RUNX2/CBFA1 Antibody - BSA Free

Images

 
Western Blot: RUNX2/CBFA1 Antibody [NBP2-24755] - Analysis of human RUNX2 in Saos-2 cell lysate in the 1) absence and 2) presence of immunizing peptide using RUNX2 antibody at 2 ug/mL.
Western Blot: Rabbit Polyclonal RUNX2/CBFA1 Antibody [IMGENEX: IMG-5985A] [NBP2-24755] - Bone lysate homogenate from goats. SDS-PAGE with 0.3 mg of total protein from the homogenate per well. RUNX/CBFA1, NBP2-24755 was ...read more
The histological sections were deparaffinized, peroxidase blocked in methanol and 30% hydrogen peroxide (9:1), and antigen retrieval was performed with porcine gastric pepsin and HCl at pH 3.0 in an oven at 37°C for 30 ...read more

Product Details

Summary
Reactivity Hu, Mu, Ch, Eq, Gt, Pm, Rt, CaSpecies Glossary
Applications WB, IHC
Clonality
Polyclonal
Host
Rabbit
Conjugate
Unconjugated
Format
BSA Free
Concentration
1.0 mg/ml

Order Details

View Available Formulations
Catalog# & Formulation Size Price

RUNX2/CBFA1 Antibody - BSA Free Summary

Description
Novus Biologicals Rabbit RUNX2/CBFA1 Antibody - BSA Free (NBP2-24755) is a polyclonal antibody validated for use in IHC and WB. Anti-RUNX2/CBFA1 Antibody: Cited in 5 publications. All Novus Biologicals antibodies are covered by our 100% guarantee.
Immunogen
This RUNX2/CBFA1 Antibody was developed against a synthetic peptide corresponding to somewhere between amino acids 250-300 of human RUNX2 was used as immunogen for RUNX2/CBFA1 Antibody. RUNX2 and RUNX1 share an approximate 66% homology in peptide sequence used as immunogen.
Predicted Species
Rat (90%), Canine (90%). Backed by our 100% Guarantee.
Isotype
IgG
Clonality
Polyclonal
Host
Rabbit
Gene
RUNX2
Purity
Protein G purified
Innovator's Reward
Test in a species/application not listed above to receive a full credit towards a future purchase.

Applications/Dilutions

Dilutions
  • Immunohistochemistry Validated for IHC from a verified customer review.
  • Immunohistochemistry-Paraffin Validated from IHC-P from a verified customer review.
  • Western Blot 1 - 3 ug/mL
Theoretical MW
56.6 kDa.
Disclaimer note: The observed molecular weight of the protein may vary from the listed predicted molecular weight due to post translational modifications, post translation cleavages, relative charges, and other experimental factors.
Reviewed Applications
Read 2 Reviews rated 5
using
NBP2-24755 in the following applications:

Publications
Read Publications using
NBP2-24755 in the following applications:

Reactivity Notes

Goat reactivity reported from a verified customer review.

Packaging, Storage & Formulations

Storage
Store at -20C. Avoid freeze-thaw cycles.
Buffer
PBS
Preservative
0.05% Sodium Azide
Concentration
1.0 mg/ml
Purity
Protein G purified

Alternate Names for RUNX2/CBFA1 Antibody - BSA Free

  • Acute myeloid leukemia 3 protein
  • CBFA1
  • CBF-alpha-1
  • CCD1
  • CCDAML3
  • CLCD
  • Core-binding factor subunit alpha-1
  • core-binding factor, runt domain, alpha subunit 1
  • MGC120023
  • ML3
  • oncogene AML-3
  • OSF2
  • OSF-2
  • osteoblast-specific transcription factor 2
  • PEA2aA
  • PEA2-alpha A
  • PEBP2A
  • PEBP2aA
  • PEBP2-alpha A
  • polyomavirus enhancer-binding protein 2 alpha A subunit
  • runt domain, alpha subunit 1
  • runt related transcription factor 2
  • runt-related transcription factor 2
  • RUNX2
  • SL3/AKV core-binding factor alpha A subunit
  • SL3-3 enhancer factor 1 alpha A subunit

