NRSF Antibody (CL0381) - Azide and BSA Free

Images

 
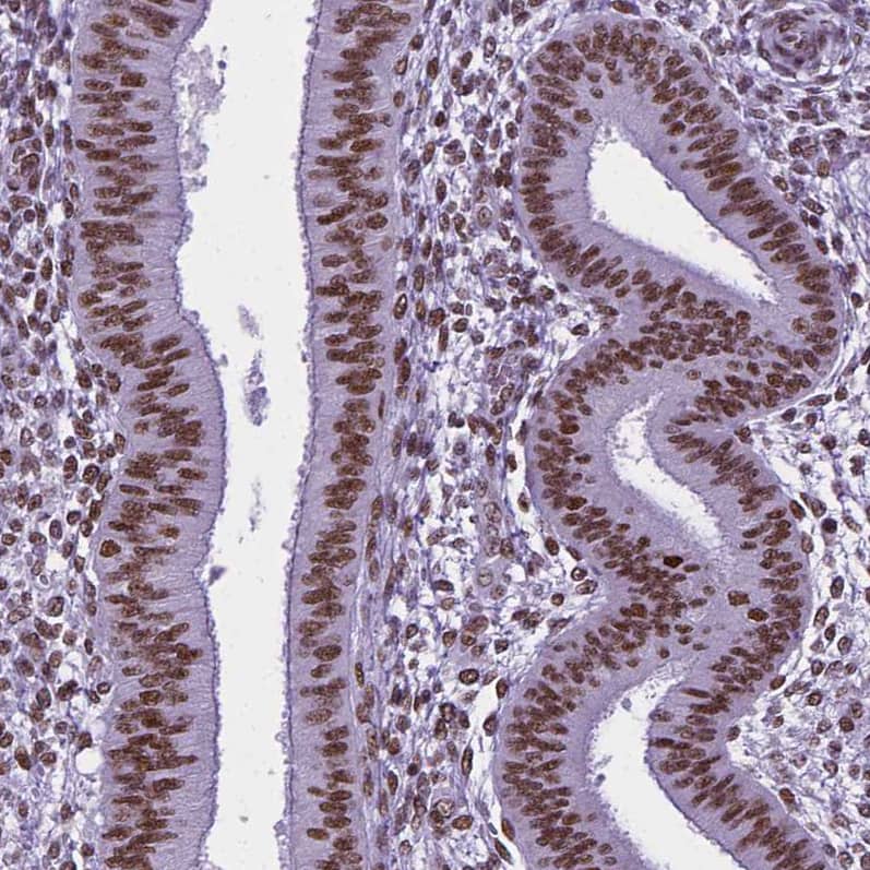
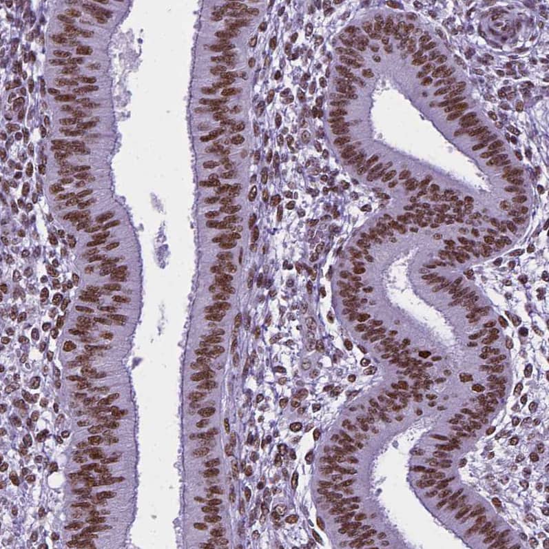
Staining of human endometrium shows moderate nuclear positivity in glandular and stromal cells.
Staining of human cerebral cortex shows no nuclear positivity in neuronal cells as expected.
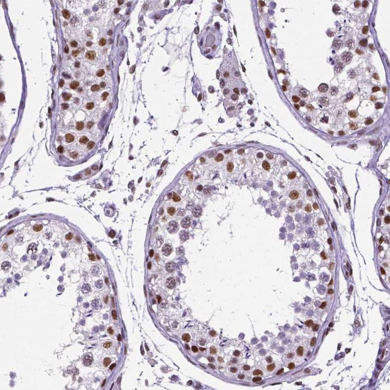
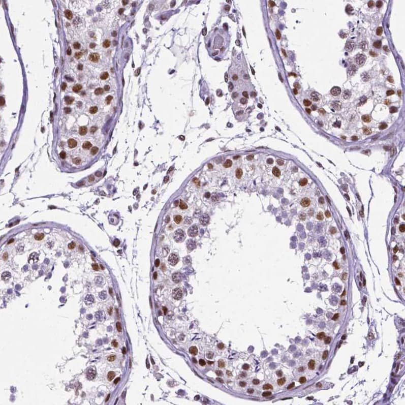
Staining of human testis shows moderate to strong nuclear positivity in cells in seminiferous ducts.
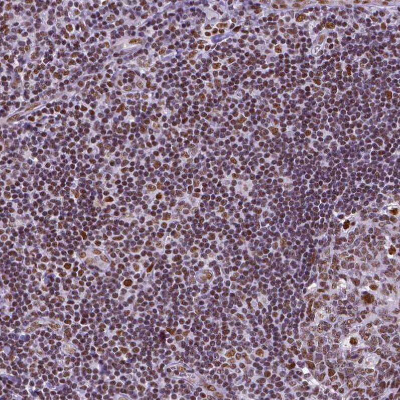
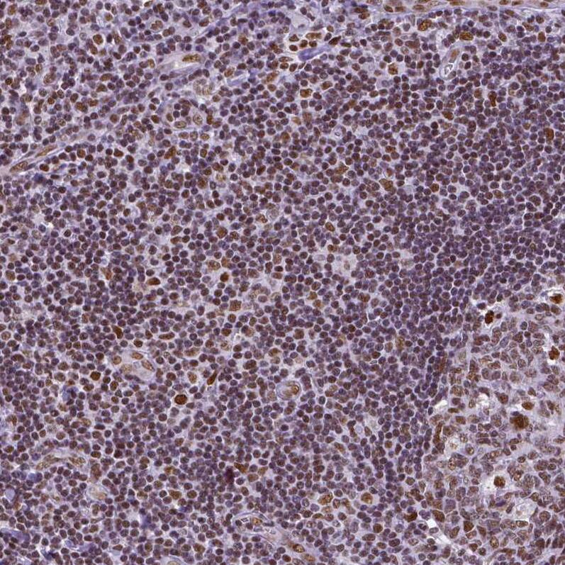
Staining of human tonsil shows moderate to strong nuclear positivity in lymphoid cells.
Staining of U-2 OS cells using the Anti-NRSF monoclonal antibody) .

