RNASE7 Antibody (CL0224) - Azide and BSA Free

Images

 
Orthogonal Strategies: Analysis in human skin and liver tissues using NBP3-43953 antibody. Corresponding RNASE7 RNA-seq data are presented for the same tissues.
Lane 1: Marker [kDa] Lane 2: Negative control (vector only transfected HEK293T lysate) Lane 3: RNASE7 Over-expression Lysate (Co-expressed with a C-terminal myc-DDK tag (~3.1 kDa) in mammalian HEK293T cells)
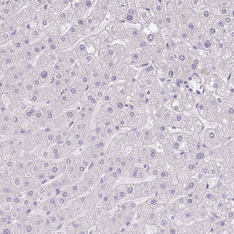
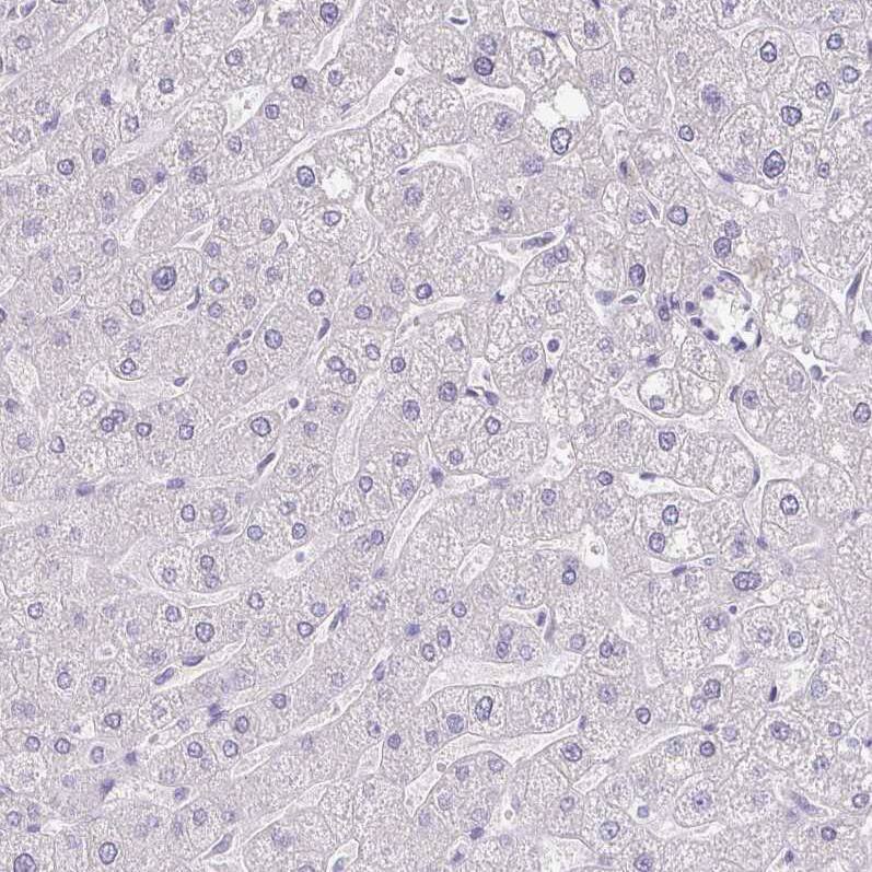
Staining of human liver shows no positivity in hepatocytes as expected.
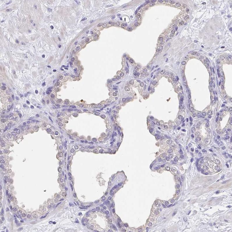
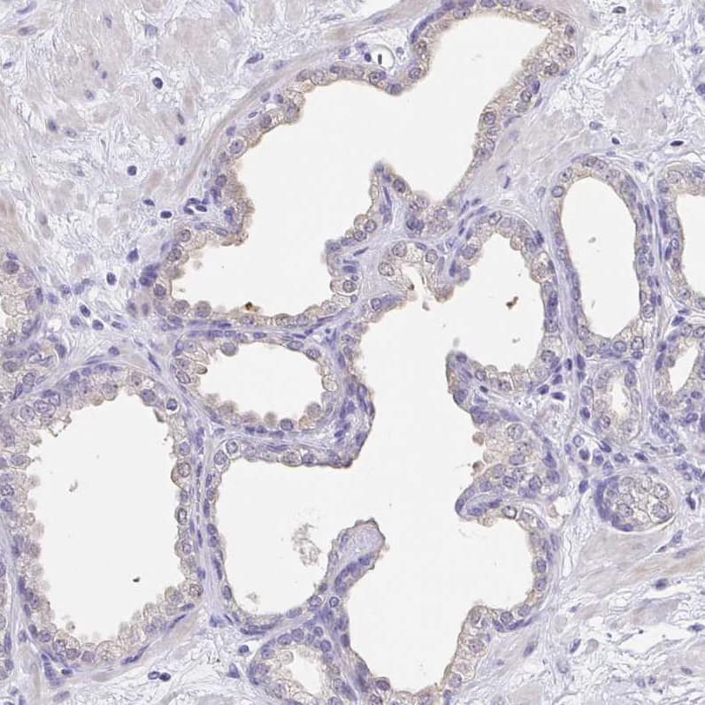
Staining of human prostate shows no positivity in glandular cells as expected.
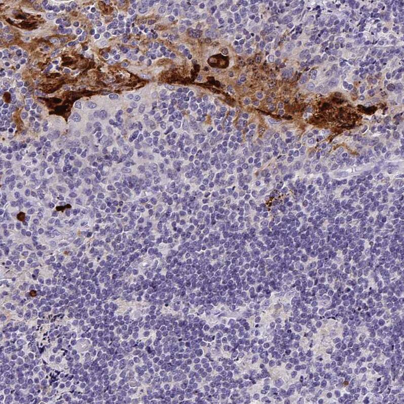
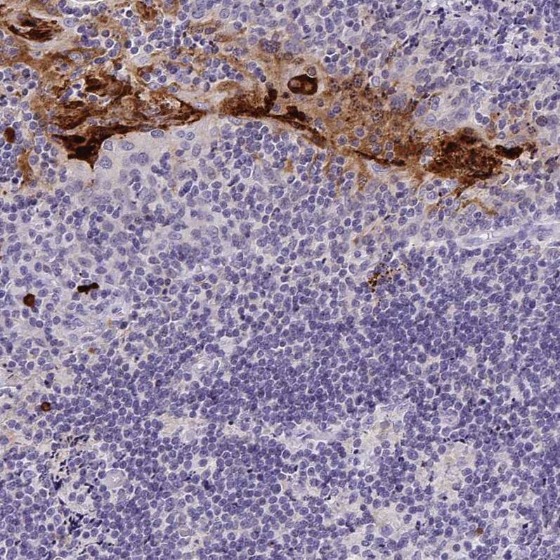
Staining of human tonsil shows strong positivity in squamous epithelial cells.
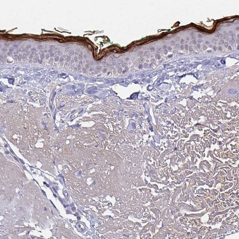
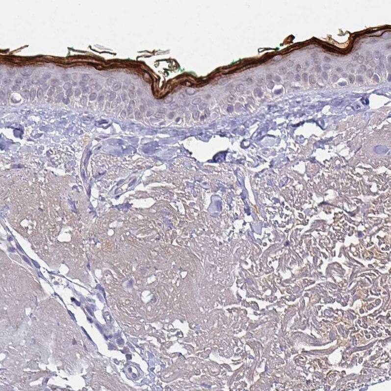
Staining of human skin shows strong positivity in squamous epithelial cells.