Background

Runt-related transcription factor 2 (RUNX2), also known as CBFA1, AML-3, PEBP-2alphaA, and OSF-2, is a transcription factor that places a critical role in osteoblast differentiation and bone development (1-3). RUNX2 is a DNA-binding protein that belongs to the RUNX family which share a common runt domain (3). RUNX2 has two main isoforms which vary based on the two promoter regions (3). The main canonical isoform (P1) has MASN/DS at its N-terminus while the other (P2) isoform includes a MRIPV pentapeptide at its N-terminus (3). The RUNX2 P1 isoform has a theoretical molecular weight of 56 kDa and is synthesized as a 521 amino acid (aa) protein containing multiple domains. Specifically, RUNX2 contains transactivation domains (AD1, 2 and 3), a glutamine/alanine (Q/A)-rich domain, a runt homology domain (RHD), a nuclear localization signal (NLS), a proline/serine/threonine (PST)-rich domain, a nuclear matrix targeting signal (NMTS), a repression domain (RD), and a VWRPY region (3). RUNX2 is a heterodimer of an alpha and beta subunit where the alpha subunit binds DNA through the runt domain and the binding affinity is increased through heterodimerization (4).

Functionally, RUNX2 promotes the expression of osteoblast-specific genes vital for the osteoblast differentiation and proliferation process including type I collagen, osteocalcin (OCN), and alkaline phosphatase (APC) (1, 3). Further evidence for the role of RUNX2 is highlighted by a study of Runx2-/-mice which completely lack osteoblasts (4). Additionally, RUNX2 is also required for chondrocyte maturation, which are the cells responsible for cartilage formation (1, 3, 5). Given the role of RUNX2 in bone and cartilage maturation and formation, it is clear that defects or mutations in RUNX2 cause various bone and bone-related diseases (3, 6, 7). For instance, cleidocranial dysplasia (CCD), which presents with delayed cranial suture closure phenotypes, hypoplastic clavicles, extra teeth, and short stature, is caused by haploinsufficiency in RUNX2 (2, 3, 6). Furthermore, metaphyseal dysplasia with maxillary hypoplasia and brachydactyly (MDMHB) is a bone dysplasia disorder with a phenotype of abnormalities in the long bones, an underdeveloped jawbone, and short fingers that is caused by a duplication in RUNX2 (6). Finally, RUNX2 has been shown to be upregulated in mouse models of the joint disorder osteoarthritis (OA) and may be a potential molecular target for disease treatment (7).

Alternative names for RUNX2 include Acute myeloid leukemia 3 protein CBFA1, CBF-alpha-1, CCD1, CCDAML3, CLCD, Core-binding factor subunit alpha-1, MGC120023, ML3, oncogene AML-3, OSF2, osteoblast-specific transcription factor 2, PEA2aA, PEA2-alpha A, PEBP2A, polyomavirus enhancer-binding protein 2 alpha A subunit, runt related transcription factor 2, SL3/AKV core-binding factor alpha A subunit, and SL3-3 enhancer factor 1 alpha A subunit.

References

1. Ferreira, L. B., Gimba, E., Vinagre, J., Sobrinho-Simoes, M., & Soares, P. (2020). Molecular Aspects of Thyroid Calcification. International journal of molecular sciences. https://doi.org/10.3390/ijms21207718

2. Kim, W. J., Shin, H. L., Kim, B. S., Kim, H. J., & Ryoo, H. M. (2020). RUNX2-modifying enzymes: therapeutic targets for bone diseases. Experimental & molecular medicine. https://doi.org/10.1038/s12276-020-0471-4

3. Vimalraj, S., Arumugam, B., Miranda, P. J., & Selvamurugan, N. (2015). Runx2: Structure, function, and phosphorylation in osteoblast differentiation. International journal of biological macromolecules. https://doi.org/10.1016/j.ijbiomac.2015.04.008

4. Uniprot (Q13950)

5. Komori T. (2017). Roles of Runx2 in Skeletal Development. Advances in experimental medicine and biology. https://doi.org/10.1007/978-981-10-3233-2_6

6. Moffatt, P., Ben Amor, M., Glorieux, F. H., Roschger, P., Klaushofer, K., Schwartzentruber, J. A., Paterson, A. D., Hu, P., Marshall, C., FORGE Canada Consortium, Fahiminiya, S., Majewski, J., Beaulieu, C. L., Boycott, K. M., & Rauch, F. (2013). Metaphyseal dysplasia with maxillary hypoplasia and brachydactyly is caused by a duplication in RUNX2. American journal of human genetics. https://doi.org/10.1016/j.ajhg.2012.12.001

7. Chen, D., Kim, D. J., Shen, J., Zou, Z., & O'Keefe, R. J. (2019). Runx2 plays a central role in Osteoarthritis development. Journal of orthopaedic translation. https://doi.org/10.1016/j.jot.2019.11.008

Limitations

This product is for research use only and is not approved for use in humans or in clinical diagnosis. Primary Antibodies are guaranteed for 1 year from date of receipt.

