RECQL4 Antibody - BSA Free

Images

 
Western Blot: RECQL4 Antibody [NBP2-47310] - Analysis in human cell line U-2 OS.
Immunocytochemistry/ Immunofluorescence: RECQL4 Antibody [NBP2-47310] - Staining of human cell line A-431 shows localization to nucleoplasm. Antibody staining is shown in green.
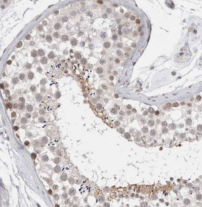
Staining of human testis shows moderate nuclear and cytoplasmic positivity in cells in seminiferous ducts.
Staining of human tonsil shows strong nuclear positivity in squamous epithelial cells.
Staining of human stomach shows strong nuclear positivity in glandular cells.
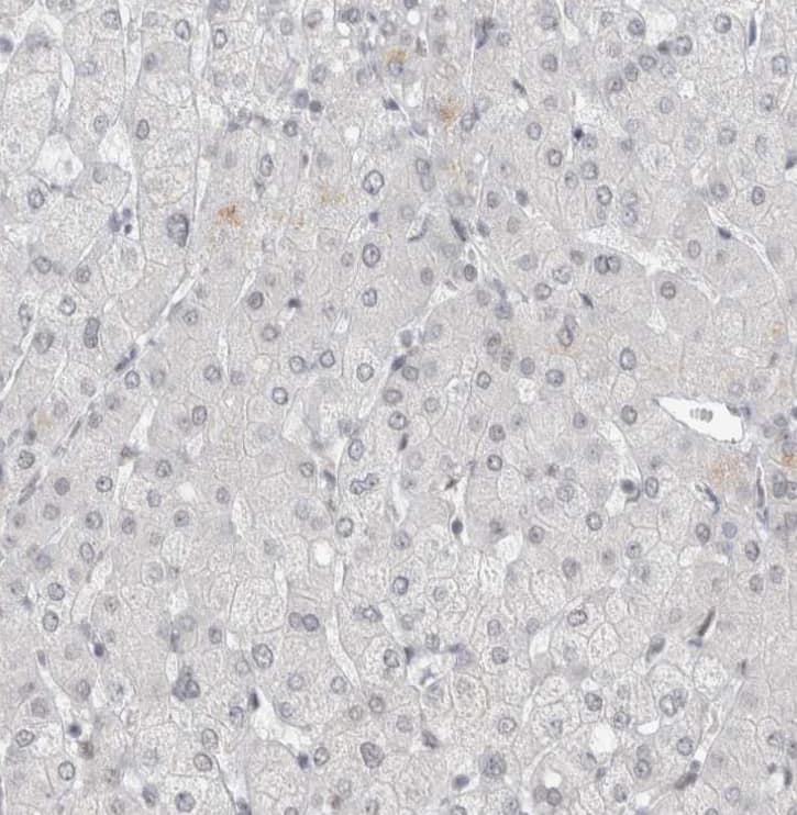
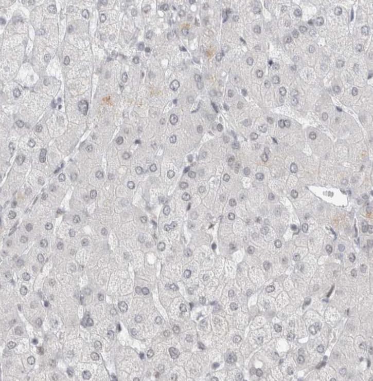
Staining of human liver shows no positivity in hepatocytes as expected.

Product Details

Summary
Reactivity HuSpecies Glossary
Applications WB, ICC/IF, IHC
Clonality
Polyclonal
Host
Rabbit
Conjugate
Unconjugated
Format
BSA Free

Order Details

View Available Formulations
Catalog# & Formulation Size Price

RECQL4 Antibody - BSA Free Summary

Immunogen
This antibody was developed against a recombinant protein corresponding to amino acids: WLQRCHSEVPDFLGAPKACRPDLGSEESQLLIPGESAVLGPGAGSQGPEASAFQEVSIRVGSPQPSSSGGEKRRWNEEPWESPAQVQQESSQAGPPSEGAGAVAVEEDPPGE
Isotype
IgG
Clonality
Polyclonal
Host
Rabbit
Gene
RECQL4
Purity
Affinity purified
Innovator's Reward
Test in a species/application not listed above to receive a full credit towards a future purchase.

