Secretagogin Antibody (CL0273) - Azide and BSA Free

Images

 
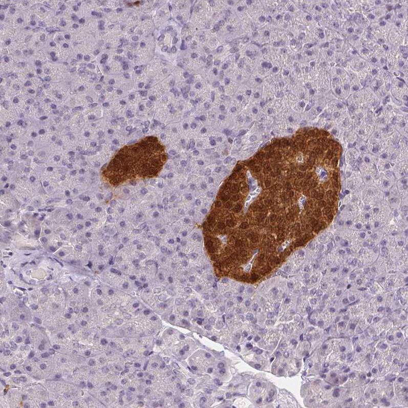
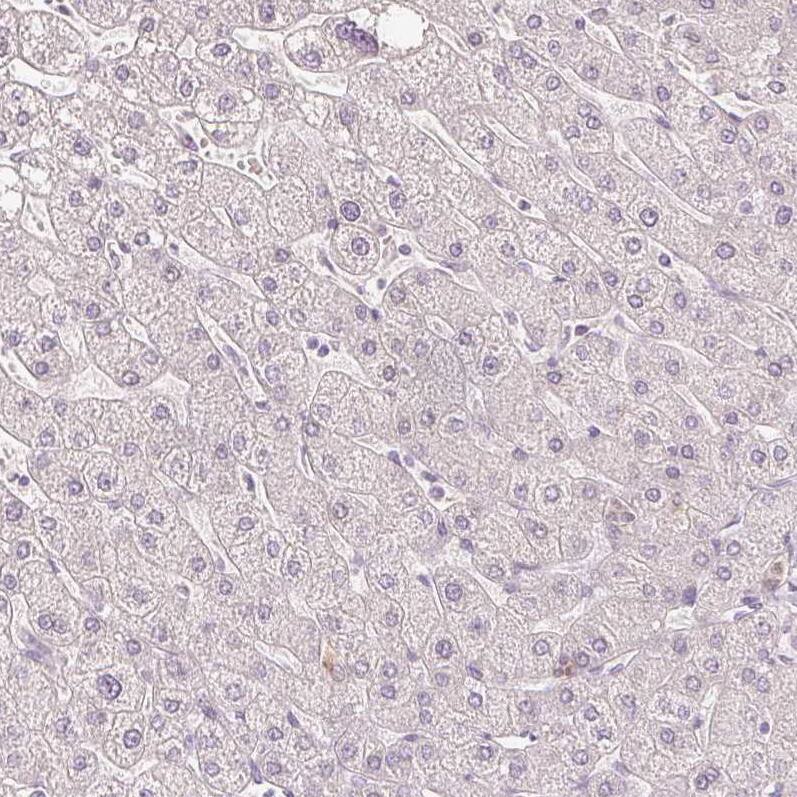
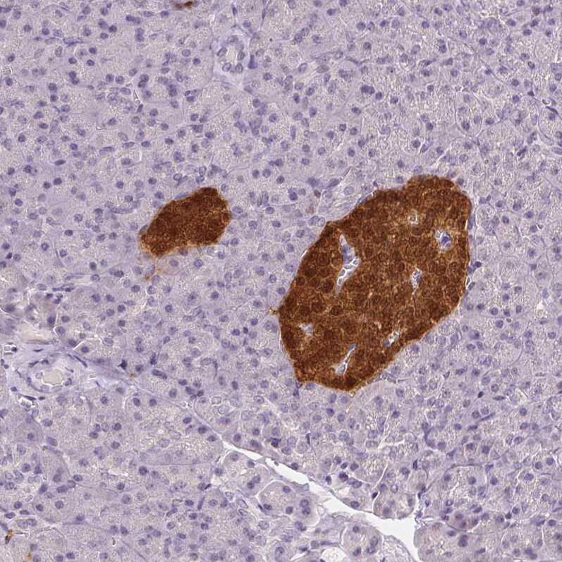
Orthogonal Strategies: Analysis in human pancreas and liver tissues using NBP3-44031 antibody. Corresponding Secretagogin RNA-seq data are presented for the same tissues.
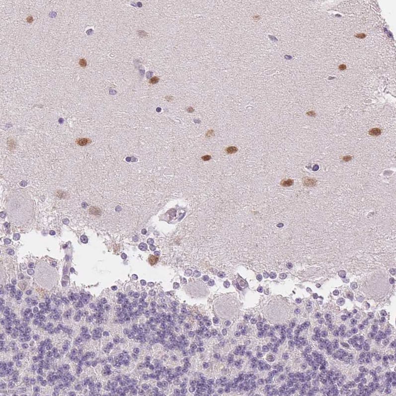
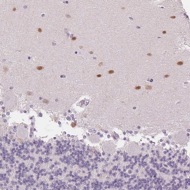
Staining of human cerebellum shows moderate positivity in cells in molecular layer.
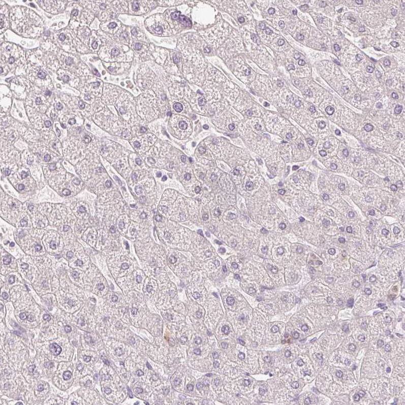
Staining of human liver shows no positivity in hepatocytes as expected.
Staining of human pancreas shows strong cytoplasmic and nuclear positivity in islets of Langerhans.
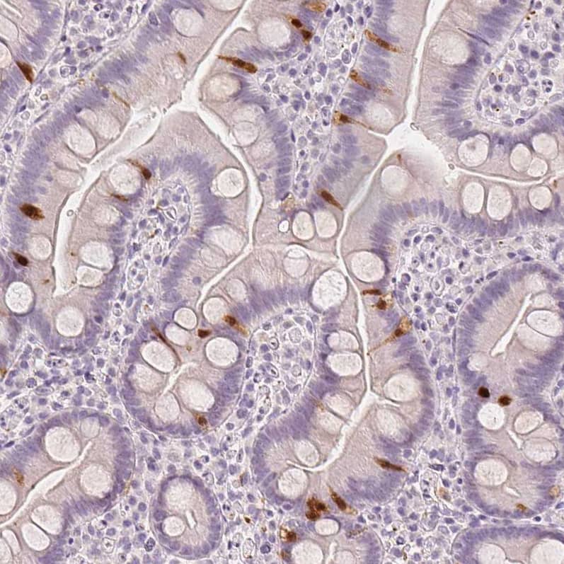
Staining of human small intestine shows moderate to strong positivity in enteroendocrine cells.

