChIP, ELISA, Flow-IC, Flow, IB, ICC/IF, IHC, IHC-Fr,  IHC-P, IP, PLA, S-ELISA, Simple Western, WB
AF1916
Species: Hu
Applications: ICC, IHC, WB
NBP1-18885
Species: Hu
Applications: ICC/IF, IHC,  IHC-P, IP, KO, WB
AF7355
Species: Hu
Applications: ICC, Simple Western, WB
NBP2-24583
Species: Bv, Eq, Hu, Mu, Ma-Op, Pm, Rt
Applications: IHC,  IHC-P, WB
NB100-355
Species: Bv, Ca, Ch, Hu, Mu, Po, Pm, Rt, Xp
Applications: CyTOF-ready, Flow, ICC/IF, IF, IHC, IHC-Fr,  IHC-P, IP, In vivo, KO, Simple Western, WB
NBP3-35390
Species: Hu, Mu, Rt
Applications: ELISA, ICC/IF, IHC,  IHC-P, WB
H00002115-M01
Species: Hu
Applications: ELISA, WB
AF2498
Species: Mu
Applications: IP, WB
NBP3-14049
Species: Hu
Applications: IHC, MA

Publications for SLC45A3/Prostein Antibody (NBP3-14049) (0)

There are no publications for SLC45A3/Prostein Antibody (NBP3-14049).
By submitting your publication information earn gift cards and discounts for future purchases.

Reviews for SLC45A3/Prostein Antibody (NBP3-14049) (0)

There are no reviews for SLC45A3/Prostein Antibody (NBP3-14049). By submitting a review you will receive an Amazon e-Gift Card or Novus Product Discount.
  • Review with no image -- $10/€7/£6/$10 CAD/¥70 Yuan/¥1110 Yen
  • Review with an image -- $25/€18/£15/$25 CAD/¥150 Yuan/¥2500 Yen

Product General Protocols

Find general support by application which include: protocols, troubleshooting, illustrated assays, videos and webinars.

FAQs for SLC45A3/Prostein Antibody (NBP3-14049) (0)

There are no specific FAQs related to this product. Read our general customer & technical service FAQs.

Customers Who Bought This Also Bought

Contact Information

Product PDFs

Calculators

Concentration Calculator

The concentration calculator allows you to quickly calculate the volume, mass or concentration of your vial. Simply enter your mass, volume, or concentration values for your reagent and the calculator will determine the rest.

=
÷

Review this Product

Be the first to review our SLC45A3/Prostein Antibody (SLC45A3/7176R) - Azide and BSA Free and receive a gift card or discount.

Bioinformatics

Gene Symbol SLC45A3