Product Details

Summary
Reactivity HuSpecies Glossary
Applications WB, IHC
Clone
CL0224
Clonality
Monoclonal
Host
Mouse
Conjugate
Unconjugated
Format
Azide and BSA Free
Concentration
LYOPH
Validated by:
       

Orthogonal Strategies

 

Order Details

RNASE7 Antibody (CL0224) - Azide and BSA Free Summary

Description
Novus Biologicals Mouse RNASE7 Antibody (CL0224) - Azide and BSA Free (NBP2-52884) is a monoclonal antibody validated for use in IHC and WB. All Novus Biologicals antibodies are covered by our 100% guarantee.
Immunogen
This antibody was generated using a recombinant protein sequence of Q9H1E1, with the exact immunogen sequence remaining proprietary.
Isotype
IgG2a
Clonality
Monoclonal
Host
Mouse
Gene
RNASE7
Purity
Protein A purified
Innovator's Reward
Test in a species/application not listed above to receive a full credit towards a future purchase.

Applications/Dilutions

Dilutions
  • Immunohistochemistry-Paraffin 1:50 - 1:200
  • Western Blot 1 ug/ml
Application Notes
For IHC-Paraffin, HIER pH 6 retrieval is recommended.

Packaging, Storage & Formulations

Storage
Store at 4C short term. Aliquot and store at -20C long term. Avoid freeze-thaw cycles.
Buffer
Lyophilized from a 0.2 um filtered solution in PBS with Trehalose
Preservative
No Preservative
Concentration
LYOPH
Purity
Protein A purified
Reconstitution Instructions
Centrifuge the vial of lyophilized antibody at 12,000 x g for 20 seconds. Reconstitute by adding sterile, distilled water to achieve a final antibody concentration of 1mg/ml.