Customers Who Viewed This Item Also Viewed...

MAB1419
Species: Hu, Rt
Applications: CyTOF-ready, ICC, IHC, ICFlow
355-BM
Species: Hu, Mu, Rt
Applications: BA
AF808
Species: Mu
Applications: ELISA(Cap), ELISA(Det), ELISA(Sta), ICC, IHC, Neut, WB
MAB7547
Species: Hu
Applications: ICC, WB
NBP2-92749
Species: Hu, Mu
Applications: ELISA, WB
NB110-3638
Species: Hu, Mu, Rt
Applications: ELISA, Flow, ICC/IF, IHC, IHC-Fr,  IHC-P, RI, WB
DCC270
Species: Hu
Applications: ELISA
NBP1-89133
Species: Hu
Applications: ICC/IF, IHC,  IHC-P, WB
NBP3-25358
Species: Hu, Mu, Rt
Applications: IHC,  IHC-P, WB
DPI00
Species: Hu
Applications: ELISA
NBP3-15742
Species: Hu, Mu, Rt
Applications: IHC,  IHC-P, WB
4014-SP
Species: Hu
Applications: BA
DY805
Species: Hu
Applications: ELISA
355-BM
Species: Hu, Mu, Rt
Applications: BA
AF1230
Species: Hu, Mu, Rt
Applications: IHC, KO, WB
NBP1-89105
Species: Hu
Applications: ICC/IF, IHC,  IHC-P, WB
462-TEC
Species: Mu
Applications: BA
MAB7665
Species: Hu
Applications: IHC, WB
AF3075
Species: Hu
Applications: ICC, Simple Western, WB
NBP2-24755
Species: Hu, Mu, Ch, Eq, Gt, Pm, Rt, Ca
Applications: WB, IHC
Supplier Logo

Publications for RUNX2/CBFA1 Antibody (NBP2-24755)(5)

We have publications tested in 2 confirmed species: Human, Mouse.

We have publications tested in 3 applications: KD, WB, Western Blot.


Filter By Application
KD
(1)
WB
(3)
Western Blot
(1)
All Applications
Filter By Species
Human
(2)
Mouse
(2)
All Species

Reviews for RUNX2/CBFA1 Antibody (NBP2-24755) (2) 52

Average Rating: 5
(Based on 2 reviews)
We have 2 reviews tested in 1 species: Goat.

Reviews using NBP2-24755:
Filter by Applications
 IHC-P
(1)
WB
(1)
All Applications
Filter by Species
Goat
(2)
All Species
Images Ratings Applications Species Date Details
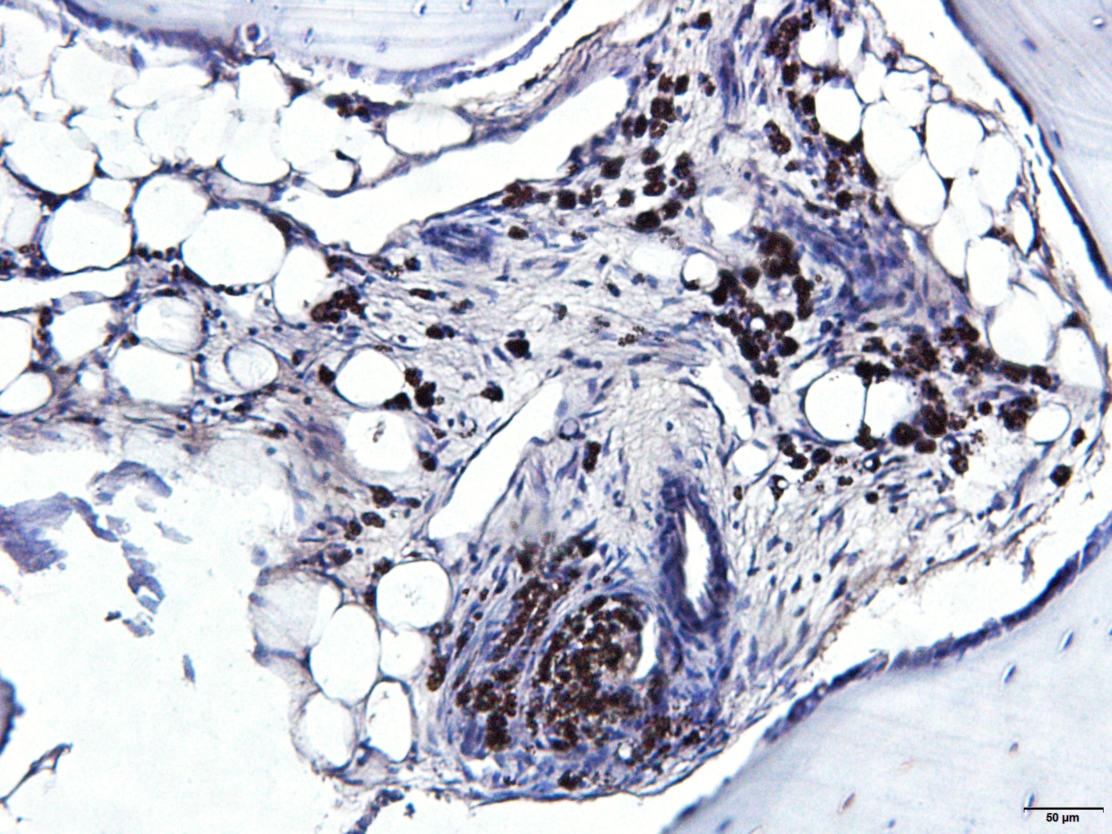
Immunohistochemistry-Paraffin RUNX2/CBFA1 NBP2-24755
Enlarge
5
reviewed by:
Verified Customer
 IHC-P Goat 07/29/2025
View

