Secretagogin Antibody (778518) [Unconjugated]

Images

 
Western blot shows lysates of beta TC-6 mouse beta cell insulinoma cell line and human pancreas tissue. PVDF membrane was probed with 1 µg/mL of Mouse Anti-Human Secretagogin Monoclonal Antibody (Catalog # MAB4878) ...read more
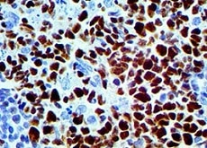
Secretagogin was detected in immersion fixed paraffin-embedded sections of human pancreas using Mouse Anti-Human Secretagogin Monoclonal Antibody (Catalog # MAB4878) at 15 µg/mL overnight at 4 °C. Before incubation ...read more
Simple Western lane view shows lysates of beta TC‑6 mouse beta cell insulinoma cell line and human pancreas tissue, loaded at 0.5 mg/mL. A specific band was detected for Secretagogin at approximately 37 kDa (as ...read more

Product Details

Summary
Reactivity HuSpecies Glossary
Applications WB, Simple Western, IHC
Clone
778518
Clonality
Monoclonal
Host
Mouse
Conjugate
Unconjugated
Concentration
LYOPH

Order Details

Secretagogin Antibody (778518) [Unconjugated] Summary

Immunogen
E. coli-derived recombinant human Secretagogin
Asn164-Pro276
Accession # O76038
Specificity
Detects human Secretagogin in ELISAs and Western Blots. Detects mouse Secretagogin in Western Blots
Source
N/A
Isotype
IgG1
Clonality
Monoclonal
Host
Mouse
Gene
SCGN
Purity Statement
Protein A or G purified from hybridoma culture supernatant
Innovator's Reward
Test in a species/application not listed above to receive a full credit towards a future purchase.

Applications/Dilutions

Dilutions
  • Immunohistochemistry 8-25 ug/mL
  • Simple Western 10 ug/mL
  • Western Blot 1 ug/mL
Reviewed Applications
Read 1 Review rated 5
using
MAB4878 in the following applications:

Packaging, Storage & Formulations

Storage
Use a manual defrost freezer and avoid repeated freeze-thaw cycles.
  • 12 months from date of receipt, -20 to -70 °C as supplied.
  • 1 month, 2 to 8 °C under sterile conditions after reconstitution.
  • 6 months, -20 to -70 °C under sterile conditions after reconstitution.
Buffer
Lyophilized from a 0.2 μm filtered solution in PBS with Trehalose. *Small pack size (SP) is supplied either lyophilized or as a 0.2 µm filtered solution in PBS.
Preservative
No Preservative
Concentration
LYOPH
Reconstitution Instructions
Sterile PBS to a final concentration of 0.5 mg/mL.

Notes

This product is produced by and ships from R&D Systems, Inc., a Bio-Techne brand.

Alternate Names for Secretagogin Antibody (778518) [Unconjugated]

  • CALBL
  • DJ501N12.8
  • SCGN
  • SECRET
  • Secretagogin
  • secretagogin, EF-hand calcium binding protein
  • SECRETsecretagogin
  • SEGN
  • Setagin

Background

Secretagogin (SCGN) is a 32 kDa member of the EF-hand family of Ca-binding proteins. It is expressed in select neurons, as well as neuroendocrine cells and pancreatic islets. Human Secretagogin is 276 amino acids (aa) in length and contains six 35 aa EF-hand domains (aa 12‑276). There is one alternative splice variant that shows a 22 aa substitution for aa 28‑276, and which demonstrates no Ca-binding ability. Secretagogin is known to circulate, presumably released during cell apoptosis. Over aa 164‑276, human Secretagogin is more than 97% aa identical to mouse, porcine and canine Secretagogin.

Limitations

This product is for research use only and is not approved for use in humans or in clinical diagnosis. Primary Antibodies are guaranteed for 1 year from date of receipt.

Customers Who Viewed This Item Also Viewed...