Alternate Names for RNASE7 Antibody (CL0224) - Azide and BSA Free

  • EC 3.1.27
  • EC 3.1.27.-
  • EC 3.1.27.5
  • MGC133220
  • ribonuclease 7
  • ribonuclease, RNase A family, 7
  • RNase 7
  • SAP-2
  • Skin-derived antimicrobial protein 2

Background

RNASE7 is a member of the RNase A superfamily that has broad-spectrum antimicrobial activity and ribonuclease activity (Harder and Schroder, 2002 [PubMed 12244054]; Zhang et al., 2003 [PubMed 12527768])

Limitations

This product is for research use only and is not approved for use in humans or in clinical diagnosis. Primary Antibodies are guaranteed for 1 year from date of receipt.

Customers Who Viewed This Item Also Viewed...

AF2758
Species: Hu
Applications: IHC, WB
NB100-56559
Species: Hu, Mu
Applications: EM, Flow-IC, ICC/IF, IHC, IHC-Fr,  IHC-P, IP, Simple Western, WB
NBP2-33778
Species: Hu
Applications: IHC,  IHC-P, WB
AF8520
Species: Hu
Applications: ICC, IP, KO, Simple Western, WB
NBP1-87092
Species: Hu
Applications: ChIP-EXO-SEQ, ICC/IF, IHC,  IHC-P, WB
NBP2-93766
Species: Hu, Mu, Rt
Applications: ELISA, IHC,  IHC-P, WB
DAN00
Species: Hu
Applications: ELISA
NBP2-01264
Species: Hu, Mu, Rt
Applications: Flow, ICC/IF, IHC,  IHC-P, WB
NB100-56722
Species: Ca, Hu, Mu, Rb, Rt
Applications: B/N, DB, ELISA, Flow-CS, Flow, Func, ICC/IF, IP, In vitro, WB
NBP3-17510
Species: Hu
Applications: IHC,  IHC-P
AF1230
Species: Hu, Mu, Rt
Applications: IHC, KO, WB
NB100-56566
Species: Bv, Hu, Ma, Mu, Po, Rt
Applications: B/N, ChIP, CyTOF-ready, DB, Dual ISH-IHC, ELISA(Cap), ELISA, Flow-CS, Flow-IC, Flow, ICC/IF, IHC, IHC-Fr,  IHC-P, In vitro, KD, KO, PAGE, Simple Western, WB
NBP1-87804
Species: Hu
Applications: ICC/IF, IHC,  IHC-P, WB
NBP1-76864
Species: Hu
Applications: ELISA, ICC/IF, IHC,  IHC-P, WB
H00004068-M01
Species: Hu, Mu
Applications: ELISA, Flow, Func, WB
MPTX20
Species: Mu
Applications: ELISA
NBP2-13943
Species: Hu
Applications: ICC/IF, IHC,  IHC-P
NBP3-43953
Species: Hu
Applications: WB, IHC

Publications for RNASE7 Antibody (NBP3-43953) (0)

There are no publications for RNASE7 Antibody (NBP3-43953).
By submitting your publication information earn gift cards and discounts for future purchases.

Reviews for RNASE7 Antibody (NBP3-43953) (0)

There are no reviews for RNASE7 Antibody (NBP3-43953). By submitting a review you will receive an Amazon e-Gift Card or Novus Product Discount.
  • Review with no image -- $10/€7/£6/$10 CAD/¥70 Yuan/¥1110 Yen
  • Review with an image -- $25/€18/£15/$25 CAD/¥150 Yuan/¥2500 Yen

Product General Protocols

Find general support by application which include: protocols, troubleshooting, illustrated assays, videos and webinars.

Video Protocols

WB Video Protocol

FAQs for RNASE7 Antibody (NBP3-43953) (0)

There are no specific FAQs related to this product. Read our general customer & technical service FAQs.

Secondary Antibodies

 

Isotype Controls

Additional RNASE7 Products

Research Areas for RNASE7 Antibody (NBP3-43953)

Find related products by research area.

Blogs on RNASE7

There are no specific blogs for RNASE7, but you can read our latest blog posts.

Customers Who Bought This Also Bought

Contact Information

Product PDFs

Calculators

Concentration Calculator

The concentration calculator allows you to quickly calculate the volume, mass or concentration of your vial. Simply enter your mass, volume, or concentration values for your reagent and the calculator will determine the rest.

=
÷

Review this Product

Be the first to review our RNASE7 Antibody (CL0224) - Azide and BSA Free and receive a gift card or discount.

Bioinformatics

Gene Symbol RNASE7