Applications/Dilutions

Dilutions
  • Immunocytochemistry/ Immunofluorescence 0.25-2 ug/ml
  • Immunohistochemistry 1:20 - 1:50
  • Immunohistochemistry-Paraffin 1:20 - 1:50
  • Western Blot 0.04-0.4 ug/ml
Application Notes
IHC-Paraffin, HIER pH 6 retrieval is recommended. ICC/IF, Fixation Permeabilization: Use PFA/Triton X-100.
Control Peptide
RECQL4 Protein (NBP2-47310PEP)

Packaging, Storage & Formulations

Storage
Store at 4C short term. Aliquot and store at -20C long term. Avoid freeze-thaw cycles.
Buffer
PBS (pH 7.2) and 40% Glycerol
Preservative
0.02% Sodium Azide
Purity
Affinity purified

Alternate Names for RECQL4 Antibody - BSA Free

  • DNA helicase, RecQ-like type 4
  • DNA helicase, RecQ-like, type 4
  • EC 3.6.4.12
  • RecQ protein-like 4RTS
  • RecQ4
  • RECQ4ATP-dependent DNA helicase Q4

Background

DNA-dependent ATPase. May modulate chromosome segregation

Limitations

This product is for research use only and is not approved for use in humans or in clinical diagnosis. Primary Antibodies are guaranteed for 1 year from date of receipt.

Customers Who Viewed This Item Also Viewed...

NB100-214
Species: Hu, Mu
Applications: IP, WB
NB100-471
Species: Hu
Applications: ChIP, ICC/IF, IHC, IP, Simple Western, WB
NB100-619
Species: Hu
Applications: IHC,  IHC-P, IP, WB
NBP2-13962
Species: Hu
Applications: IHC,  IHC-P, WB
NB100-56326
Species: Hu, Mu
Applications: ICC/IF, IHC,  IHC-P, WB
NBP1-83438
Species: Hu
Applications: ICC/IF, IHC,  IHC-P
NB200-103
Species: Hu, Mu, Rt, Xp(-), Ye
Applications: CyTOF-ready, ELISA, Flow-IC, Flow, ICC/IF, IHC, IHC-Fr,  IHC-P, IP, WB
MAB6495
Species: Hu
Applications: ICC, Simple Western, WB
H00004176-M01
Species: Hu
Applications: ELISA, ICC/IF, IHC,  IHC-P, PLA, WB
NBP1-33169
Species: Hu, Mu
Applications: WB
NBP1-97768
Species: Hu, Mu, Rt
Applications: PEP-ELISA, WB
NBP1-85723
Species: Hu
Applications: ICC/IF, IHC,  IHC-P, WB
NBP2-27335
Species: Hu, Mu, Rt(-)
Applications: CyTOF-ready, Flow, ICC/IF, WB
NBP2-19804
Species: Hu, Mu
Applications: ICC/IF, IHC,  IHC-P, WB
NB100-304
Species: Bt, Bv, Ca, Fi, Gt, Hu, Mu, Pm, Rt
Applications: ChIP, ChIP, Flow-IC, Flow, IB, ICC/IF, IHC, IHC-Fr,  IHC-P, IP, ISH, KD, KO, WB
MAB3219
Species: Hu, Mu, Rt
Applications: WB
NB100-217
Species: Hu, Mu
Applications: IP, WB
NB100-309
Species: Hu, Pm, Mu, Rt
Applications: ChIP, ELISA, Flow, ICC/IF, IHC,  IHC-P, IP, KD, PAGE, Single-Cell Western, WB
NBP1-31260
Species: Hu, Mu, Rt
Applications: ICC/IF, IHC,  IHC-P, WB
NBP2-47310
Species: Hu
Applications: WB, ICC/IF, IHC

Publications for RECQL4 Antibody (NBP2-47310) (0)

There are no publications for RECQL4 Antibody (NBP2-47310).
By submitting your publication information earn gift cards and discounts for future purchases.

Reviews for RECQL4 Antibody (NBP2-47310) (0)

There are no reviews for RECQL4 Antibody (NBP2-47310). By submitting a review you will receive an Amazon e-Gift Card or Novus Product Discount.
  • Review with no image -- $10/€7/£6/$10 CAD/¥70 Yuan/¥1110 Yen
  • Review with an image -- $25/€18/£15/$25 CAD/¥150 Yuan/¥2500 Yen

Product General Protocols

Find general support by application which include: protocols, troubleshooting, illustrated assays, videos and webinars.

Video Protocols

WB Video Protocol
ICC/IF Video Protocol

FAQs for RECQL4 Antibody (NBP2-47310) (0)

There are no specific FAQs related to this product. Read our general customer & technical service FAQs.

Secondary Antibodies

 

Isotype Controls

Additional RECQL4 Products

Research Areas for RECQL4 Antibody (NBP2-47310)

Find related products by research area.

Blogs on RECQL4

There are no specific blogs for RECQL4, but you can read our latest blog posts.

Customers Who Bought This Also Bought

Contact Information

Product PDFs

Calculators

Concentration Calculator

The concentration calculator allows you to quickly calculate the volume, mass or concentration of your vial. Simply enter your mass, volume, or concentration values for your reagent and the calculator will determine the rest.

=
÷

Review this Product

Be the first to review our RECQL4 Antibody - BSA Free and receive a gift card or discount.

Bioinformatics

Gene Symbol RECQL4