Ribonuclease Inhibitor Antibody (OTI1B7) - Azide and BSA Free

Images

 
Western Blot: Ribonuclease Inhibitor Antibody (OTI1B7) - Azide and BSA Free [NBP2-73896] - HEK293T cells were transfected with the pCMV6-ENTRY control (Left lane) or pCMV6-ENTRY Ribonuclease Inhibitor (Right lane) cDNA ...read more
Immunocytochemistry/ Immunofluorescence: Ribonuclease Inhibitor Antibody (OTI1B7) - Azide and BSA Free [NBP2-73896] - Staining of COS7 cells transiently transfected by pCMV6-ENTRY Ribonuclease Inhibitor.
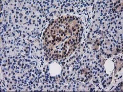
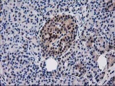
Immunohistochemistry: Ribonuclease Inhibitor Antibody (OTI1B7) - Azide and BSA Free [NBP2-73896] - Staining of paraffin-embedded Human pancreas tissue using anti-Ribonuclease Inhibitor mouse monoclonal antibody.
Flow Cytometry: Ribonuclease Inhibitor Antibody (OTI1B7) - Azide and BSA Free [NBP2-73896] - HEK293T cells transfected with either overexpression plasmid (Red) or empty vector control plasmid (Blue) were immunostaining ...read more
Western Blot: Ribonuclease Inhibitor Antibody (OTI1B7) - Azide and BSA Free [NBP2-73896] - Analysis of extracts (35ug) from 9 different cell lines by using anti-Ribonuclease Inhibitor monoclonal antibody.
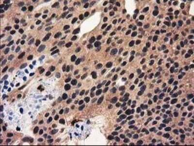
Immunohistochemistry: Ribonuclease Inhibitor Antibody (OTI1B7) - Azide and BSA Free [NBP2-73896] - Staining of paraffin-embedded Adenocarcinoma of Human breast tissue using anti-Ribonuclease Inhibitor mouse monoclonal ...read more
Immunohistochemistry: Ribonuclease Inhibitor Antibody (OTI1B7) - Azide and BSA Free [NBP2-73896] - Staining of paraffin-embedded Adenocarcinoma of Human endometrium tissue using anti-Ribonuclease Inhibitor mouse ...read more
Immunohistochemistry: Ribonuclease Inhibitor Antibody (OTI1B7) - Azide and BSA Free [NBP2-73896] - Staining of paraffin-embedded Carcinoma of Human bladder tissue using anti-Ribonuclease Inhibitor mouse monoclonal ...read more
Immunohistochemistry: Ribonuclease Inhibitor Antibody (OTI1B7) - Azide and BSA Free [NBP2-73896] - Staining of paraffin-embedded Carcinoma of Human prostate tissue using anti-Ribonuclease Inhibitor mouse monoclonal ...read more
Immunohistochemistry: Ribonuclease Inhibitor Antibody (OTI1B7) - Azide and BSA Free [NBP2-73896] - Staining of paraffin-embedded Human lymph node tissue using anti-Ribonuclease Inhibitor mouse monoclonal antibody.
Immunohistochemistry: Ribonuclease Inhibitor Antibody (OTI1B7) - Azide and BSA Free [NBP2-73896] - Staining of paraffin-embedded Human prostate tissue using anti-Ribonuclease Inhibitor mouse monoclonal antibody.

Product Details

Summary
Reactivity HuSpecies Glossary
Applications WB, Flow, ICC/IF, IHC, CyTOF-ready
Clone
OTI1B7
Clonality
Monoclonal
Host
Mouse
Conjugate
Unconjugated
Format
Azide and BSA Free
Concentration
LYOPH

Order Details

Ribonuclease Inhibitor Antibody (OTI1B7) - Azide and BSA Free Summary

Description
Novus Biologicals Mouse Ribonuclease Inhibitor Antibody (OTI1B7) - Azide and BSA Free (NBP2-03254) is a monoclonal antibody validated for use in IHC, WB, Flow and ICC/IF. All Novus Biologicals antibodies are covered by our 100% guarantee.
Immunogen
Full length human recombinant protein of human RNH1 (NP_002930) produced in HEK293T cell.
Isotype
IgG1
Clonality
Monoclonal
Host
Mouse
Gene
RNH1
Purity
Immunogen affinity purified
Innovator's Reward
Test in a species/application not listed above to receive a full credit towards a future purchase.

Applications/Dilutions

Dilutions
  • CyTOF-ready
  • Flow Cytometry 1:100
  • Immunocytochemistry/ Immunofluorescence 1:100
  • Immunohistochemistry 1:150
  • Immunohistochemistry-Paraffin
  • Western Blot 1:500-2000
Theoretical MW
49.8 kDa.
Disclaimer note: The observed molecular weight of the protein may vary from the listed predicted molecular weight due to post translational modifications, post translation cleavages, relative charges, and other experimental factors.