Product Details

Summary
Reactivity HuSpecies Glossary
Applications IHC
Clone
CL0273
Clonality
Monoclonal
Host
Mouse
Conjugate
Unconjugated
Format
Azide and BSA Free
Concentration
LYOPH
Validated by:
       

Orthogonal Strategies

 

Order Details

Secretagogin Antibody (CL0273) - Azide and BSA Free Summary

Description
Novus Biologicals Mouse Secretagogin Antibody (CL0273) - Azide and BSA Free (NBP2-52898) is a monoclonal antibody validated for use in IHC. All Novus Biologicals antibodies are covered by our 100% guarantee.
Immunogen
This antibody was generated using a recombinant protein sequence of O76038, with the exact immunogen sequence remaining proprietary.
Isotype
IgG2a
Clonality
Monoclonal
Host
Mouse
Gene
SCGN
Purity
Protein A purified
Innovator's Reward
Test in a species/application not listed above to receive a full credit towards a future purchase.

Applications/Dilutions

Dilutions
  • Immunohistochemistry-Paraffin 1:2500 - 1:5000
Application Notes
For IHC-Paraffin, HIER pH 6 retrieval is recommended.

Packaging, Storage & Formulations

Storage
Store at 4C short term. Aliquot and store at -20C long term. Avoid freeze-thaw cycles.
Buffer
Lyophilized from a 0.2 um filtered solution in PBS with Trehalose
Preservative
No Preservative
Concentration
LYOPH
Purity
Protein A purified
Reconstitution Instructions
Centrifuge the vial of lyophilized antibody at 12,000 x g for 20 seconds. Reconstitute by adding sterile, distilled water to achieve a final antibody concentration of 1mg/ml.

Alternate Names for Secretagogin Antibody (CL0273) - Azide and BSA Free

  • CALBL
  • DJ501N12.8
  • SCGN
  • SECRET
  • Secretagogin
  • secretagogin, EF-hand calcium binding protein
  • SECRETsecretagogin
  • SEGN
  • Setagin

Background

The encoded protein is a secreted calcium-binding protein which is found in the cytoplasm. It is related to calbindin D-28K and calretinin. This protein is thought to be involved in KCL-stimulated calcium flux and cell proliferation.

