SLC44A4 Antibody - BSA Free

Images

 
Immunohistochemistry-Paraffin: SLC44A4 Antibody [NBP2-33707] - Staining of human prostate shows moderate membranous positivity in glandular cells.
Orthogonal Strategies: Analysis in human fallopian tube and liver tissues using NBP2-33707 antibody. Corresponding SLC44A4 RNA-seq data are presented for the same tissues.
Staining of human small intestine shows moderate membranous positivity in glandular cells.
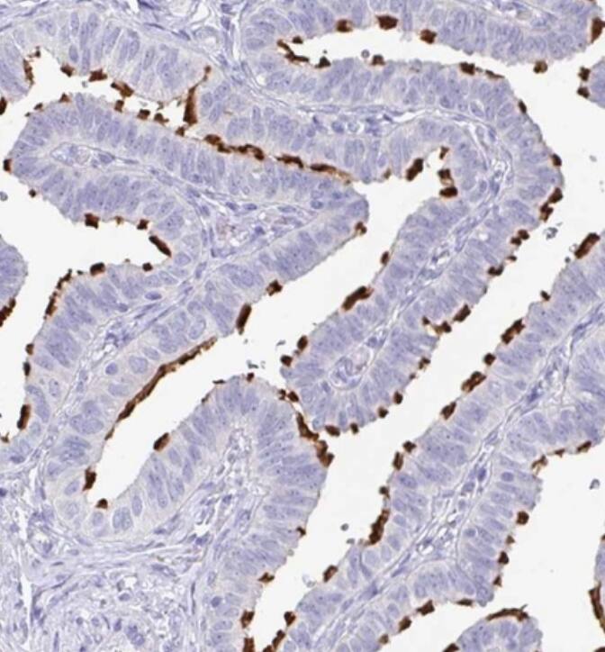
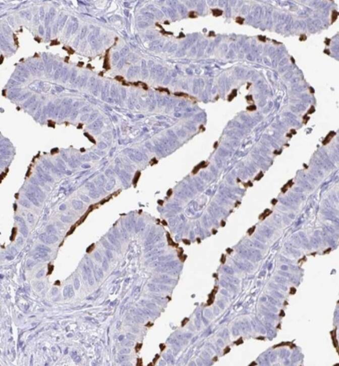
Staining of human fallopian tube shows strong positivity in cilia.
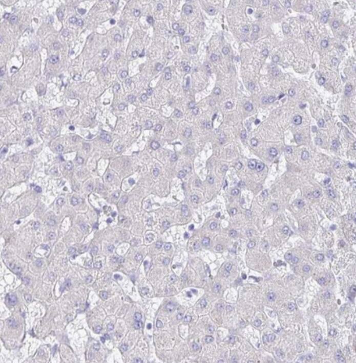
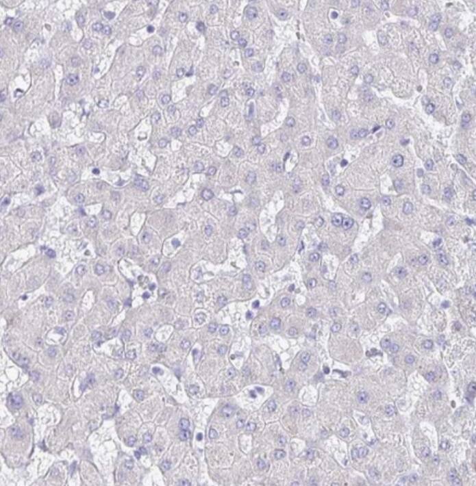
Staining of human liver shows no positivity in hepatocytes as expected.

Product Details

Summary
Reactivity HuSpecies Glossary
Applications IHC
Clonality
Polyclonal
Host
Rabbit
Conjugate
Unconjugated
Format
BSA Free
Validated by:
       

Orthogonal Strategies

 

Order Details

View Available Formulations
Catalog# & Formulation Size Price

SLC44A4 Antibody - BSA Free Summary

Description
Novus Biologicals Rabbit SLC44A4 Antibody - BSA Free (NBP2-33707) is a polyclonal antibody validated for use in IHC. Anti-SLC44A4 Antibody: Cited in 1 publication. All Novus Biologicals antibodies are covered by our 100% guarantee.
Immunogen
This antibody was developed against a recombinant protein corresponding to amino acids: MTVITSLQQELCPSFLLPSAPALGRCFPWTNVTPPALPGITNDTTIQQGISGLIDSLNARDISVKIFED
Isotype
IgG
Clonality
Polyclonal
Host
Rabbit
Gene
SLC44A4
Purity
Affinity purified
Innovator's Reward
Test in a species/application not listed above to receive a full credit towards a future purchase.

