S100 calcium binding protein A14 Antibody (S100A14/7402) - Azide and BSA Free

Images

 
Formalin-fixed, paraffin-embedded human normal colon stained with S100 calcium binding protein A14 antibody (S100A14/7402). HIER: Tris/EDTA, pH9.0, 45min. Secondary: HRP-polymer, 30min. DAB, 5min.
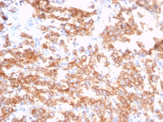
Formalin-fixed, paraffin-embedded human bladder stained with S100 calcium binding protein A14 antibody (S100A14/7402). HIER: Tris/EDTA, pH9.0, 45min. Secondary: HRP-polymer, 30min. DAB, 5min.
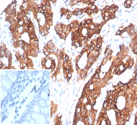
Formalin-fixed, paraffin-embedded human colon carcinoma stained with S100 calcium binding protein A14 antibody (S100A14/7402). Inset: PBS instead of primary antibody; secondary only negative control.

Product Details

Summary
Reactivity HuSpecies Glossary
Applications ELISA, IHC
Clone
S100A14/7402
Clonality
Monoclonal
Host
Mouse
Conjugate
Unconjugated
Format
Azide and BSA Free
Concentration
1 mg/ml

Order Details

S100 calcium binding protein A14 Antibody (S100A14/7402) - Azide and BSA Free Summary

Description
Positive Controls: Human colon, thymus, kidney or liver.

Antibody with azide - store at 2 to 8C. Antibody without azide - store at -20 to -80C. Non-hazardous. No MSDS required.
Immunogen
Recombinant full-length human S100 calcium binding protein A14 protein
Localization
Cytoplasm.
Isotype
IgG2b Kappa
Clonality
Monoclonal
Host
Mouse
Gene
S100A14
Purity
Protein A or G purified
Innovator's Reward
Test in a species/application not listed above to receive a full credit towards a future purchase.

Applications/Dilutions

Dilutions
  • ELISA
  • Immunohistochemistry-Paraffin 1-2 ug/ml
Application Notes
ELISA: For coating, order antibody without BSA

Immunohistochemistry (Formalin-fixed): 1-2ug/ml for 30 minutes. at RT. Staining of formalin-fixed tissues requires heating tissue sections in 10mM Tris with 1mM EDTA, pH 9.0, for 45 min at 95C followed by cooling at RT for 20 minutes.

Optimal dilution for a specific application should be determined.

Packaging, Storage & Formulations

Storage
Store at -20 to -70C. Avoid freeze-thaw cycles.
Buffer
10mM PBS
Preservative
No Preservative
Concentration
1 mg/ml
Purity
Protein A or G purified

Alternate Names for S100 calcium binding protein A14 Antibody (S100A14/7402) - Azide and BSA Free

  • protein S100-A14
  • S100 calcium binding protein A14
  • S100 calcium-binding protein A14
  • S100A15BCMP84breast cancer membrane protein 84
  • S114

Background

S100A14 - S100 calcium binding protein A14

Limitations

This product is for research use only and is not approved for use in humans or in clinical diagnosis. Primary Antibodies are guaranteed for 1 year from date of receipt.

Customers Who Viewed This Item Also Viewed...

NBP1-87103
Species: Hu, Mu
Applications: IHC,  IHC-P, WB
NBP1-87102
Species: Hu, Mu, Rt
Applications: ICC/IF, IHC,  IHC-P, WB
NB100-56559
Species: Hu, Mu
Applications: EM, Flow-IC, ICC/IF, IHC, IHC-Fr,  IHC-P, IP, Simple Western, WB
NBP3-09472
Species: Hu
Applications: WB
H00006275-M01
Species: Hu, Mu
Applications: ELISA, ICC/IF, IHC, WB
AF3059
Species: Mu
Applications: ICC, Simple Western, WB
AF2065
Species: Mu
Applications: ICC, IHC, Simple Western, WB
NBP2-79899
Species: Hu
Applications: CyTOF-ready, Flow, ICC/IF, IHC,  IHC-P, PA, WB
NB200-103
Species: Hu, Mu, Rt, Xp(-), Ye
Applications: CyTOF-ready, ELISA, Flow-IC, Flow, ICC/IF, IHC, IHC-Fr,  IHC-P, IP, WB
AF2957
Species: Hu
Applications: IHC, KO, WB
NBP2-94448
Species: Hu, Mu, Rt
Applications: ELISA, IHC,  IHC-P, WB
DRG00
Species: Hu
Applications: ELISA
294-HG
Species: Hu
Applications: BA
AF2377
Species: Mu
Applications: IHC, Simple Western, WB
AF4874
Species: Hu
Applications: IHC, WB
NBP1-87101
Species: Hu
Applications: ICC/IF, IHC,  IHC-P, WB
NBP1-89388
Species: Hu, Mu, Rt
Applications: ICC/IF, IHC,  IHC-P, Simple Western, WB
NBP1-92361
Species: Hu
Applications: ICC/IF, IHC,  IHC-P, KD, WB
AF1052
Species: Hu
Applications: CyTOF-ready, Flow, IHC, Simple Western, WB
NBP1-80807
Species: Hu
Applications: ICC/IF, IHC,  IHC-P, KD, WB

Publications for S100 calcium binding protein A14 Antibody (NBP3-21129) (0)

There are no publications for S100 calcium binding protein A14 Antibody (NBP3-21129).
By submitting your publication information earn gift cards and discounts for future purchases.

Reviews for S100 calcium binding protein A14 Antibody (NBP3-21129) (0)

There are no reviews for S100 calcium binding protein A14 Antibody (NBP3-21129). By submitting a review you will receive an Amazon e-Gift Card or Novus Product Discount.
  • Review with no image -- $10/€7/£6/$10 CAD/¥70 Yuan/¥1110 Yen
  • Review with an image -- $25/€18/£15/$25 CAD/¥150 Yuan/¥2500 Yen

Product General Protocols

Find general support by application which include: protocols, troubleshooting, illustrated assays, videos and webinars.

FAQs for S100 calcium binding protein A14 Antibody (NBP3-21129) (0)

There are no specific FAQs related to this product. Read our general customer & technical service FAQs.

Secondary Antibodies

 

Isotype Controls

Additional S100 calcium binding protein A14 Products

Research Areas for S100 calcium binding protein A14 Antibody (NBP3-21129)

Find related products by research area.

Blogs on S100 calcium binding protein A14

There are no specific blogs for S100 calcium binding protein A14, but you can read our latest blog posts.

Customers Who Bought This Also Bought

Contact Information

Product PDFs

Calculators

Concentration Calculator

The concentration calculator allows you to quickly calculate the volume, mass or concentration of your vial. Simply enter your mass, volume, or concentration values for your reagent and the calculator will determine the rest.

=
÷

Review this Product

Be the first to review our S100 calcium binding protein A14 Antibody (S100A14/7402) - Azide and BSA Free and receive a gift card or discount.

Bioinformatics

Gene Symbol S100A14