Product Details

Summary
Reactivity HuSpecies Glossary
Applications ICC/IF, IHC
Clone
CL0381
Clonality
Monoclonal
Host
Mouse
Conjugate
Unconjugated
Format
Azide and BSA Free
Concentration
LYOPH

Order Details

NRSF Antibody (CL0381) - Azide and BSA Free Summary

Description
Novus Biologicals Mouse NRSF Antibody (CL0381) - Azide and BSA Free (NBP2-42048) is a monoclonal antibody validated for use in IHC and ICC/IF. All Novus Biologicals antibodies are covered by our 100% guarantee.
Immunogen
This antibody was generated using a recombinant protein sequence of Q13127, with the exact immunogen sequence remaining proprietary.
Isotype
IgG1
Clonality
Monoclonal
Host
Mouse
Gene
REST
Purity
Protein A purified
Innovator's Reward
Test in a species/application not listed above to receive a full credit towards a future purchase.

Applications/Dilutions

Dilutions
  • Immunocytochemistry/ Immunofluorescence 2-10 ug/ml
  • Immunohistochemistry-Paraffin 1:50 - 1:200
Application Notes
For IHC-Paraffin, HIER pH 6 retrieval is recommended. For Immunocytochemistry/ Immunofluorescence/IF, PFA/Triton X-100 is recommended for fixation/permeabilization.

Packaging, Storage & Formulations

Storage
Store at 4C short term. Aliquot and store at -20C long term. Avoid freeze-thaw cycles.
Buffer
Lyophilized from a 0.2 um filtered solution in PBS with Trehalose
Preservative
No Preservative
Concentration
LYOPH
Purity
Protein A purified
Reconstitution Instructions
Centrifuge the vial of lyophilized antibody at 12,000 x g for 20 seconds. Reconstitute by adding sterile, distilled water to achieve a final antibody concentration of 1mg/ml.