Summary

ApplicationImmunohistochemistry-Paraffin
Sample TestedBone Extracts,Bone
SpeciesGoat
Lot05172376B-3

Comments

CommentsValidation of an immunohistochemistry technique for goats
***Bio-Techne Response: This review reflects a new species or application tested on a primary antibody.***
Western Blot RUNX2/CBFA1 NBP2-24755
Enlarge
5
reviewed by:
Verified Customer
WB Goat 05/13/2025
View

Summary

ApplicationWestern Blot
Sample TestedBone Extracts,Bone
SpeciesGoat
Lot05172376B-3

Comments

Comments***Bio-Techne Response: This review reflects a new species or application tested on a primary antibody.***
Quantification of RUNX2 in bone graft in the tibia of intrailiac cellularized goats at different times compared with tibial autograft and untreated bone defect. Evaluation of pre-cellularized graft in the iliac crest in the treatment of bone defects in the tibia of goats. G1: cellularized graft for 4 weeks applied to the tibial bone defect, G2: cellularized graft for 6 weeks applied to the tibial bone defect, G3: cellularized graft for 8 weeks applied to the tibial bone defect, G4: tibial autograft and G5: untreated bone defect. All groups were evaluated 120 days after graft implantation.

Product General Protocols

Find general support by application which include: protocols, troubleshooting, illustrated assays, videos and webinars.

Video Protocols

WB Video Protocol

FAQs for RUNX2/CBFA1 Antibody (NBP2-24755). (Showing 1 - 1 of 1 FAQs).

  1. We would like an anti-RUNX2 for IHC-P which share cross reactivity with Rat, but not with Human.
    • We don't have any data for our RUNX2 antibodies that confirms they will NOT detect the human protein. When we can confirm that an antibody will not react with a certain species, we display a (-) sign on the datasheet. Otherwise, if the species is not listed it means that it has not been tested.

Secondary Antibodies

 

Isotype Controls

Additional RUNX2/CBFA1 Products

Research Areas for RUNX2/CBFA1 Antibody (NBP2-24755)

Find related products by research area.

Blogs on RUNX2/CBFA1

There are no specific blogs for RUNX2/CBFA1, but you can read our latest blog posts.

Customers Who Bought This Also Bought

Contact Information

Product PDFs

Calculators

Concentration Calculator

The concentration calculator allows you to quickly calculate the volume, mass or concentration of your vial. Simply enter your mass, volume, or concentration values for your reagent and the calculator will determine the rest.

=
÷

Recent Reviews

5
5
2
4
0
3
0
2
0
1
0

Verified Customer
07/29/2025
Application:  IHC-P
Species: Goat

Verified Customer
05/13/2025
Application: WB
Species: Goat

Bioinformatics

Gene Symbol RUNX2
Uniprot