Packaging, Storage & Formulations

Storage
Store at -20C. Avoid freeze-thaw cycles.
Buffer
Lyophilized from PBS (pH 7.3) with 8% Trehalose
Preservative
No Preservative
Concentration
LYOPH
Purity
Immunogen affinity purified
Reconstitution Instructions
we recommend adding 100uL distilled water to a final antibody concentration of about 1 mg/mL. To use this carrier-free antibody for conjugation experiment, we strongly recommend performing another round of desalting process.

Alternate Names for Ribonuclease Inhibitor Antibody (OTI1B7) - Azide and BSA Free

  • Placental ribonuclease inhibitor
  • Placental RNase inhibitor
  • PRI
  • RAIMGC4569
  • ribonuclease inhibitor
  • ribonuclease/angiogenin inhibitor 1MGC18200
  • ribonuclease/angiogenin inhibitor
  • RNHMGC54054

Background

Inhibitor of pancreatic RNase and angiogenin. May also function in the modulation of cellular activities

Limitations

This product is for research use only and is not approved for use in humans or in clinical diagnosis. Primary Antibodies are guaranteed for 1 year from date of receipt.

Customers Who Viewed This Item Also Viewed...

NBP1-87804
Species: Hu
Applications: ICC/IF, IHC,  IHC-P, WB
DAN00
Species: Hu
Applications: ELISA
NBP2-00555
Species: Hu, Mu, Rt
Applications: Flow, ICC/IF, IHC,  IHC-P, WB
NBP2-34294
Species: Hu, Mu, Rt
Applications: Flow, IHC,  IHC-P
DY1707
Species: Hu
Applications: ELISA
NBP1-78249
Species: Hu, Pm, Mu, Po, Pm, Rt
Applications: ELISA, ICC/IF, IHC,  IHC-P, IP, WB
NBP2-48732
Species: Hu
Applications: ICC/IF, IHC,  IHC-P, KD, WB
NBP1-91872
Species: Hu
Applications: IHC,  IHC-P
NBP2-13307
Species: Hu
Applications: IHC,  IHC-P
NBP2-25265
Species: Hu, Mu
Applications: ICC/IF, IHC, IHC-Fr,  IHC-P, Simple Western, WB
7268-CT
Species: Hu
Applications: BA
NB300-560
Species: Av, Bv, Ma, Hu, Mu, Pm, Rt
Applications: IF, IHC, IHC-Fr,  IHC-P, WB
AF3709
Species: Hu
Applications: IHC, Simple Western, WB
202-IL
Species: Hu
Applications: BA
NBP2-02434
Species: Hu, Mu, Rt
Applications: ICC/IF, IHC,  IHC-P, IP, WB
NBP2-33778
Species: Hu
Applications: IHC,  IHC-P, WB
NB100-524
Species: Hu, Mu
Applications: Flow-IC, Flow, ICC/IF, IHC, IHC-Fr,  IHC-P, IP, WB
NBP2-79843
Species: Hu
Applications: CyTOF-ready, ELISA, Flow, ICC/IF, IHC,  IHC-P, PA, WB

Publications for Ribonuclease Inhibitor Antibody (NBP2-73896) (0)

There are no publications for Ribonuclease Inhibitor Antibody (NBP2-73896).
By submitting your publication information earn gift cards and discounts for future purchases.

Reviews for Ribonuclease Inhibitor Antibody (NBP2-73896) (0)

There are no reviews for Ribonuclease Inhibitor Antibody (NBP2-73896). By submitting a review you will receive an Amazon e-Gift Card or Novus Product Discount.
  • Review with no image -- $10/€7/£6/$10 CAD/¥70 Yuan/¥1110 Yen
  • Review with an image -- $25/€18/£15/$25 CAD/¥150 Yuan/¥2500 Yen

Product General Protocols

Find general support by application which include: protocols, troubleshooting, illustrated assays, videos and webinars.

Video Protocols

WB Video Protocol
ICC/IF Video Protocol

FAQs for Ribonuclease Inhibitor Antibody (NBP2-73896) (0)

There are no specific FAQs related to this product. Read our general customer & technical service FAQs.

Customers Who Bought This Also Bought

Contact Information

Product PDFs

Calculators

Concentration Calculator

The concentration calculator allows you to quickly calculate the volume, mass or concentration of your vial. Simply enter your mass, volume, or concentration values for your reagent and the calculator will determine the rest.

=
÷

Review this Product

Be the first to review our Ribonuclease Inhibitor Antibody (OTI1B7) - Azide and BSA Free and receive a gift card or discount.

Bioinformatics

Gene Symbol RNH1