Alternate Names for NRSF Antibody (CL0381) - Azide and BSA Free

  • Neural-restrictive silencer factor
  • NRSFneuron restrictive silencer factor
  • RE1-silencing transcription factor
  • X2 box repressor
  • XBRrepressor binding to the X2 box

Background

REST, which is short for RE1-silencing transcription factor, locks down neuronal genes in other cells by grabbing onto the DNA and cementing in other molecules, an arrangement that stays intact as non-neuronal cells differentiate into liver, muscle, and other tissues. REST uses a different temporary off mechanism to direct neuronal development. REST is a tumor suppressor gene in epithelial cells and has been found to be mutated in 33 percent of colorectal tumors and cell lines studied. Rest could eventually serve as a marker for diagnosing colorectal and other types of cancer.

Limitations

This product is for research use only and is not approved for use in humans or in clinical diagnosis. Primary Antibodies are guaranteed for 1 year from date of receipt.

Customers Who Viewed This Item Also Viewed...

MAB1417
Species: Bv, Hu, Mu
Applications: ICC, IHC
AF4090
Species: Hu
Applications: IHC, IP, Neut, WB
AF1638
Species: Hu, Mu, Rt
Applications: ICC, Simple Western, WB
H00003845-M01
Species: Hu, Mu
Applications: ELISA, ICC/IF, IP, WB
AF4999
Species: Mu
Applications: Simple Western, WB
AF2905
Species: Hu
Applications: ELISA, ICC, WB
7770-GT
Species: Hu
Applications: EnzAct
NBP2-93808
Species: Hu, Mu, Rt
Applications: ICC/IF, IHC,  IHC-P, WB
NB100-1533
Species: Hu, Mu, Po, Rt, Sh
Applications: Flow, ICC/IF, IHC,  IHC-P, PEP-ELISA, WB
NBP3-16225
Species: Hu, Mu, Rt
Applications: ChIP, ELISA, IHC,  IHC-P, IP, WB
DBD00
Species: Hu
Applications: ELISA
NBP2-83997
Species: Hu
Applications: IHC,  IHC-P, WB
NBP1-88027
Species: Eq, Hu, Mu, Rt
Applications: IHC,  IHC-P, Simple Western, WB
NBP2-46005
Species: Hu, Mu, Rt
Applications: ICC/IF, IHC,  IHC-P, IP, PLA, WB
MAB1455
Species: Hu
Applications: CyTOF-ready, Dual ISH-IHC, ICC, IHC, ICFlow, Simple Western, WB
NBP1-30032
Species: Bv, Ca, Fe, Hu, Mu, Xp
Applications: ICC/IF, IHC, IHC-Fr, KO, WB
NBP2-20383
Species: Hu, Mu
Applications: ICC/IF, IHC,  IHC-P, WB
NBP2-02623
Species: Ca, Hu, Mu, Rt
Applications: Flow, ICC/IF, IHC,  IHC-P, WB
NBP2-37909
Species: Hu
Applications: IHC,  IHC-P
NBP3-44479
Species: Hu
Applications: ICC/IF, IHC

Publications for NRSF Antibody (NBP3-44479) (0)

There are no publications for NRSF Antibody (NBP3-44479).
By submitting your publication information earn gift cards and discounts for future purchases.

Reviews for NRSF Antibody (NBP3-44479) (0)

There are no reviews for NRSF Antibody (NBP3-44479). By submitting a review you will receive an Amazon e-Gift Card or Novus Product Discount.
  • Review with no image -- $10/€7/£6/$10 CAD/¥70 Yuan/¥1110 Yen
  • Review with an image -- $25/€18/£15/$25 CAD/¥150 Yuan/¥2500 Yen

Product General Protocols

Find general support by application which include: protocols, troubleshooting, illustrated assays, videos and webinars.

Video Protocols

ICC/IF Video Protocol

FAQs for NRSF Antibody (NBP3-44479) (0)

There are no specific FAQs related to this product. Read our general customer & technical service FAQs.

Secondary Antibodies

 

Isotype Controls

Additional NRSF Products

Array NBP3-44479

Research Areas for NRSF Antibody (NBP3-44479)

Find related products by research area.

Blogs on NRSF

There are no specific blogs for NRSF, but you can read our latest blog posts.

Customers Who Bought This Also Bought

Contact Information

Product PDFs

Calculators

Concentration Calculator

The concentration calculator allows you to quickly calculate the volume, mass or concentration of your vial. Simply enter your mass, volume, or concentration values for your reagent and the calculator will determine the rest.

=
÷

Review this Product

Be the first to review our NRSF Antibody (CL0381) - Azide and BSA Free and receive a gift card or discount.

Bioinformatics

Gene Symbol REST