Applications/Dilutions

Dilutions
  • Immunohistochemistry 1:200 - 1:500
  • Immunohistochemistry-Paraffin 1:200 - 1:500
Application Notes
IHC-Paraffin, HIER pH 6 retrieval is recommended.
Control Peptide
SLC44A4 Protein (NBP2-33707PEP)
Publications
Read Publication using
NBP2-33707 in the following applications:

Packaging, Storage & Formulations

Storage
Store at 4C short term. Aliquot and store at -20C long term. Avoid freeze-thaw cycles.
Buffer
PBS (pH 7.2) and 40% Glycerol
Preservative
0.02% Sodium Azide
Purity
Affinity purified

Alternate Names for SLC44A4 Antibody - BSA Free

  • C6orf29
  • Choline Transporter-Like Protein 4
  • Chromosome 6 Open Reading Frame 29
  • CTL4
  • NG22
  • Solute Carrier Family 44 Member 4
  • Solute Carrier Family 44, Member 4

Limitations

This product is for research use only and is not approved for use in humans or in clinical diagnosis. Primary Antibodies are guaranteed for 1 year from date of receipt.

Customers Who Viewed This Item Also Viewed...

7268-CT
Species: Hu
Applications: BA
AF1049
Species: Hu
Applications: IHC, WB
NB100-524
Species: Hu, Mu
Applications: Flow-IC, Flow, ICC/IF, IHC, IHC-Fr,  IHC-P, IP, WB
NBP1-76847
Species: Hu, Mu, Rt
Applications: ELISA, ICC/IF, IHC,  IHC-P, WB
NBP2-79843
Species: Hu
Applications: CyTOF-ready, ELISA, Flow, ICC/IF, IHC,  IHC-P, PA, WB
H00057153-M01
Species: Hu
Applications: ELISA, ICC/IF, IHC,  IHC-P, WB
MAB6860
Species: Hu
Applications: IP, WB
NBP2-45731
Species: Ca, Hu, Pm
Applications: IHC,  IHC-P, WB
202-IL
Species: Hu
Applications: BA
AF3638
Species: Hu
Applications: WB
AF847
Species: Hu, Mu, Rt
Applications: CyTOF-ready, IHC, ICFlow, KO, Simple Western, WB
M6000B
Species: Mu
Applications: ELISA
AF6438
Species: Hu, Mu, Rt
Applications: ICC, WB
NB110-74570
Species: Hu, Mu, Pm, Rt
Applications: IHC, IHC-Fr,  IHC-P, WB
AF231
Species: Hu
Applications: CyTOF-ready, Dual ISH-IHC, ELISA(Cap), ELISA(Det), ELISA(Sta), Flow, ICC, IHC, IP, Simple Western, WB
NBP1-77285
Species: Hu, Mu, Rt
Applications: ELISA, ICC/IF, IHC,  IHC-P, WB
NBP2-33707
Species: Hu
Applications: IHC

Publications for SLC44A4 Antibody (NBP2-33707)(1)

We have publications tested in 1 confirmed species: Human.

We have publications tested in 1 application: IF/IHC.


Filter By Application
IF/IHC
(1)
All Applications
Filter By Species
Human
(1)
All Species

Reviews for SLC44A4 Antibody (NBP2-33707) (0)

There are no reviews for SLC44A4 Antibody (NBP2-33707). By submitting a review you will receive an Amazon e-Gift Card or Novus Product Discount.
  • Review with no image -- $10/€7/£6/$10 CAD/¥70 Yuan/¥1110 Yen
  • Review with an image -- $25/€18/£15/$25 CAD/¥150 Yuan/¥2500 Yen

Product General Protocols

Find general support by application which include: protocols, troubleshooting, illustrated assays, videos and webinars.

FAQs for SLC44A4 Antibody (NBP2-33707) (0)

There are no specific FAQs related to this product. Read our general customer & technical service FAQs.

Secondary Antibodies

 

Isotype Controls

Additional SLC44A4 Products

Research Areas for SLC44A4 Antibody (NBP2-33707)

Find related products by research area.

Blogs on SLC44A4

There are no specific blogs for SLC44A4, but you can read our latest blog posts.

Customers Who Bought This Also Bought

Contact Information

Product PDFs

Calculators

Concentration Calculator

The concentration calculator allows you to quickly calculate the volume, mass or concentration of your vial. Simply enter your mass, volume, or concentration values for your reagent and the calculator will determine the rest.

=
÷

Review this Product

Be the first to review our SLC44A4 Antibody - BSA Free and receive a gift card or discount.

Bioinformatics

Gene Symbol SLC44A4
Uniprot