Limitations

This product is for research use only and is not approved for use in humans or in clinical diagnosis. Primary Antibodies are guaranteed for 1 year from date of receipt.

Customers Who Viewed This Item Also Viewed...

NBP1-88220
Species: Hu, Mu, Rt
Applications: ICC/IF, IHC,  IHC-P, KD, WB
NBP1-87102
Species: Hu, Mu, Rt
Applications: ICC/IF, IHC,  IHC-P, WB
MAB1417
Species: Bv, Hu, Mu
Applications: ICC, IHC
NBP2-50028
Species: Bv, Hu, Mu, Rt
Applications: ICC/IF, IHC-FrFl, IHC,  IHC-P, WB
NB300-653
Species: Ch, Fe, Hu, Pm, Mu, Rt
Applications: ELISA, ICC/IF, IHC, IHC-Fr,  IHC-P, IP, WB
NB110-58870
Species: Hu, Mu, Rt
Applications: ICC/IF, IHC, KD, Simple Western, WB
267-N3
Species: Hu
Applications: BA
NBP1-33714
Species: Hu, Mu, Rt, Ze
Applications: ICC/IF, IHC-WhMt, IHC, IHC-Fr,  IHC-P, Simple Western, WB
NB500-487
Species: Bv, Hu, Mu, Rt
Applications: IHC,  IHC-P, IP, WB
NBP3-09392
Species: Hu, Mu
Applications: WB
NBP1-76729
Species: Hu
Applications: ELISA, ICC/IF, WB
NBP2-25162
Species: Bv, Eq, Hu, Mu, Po, Rt
Applications: ICC/IF, IHC, PLA, WB
MAB2676
Species: Hu, Mu, Rt
Applications: ICC, WB
H00002023-M01
Species: Fe, Hu
Applications: ELISA, Flow, Func, ICC/IF, IHC,  IHC-P, IP, WB
NB120-15160
Species: Hu, Mu, Rt
Applications: ICC/IF, IHC,  IHC-P, WB
NB100-81898
Species: Hu, Po
Applications: ICC/IF, IHC,  IHC-P, WB
NB120-11427
Species: Fe, Hu, Mu, Rt
Applications: ELISA, ICC/IF, IHC-FrFl, IHC, IHC-Fr,  IHC-P, IP, WB
NBP1-46535
Species: Hu, Mu, Rb, Rt, Xp
Applications: ICC/IF, IHC-FrFl, IHC, IHC-Fr,  IHC-P, WB
AF6237
Species: Hu
Applications: Simple Western, WB
NBP3-44031
Species: Hu
Applications: IHC

Publications for Secretagogin Antibody (NBP3-44031) (0)

There are no publications for Secretagogin Antibody (NBP3-44031).
By submitting your publication information earn gift cards and discounts for future purchases.

Reviews for Secretagogin Antibody (NBP3-44031) (0)

There are no reviews for Secretagogin Antibody (NBP3-44031). By submitting a review you will receive an Amazon e-Gift Card or Novus Product Discount.
  • Review with no image -- $10/€7/£6/$10 CAD/¥70 Yuan/¥1110 Yen
  • Review with an image -- $25/€18/£15/$25 CAD/¥150 Yuan/¥2500 Yen

Product General Protocols

Find general support by application which include: protocols, troubleshooting, illustrated assays, videos and webinars.

FAQs for Secretagogin Antibody (NBP3-44031) (0)

There are no specific FAQs related to this product. Read our general customer & technical service FAQs.

Secondary Antibodies

 

Isotype Controls

Additional Secretagogin Products

Research Areas for Secretagogin Antibody (NBP3-44031)

Find related products by research area.

Blogs on Secretagogin

There are no specific blogs for Secretagogin, but you can read our latest blog posts.

Customers Who Bought This Also Bought

Contact Information

Product PDFs

Calculators

Concentration Calculator

The concentration calculator allows you to quickly calculate the volume, mass or concentration of your vial. Simply enter your mass, volume, or concentration values for your reagent and the calculator will determine the rest.

=
÷

Review this Product

Be the first to review our Secretagogin Antibody (CL0273) - Azide and BSA Free and receive a gift card or discount.

Bioinformatics

Gene Symbol SCGN