NBP1-88220
Species: Hu, Mu, Rt
Applications: ICC/IF, IHC,  IHC-P, KD, WB
NBP1-87102
Species: Hu, Mu, Rt
Applications: ICC/IF, IHC,  IHC-P, WB
MAB1417
Species: Bv, Hu, Mu
Applications: ICC, IHC
NBP2-50028
Species: Bv, Hu, Mu, Rt
Applications: ICC/IF, IHC-FrFl, IHC,  IHC-P, WB
NB300-653
Species: Ch, Fe, Hu, Pm, Mu, Rt
Applications: ELISA, ICC/IF, IHC, IHC-Fr,  IHC-P, IP, WB
NB110-58870
Species: Hu, Mu, Rt
Applications: ICC/IF, IHC, KD, Simple Western, WB
267-N3
Species: Hu
Applications: BA
NBP1-33714
Species: Hu, Mu, Rt, Ze
Applications: ICC/IF, IHC-WhMt, IHC, IHC-Fr,  IHC-P, Simple Western, WB
NB500-487
Species: Bv, Hu, Mu, Rt
Applications: IHC,  IHC-P, IP, WB
NBP3-09392
Species: Hu, Mu
Applications: WB
NBP1-76729
Species: Hu
Applications: ELISA, ICC/IF, WB
NBP2-25162
Species: Bv, Eq, Hu, Mu, Po, Rt
Applications: ICC/IF, IHC, PLA, WB
MAB2676
Species: Hu, Mu, Rt
Applications: ICC, WB
H00002023-M01
Species: Fe, Hu
Applications: ELISA, Flow, Func, ICC/IF, IHC,  IHC-P, IP, WB
NB120-15160
Species: Hu, Mu, Rt
Applications: ICC/IF, IHC,  IHC-P, WB
NB100-81898
Species: Hu, Po
Applications: ICC/IF, IHC,  IHC-P, WB
NB120-11427
Species: Fe, Hu, Mu, Rt
Applications: ELISA, ICC/IF, IHC-FrFl, IHC, IHC-Fr,  IHC-P, IP, WB
NBP1-46535
Species: Hu, Mu, Rb, Rt, Xp
Applications: ICC/IF, IHC-FrFl, IHC, IHC-Fr,  IHC-P, WB
AF6237
Species: Hu
Applications: Simple Western, WB
MAB4878
Species: Hu
Applications: WB, Simple Western, IHC

Publications for Secretagogin Antibody (MAB4878) (0)

There are no publications for Secretagogin Antibody (MAB4878).
By submitting your publication information earn gift cards and discounts for future purchases.

Review for Secretagogin Antibody (MAB4878) (1) 51

Average Rating: 5
(Based on 1 review)
We have 1 review tested in 1 species: Human.

Reviews using MAB4878:
Filter by Applications
 IHC-P
(1)
All Applications
Filter by Species
Human
(1)
All Species
Images Ratings Applications Species Date Details
Immunohistochemistry-Paraffin Secretagogin MAB4878
Enlarge
5
reviewed by:
Verified Customer
 IHC-P Human 04/05/2022
View

Summary

ApplicationImmunohistochemistry-Paraffin
Sample TestedPancreas tissue
SpeciesHuman
Lot778518

Comments

CommentsIncubated tissue overnight at 4C at 15 µg/mL

Product General Protocols

Find general support by application which include: protocols, troubleshooting, illustrated assays, videos and webinars.

Video Protocols

WB Video Protocol

FAQs for Secretagogin Antibody (MAB4878) (0)

There are no specific FAQs related to this product. Read our general customer & technical service FAQs.

Customers Who Bought This Also Bought

Contact Information

Product PDFs

Calculators

Concentration Calculator

The concentration calculator allows you to quickly calculate the volume, mass or concentration of your vial. Simply enter your mass, volume, or concentration values for your reagent and the calculator will determine the rest.

=
÷

Recent Reviews

5
5
1
4
0
3
0
2
0
1
0

Verified Customer
04/05/2022
Application:  IHC-P
Species: Human

Bioinformatics

Gene Symbol SCGN
Uniprot