SATB1 Antibody (SATB1/2661) - Azide and BSA Free

Images

 
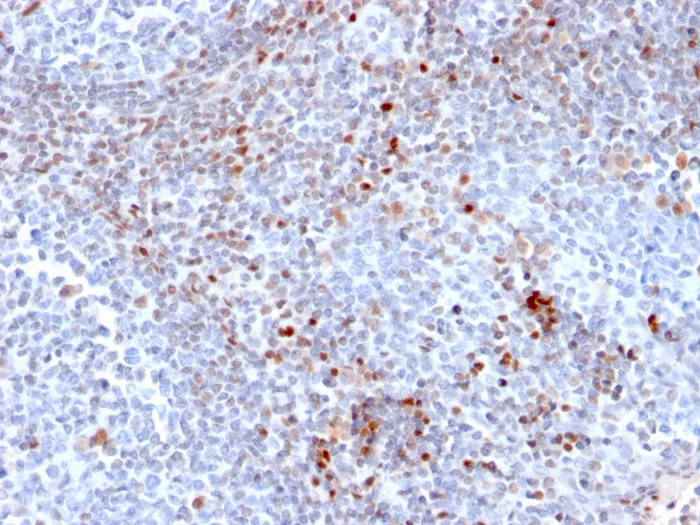
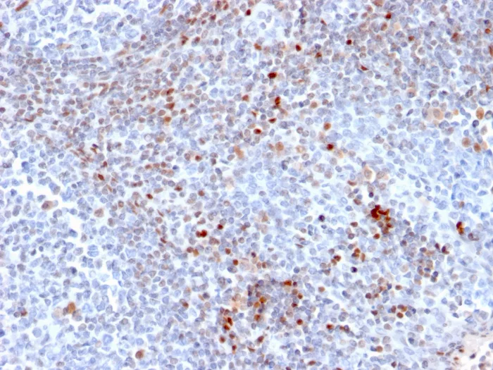
Formalin-fixed, paraffin-embedded human tonsil stained with SATB1 Antibody (SATB1/2661) - Azide and BSA Free.

Product Details

Summary
Reactivity HuSpecies Glossary
Applications IHC
Clone
SATB1/2661
Clonality
Monoclonal
Host
Mouse
Conjugate
Unconjugated
Format
Azide and BSA Free
Concentration
1 mg/ml

Order Details

SATB1 Antibody (SATB1/2661) - Azide and BSA Free Summary

Description
Antibody without azide - store at -20 to -80C. Non-hazardous. No MSDS required.
Immunogen
Recombinant full-length human SATB1 protein
Localization
Nucleus
Isotype
IgG1
Clonality
Monoclonal
Host
Mouse
Gene
SATB1
Purity
Protein A or G purified
Innovator's Reward
Test in a species/application not listed above to receive a full credit towards a future purchase.

Applications/Dilutions

Dilutions
  • Immunohistochemistry-Paraffin 1-2ug/ml for 30 min at RT
Application Notes
Immunohistochemistry-Paraffin 1-2ug/ml for 30 min at RT. Optimal dilution for a specific application should be determined.. Staining of formalin-fixed tissues requires boiling tissue sections in 10mM citrate buffer, pH 6.0, for 10-20 min followed by cooling at RT for 20 minutes

Packaging, Storage & Formulations

Storage
Store at -20 to -80C. Avoid freeze-thaw cycles.
Buffer
10mM PBS
Preservative
No Preservative
Concentration
1 mg/ml
Purity
Protein A or G purified

Alternate Names for SATB1 Antibody (SATB1/2661) - Azide and BSA Free

  • DNA-binding protein SATB1
  • SATB homeobox 1
  • SATB1
  • special AT-rich sequence binding protein 1 (binds to nuclearmatrix/scaffold-associating DNA's)
  • Special AT-rich sequence-binding protein 1

Limitations

This product is for research use only and is not approved for use in humans or in clinical diagnosis. Primary Antibodies are guaranteed for 1 year from date of receipt.

Customers Who Viewed This Item Also Viewed...

H00001523-M01
Species: Hu, Mu, Rt
Applications: ELISA, ICC/IF, IHC,  IHC-P, IP, WB
NBP1-83619
Species: Hu
Applications: IHC,  IHC-P, Simple Western, WB
6507-IL/CF
Species: Hu
Applications: BA
NBP1-19371
Species: Ca, Hu, Mu, Po, Rb, Rt
Applications: Dual ISH-IHC, Flow, ICC/IF, IHC, IHC-Fr,  IHC-P, Simple Western, WB
NB100-56098
Species: Ca, Hu, Mu, Rt
Applications: IHC,  IHC-P, IP, WB
NB100-56114
Species: Ca, Hu, Mu, Rt
Applications: ICC/IF, IHC, IHC-Fr,  IHC-P, IP, WB
NBP1-49045
Species: Mu, Rt
Applications: Cell Depl, CyTOF-ready, Flow, ICC/IF, IHC, IHC-Fr,  IHC-P, IP, InhibTFunc
AF2605
Species: Hu
Applications: ICC, IHC, Simple Western, WB
NB100-56340
Species: Hu, Mu, Rt
Applications: IHC, IHC-Fr,  IHC-P, KO, Simple Western, WB
202-IL
Species: Hu
Applications: BA
M5000
Species: Mu
Applications: ELISA
NB100-309
Species: Hu, Pm, Mu, Rt
Applications: ChIP, ELISA, Flow, ICC/IF, IHC,  IHC-P, IP, KD, PAGE, Single-Cell Western, WB
NB500-174
Species: Hu, Ma, Mar, Mu, Pm, Rt
Applications: ICC/IF, IHC, IHC-Fr,  IHC-P, IP, Simple Western, WB
NBP2-47290
Species: Hu
Applications: ICC/IF, IHC,  IHC-P
NBP1-80306
Species: Av, Hu
Applications: ICC/IF, IHC,  IHC-P, KD, WB
NBP3-27006
Species: Hu
Applications: IHC

Publications for SATB1 Antibody (NBP3-27006) (0)

There are no publications for SATB1 Antibody (NBP3-27006).
By submitting your publication information earn gift cards and discounts for future purchases.

Reviews for SATB1 Antibody (NBP3-27006) (0)

There are no reviews for SATB1 Antibody (NBP3-27006). By submitting a review you will receive an Amazon e-Gift Card or Novus Product Discount.
  • Review with no image -- $10/€7/£6/$10 CAD/¥70 Yuan/¥1110 Yen
  • Review with an image -- $25/€18/£15/$25 CAD/¥150 Yuan/¥2500 Yen

Product General Protocols

Find general support by application which include: protocols, troubleshooting, illustrated assays, videos and webinars.

FAQs for SATB1 Antibody (NBP3-27006) (0)

There are no specific FAQs related to this product. Read our general customer & technical service FAQs.

Customers Who Bought This Also Bought

Contact Information

Product PDFs

Calculators

Concentration Calculator

The concentration calculator allows you to quickly calculate the volume, mass or concentration of your vial. Simply enter your mass, volume, or concentration values for your reagent and the calculator will determine the rest.

=
÷

Review this Product

Be the first to review our SATB1 Antibody (SATB1/2661) - Azide and BSA Free and receive a gift card or discount.

Bioinformatics

Gene Symbol SATB1